Назад КТ почек с контрастом в СПБ

Цена:
от 6 400 руб
Записаться
  • Введение контраста Да
  • Длительность выполнения 20 минут
  • Ограничения по весу 120 кг
  • Ограничения по возрасту От 15 лет
  • Срок получения результата В течение 24 часов
Описание

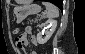
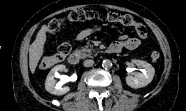
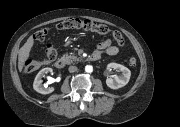
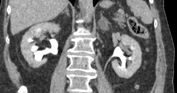
Мультиспиральная компьютерная томография почек и мочевыводящих путей  является высокоинформативным методом исследования, основанном на использовании воздействия рентгеновских лучей на органы и ткани человека. Методика предусматривает послойное сканирование области почек, мочевыводящих путей и получение снимков исследуемой области в мельчайших подробностях. 

Для улучшения визуализации патологических очагов (различных кист или новообразований) в некоторых случаях дополнительно применяется контрастное усиление. Для этого пациенту внутривенно вводится йодсодержащее контрастное вещество, которое накапливается в патологически измененных участках и вызывает их яркое контрастирование на фоне здоровых тканей. 

МСКТ почек и мочевыводящих путей с контрастированием позволяет выявить опухолевые образования на ранних стадиях, отличить доброкачественную опухоль от злокачественной, определить размеры опухоли, точную локализацию и степень распространения в окружающие ткани. Компьютерная томография почек с внутривенным болюсным контрастированием необходима для определения тактики лечения и объема оперативного вмешательства. 

В клинике «Доступная медицина» исследование проводится с помощью современных мультиспиральных томографов экспертного уровня TOSHIBA AQUILION, которые производят сканирование области почек в виде тончайших срезов с шагом от 0,5 мм, затем обрабатывают полученные данные и выдают трехмерные изображения отсканированной зоны. 

Увеличенное количество детекторов, расположенных в томографе по спирали, обусловливает проведение исследования за короткий период времени, что значительно снижает лучевую нагрузку на организм пациента. Процедура отличается быстротой, безболезненностью и максимальной информативностью.

Наряду с компьютерной томографией для диагностики патологии мочевыделительной системы используется еще один высокоточный и информативный метод исследования – магнитно-резонансная томография. МРТ наилучшим образом визуализирует именно мягкотканные структуры, поэтому широко применяется для диагностики патологии почек и мочевыводящих путей. В нашей клинике МРТ почек можно пройти на новейшем высокопольном 32-канальном магнитно-резонансном томографе экспертного уровня.

Показания к КТ почек с контрастом

Свернуть/развернуть
  • при тянущих болях в области поясницы и нижней части живота;
  • почечная колика;
  • наличии крови в моче;
  • частых и болезненных позывах к мочеиспусканию;
  • травмах спины;
  • подозрениях на наличие камней или новообразований почек.
  • Наличие опухолей и других образований неизвестного происхождения в области малого таза
  • Поликистоз, абсцессы, врожденные аномалии
  • травма, удар, ушиб почечной зоны;
  • анатомические аномалии развития структур мочевыделительной системы;
  • подозрение на мочекаменную болезнь (обструктивную уропатию);
  • симптомы инфекционного процесса;
  • патология надпочечников (гиперплазия, аденома и пр.)

Подготовка к КТ почек с контрастом

Свернуть/развернуть

Чтобы получить снимки высокого качества, к данному исследованию необходимо подготовиться. Из-за того, что газы в кишечнике могут создавать помехи при сканировании, в течение 2-3 дней рекомендуется придерживаться диеты, исключающей продукты, которые усиливают газообразование. 

В эти дни необходимо отказаться от употреблению в пищу сладкого, мучного, бобовых (горох, фасоль), овощей, всех видов капусты, кондитерских изделий. 

При выраженном метеоризме мы рекомендуем в течение 2 дней принимать «Эспумизан» по 2 капсулы 3 раза в день. Непосредственно в день исследования «Эспумизан» принимать не нужно. 

За 3-4 часа до исследования следует отказаться от приема пищи.

Желательно принести с собой медицинскую документацию, относящуюся к зоне исследования:

  • Направление лечащего врача;
  • Выписка из истории болезни или амбулаторной карты;
  • Рентгеновские снимки, CD/DVD диски предыдущих КТ или МРТ-исследований почек;
  • Заключения профильных специалистов.

 

Контраст выводится из организма преимущественно почками, поэтому перед обследованием необходимо оценить выделительную функцию почек. Для этого мы просим предоставить анализ крови с контролем уровня креатинина давностью не более, чем 14 дней с момента сдачи биоматериала.

Пациентам, принимающим по поводу сахарного диабета Метформин (Глюкофаж или другие метформинсодержащие препараты), необходимо согласовать с эндокринологом временную отмену данного препарата за 48 часов до исследования с контрастированием и на 48 часов после введения контраста.

Для введения контраста в локтевую вену предварительно устанавливается венозный катетер. В определенный момент во время исследования контраст вводится в вену при помощи дозирующего устройства. Поступление контраста в кровоток может сопровождаться в течение нескольких минут ощущением теплоты во всем теле, появлением неприятного привкуса во рту, в дальнейшем этот дискомфорт полностью исчезает. 

После окончания процедуры контраст выводится из организма в течение суток. Поэтому кормящим матерям мы рекомендуем в течение следующих 24-48 часов после исследования с контрастированием не прикладывать ребенка к груди, молоко при этом нужно сцеживать и выливать.

Во время исследования пациент ложится спиной на подвижную кушетку томографа. Для получения качественных результатов нельзя двигаться во время процедуры сканирования.

