Назад МРТ коленного сустава в СПБ

5 300
/
По акции в Рыбацком
3 900
руб
Записаться на прием
5 300 руб
По акции в Рыбацком
3 900 руб
Записаться
  • Ограничения по весу 120 кг
  • Длительность выполнения 30 минут
  • Срок получения результата В течение дня
  • Введение контраста Нет
  • Ограничения по возрасту От 15 лет
Воспроизвести
Описание

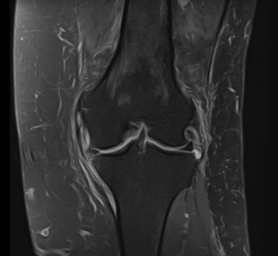
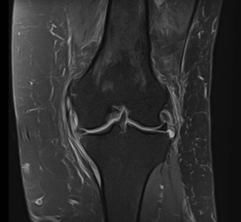
Магнитно-резонансная томография является высокоинформативным методом выявления причин возникновения заболеваний коленного сустава. В клинике «Доступная медицина» диагностика осуществляется на новейшем высокопольном томографе закрытого типа TOSHIBA VANTAGE TITAN 1,5 Тесла, обеспечивающем высочайшее качество изображений исследуемой зоны. 

Томограф позволяет детально визуализировать как костные структуры колена, так и окружающие мягкие ткани данной анатомической области, включая мышцы, связки, нервные сплетение, сосуды.

Стандартная МРТ коленного сустава, которая выполняется в большинстве случаев, не предусматривает применения контраста. Но иногда необходимо введение контрастного вещества для лучшей визуализации патологических изменений в тканях. Контраст избирательно накапливается в очаге поражения, что можно оценить визуально и в цифровом выражении. Так контрастирование помогает выявлять новообразования размером от 1 мм, что повышает шансы пациента на получение своевременного лечения и выздоровление.

В качестве контрастного вещества применяются препараты на основе солей гадолиния, которые, как правило, хорошо переносятся и выводятся из организма преимущественно почками в течение суток после введения.

Показания к проведению МРТ коленного сустава

Свернуть/развернуть

Существуют симптомы и медицинские показатели, которые свидетельствуют о необходимости проведения диагностики. К ним можно отнести:

  • продолжительные болевые ощущения в колене, которые носят ноющий характер,
  • повреждение тканей, подозрения на перелом, растяжение, разрыв связок или вывих после травмы,
  • повреждение или разрыв сухожилия,
  • подозрение на наличие опухоли или кистозного образования в тканях,
  • нарушения, связанные с дисфункциями сустава, нехарактерные звуки в суставе во время движения (хруст, щелчки),
  • подозрения на воспалительные процессы, скопление жидкости в полости сустава,
  • артриты, артрозы,
  • аномалии развития,
  • инфекционные заболевания.

МРТ коленного сустава также может быть проведено при хронической водянке колена, гемартрозе, болезни Гоффа, для проверки правильности назначенного лечения, перед оперативным вмешательством и в постоперационный период.

Что показывает МРТ коленного сустава

Свернуть/развернуть

Одна из основных причин ограничения трудоспособности активной части людей – заболевания суставов. Популяризация сложных видов спорта приводит к увеличению количества травм и ортопедических проблем, которые возникают уже в молодом возрасте. Поэтому так важно, чтобы их диагностика была безопасной, точной и как можно более ранней.

Этим требованиям полностью отвечает метод магнитно-резонансной томографии.

Какие могут быть противопоказания для МРТ коленного сустава?

Свернуть/развернуть
  • Противопоказанием является наличие в теле пациента ферромагнитных (то есть способных намагничиваться) металлических предметов медицинского назначения. Это могут быть спицы, винты, штифты, пластины, сосудистые скобы, клипсы, стенты, протезы. При этом некоторые медицинские изделия изготавливаются из материалов, которые позволяют проводить МРТ, также имеет значение, на каком расстоянии они расположены от исследуемой области. В каждом конкретном случае врачом принимается решение о возможности проведения МРТ.
  • Противопоказанием для проведения МРТ также являются любые инородные металлические предметы, находящиеся в теле пациента (осколки, пули, кусочки металлической стружки, неснимаемый пирсинг).
  • Наличие имплантированных электронных устройств, работа которых может нарушиться под влиянием магнитного поля томографа (кардиостимуляторы, водители ритма, кохлеарные имплантаты, инсулиновые помпы и др).
  • Стандартную МРТ без контрастирования не рекомендуется проводить беременным женщинам в первом триместре из-за риска воздействия на формирующиеся органы плода. 
  • МРТ с контрастированием противопоказано при беременности на любом сроке.
  • Аллергические реакции на контрастное вещество является противопоказанием для введения контраста (если планируется контрастное усиление).
  • Противопоказано введение контраста при хронической почечной недостаточности. 
  • Невозможно выполнить МРТ пациентам с массой тела более 120 кг (ограничение по массе тела связано с конструктивными особенностями томографа).

Если у вас имеются противопоказания к МРТ, в клинике «Доступная медицина» можно пройти КТ коленного сустава на современном компьютерном томографе экспертного уровня с пониженным уровнем лучевой нагрузки.

Какая нужна подготовка к исследованию

Свернуть/развернуть

При проведении стандартной МРТ коленного сустава без контрастирования специальная подготовка не нужна. 

Необходимо принести с собой медицинскую документацию, относящуюся к зоне исследования:

  • направление от лечащего врача;
  • выписки из амбулаторных карт и стационаров;
  • результаты предыдущих исследований (МР-снимки, СD/DVD диски, снимки КТ).

Если планируется введение контраста у пациента с подозрением на почечную недостаточность, необходимо не более, чем за 2 недели до исследования, сдать биохимический анализ крови для контроля уровня креатинина (показатель, отражающий функцию почек).

В случае наличия каких-либо протезов или имплантатов, материал которых не препятствует проведению МРТ, необходимо предоставить справку об этом из учреждения, где они были установлены. 

Контраст вводится внутривенно через предварительно установленный в вену катетер и может сопровождаться появлением чувства теплоты во всем теле, неприятного привкуса во рту. Эти явления кратковременны и через пару минут исчезают. Введенный контраст удаляется из организма преимущественно почками в течение последующих суток. Поэтому кормящим женщинам нужно приостановить грудное кормление на 24-48 часов после исследования, при этом проводить сцеживание молока.

Перед исследованием необходимо снять одежду с металлической фурнитурой. Также необходимо убрать пирсинг, другие украшения, часы, из карманов выложить мобильные телефоны, пластиковые карты, любые электронные устройства, гаджеты или предметы, которые могут содержать металл. 

