КТ лимфатических узлов средостения, подмышечных, подключичных, надключичных областей в СПБ
- Срок получения результата В течение дня
Лимфатические узлы относятся к органам иммунной системы и выполняют важную функцию биологического фильтра, задерживая распространение раковых клеток, бактерий и вирусов.
Любое изменение состояния лимфоузлов может свидетельствовать о многих серьезных заболеваниях, таких как туберкулез и другие инфекционные заболевания. Измененные увеличенные лимфатические узлы могут указывать на лимфопролиферативные, аутоиммунные заболевания, метастатические поражения и др.
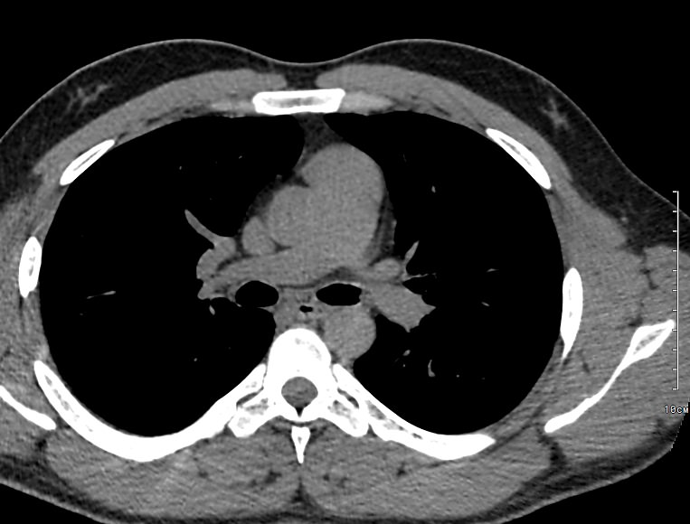
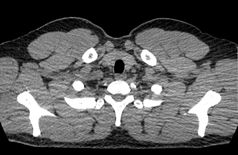
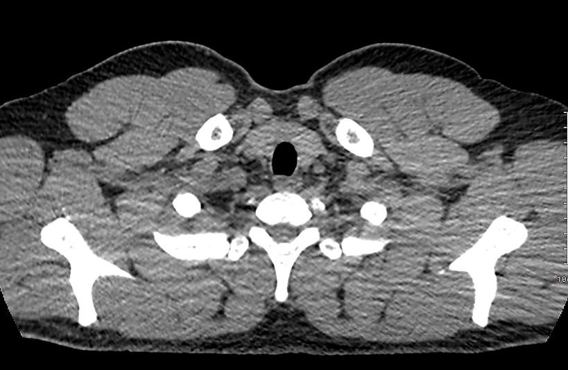
Наиболее информативным современным способом визуализации лимфоузлов является мультиспиральная компьютерная томография. Методика предусматривает послойное сканирование исследуемой области при помощи проникающего действия рентгеновских лучей.
В нашей клинике КТ лимфатических узлов средостения проводится на новейших мультиспиральных томографах экспертного уровня, которые производят тончайшие срезы исследуемой зоны толщиной от 0,5 мм и позволяют визуализировать лимфоузлы и прилегающие мягкие ткани с высокой детализацией. Увеличенное количество высокочувствительных детекторов аппарата обеспечивает высокую разрешающую способность и четкость изображений, при этом позволяет выполнить исследование в течение нескольких секунд с минимальной дозой облучения.
Инновационные возможности аппаратов в нашей клинике позволяют создавать 3D-реконструкции рассматриваемой зоны для более точной локализации очага и оценки взаимного расположения органов и тканей.
Для повышения информативности исследования дополнительно используется внутривенное болюсное контрастирование. Это бывает необходимо при подозрении на онкологическое заболевание, для исключения метастатического поражения лимфоузлов средостения, подмышечных лимфоузлов, над- и подключичных областей.
Для контрастного усиления используются йодсодержащие контрастные препараты, которые вводятся пациенту внутривенно. Контраст обладает способностью фиксироваться в патологически измененных тканях, на снимках дает яркую визуализацию очага на фоне здоровых тканей, что способствует выявлению опухолей на ранней стадии развития. Кроме того, контрастирование помогает получить изображения кровеносных сосудов, которые питают опухоль, что особенно важно для определения стадии заболевания и выбора тактики лечения.
