МРТ мягких тканей ягодичной области в СПБ
- Срок получения результата В течение дня
- Ограничения по весу 120 кг
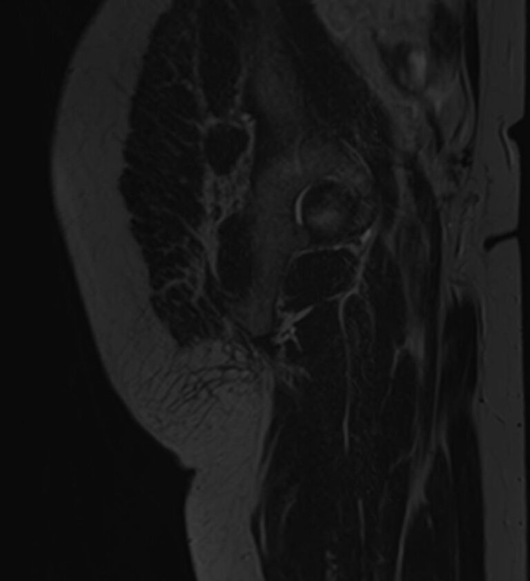
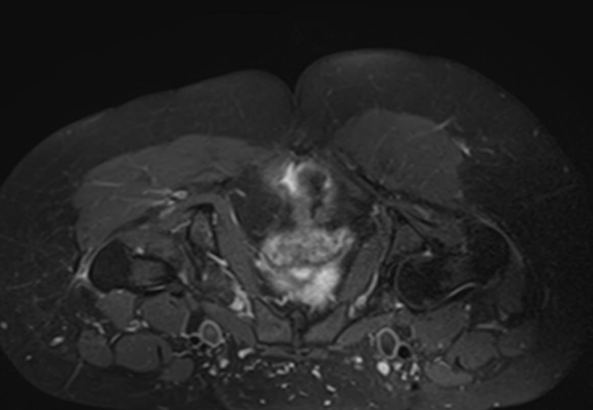
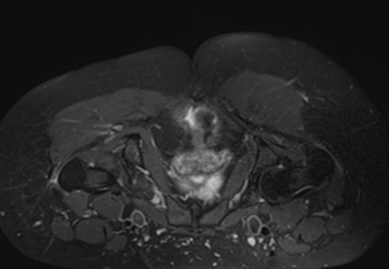
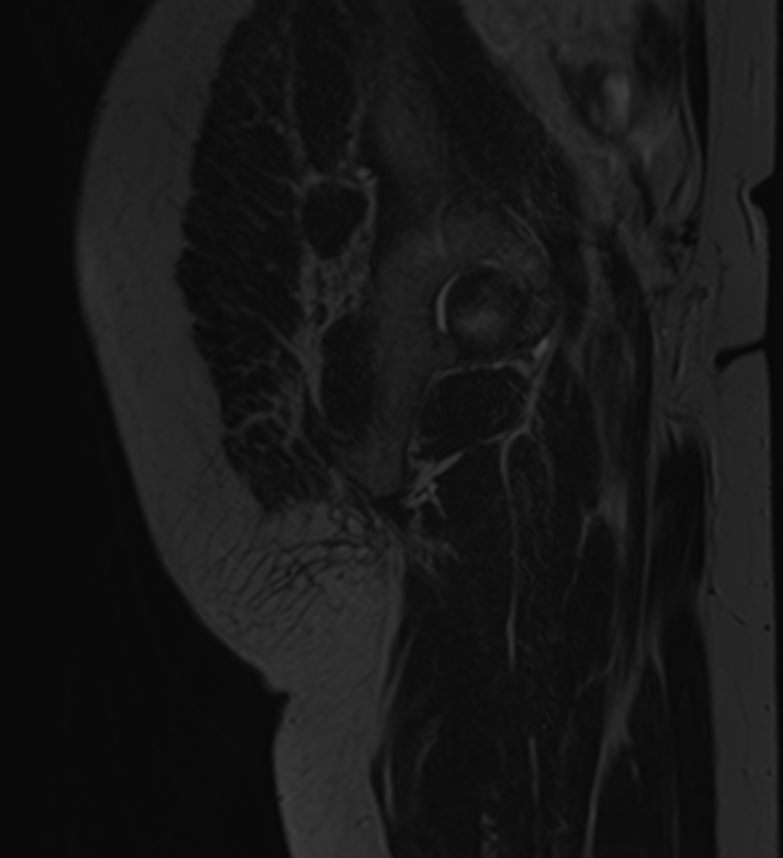
Ягодичная область включает в себя большую, среднюю, малую ягодичные мышцы, грушевидные мышцы, мышечные фасции, межфасциальные клетчаточные пространства, связки, нервные волокна, половой сосудисто-нервный пучок, лимфоузлы и лимфатические протоки. Ягодичные мышцы участвуют в движениях нижних конечностей и обеспечивают устойчивость тела в вертикальном положении.