Во время сканирования пациент лежит внутри туннеля томографа, при этом нельзя двигаться, иначе можно получить нечеткость изображений исследуемой области. Томограф во время работы издает громкий шум, поэтому для уменьшения этого дискомфорта можно воспользоваться берушами или наушниками.

Врач и рентгенолаборант находятся в смежном помещении, между которыми имеется стеклянная перегородка. Для вызова персонала служит сигнальное устройство в виде груши, которое во время исследования находится в руке пациента.

Некоторые пациенты могут испытывать волнение, поэтому разрешается присутствие сопровождающего в диагностическом кабинете во время исследования.

Запишитесь на МРТ коленного сустава по удобному адресу

Записаться
Фильтр по услугам МРТ суставов

Введение контраста

С контрастом Без контраста

Станция метро

Площадь Восстания Нарвская Проспект Просвещения Рыбацкое Девяткино Гражданский проспект Академическая Политехническая Площадь Мужества Лесная Выборгская Площадь Ленина Чернышевская Владимирская Пушкинская Технологический институт Балтийская Кировский завод Автово Ленинский проспект Проспект Ветеранов Парнас Озерки Удельная Пионерская Чёрная речка Петроградская Горьковская Невский проспект Сенная площадь Фрунзенская Московские ворота Электросила Парк Победы Московская Звёздная Купчино Беговая Зенит Приморская Василеостровская Гостиный двор Маяковская Площадь Александра Невского Елизаровская Ломоносовская Пролетарская Обухово Спасская Достоевская Лиговский проспект Площадь Александра Невского Новочеркасская Ладожская Проспект Большевиков Улица Дыбенко Комендантский проспект Старая Деревня Крестовский остров Чкаловская Спортивная Адмиралтейская Садовая Звенигородская Обводный канал Волковская Бухарестская Международная Проспект Славы Дунайская Шушары Богатырская Каменка Театральная Горный институт Путиловская Юго-Западная Кудрово Шуваловский проспект Каретная Боровая Заставская Броневая

Возраст пациента

Взрослому Ребенку от 15 лет

Пол пациента

Мужчине Женщине

Тип аппарата

Открытый Закрытый

Мощность МРТ

1.5 Тл 3 Тесла

Программы страхования

ДМС Платно ОМС

Цены

Услуги, соответствующие запросу, не найдены.

МРТ крестцово-подвздошных суставов
руб
4 600 / 3 200 руб
Подробнее
МРТ височно-нижнечелюстных суставов (1 положение)
руб
4 200 руб
МРТ височно-нижнечелюстных суставов (ВНЧС) открытый рот/закрытый рот
руб
6 200 руб
МРТ височно-нижнечелюстных суставов (ВНЧС) открытый рот/закрытый рот с капой (капа выдается лечащим врачом)
руб
6 200 руб
МРТ височно-нижнечелюстных суставов (ВНЧС) открытый рот/закрытый рот/закрытый рот с регистратором прикуса (регистратор выдается лечащим врачом)
руб
8 200 руб
МРТ плечевого сустава
руб
5 300 / 3 900 руб
Подробнее
МРТ локтевого сустава
руб
5 300 / 3 900 руб
Подробнее
МРТ лучезапястного сустава
руб
5 300 / 3 900 руб
Подробнее
МРТ кисти
руб
5 300 / 3 900 руб
Подробнее
МРТ тазобедренных суставов
руб
5 300 / 3 900 руб
Подробнее
МРТ тазобедренного сустава расширенное (1 сустав) *Акция во всех филиалах
руб
5 300 руб
МРТ коленного сустава
руб
5 300 / 3 900 руб
Подробнее
МРТ голеностопного сустава
руб
5 300 / 3 900 руб
Подробнее
МРТ стопы
руб
5 300 / 3 900 руб
Подробнее
МРТ двух суставов
руб
8 600 / 7 200 руб
Подробнее

Адреса диагностических центров "Доступная Медицина"

Преимущества наших диагностических центров

Доступные цены

Приемлемые цены
на все услуги

Качественный сервис

Контроль качества
оказываемых услуг

Лучшие специалисты

Высококвалифицированные врачи

Новейшее оборудование

Современные томографы с высочайшим качеством визуализации

Близость к метро

Мы находимся в непосредственной близости от метро и остановок общественного транспорта

Где еще можно сделать МРТ коленного сустава в СПБ. Адреса и цены.