- Показания для проведения КТ лимфатических узлов средостения, подмышечных, подключичных, надключичных областей
- Что покажет КТ лимфатических узлов средостения, подмышечных, подключичных, надключичных областей
- Подготовка к КТ лимфатических узлов средостения, подмышечных, подключичных, надключичных областей
- Противопоказания для проведения КТ лимфатических узлов средостения, подмышечных, подключичных, надключичных областей
Показания для проведения КТ лимфатических узлов средостения, подмышечных, подключичных, надключичных областей
Проведение компьютерного сканирования может потребоваться в следующих случаях:
- При гнойно-воспалительных процессах, которые сопровождаются появлением увеличенных болезненных подмышечных, подключичных и надключичных лимфоузлов.
- При инфекционных заболеваниях (лимфаденопатия на фоне туберкулеза, сифилиса, токсоплазмоза, ВИЧ).
- При подозрении на лимфогранулематоз (болезнь Ходжкина) и неходжкинскую лимфому. Заболевание часто начинается с увеличения надключичных и шейных лимфоузлов, сопровождается лихорадкой, общей слабостью, быстрой потерей массы тела.
- При поражении лимфоузлов на фоне лимфолейкоза (увеличенные безболезненные шейные, внутригрудные лимфоузлы на фоне похудания, общей слабости, также характерна анемия и геморрагический синдром).
- При увеличении лимфоузлов в сочетании с поражением суставов и внутренних органов на фоне аутоиммунных заболеваний (ревматоидный артрит, саркоидоз и др).
- В случае метастатического поражения лимфоузлов при распространении раковых клеток их опухолей средостения, пищевода, щитовидной железы, молочных желез. КТ лимфатических узлов является обязательным исследованием для определения стадии опухолевого процесса и выбора тактики лечения.
Что покажет КТ лимфатических узлов средостения, подмышечных, подключичных, надключичных областей
Методика КТ позволяет оценить структуру лимфатических узлов, обнаружить неоднородность, гиперплазию, деформацию их контуров.
Информация, полученная при помощи мультиспиральной компьютерной томографии, дает возможность визуализировать размеры лимфоузлов, их точную локализацию, взаимодействие с близлежащими органами и окружающими тканями, образование пакетов и конгломератов лимфоузлов, выявить инфильтрацию прилегающих анатомических областей.
При проведении компьютерной томографии можно диагностировать следующие заболевания лимфатических узлов:
- Лимфадениты (острые и хронические воспалительные изменения лимфоузлов на фоне инфекционных заболеваний, гнойных ран, фурункулов, карбункулов, флегмон);
- Опухоли (лимфогранулематоз Ходжкина, неходжкинская лимфома, лимфосаркома);
- Поражение лимфоузлов на фоне лимфолейкоза (злокачественное заболевание крови);
- Метастазы в лимфоузлах (поражение подмышечных лимфоузлов на фоне опухолей молочных желез, подключичных и надключичных лимфоузлов при опухолях щитовидной железы, пищевода);
- Изменения лимфоузлов на фоне СПИД;
- Аномалии развития лимфатических узлов (гипоплазия узлов, лимфангиомы).
Подготовка к КТ лимфатических узлов средостения, подмышечных, подключичных, надключичных областей
Исследование не требует предварительной подготовки.
Перед проведением КТ необходимо предоставить всю медицинскую документацию, которая относится к зоне исследования:
- Направление от лечащего врача;
- Выполненные ранее рентгеновские снимки легких, CD/DVD диски предыдущих КТ-исследований легких и средостения, лимфатических узлов;
- Выписки из амбулаторных карт и стационаров;
- Заключения профильных специалистов.
Перед исследованием с болюсным контрастированием необходимо предоставить показатели креатинина крови. Этот показатель отражает функцию почек и имеет важное значение, так как контраст выводится из организма преимущественно почками. В зависимости от уровня креатинина врач-рентгенолог примет решение о возможности проведения контрастирования. Анализ крови действителен в течение 14 дней до даты исследования.
Пациентам, которые принимают по поводу сахарного диабета такие сахароснижающие препараты, как Метформин или Глюкофаж, необходимо отменить прием данных препаратов за 48 часов до исследования с контрастированием и на 48 часов после введения контраста (временную отмену данных препаратов необходимо согласовать с эндокринологом).