Чаще всего ягодичная область подвержена развитию воспалительных заболеваний, травматических повреждений и опухолевых процессов. Наиболее эффективным способом диагностики патологии мягких тканей ягодичной области является магнитно-резонансная томография. При применении данного метода не используется вредное ионизирующее излучение, как при обычном рентгене или КТ, при этом МРТ дает наибольшую информацию о состоянии мягкотканных структур, выявляя патологические очаги размером от 1 мм.
В клинике «Доступная медицина» проводится МРТ мягких тканей ягодичной области при помощи новейшего высокотехнологичного оборудования. У нас установлен современный 32-канальный высокопольный томограф закрытого типа TOSHIBA VANTAGE TITAN 1,5 Тесла. Высокая индукция магнитного поля томографа обеспечивает превосходное качество изображений исследуемой зоны, что позволяет поставить точный и достоверный диагноз.
МРТ данной анатомической области выполняется в большинстве случаев в стандартном режиме без применения контрастного усиления. Однако при подозрении на развитие опухоли необходимо введение контрастного препарата. Для этого используется контрастное вещество, созданное на основе гадолиния (металл, обладающий особыми свойствами в зоне действия магнитного поля). Контраст избирательно накапливается в очагах поражения и обусловливает их яркое свечение под влиянием магнитного поля томографа. Это позволяет, в частности, выявлять опухоли на ранних стадиях развития и дает исчерпывающую информацию о структуре опухолевого образования, его границах, степени кровоснабжения и распространения на близлежащие органы и ткани.
- Показания для проведения МРТ мягких тканей ягодичной области
- Что покажет МРТ мягких тканей ягодичной области
- Как нужно подготовиться к МРТ мягких тканей ягодичной области
- Противопоказания для МРТ мягких тканей ягодичной области
Показания для проведения МРТ мягких тканей ягодичной области
- Боли в области ягодиц без видимой причины.
- Травмы спины и ягодичных мышц, как «свежие», так и «застарелые».
- Изменение цвета кожи, локальное повышение температуры над измененным участком кожи, припухлость, изменение конфигурации ягодичной зоны.
- Обнаружение пальпируемых болезненных или безболезненных образований в зоне ягодиц.
Что покажет МРТ мягких тканей ягодичной области
При проведении МРТ можно выявить следующие заболевания ягодичной области:
- Закрытые и открытые травматические повреждения (ушибы, гематомы, растяжения связок, разрывы мышц, повреждения сосудов и нервов).
- Воспалительные заболевания ягодичной области вследствие травм, нагноения гематом, после проведения инъекций (абсцессы, флегмоны ягодичной области).
- Седалищные грыжи (грыжевое выпячивание, выходящее через седалищное отверстие под ягодичные мышцы) – редкая патология, которая может наблюдаться у пожилых женщин.
- Доброкачественные и злокачественные опухоли, которые располагаются в мягких тканях ягодичной области.
Как нужно подготовиться к МРТ мягких тканей ягодичной области
Одно из преимуществ данного метода исследования — это отсутствие специальной подготовки.
Необходимо принести с собой медицинскую документацию, относящуюся к зоне исследования:
- направление от лечащего врача;
- выписки из амбулаторных карт и стационаров;
- результаты предыдущих исследований (МР-снимки, CD/DVD диски, снимки КТ).
Если у пациента имеются имплантаты или протезы из материалов, которые допускают проведение МР-исследования, то необходимо предоставить сведения об этом (справка из учреждения, где устанавливался имплантат).
Если планируется применение контрастирования, при подозрении на снижение функции почек необходимо исследование уровня креатинина крови не позднее, чем за 14 дней до исследования.
Введение контраста производится внутривенно, непосредственно во время исследования. Контраст выводится из организма в течение последующих суток, поэтому кормящим матерям необходимо прервать грудное вскармливание на 24-48 часов после исследования, молоко сцеживать и выливать.
Перед процедурой нужно снять с себя все металлические предметы, украшения, пирсинг, одежду с фурнитурой из металла, из карманов убрать ключи, пластиковые карты, мобильные телефоны, любые другие гаджеты.
Во время исследования нужно сохранять неподвижность для получения качественных изображений исследуемой области. Пациент располагается, лежа на спине на выдвижном столе томографа. Для исключения лишних движений дополнительно используются фиксаторы.