Клиника «Доступная медицина»
1
2
3
4
5
(4.9)
Модель: МРТ Toshiba Vantage Titan 1.5T
МРТ коленного сустава с контрастом от 8000 руб.
МРТ коленного сустава с травматологическим протоколом от 6500 руб.
МРТ коленного сустава с картированием суставного хряща от 12300 руб.
МРТ коленного сустава с захватом бедра от 7500 руб.
МРТ коленного сустава с захватом голени от 8500 руб.
Телефон: +7 (812) 380-83-84
Метро: Метро: 150 метров от м. Проспекта ПросвещенияСанкт-Петербург, м. Проспект Просвещения, проспект Энгельса, 138 корпус 1
Адрес: Адрес: Санкт-Петербург, м. Проспект Просвещения, проспект Энгельса, 138 корпус 1
МРТ центр МАГНИТ
1
2
3
4
5
(5.0)
Модель: Simens Simphony, Закрытый мрт томограф 1.5 Тесла, высокопольный; 2015 (экспертный класс)
МРТ коленного сустава от 5300 руб.
МРТ коленного сустава ночью от 4500 руб.
МРТ коленного сустава с контрастом от 8000 руб.
МРТ коленного сустава с онкопоиском от 8000 руб.
МРТ коленного сустава с травматологическим протоколом от 8000 руб.
МРТ коленного сустава с картированием суставного хряща от 10300 руб.
Телефон: +7 (812) 509-62-71
Метро: Метро: 500 метров от м.Технологический институт
Адрес: Адрес: Санкт-Петербург, 6я Красноармейская улица, д. 7
Медицина Северной Столицы
1
2
3
4
5
(4.5)
Модель: Siemens Magnetom Symphony
МРТ коленного сустава от 6300 руб.
МРТ коленного сустава с контрастом от 10000 руб.
МРТ коленного сустава с травматологическим протоколом от 6500 руб.
МРТ коленного сустава с картированием суставного хряща от 12300 руб.
Телефон: +7 (812) 566-42-75
Метро: Метро: 30 метров от м.Владимирская
Адрес: Адрес: Санкт-Петербург, Кузнечный переулок, 2
Академия МРТ
1
2
3
4
5
(4.6)
Модель: Simens Simphony, Закрытый мрт томограф 1.5 Тесла, высокопольный; 2015 (экспертный класс)
МРТ коленного сустава от 6500 руб.
МРТ коленного сустава с контрастом от 10000 руб.
МРТ коленного сустава с травматологическим протоколом от 6500 руб.
МРТ коленного сустава с картированием суставного хряща от 12300 руб.
МРТ коленного сустава с захватом смежной 1/3 конечности от 6500 руб.
Телефон: +7 (812) 648-23-49
Метро: Метро: 330 метров от м.Проспекта Просвещения
Адрес: Адрес: Санкт-Петербург, просп. Энгельса, 133, корп. 1В
«Мастерская Здоровья»
1
2
3
4
5
(4.6)
Модель: Hitachi Aperto - 0,40 Тесла, вес до 120 кг, открытого
МРТ коленного сустава от 6478 руб.
МРТ коленного сустава с контрастом от 8000 руб.
МРТ коленного сустава с травматологическим протоколом от 6500 руб.
МРТ коленного сустава с картированием суставного хряща от 12300 руб.
МРТ коленного сустава с захватом бедра от 7500 руб.
МРТ коленного сустава с захватом голени от 8500 руб.
Телефон: +7 812 421 70 32
Метро: Метро: 1500 метров от м. Лесная
Адрес: Адрес: Санкт-Петербург, Полюстровский просп., д. 68-А
Клиника «Энерго»
1
2
3
4
5
(4.7)
Модель: GE Brivo MR355 1.5T
МРТ коленного сустава от 6550 руб.
МРТ коленного сустава с контрастом от 8000 руб.
МРТ коленного сустава с травматологическим протоколом от 6500 руб.
МРТ коленного сустава и суставного хряща с цветным картированием от 12300 руб.
МРТ коленного сустава с захватом бедра от 7500 руб.
Телефон: +7 (812) 901-03-03
Метро: Метро: 10 минут от м. Фрунзенская
Адрес: Адрес: Санкт-Петербург, ул. Киевская, д. 5 корпус 4
«СМ-Клиника»
1
2
3
4
5
(4.6)
Модель: Siemens Magnetom Essenza 1.5T
МРТ коленного сустава от 6499 руб.
МРТ коленного сустава с контрастом от 10000 руб.
МРТ коленного сустава с захватом голени от 8500 руб.
МРТ коленного сустава (оба) от 11500 руб.
МРТ поясничного отдела позвоночника + МРТ коленного сустава от 12500 руб.
Телефон: +7 (812) 618 99 34
Метро: Метро: 1500 метров от м. Проспекта Просвещения
Адрес: Адрес: Санкт-Петербург, ш. Выборгское, д. 17/1
ЦМРТ Нарвский
1
2
3
4
5
(4.7)
Модель: GE Signa Echospeed Plus 1,50 Тесла, вес 120+ кг, закрытого типа
МРТ коленного сустава от 6479 руб.
МРТ коленного сустава с травматологическим протоколом от 6500 руб.
МРТ коленного сустава и суставного хряща с цветным картированием от 12300 руб.
МРТ коленного сустава с захватом бедра от 7500 руб.
Телефон: +7 (812) 448-97-83
Метро: Метро: 720 метров от м. Петроградская
Адрес: Адрес: Санкт-Петербург, улица Рентгена, 5
МРТ Центр «Риорит»
1
2
3
4
5
(4.7)
Модель: Siemens Magnetom C 0,35 Тесла, вес 120+ кг, открытого типа
МРТ коленного сустава от 6350 руб.
МРТ коленного сустава с травматологическим протоколом от 6500 руб.
МРТ коленного сустава и суставного хряща с цветным картированием от 12300 руб.
МРТ коленного сустава с захватом бедра от 7500 руб.
Телефон: +7 (812) 241-10-10
Метро: Метро: 970 метров от м. Гражданский проспект
Адрес: Адрес: Санкт-Петербург, ул. Руставели, 66Г
Центр МРТ Типанова
1
2
3
4
5
(4.6)
Модель: GE Signa Echospeed Plus 1,5 Тл
МРТ коленного сустава от 6420 руб.
МРТ коленного сустава с травматологическим протоколом от 6500 руб.
МРТ коленного сустава и суставного хряща с цветным картированием от 12300 руб.
МРТ коленного сустава с захватом бедра от 7500 руб.
Телефон: +7 (812) 748-59-07
Метро: Метро: 820 метров от м. Московская
Адрес: Адрес: Санкт-Петербург, ул. Типанова дом 12А
Центр МРТ «Скандинавия»
1
2
3
4
5
(4.7)
Модель: GE Healthcare Optima CT660
МРТ коленного сустава от 6371 руб.
