Узловые образования в щитовидной железе достаточно часто выявляются при ультразвуковом исследовании. Неоднократно я обнаруживал довольно большие объёмные образования в щитовидной железе у пациентов, которые приходили к нам в клинику по совершенно другому поводу, например, для ультразвукового исследования сосудов шеи. Многие из них утверждали, что их ничего не беспокоило и что гормоны щитовидной железы у них в анализах были в норме. Но дело в том, что узловые образования в щитовидной железе в большинстве случаев никак не влияют на уровень ТТГ, тироксина и трийодтиронина в крови. Тем не менее узловые образования в щитовидной желез почти всегда вызывают онконастороженность у врача. Примерно 1/3 людей планеты Земля имеются узловые образования в щитовидной железе. Понятно, что не у всех этих людей образования в щитовидной железе носят злокачественный характер. Но следует учитывать, что рак щитовидной железы довольно часто встречается у людей, в том числе и в молодом возрасте. Тем не менее ультразвуковому исследованию щитовидной железы большинство пациентов уделяют не столько много внимания, как к исследованию, например, органов брюшной полости или молочных желез.




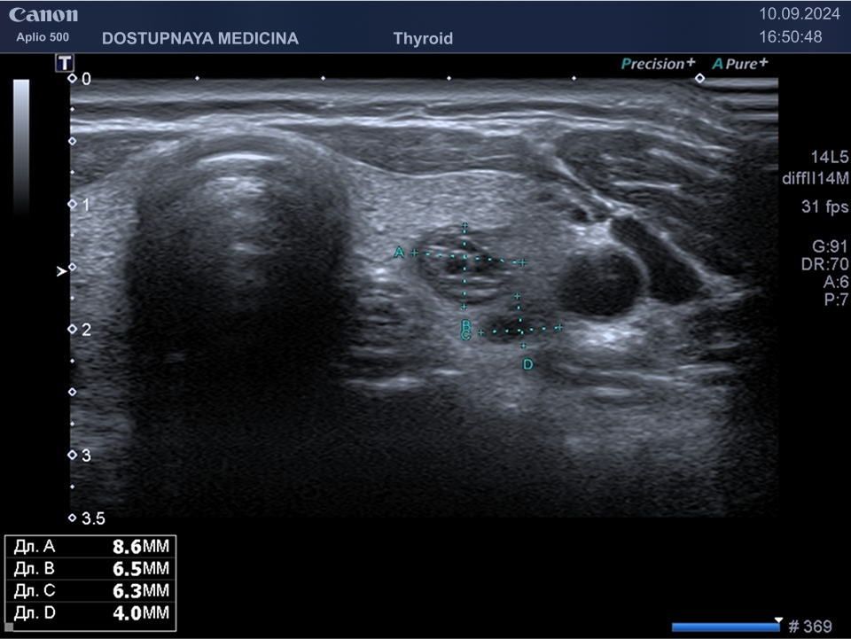
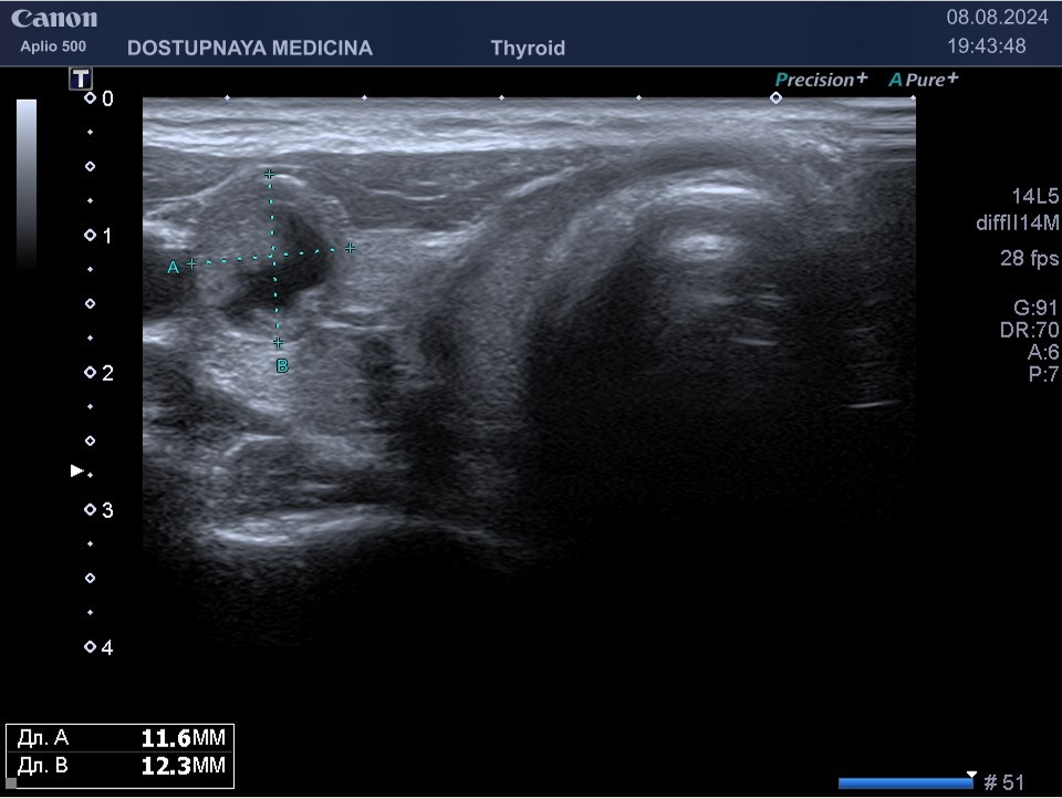
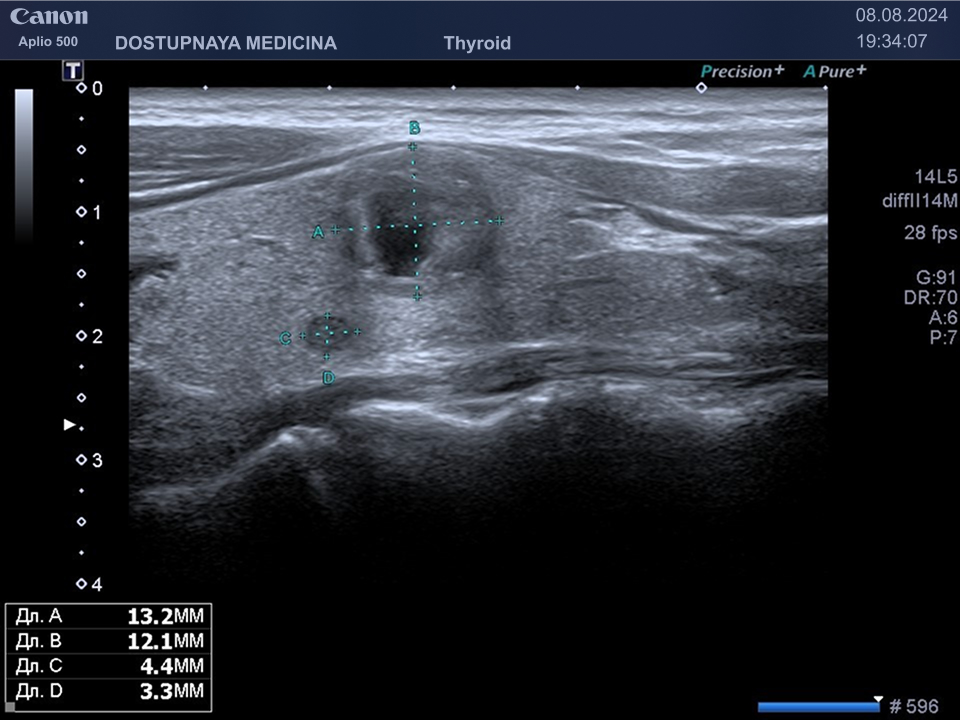
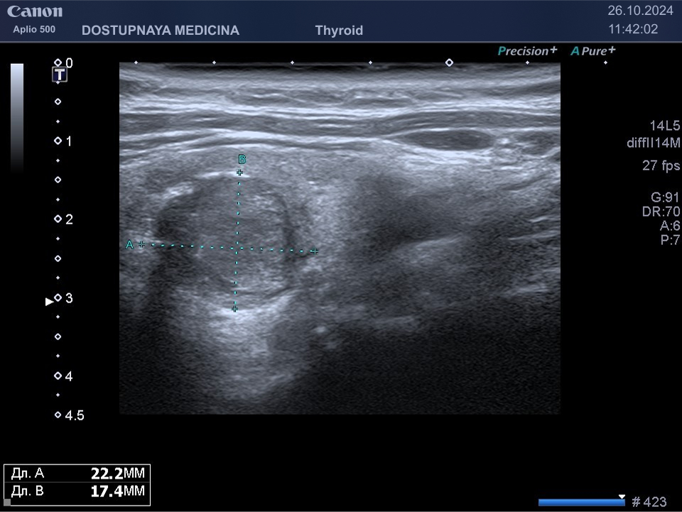