Работа томографа сопровождается громким акустическим шумом, что обусловлено особенностями технологии процесса. Вредное воздействие шума можно нивелировать, надев наушники или используя беруши.
Пациентам, испытывающим беспокойство и волнение, разрешается находиться в кабинете МРТ вместе с сопровождающим. С помощью специальной сигнальной груши, которая в течение всего периода процедуры находится в руке пациента, можно вызвать медработников из смежного помещения.
Противопоказания для МРТ мягких тканей ягодичной области
- Присутствие в теле вживленных электронных приборов: пейсмекеров (водителей ритма), дефибрилляторов, кохлеарных имплантатов, инфузионных насосов, нейростимуляторов, которые под действием магнитного поля могут необратимо выйти из строя.
- Имплантированные металлические элементы (штифты, пластины, сосудистые скобы, клеммы, ортодонтические конструкции) являются препятствием для проведения МРТ, за исключением тех случаев, когда вживленное изделие изготовлено из сплавов с использованием пара- и диамагнетиков. Такие изделия не мешают магнитно-резонансному исследованию, имеет значение только его расположение по отношению к исследуемой области.
- Инородные металлические фрагменты (дробинки, пули, кусочки металла, неснимаемый пирсинг) являются противопоказанием для МРТ, так как в магнитном поле могут перемещаться и нагреваться, вызывая травмы.
- Беременным женщинам до 13 недель не рекомендуется проводить МРТ, так как плод на этих сроках чрезвычайно чувствителен к воздействию неблагоприятных факторов.
- Клаустрофобия ограничивает проведение МРТ, так как конфигурация аппарата и продолжительность исследования могут спровоцировать приступ панической атаки у некоторых пациентов.
- МРТ невозможно выполнить пациентам с массой тела более 120 кг из-за технических особенностей томографа.
- Введение контраста противопоказано на любом сроке беременности, при наличии указаний в анамнезе на аллергические реакции на контрастное вещество, при нарушениях функции почек.
Запишитесь на МРТ мягких тканей ягодичной области по удобному адресу
ЗаписатьсяСтанция метро
Площадь Восстания Нарвская Проспект Просвещения Рыбацкое Девяткино Гражданский проспект Академическая Политехническая Площадь Мужества Лесная Выборгская Площадь Ленина Чернышевская Владимирская Пушкинская Технологический институт Балтийская Кировский завод Автово Ленинский проспект Проспект Ветеранов Парнас Озерки Удельная Пионерская Чёрная речка Петроградская Горьковская Невский проспект Сенная площадь Фрунзенская Московские ворота Электросила Парк Победы Московская Звёздная Купчино Беговая Зенит Приморская Василеостровская Гостиный двор Маяковская Площадь Александра Невского Елизаровская Ломоносовская Пролетарская Обухово Спасская Достоевская Лиговский проспект Площадь Александра Невского Новочеркасская Ладожская Проспект Большевиков Улица Дыбенко Комендантский проспект Старая Деревня Крестовский остров Чкаловская Спортивная Адмиралтейская Садовая Звенигородская Обводный канал Волковская Бухарестская Международная Проспект Славы Дунайская Шушары Богатырская Каменка Театральная Горный институт Путиловская Юго-Западная Кудрово Шуваловский проспект Каретная Боровая Заставская БроневаяРайон
Центральный Кировский Выборгский Невский Адмиралтейский Василеостровский Калининский Колпинский Красногвардейский Красносельский Кронштадтский Курортный Московский Петроградский Петродворцовый Приморский Пушкинский ФрунзенскийГород
Санкт-Петербург Бокситогорск Бугры Волосово Волхов Всеволожск Выборг Высоцк Гатчина Ивангород Каменногорск Кингисепп Кириши Кировск Колтуши Коммунар Кудрово Лодейное Поле Луга Любань Мурино Никольское Новая Ладога Отрадное Пикалёво Подпорожье Приморск Приозерск Светогорск Сертолово Сланцы Сосновый Бор Сясьстрой Тельмана Тихвин Тосно ШлиссельбургЦены
Услуги, соответствующие запросу, не найдены.
Адреса диагностических центров "Доступная Медицина"
Преимущества наших диагностических центров
Доступные цены
Приемлемые цены
на все услуги
Качественный сервис
Контроль качества
оказываемых услуг
Лучшие специалисты
Высококвалифицированные врачи
Новейшее оборудование
Современные томографы с высочайшим качеством визуализации
Близость к метро
Мы находимся в непосредственной близости от метро и остановок общественного транспорта
Наше оборудование
МРТ-специалисты
Лицензии
Современные томографы с высочайшим качеством визуализации
Статьи наших врачей