МРТ коленного сустава с травматологическим протоколом от 6500 руб.
МРТ коленного сустава и суставного хряща с цветным картированием от 12300 руб.
МРТ коленного сустава с захватом бедра от 7500 руб.
Телефон: +7 (812) 565-97-84
Метро: Метро: 1900 метров от м. Ломоносовская
Адрес: Адрес: Санкт-Петербург, ул. Народная, д. 21, корп. 2
Лаборатория «Хеликс»
1
2
3
4
5
(4.7)
Модель: Hitachi Aperto 0,4
МРТ коленного сустава от 6400 руб.
МРТ коленного сустава с травматологическим протоколом от 6500 руб.
МРТ коленного сустава и суставного хряща с цветным картированием от 12300 руб.
МРТ коленного сустава с захватом бедра от 7500 руб.
Телефон: +7 (812) 309 12 21
Метро: Метро: 3500 метров от м. Ладожская
Адрес: Адрес: Санкт-Петербург, ш. Революции, д. 50, корп. 3
Клиника Пирогова
1
2
3
4
5
(4.7)
Модель: Toshiba Vantage Atlas 1.5Т
МРТ коленного сустава от 6420 руб.
МРТ коленного сустава с травматологическим протоколом от 6500 руб.
МРТ коленного сустава и суставного хряща с цветным картированием от 12300 руб.
МРТ коленного сустава с захватом бедра от 7500 руб.
Телефон: +7 (812) 676-25-25
Метро: Метро: 1800 метров от м. Балтийская
Адрес: Адрес: Санкт-Петербург, наб. р. Фонтанки, д. 154
Медицинский центр «Статус Грация плюс»
1
2
3
4
5
(4.6)
Модель: Siemens Magnetom C 0,5 Тесла
МРТ коленного сустава от 6450 руб.
МРТ коленного сустава с контрастом от 10000 руб.
МРТ коленного сустава с захватом голени от 8500 руб.
МРТ коленного сустава (оба) от 11500 руб.
МРТ поясничного отдела позвоночника + МРТ коленного сустава от 12500 руб.
Телефон: +7 (812) 220-43-89
Метро: Метро: 630 метров от м. Улица Дыбенко
Адрес: Адрес: Санкт-Петербург, пр-кт Большевиков, д. 11, корп. 2
Институт Турнера
1
2
3
4
5
(4.9)
Модель: Siemens Magnetom Espree, 1,50 Тесла, вес 120+ кг, открытого типа
МРТ коленного сустава от 6320 руб.
МРТ коленного сустава с контрастом от 10000 руб.
МРТ коленного сустава с захватом голени от 8500 руб.
МРТ коленного сустава (оба) от 11500 руб.
МРТ поясничного отдела позвоночника + МРТ коленного сустава от 12500 руб.
Телефон: +7 (812) 507-54-54
Метро: Метро: 800 метров от м. Чкаловская
Адрес: Адрес: Санкт-Петербург, ул. Лахтинская, д. 12 лит. А
Городская больница № 40 Курортного района
1
2
3
4
5
(4.7)
Модель: Magnetom Espree и Magnetom Avanto
МРТ коленного сустава от 6380 руб.
МРТ коленного сустава с контрастом от 10000 руб.
МРТ коленного сустава с захватом голени от 8500 руб.
МРТ коленного сустава (оба) от 11500 руб.
МРТ поясничного отдела позвоночника + МРТ коленного сустава от 12500 руб.
Телефон: +7 (812) 437-35-13
Метро: Метро: Нет
Адрес: Адрес: г. Сестрорецк, ул. Борисова, д. 9
ФГБУ Нмиц ТО им. Р. Р. Вредена
1
2
3
4
5
(4.7)
Модель: Philips Achievac напряжением магнитного поля 1,5 Тесла
МРТ коленного сустава от 6380 руб.
МРТ коленного сустава с контрастом от 10000 руб.
МРТ коленного сустава с захватом голени от 8500 руб.
МРТ коленного сустава (оба) от 11500 руб.
МРТ поясничного отдела позвоночника + МРТ коленного сустава от 12500 руб.
Телефон: +7 (812) 670-86-70
Метро: Метро: 2500 метров от м. Академическая
Адрес: Адрес: Санкт-Петербург, ул. Академика Байкова, д. 8
Первая Невская Клиника
1
2
3
4
5
(4.6)
Модель: Siemens Magnetom C 0,5 Тесла
МРТ коленного сустава от 6420 руб.
МРТ коленного сустава с контрастом от 10000 руб.
МРТ коленного сустава с захватом голени от 8500 руб.
МРТ коленного сустава (оба) от 11500 руб.
МРТ поясничного отдела позвоночника + МРТ коленного сустава от 12500 руб.
Телефон: +7 (812) 361-11-11
Метро: Метро: 780 метров от м. Чернышевская
Адрес: Адрес: Санкт-Петербург, ул. Кирочная, д. 41
Клиника «СМТ»
1
2
3
4
5
(4.6)
Модель: GE Signa HDx 1.5T 1,50 Тесла, вес до 120 кг, закрытого типа
МРТ коленного сустава от 6400 руб.
МРТ коленного сустава с контрастом от 10000 руб.
МРТ коленного сустава с захватом голени от 8500 руб.
МРТ коленного сустава (оба) от 11500 руб.
МРТ поясничного отдела позвоночника + МРТ коленного сустава от 12500 руб.
Телефон: +7 (812) 210-30-38
Метро: Метро: 2200 метров от м. Садовая
Адрес: Адрес: Санкт-Петербург, Римского-Корсакова, 87
Центр радиологии и хирургических технологий Гранова
1
2
3
4
5
(4.6)
Модель: Toshiba Vantage Titan 3T 3,00 Тесла, вес до 120 кг, закрытого типа
МРТ коленного сустава от 6450 руб.
МРТ коленного сустава с контрастом от 10000 руб.
МРТ коленного сустава с захватом голени от 8500 руб.
МРТ коленного сустава (оба) от 11500 руб.
МРТ поясничного отдела позвоночника + МРТ коленного сустава от 12500 руб.
Телефон: +7 (812) 439-67-39
Метро: Метро: нет
Адрес: Адрес: Санкт-Петербург, п. Песочный, ул. Ленинградская, д. 70
Детская больница № 2 Святой Марии Магдалины
1
2
3
4
5
(4.6)
Модель: Toshiba Vantage Titan 1.5 T 1,50 Тесла, вес 120+ кг, закрытого типа
МРТ коленного сустава от 6380 руб.
МРТ коленного сустава с контрастом от 10000 руб.
МРТ коленного сустава с захватом голени от 8500 руб.
МРТ коленного сустава (оба) от 11500 руб.
МРТ поясничного отдела позвоночника + МРТ коленного сустава от 12500 руб.
Телефон: +7 (812) 670 45 27
Метро: Метро: 190 метров от м. Спортивная
Адрес: Адрес: Санкт-Петербург, Васильевский о-в, 2-я линия, д. 47
ФГБУЗ Санкт-Петербургская клиническая больница РАН
1