В ультразвуковой диагностике существует классификация образований щитовидной желзы по TIRADS, которая по различным критериям определяет степень онкоопастности того или ионого узла. При оценке учитывается эхоструткура образования ( кистозная, губчатая, солидная или солидно-кистозная), эхогенность ( анэхогенное, гиперэхогенное, гипоэхогенное), пространственная ориентация горизонтальная, вертикальная, неопределённая), контуры образования (ровные, дольчатые, зазубренные с острыми углами), наличие эхогенных включений( макрокальцинаты, микрокальцинаты, периферическая кольцевидная кальцификация). В зависимости от этих критериев выделяют различные категориии объёмных образований в щитовидной железе:
TIRADS 1 – доброкачественное образование.
TIRADS 2 – неподозрительное образование, требующие динамическое наблюдение.
TIRADS 3 – низко подозрительное образование, требующие динамическое наблюдение и тонкоигольной биопсии при размерах узла больше 2.5 см.
TIRADS 4 – умеренно подозрительное образование, требующие динамическое наблюдение и тонкоигольной биопсии при размерах узла больше 1.5 см.
TIRADS 5 – высоко подозрительное образование, требующие динамическое наблюдение и тонкоигольной биопсии при размерах узла больше 1 см.




Гистологически выделяют четыре формы рака щитовидной железы:
- Недифференцированный рак щитовидной железы – это достаточно агрессивная опухоль, летальность при которой достигает 100%, а выживаемость меньше 1 года.