Для введения контраста в локтевую вену предварительно устанавливается венозный катетер. Контрастный препарат вводится с помощью автоматического инъектора. При введении контраста может появиться неприятный привкус во рту, ощущение прилива, жара во всем теле, но этот дискомфорт проходит через 1-2 минуты. Контрастное вещество выводится из организма преимущественно почками в течение последующих суток.
Если контрастное усиление проводится кормящей женщине, то пациентке необходимо на 24-48 часов после процедуры с введением контраста исключить грудное вскармливание, при этом молоко сцеживать и выливать. Предварительно мы рекомендуем сделать для малыша запас грудного молока.
Чтобы получить качественные изображения на снимках, от пациента требуется сохранять неподвижность в течение всей процедуры. Врач находится в смежном помещении, отделенном от диагностического кабинета стеклянной перегородкой. Связь с ним происходит через вмонтированное в аппарат переговорное устройство.
Противопоказания для проведения КТ лимфатических узлов средостения, подмышечных, подключичных, надключичных областей
Компьютерная томография не проводится во время беременности, так как необходимо исключить вредное влияние на плод ионизирующего излечения.
В нашей клинике невозможно выполнить КТ пациентам с массой тела более 120 кг из-за технических возможностей аппарата (ограничения по весу имеет выдвижной стол томографа).
При необходимости проведения КТ с контрастированием имеются противопоказания для введения контраста. Запрещено введение контраста в следующих случаях:
- если у пациента ранее отмечалась аллергия на йодсодержащие контрастные вещества;
- если имеются заболевания почек с явлениями почечной недостаточности;
- при сердечной недостаточности;
- на фоне заболеваний щитовидной железы;
- при тяжелом течении бронхиальной астмы;
- в случае декомпенсированного сахарного диабета.
Запишитесь на КТ лимфатических узлов средостения, подмышечных, подключичных, надключичных областей по удобному адресу
ЗаписатьсяСтанция метро
Площадь Восстания Проспект Просвещения Нарвская Рыбацкое Девяткино Гражданский проспект Академическая Политехническая Площадь Мужества Лесная Выборгская Площадь Ленина Чернышевская Владимирская Пушкинская Технологический институт Балтийская Кировский завод Автово Ленинский проспект Проспект Ветеранов Парнас Озерки Удельная Пионерская Чёрная речка Петроградская Горьковская Невский проспект Сенная площадь Фрунзенская Московские ворота Электросила Парк Победы Московская Звёздная Купчино Беговая Зенит Приморская Василеостровская Гостиный двор Маяковская Площадь Александра Невского Елизаровская Ломоносовская Пролетарская Обухово Спасская Достоевская Лиговский проспект Площадь Александра Невского Новочеркасская Ладожская Проспект Большевиков Улица Дыбенко Комендантский проспект Старая Деревня Крестовский остров Чкаловская Спортивная Адмиралтейская Садовая Звенигородская Обводный канал Волковская Бухарестская Международная Проспект Славы Дунайская Шушары Богатырская Каменка Театральная Горный институт Путиловская Юго-Западная Кудрово Шуваловский проспект Каретная Боровая Заставская БроневаяРайон
Центральный Выборгский Кировский Адмиралтейски Василеостровский Калининский Колпинский Красногвардейский Красносельски Кронштадтский Курортный Московский Невский Петроградский Петродворцовый Приморский Пушкинский ФрунзенскийГород
Санкт-Петербург Бокситогорск Бугры Волосово Волхов Всеволожск Выборг Высоцк Гатчина Ивангород Каменногорск Кингисепп Кириши Кировск Колтуши Коммунар Кудрово Лодейное Поле Луга Любань Мурино Никольское Новая Ладога Отрадное Пикалёво Подпорожье Приморск Приозерск Светогорск Сертолово Сланцы Сосновый Бор Сясьстрой Тельмана Тихвин Тосно ШлиссельбургЦены
Услуги, соответствующие запросу, не найдены.
Адреса диагностических центров "Доступная Медицина"
Преимущества наших диагностических центров
Доступные цены
Приемлемые цены
на все услуги
Качественный сервис
Контроль качества
оказываемых услуг
Лучшие специалисты
Высококвалифицированные врачи
Новейшее оборудование
Современные томографы с высочайшим качеством визуализации
Близость к метро
Мы находимся в непосредственной близости от метро и остановок общественного транспорта
Наше оборудование
КТ-СПЕЦИАЛИСТЫ
Лицензии
Современные томографы с высочайшим качеством визуализации
Статьи наших врачей