2
3
4
5
(4.6)
Модель: Siemens Magnetom Essenza 1,50 Тесла, вес до 120 кг, закрытого типа
МРТ коленного сустава от 6320 руб.
МРТ коленного сустава с контрастом от 10000 руб.
МРТ коленного сустава с захватом голени от 8500 руб.
МРТ коленного сустава (оба) от 11500 руб.
МРТ поясничного отдела позвоночника + МРТ коленного сустава от 12500 руб.
Телефон: +7 (812) 323-45-35
Метро: Метро: 1700 метров от м. Удельная
Адрес: Адрес: Санкт-Петербург, просп. Тореза, д. 72
Перинатальный центр Алмазова
1
2
3
4
5
(4.6)
Модель: Siemens Magnetom Espree 1,50 Тесла, вес 120+ кг, открытого типа
МРТ коленного сустава от 6320 руб.
МРТ коленного сустава с контрастом от 10000 руб.
МРТ коленного сустава с захватом голени от 8500 руб.
МРТ коленного сустава (оба) от 11500 руб.
МРТ поясничного отдела позвоночника + МРТ коленного сустава от 12500 руб.
Телефон: +7 (812) 925-46-61
Метро: Метро: 1100 метров от м.Удельная
Адрес: Адрес: Санкт-Петербург, ул. Аккуратова, д. 2, лит. Б
Центр МРТ Скан
1
2
3
4
5
(4.8)
Модель: Siemens Magnetom Symphony 1,50 Тесла, вес 120+ кг, закрытого типа
МРТ коленного сустава от 6450 руб.
МРТ коленного сустава с контрастом от 10000 руб.
МРТ коленного сустава с захватом голени от 8500 руб.
МРТ коленного сустава (оба) от 11500 руб.
МРТ поясничного отдела позвоночника + МРТ коленного сустава от 12500 руб.
Телефон: +7 (812) 900-16-03
Метро: Метро: 1300 метров от м.Международная
Адрес: Адрес: Санкт-Петербург, ул. Пражская, д. 38б
МРТ-центр на метро Рыбацкое
1
2
3
4
5
(4.7)
Модель: GE Signa Ovation HDx 0.35T 0,35 Тесла, вес 120+ кг, открытого типа
МРТ коленного сустава от 6410 руб.
МРТ коленного сустава с контрастом от 10000 руб.
МРТ коленного сустава с захватом голени от 8500 руб.
МРТ коленного сустава (оба) от 11500 руб.
МРТ поясничного отдела позвоночника + МРТ коленного сустава от 12500 руб.
Телефон: +7 (812) 984-56-05
Метро: Метро: 1500 метров от м.Рыбацкое
Адрес: Адрес: Санкт-Петербург, пр-кт Шлиссельбургский, д. 3/7
Медицинский центр «Адмиралтейские верфи»
1
2
3
4
5
(4.5)
Модель: GE Signa HDx 1.5T 1,50 Тесла, вес до 120 кг,
МРТ коленного сустава от 6380 руб.
МРТ коленного сустава с контрастом от 10000 руб.
МРТ коленного сустава с захватом голени от 8500 руб.
МРТ коленного сустава (оба) от 11500 руб.
МРТ поясничного отдела позвоночника + МРТ коленного сустава от 12500 руб.
Телефон: +7 (812) 714-80-80
Метро: Метро: 1900 метров от м.Балтийская
Адрес: Адрес: Санкт-Петербург, ул. Садовая, д. 126
ФГБУ Днкциб ФМБА России (НИИДИ)
1
2
3
4
5
(4.8)
Модель: Philips Ingenia 1.5Т 1,50 Тесла, вес 120+ кг, закрытого типа
МРТ коленного сустава от 6474 руб.
МРТ коленного сустава с травматологическим протоколом от 6500 руб.
МРТ коленного сустава и суставного хряща с цветным картированием от 12300 руб.
МРТ коленного сустава с захватом бедра от 7500 руб.
Телефон: +7 (812) 346-44-15
Метро: Метро: 910 метров от м.Петроградская
Адрес: Адрес: Санкт-Петербург, ул. Профессора Попова, д. 9
СПб ГБУЗ Елизаветинская больница
1
2
3
4
5
(4.6)
Модель: Siemens Magnetom Symphony
МРТ коленного сустава от 6478 руб.
МРТ коленного сустава с травматологическим протоколом от 6500 руб.
МРТ коленного сустава и суставного хряща с цветным картированием от 12300 руб.
МРТ коленного сустава с захватом бедра от 7500 руб.
Телефон: +7 (812) 555-05-55
Метро: Метро: 2100 метров от м.Академическая
Адрес: Адрес: Санкт-Петербург, ул. Вавиловых, д. 14
Центр протонной терапии МИБС
1
2
3
4
5
(4.5)
Модель: 1,5 Тл закрытый высокопольный
МРТ коленного сустава от 6481 руб.
МРТ коленного сустава с травматологическим протоколом от 6500 руб.
МРТ коленного сустава и суставного хряща с цветным картированием от 12300 руб.
МРТ коленного сустава с захватом бедра от 7500 руб.
Телефон: +7 (812) 244-31-21
Метро: Метро: 4000 метров от м.Комендантский проспект
Адрес: Адрес: Санкт-Петербург, ул. Глухарская, д. 16, корп. 2
Ленинградская областная больница
1
2
3
4
5
(4.6)
Модель: 1,5 Тл закрытый высокопольный
МРТ коленного сустава от 6420 руб.
МРТ коленного сустава с травматологическим протоколом от 6500 руб.
МРТ коленного сустава и суставного хряща с цветным картированием от 12300 руб.
МРТ коленного сустава с захватом бедра от 7500 руб.
Телефон: +7 (812) 670-18-88
Метро: Метро: 3000 метров от м.Озерки
Адрес: Адрес: Санкт-Петербург, пр. Луначарского, д. 45-49
Национальный медицинский исследовательский центр Алмазова
1
2
3
4
5
(4.5)
Модель: 1,5 Тл закрытый высокопольный
МРТ коленного сустава от 6400 руб.
МРТ коленного сустава с травматологическим протоколом от 6500 руб.
МРТ коленного сустава и суставного хряща с цветным картированием от 12300 руб.
МРТ коленного сустава с захватом бедра от 7500 руб.
Телефон: +7 (812) 416-53-51
Метро: Метро: 1100 метров от м.Удельная
Адрес: Адрес: Санкт-Петербург, ул. Аккуратова, д. 2
Диагностический центр «D-med»
1
2
3
4
5
(4.7)
Модель: Siemens Magnetom Symphony 1,50 Тесла, вес 120+ кг, закрытого типа
МРТ коленного сустава от 6477 руб.
МРТ коленного сустава с травматологическим протоколом от 6500 руб.
МРТ коленного сустава и суставного хряща с цветным картированием от 12300 руб.
МРТ коленного сустава с захватом бедра от 7500 руб.
Телефон: +7 (812) 386-99-81
Метро: Метро: нет