- Медулярный рак щитовидной железы возникает из парафолликулярных С-клеток. Тоже достаточно агрессивная форма рака щитовидной железы, часто даёт метастазы в лимфатические узлы шеи и средостения. Прогноз лучше чем при недифференцированном раке и выживаемость колеблется от 40% до 70% (в зависимости от стадии заболевания) Хорошим маркером его является кальцитонин крови.
- Папиллярный рак щитовидной железы – это высокодифференцированная опухоль, встречается в 75% случаев, редко даёт метастазы. Прогноз при ней благоприятный до 90% случаев.
- Фолликулярный рак щитовидной железы – это тоже высокодифференцированная опухоль из фолликулярного эпителия с благоприятным прогнозом для пациента.




Большинство узловых образований в щитовидной железе не нуждаются в лечении и требуют лишь наблюдения путём повторного ультразвуковых исследований.
При подозрении на озлокачествление и увеличении узла в размерах требуется тонкоигольная пункционная биопсия с полседующим цитологическим исследованием, полученного материала.
Лечение рака щитовидной железы хирургическое. Показана в зависимости от конкретной клинической ситуации либо тиреоидэктомия (удаление всей щитовидной железы), либо гемитиреоидэктомия (удаление одной доли щитовидной железы)
Автор статьи врач ультразвуковой диагностики ООО «Доступная медицина», врач онколог, врач хирург высшей категории Цветков Евгений Анатольевич.