Врач и рентгенолаборант находятся в соседнем помещении за стеклянной перегородкой. В аппарат вмонтировано переговорное устройство для связи с врачом.

Противопоказания для проведения КТ почек с контрастом

Свернуть/развернуть

Компьютерная томография не проводится во время беременности на любом сроке, так как рентгеновское излучение, которое применяется во время исследования, оказывает вредное воздействие на плод.

Также в наших центрах невозможно выполнить КТ пациентам с массой тела, превышающей 120 кг (подвижные части томографов имеют ограничения по весу).

Противопоказания для введения йодсодержащих контрастных препаратов:

  • наличие в анамнезе аллергических реакций на йодсодержащие контрастные препараты; 
  • имеющиеся заболевания почек с выраженным снижением функции почек;
  • застойная сердечная недостаточность;
  • некоторые заболевания щитовидной железы (гипертиреоз, тиреотоксикоз);
  • тяжелое течение бронхиальной астмы;
  • декомпенсированный сахарный диабет.

Цель проведения КТ почек с контрастом

Свернуть/развернуть
  • Визуализации почек и мочевыводящих путей, других прилегающих систем
  • Определение правильности положения почек и мочевого пузыря
  • Диагностика изменений в развитии, нарушения формы, положения в забрюшинном пространстве почек, сращение, неправильное количество органов
  • исследование сосудов почек
  • наличие сосудисто-мочеточникового конфликта
  • Исследование на предмет камней в почках и сопутствующих им патологий
  • Диагностика злокачественных, доброкачественных образований, опухолей забрюшинного пространства
  • Исследование надпочечников

Запишитесь на КТ почек с контрастом по удобному адресу

Записаться
Фильтр по услугам КТ с контрастом

Введение контраста

С контрастом Без контраста

Станция метро

Площадь Восстания Проспект Просвещения Нарвская Рыбацкое Девяткино Гражданский проспект Академическая Политехническая Площадь Мужества Лесная Выборгская Площадь Ленина Чернышевская Владимирская Пушкинская Технологический институт Балтийская Кировский завод Автово Ленинский проспект Проспект Ветеранов Парнас Озерки Удельная Пионерская Чёрная речка Петроградская Горьковская Невский проспект Сенная площадь Фрунзенская Московские ворота Электросила Парк Победы Московская Звёздная Купчино Беговая Зенит Приморская Василеостровская Гостиный двор Маяковская Площадь Александра Невского Елизаровская Ломоносовская Пролетарская Обухово Спасская Достоевская Лиговский проспект Площадь Александра Невского Новочеркасская Ладожская Проспект Большевиков Улица Дыбенко Комендантский проспект Старая Деревня Крестовский остров Чкаловская Спортивная Адмиралтейская Садовая Звенигородская Обводный канал Волковская Бухарестская Международная Проспект Славы Дунайская Шушары Богатырская Каменка Театральная Горный институт Путиловская Юго-Западная Кудрово Шуваловский проспект Каретная Боровая Заставская Броневая

Возраст пациента

Взрослому Ребенку от 15 лет

Пол пациента

Мужчине Женщине

Программы страхования

ДМС Платно ОМС

Цены

Услуги, соответствующие запросу, не найдены.

КТ головного мозга с контрастом
руб
От 6 400 руб
КТ околоносовых пазух с контрастом
руб
От 6 400 руб
КТ орбит с контрастом
руб
От 6 400 руб
КТ носоглотки с контрастом
руб
От 6 400 руб
КТ щитовидной железы с контрастом
руб
От 6 400 руб
КТ лимфатических узлов с контрастом
руб
От 6 400 руб
КТ гортани с контрастом
руб
От 6 400 руб
КТ шеи с контрастом
руб
От 6 600 руб
КТ легких с контрастом
руб
От 6 400 руб
КТ почек с контрастом
руб
От 6 400 руб
КТ печени с контрастом
руб
От 6 400 руб
КТ селезенки с контрастом
руб
От 6 400 руб
КТ поджелудочной железы с контрастом
руб
От 6 400 руб
КТ надпочечников с контрастом
руб
От 6 400 руб
КТ мочевого пузыря с контрастом
руб
От 6 400 руб
КТ одной анатомической зоны с контрастом
руб
От 6 400 руб
КТ брюшной полости и забрюшинного пространства с контрастом
руб
От 6 400 руб
КТ таза с контрастом
руб
От 6 400 руб
КТ верхней конечности с контрастом
руб
От 6 400 руб
КТ нижних конечностей с контрастом
руб
От 7 500 руб
от бифуркации аорты до коленного сустава
руб
От 7 500 руб
от бифуркации аорты до стопы
руб
От 9 500 руб
Контраст 100 мл (до 100 кг)
руб
3 500 руб
Контраст 150 мл (от 100 кг до 120 кг)
руб
4 500 руб

Адреса диагностических центров "Доступная Медицина"

Преимущества наших диагностических центров

Доступные цены

Приемлемые цены
на все услуги

Качественный сервис

Контроль качества
оказываемых услуг

Лучшие специалисты

Высококвалифицированные врачи

Новейшее оборудование

Современные томографы с высочайшим качеством визуализации

Близость к метро

Мы находимся в непосредственной близости от метро и остановок общественного транспорта

Лицензии

Современные томографы с высочайшим качеством визуализации

Назад
Вперед
Ключникова Екатерина Игоревна
Информация проверена главным врачом клиники Domedica24
Ключникова Екатерина Игоревна
Стаж более 8 лет, главный врач, врач-рентгенолог 1 категории
Площадь Стачек, 9">
ул. 1-я Советская, 8">