Адрес: Адрес: п. Стрельна, Санкт-Петербургское ш., д. 48
Американская Медицинская Клиника
1
2
3
4
5
(4.9)
Модель: 1,5 Тл закрытый высокопольный
МРТ коленного сустава от 6380 руб.
МРТ коленного сустава с травматологическим протоколом от 6500 руб.
МРТ коленного сустава и суставного хряща с цветным картированием от 12300 руб.
МРТ коленного сустава с захватом бедра от 7500 руб.
Телефон: +7 (812) 740-20-90
Метро: Метро: 1100 метров от м.Адмиралтейская
Адрес: Адрес: Санкт-Петербург, аб. реки Мойки, д. 78
Покровская больница
1
2
3
4
5
(4.7)
Модель: 1,5 Тл закрытый высокопольный
МРТ коленного сустава от 6478 руб.
МРТ коленного сустава с травматологическим протоколом от 6500 руб.
МРТ коленного сустава и суставного хряща с цветным картированием от 12300 руб.
МРТ коленного сустава с захватом бедра от 7500 руб.
Телефон: +7 (812) 322-03-03
Метро: Метро: 2300 метров от м.Василеостровская
Адрес: Адрес: Санкт-Петербург, Васильевский остров, Большой проспект, д. 85
Консультативно-диагностический центр с поликлиникой ФГБУ
1
2
3
4
5
(4.7)
Модель: Siemens Magnetom Avanto 1,50 Тесла, вес 120+ кг, закрытого типа
МРТ коленного сустава от 6499 руб.
МРТ коленного сустава с травматологическим протоколом от 6500 руб.
МРТ коленного сустава и суставного хряща с цветным картированием от 12300 руб.
МРТ коленного сустава с захватом бедра от 7500 руб.
Телефон: +7 (812) 325-00-03
Метро: Метро: 1200 метров от м.Крестовский остров
Адрес: Адрес: Санкт-Петербург, ул. Профессора Попова, д. 9
Психоневрологический институт Бехтерева
1
2
3
4
5
(4.7)
Модель: 1,5 Тл закрытый высокопольный
МРТ коленного сустава от 6420 руб.
МРТ коленного сустава с травматологическим протоколом от 6500 руб.
МРТ коленного сустава и суставного хряща с цветным картированием от 12300 руб.
МРТ коленного сустава с захватом бедра от 7500 руб.
Телефон: +7 (812) 670-02-20
Метро: Метро: 2100 метров от м.Елизаровская
Адрес: Адрес: Санкт-Петербург, ул. Бехтерева, д. 3
Клиника им. Эйхвальда
1
2
3
4
5
(4.6)
Модель: 1,5 Тл закрытый высокопольный
МРТ коленного сустава от 6420 руб.
МРТ коленного сустава с контрастом от 8000 руб.
МРТ коленного сустава с травматологическим протоколом от 6500 руб.
МРТ коленного сустава и суставного хряща с цветным картированием от 12300 руб.
МРТ коленного сустава с захватом бедра от 7500 руб.
Телефон: +7 (812) 303-50-50
Метро: Метро: 780 метров от м.Чернышевская
Адрес: Адрес: Санкт-Петербург, ул. Кирочная, д. 41
Больница №2 в Озерках
1
2
3
4
5
(4.6)
Модель: 1,5 Тл закрытый высокопольный
МРТ коленного сустава от 6400 руб.
МРТ коленного сустава с травматологическим протоколом от 6500 руб.
МРТ коленного сустава и суставного хряща с цветным картированием от 12300 руб.
МРТ коленного сустава с захватом бедра от 7500 руб.
Телефон: +7 (812) 338-93-18
Метро: Метро: 1100 метров от м.>Озерки
Адрес: Адрес: Санкт-Петербург, Учебный пер., д. 5
Детская больница №19 им. Раухфуса
1
2
3
4
5
(4.7)
Модель: 1,5 Тл закрытый высокопольный
МРТ коленного сустава от 6478 руб.
МРТ коленного сустава с контрастом от 8000 руб.
МРТ коленного сустава с контрастом от 10000 руб.
МРТ коленного сустава с захватом голени от 8500 руб.
МРТ коленного сустава (оба) от 11500 руб.
МРТ поясничного отдела позвоночника + МРТ коленного сустава от 12500 руб.
Телефон: +7 (812) 506-06-06
Метро: Метро: 430 метров от м. Площадь Восстания
Адрес: Адрес: Санкт-Петербург, Лиговский просп., д. 8
Ревматологическая больница №25
1
2
3
4
5
(4.6)
Модель: 1,5 Тл закрытый высокопольный
МРТ коленного сустава от 6380 руб.
МРТ коленного сустава с контрастом от 10000 руб.
МРТ коленного сустава с захватом голени от 8500 руб.
МРТ коленного сустава (оба) от 11500 руб.
МРТ поясничного отдела позвоночника + МРТ коленного сустава от 12500 руб.
Телефон: +7 (812) 670-30-80.
Метро: Метро: м.Садовая
Адрес: Адрес: Санкт-Петербург, ул. Большая Подъяческая, д. 30
Больница Святого Георгия
1
2
3
4
5
(4.7)
Модель: Ренекс 0,23 Тесла, вес 120+ кг, открытого типа
МРТ коленного сустава от 6450 руб.
МРТ коленного сустава с контрастом от 10000 руб.
МРТ коленного сустава с захватом голени от 8500 руб.
МРТ коленного сустава (оба) от 11500 руб.
МРТ поясничного отдела позвоночника + МРТ коленного сустава от 12500 руб.
Телефон: +7 (812) 576-50-50
Метро: Метро: 1500 метров от м.Озерки
Адрес: Адрес: Санкт-Петербург, пр. Северный, д. 1
Медси
1
2
3
4
5
(4.6)
Модель: GE Signa HDx Advantage Plus 3.0T 3,00 Тесла, вес до 120 кг, закрытого типа
МРТ коленного сустава от 6499 руб.
МРТ коленного сустава с контрастом от 10000 руб.
МРТ коленного сустава с захватом голени от 8500 руб.
МРТ коленного сустава (оба) от 11500 руб.
МРТ поясничного отдела позвоночника + МРТ коленного сустава от 12500 руб.
Телефон: +7 812 385 67 62
Метро: Метро: 200 метров от м.Маяковская
Адрес: Адрес: Санкт-Петербург, ул. Марата, д. 6
Клиника «АВ медикал групп»
1
2
3
4
5
(4.6)
Модель: 1,5 Тл закрытый высокопольный
МРТ коленного сустава от 6380 руб.
МРТ коленного сустава с контрастом от 10000 руб.
МРТ коленного сустава с захватом голени от 8500 руб.
МРТ коленного сустава (оба) от 11500 руб.
МРТ поясничного отдела позвоночника + МРТ коленного сустава от 12500 руб.
Телефон: +7 (812) 409-37-61
Метро: Метро: 1200 метров от м. Беговая
Адрес: Адрес: Санкт-Петербург, ул. Туристская, д. 18, корп. 1, лит. А
Областная детская больница
1
2
3
4
5
(4.7)
Модель: 1,5 Тл закрытый высокопольный
МРТ коленного сустава от 6478 руб.
МРТ коленного сустава с контрастом от 10000 руб.
МРТ коленного сустава с захватом голени от 8500 руб.
МРТ коленного сустава (оба) от 11500 руб.
МРТ поясничного отдела позвоночника + МРТ коленного сустава от 12500 руб.
Телефон: +7 (812) 542-57-61
Метро: Метро: 930 метров от м. Площадь Ленина
Адрес: Адрес: Санкт-Петербург, ул. Комсомола, 6, Санкт-Петербург
Центр МРТ и КТ Она
1
2
3
4
5
(4.6)
Модель: 1,5 Тл закрытый высокопольный
МРТ коленного сустава от 6481 руб.
МРТ коленного сустава с контрастом от 10000 руб.
МРТ коленного сустава с захватом голени от 8500 руб.
МРТ коленного сустава (оба) от 11500 руб.
МРТ поясничного отдела позвоночника + МРТ коленного сустава от 12500 руб.
Телефон: +7 (812) 670-00-32
Метро: Метро: 550 метров от м. Ленинский проспект
Адрес: Адрес: Санкт-Петербург, пр-кт Ленинский, д. 119, лит. Б
Детская больница № 22
1
2
3
4
5
(4.9)
Модель: Philips Ingenia 1.5Т, 1,50 Тесла, вес 120+ кг, закрытого типа
МРТ коленного сустава от 6478 руб.
МРТ коленного сустава с контрастом от 10000 руб.
МРТ коленного сустава с захватом голени от 8500 руб.
МРТ коленного сустава (оба) от 11500 руб.
МРТ поясничного отдела позвоночника + МРТ коленного сустава от 12500 руб.
Телефон: +7 (812) 573-94-44
Метро: Метро: нет
Адрес: Адрес: Санкт-Петербург, Колпино, пр. Заводской, д. 1
Клиника «КудровоМед»
1
2
3
4
5
(4.8)
Модель: 1,5 Тл закрытый высокопольный
МРТ коленного сустава от 6420 руб.
МРТ коленного сустава с контрастом от 10000 руб.
МРТ коленного сустава с захватом голени от 8500 руб.
МРТ коленного сустава (оба) от 11500 руб.
МРТ поясничного отдела позвоночника + МРТ коленного сустава от 12500 руб.
Телефон: +7 (904) 612-00-20
Метро: Метро: 2800 метров от м. Улица Дыбенко
Адрес: Адрес: Санкт-Петербург, Столичная ул., 1, Кудрово (помещение 12Н)
НИИ Скорой помощи имени И. И. Джанелидзе
1
2
3
4
5
(4.6)
Модель: 1,5 Тл закрытый высокопольный
МРТ коленного сустава от 6474 руб.
МРТ коленного сустава с травматологическим протоколом от 6500 руб.
МРТ коленного сустава и суставного хряща с цветным картированием от 12300 руб.
МРТ коленного сустава с захватом бедра от 7500 руб.
Телефон: +7 (812) 384-46-55
Метро: Метро: 1400 метров от м. Международная
Адрес: Адрес: Санкт-Петербург, ул. Будапештская, д. 3
Медицинский центр Водоканала
1
2
3
4
5
(4.7)
Модель: 1,5 Тл закрытый высокопольный
МРТ коленного сустава с травматологическим протоколом от 6500 руб.
МРТ коленного сустава и суставного хряща с цветным картированием от 12300 руб.
МРТ коленного сустава с захватом бедра от 7500 руб.
Телефон: +7 (812) 326-52-78
Метро: Метро: 200 метров от м. Московские ворота
Адрес: Адрес: Санкт-Петербург, пр. Московский, д. 103 к. 2
Поликлиника №60 в г. Пушкин
1
2
3
4
5
(4.8)
Модель: 1,5 Тл закрытый высокопольный
МРТ коленного сустава с травматологическим протоколом от 6500 руб.
МРТ коленного сустава и суставного хряща с цветным картированием от 12300 руб.
МРТ коленного сустава с захватом бедра от 7500 руб.
Телефон: +7 (812) 573-99-16
Метро: Метро: нет
Адрес: Адрес: Санкт-Петербург, г. Пушкин, ул. Московская, д. 15
Детская больница №5 им. Филатова
1
2
3
4
5
(4.7)
Модель: 1,5 Тл закрытый высокопольный
МРТ коленного сустава от 6478 руб.
МРТ коленного сустава с травматологическим протоколом от 6500 руб.
МРТ коленного сустава и суставного хряща с цветным картированием от 12300 руб.
МРТ коленного сустава с захватом бедра от 7500 руб.
Телефон: +7 (812) 400-04-10
Метро: Метро: 540 метров от м. Дунайская
Адрес: Адрес: Санкт-Петербург, ул. Бухарестская, д. 134
Городской КДЦ №1 на Сикейроса
1
2
3
4
5
(4.6)
Модель: 1,5 Тл закрытый высокопольный
МРТ коленного сустава от 6380 руб.
МРТ коленного сустава с травматологическим протоколом от 6500 руб.
МРТ коленного сустава и суставного хряща с цветным картированием от 12300 руб.
МРТ коленного сустава с захватом бедра от 7500 руб.
Телефон: +7 (812) 655-39-39
Метро: Метро: метро Садовая
Адрес: Адрес: Санкт-Петербург, ул. Сикейроса, д. 10
Детская больница №4 Святой Ольги
1
2
3
4
5
(4.6)
Модель: Siemens Magnetom Espree 1,50 Тесла, вес 120+ кг, открытого типа
МРТ коленного сустава от 6450 руб.
МРТ коленного сустава с травматологическим протоколом от 6500 руб.
МРТ коленного сустава и суставного хряща с цветным картированием от 12300 руб.
МРТ коленного сустава с захватом бедра от 7500 руб.
Телефон: +7 (812) 246-09-34
Метро: Метро: 1400 метров от м. Лесная
Адрес: Адрес: Санкт-Петербург, ул. Земледельческая, д. 2
Медцентр МРТ ДМГ-Клиник
1
2
3
4
5
(4.6)
Модель: Siemens Magnetom Symphony 1,50 Тесла, вес 120+ кг, закрытого тип
МРТ коленного сустава от 6450 руб.
МРТ коленного сустава с травматологическим протоколом от 6500 руб.
МРТ коленного сустава и суставного хряща с цветным картированием от 12300 руб.
МРТ коленного сустава с захватом бедра от 7500 руб.
Телефон: +7 (812) 454-10-00
Метро: Метро: 1400 метров от м.метро Лесная
Адрес: Адрес: Санкт-Петербург, ул. Земледельческая, д. 2
Международный медицинский центр «СОГАЗ»
1
2
3
4
5
(4.8)
Модель: Siemens Magnetom Avanto 1,50 Тесла, вес 120+ кг, закрытого типа
МРТ коленного сустава от 6420 руб.
МРТ коленного сустава с травматологическим протоколом от 6500 руб.
МРТ коленного сустава и суставного хряща с цветным картированием от 12300 руб.
МРТ коленного сустава с захватом бедра от 7500 руб.
Телефон: +7 (812) 406-88-88
Метро: Метро: 310 метров от м.Гостиный двор
Адрес: Адрес: Санкт-Петербург, ул. Малая Конюшенная, д. 8, лит. А
Клиника «Ортомед»
1
2
3
4
5
(4.7)
Модель: GE Signa Profile HD 0.2T 0,20 Тесла, вес до 120 кг, открытого типа
МРТ коленного сустава от 6474 руб.
МРТ коленного сустава с травматологическим протоколом от 6500 руб.
МРТ коленного сустава и суставного хряща с цветным картированием от 12300 руб.
МРТ коленного сустава с захватом бедра от 7500 руб.
Телефон: +7 (812) 331-03-03
Метро: Метро: 230 метров от м.Проспект Просвещения
Адрес: Адрес: Санкт-Петербург, б-р Сиреневый, д. 18, корп. 1
Консультативно-диагностический центр №85
1
2
3
4
5
(4.6)
Модель: 1,5 Тл закрытый высокопольный
МРТ коленного сустава от 6478 руб.
МРТ коленного сустава с травматологическим протоколом от 6500 руб.
МРТ коленного сустава и суставного хряща с цветным картированием от 12300 руб.
МРТ коленного сустава с захватом бедра от 7500 руб.
Телефон: +7 (812) 755-30-13
Метро: Метро: 2400 метров от м.Проспект Ветеранов
Адрес: Адрес: Санкт-Петербург, пр. Ветеранов, д. 89, к. 3
Клиника «ТОП»
1
2
3
4
5
(4.8)
Модель: GE Signa Ovation HDx 0.35T 0,35 Тесла, вес 120+ кг, открытого типа
МРТ коленного сустава от 6477 руб.
МРТ коленного сустава с контрастом от 10000 руб.
МРТ коленного сустава с захватом голени от 8500 руб.
МРТ коленного сустава (оба) от 11500 руб.
МРТ поясничного отдела позвоночника + МРТ коленного сустава от 12500 руб.
Телефон: +7 (812) 642-91-01
Метро: Метро: 440 метров от м. Академическая
Адрес: Адрес: Санкт-Петербург, Гражданский пр., 84
Консультативно-диагностический центр для детей
1
2
3
4
5
(4.6)
Модель: GE Signa Ovation HDx 0.35T 0,35 Тесла, вес 120+ кг, открытого типа
МРТ коленного сустава от 6380 руб.
МРТ коленного сустава с контрастом от 10000 руб.
МРТ коленного сустава с захватом голени от 8500 руб.
МРТ коленного сустава (оба) от 11500 руб.
МРТ поясничного отдела позвоночника + МРТ коленного сустава от 12500 руб.
Телефон: +7 (812) 417-23-05
Метро: Метро: 1200 метров от м.Дунайская
Адрес: Адрес: Санкт-Петербург, ул. Олеко Дундича, д. 36, корп. 2
Городской врачебно-физкультурный диспансер
1
2
3
4
5
(4.6)
Модель: 1,5 Тл закрытый высокопольный
МРТ коленного сустава от 6410 руб.
МРТ коленного сустава с контрастом от 10000 руб.
МРТ коленного сустава с захватом голени от 8500 руб.
МРТ коленного сустава (оба) от 11500 руб.
МРТ поясничного отдела позвоночника + МРТ коленного сустава от 12500 руб.
Телефон: +7 (812) 241-31-47
Метро: Метро: 1400 метров от м.Гостиный двор
Адрес: Адрес: Санкт-Петербург, наб. реки Фонтанки, д. 18
Международный диагностический центр
1
2
3
4
5
(4.7)
Модель: GE Signa Excite HD 1.5T 1,50 Тесла, вес до 120 кг, закрытого типа
МРТ коленного сустава от 6450 руб.
МРТ коленного сустава с контрастом от 10000 руб.
МРТ коленного сустава с захватом голени от 8500 руб.
МРТ коленного сустава (оба) от 11500 руб.
МРТ поясничного отдела позвоночника + МРТ коленного сустава от 12500 руб.
Телефон: +7 (812) 708-09-04
Метро: Метро: 1200 метров от м.Ленинский проспект
Адрес: Адрес: Санкт-Петербург, Ленинский пр., 140
Медицинский центр МРТ-СМИТ
1
2
3
4
5
(4.7)
Модель: GE Signa Creator 1,50 Тесла, вес 120+ кг, закрытого типа
МРТ коленного сустава от 6478 руб.
МРТ коленного сустава с контрастом от 10000 руб.
МРТ коленного сустава с захватом голени от 8500 руб.
МРТ коленного сустава (оба) от 11500 руб.
МРТ поясничного отдела позвоночника + МРТ коленного сустава от 12500 руб.
Телефон: +7 (812) 438-22-72
Метро: Метро: 4000 метров от м.Проспект Ветеранов
Адрес: Адрес: Санкт-Петербург, б-р Брестский, д. 3, корп. 2, стр. 1
Центр точной диагностики МРТ и КТ
1
2
3
4
5
(4.6)
Модель: 1,5 Тл закрытый высокопольный
МРТ коленного сустава от 6380 руб.
МРТ коленного сустава с контрастом от 10000 руб.
МРТ коленного сустава с захватом голени от 8500 руб.
МРТ коленного сустава (оба) от 11500 руб.
МРТ поясничного отдела позвоночника + МРТ коленного сустава от 12500 руб.
Телефон: +7 (812) 679-29-29
Метро: Метро: нет
Адрес: Адрес: г. Сестрорецк, ул. Пограничников, д. 4, стр. 1
Мрт-ц Купчин
1
2
3
4
5
(4.7)
Модель: 1,5 Тл закрытый высокопольный
МРТ коленного сустава от 6474 руб.
МРТ коленного сустава с контрастом от 10000 руб.
МРТ коленного сустава с захватом голени от 8500 руб.
МРТ коленного сустава (оба) от 11500 руб.
МРТ поясничного отдела позвоночника + МРТ коленного сустава от 12500 руб.
Телефон: +7 (812) 309-86-40
Метро: Метро: 690 м от м. Купчино
Адрес: Адрес: Санкт-Петербург, ул. Мал. Балканская, д. 26 лит. В
Показать

Лицензии

Современные томографы с высочайшим качеством визуализации

Назад
Вперед
Ключникова Екатерина Игоревна
Информация проверена главным врачом клиники Domedica24
Ключникова Екатерина Игоревна
Стаж более 8 лет, главный врач, врач-рентгенолог 1 категории
Площадь Стачек, 9">
ул. 1-я Советская, 8">