Назад КТ головного мозга с контрастом в СПБ

Цена:
от 6 400 руб
Записаться
  • Введение контраста Да
  • Длительность выполнения 20 минут
  • Ограничения по весу 120 кг
  • Ограничения по возрасту От 15 лет
  • Срок получения результата В течение 24 часов
Описание

Мультиспиральная компьютерная томография головного мозга относится к лучевым методам исследования и основана на использовании проникающей способности рентгеновских лучей, которые в различной степени поглощаются органами и тканями. Степень поглощения зависит от плотности анатомических структур, благодаря чему можно получить подробные изображения внутренних органов. Во время исследования трубка томографа вращается вокруг пациента и производит снимки поперечного сечения, что позволяет детально визуализировать кости черепа и все структуры головного мозга.

Нативное сканирование (то есть без использования контраста) подходит для диагностики дистрофических изменений головного мозга, определения острого нарушения мозгового кровообращения, как ишемического, так и геморрагического характера, а также для оценки последствий подобных состояний при прохождении реабилитации.

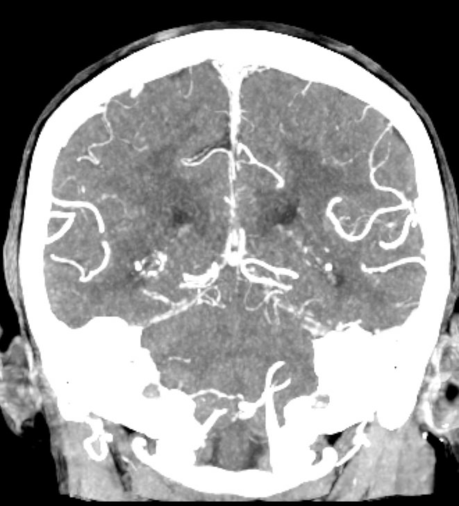
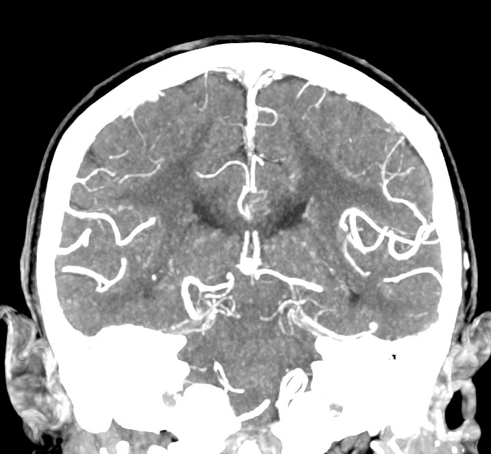
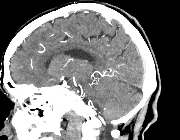
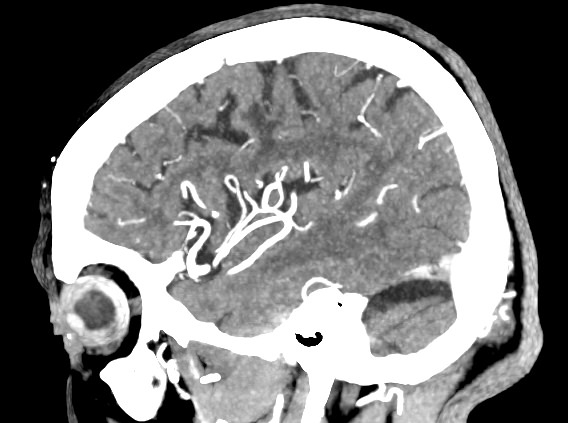
Для улучшения видимости внутричерепных структур применяется методика внутривенного болюсного контрастирования. Во время проведения КТ пациенту в вену вводится йодсодержащее контрастное вещество. Контраст с током крови попадает в патологически измененные участки ткани и очаги, что на снимках придает им яркие отличительные признаки по сравнению с окружающими здоровыми тканями. Контрастирование, в первую очередь, помогает в диагностике опухолевых процессов на ранних стадиях, когда лечение может дать наилучший результат. 

В наших медицинских центрах КТ головного мозга с контрастированием проводится на новейших мультиспиральных компьютерных томографах экспертного уровня TOSHIBA AQUILION в различных модификациях. Аппараты снабжены увеличенным количеством сверхчувствительных детекторов, что позволяет при сканировании выполнять множество срезов поперечного сечения с минимальной толщиной среза от 0,5 мм. В результате получаются изображения исследуемой зоны в мельчайших подробностях, которые затем с помощью инновационных цифровых приложений преобразуются в трехмерные пространственные модели головного мозга для более точной диагностики. Помимо высокого качества изображений увеличенное количество детекторов обеспечивает быстроту выполнения сканирования, что значительно снижает уровень рентгеновского облучения для пациента во время обследования. 

Мультиспиральная КТ является высокоинформативной быстрой безболезненной процедурой и применяется для обследования центральной нервной системы наряду с другим высокоточным методом исследования – магнитно-резонансной томографией. МРТ и КТ головного мозга с контрастом выполняются в зависимости от показаний и чаще всего взаимодополняют друг друга. 

КТ кроме ткани мозга позволяет оценить состояние костей черепа, при прорастании опухоли выявить участки истончения и структурные изменения костной ткани. Учитывая быстроту выполнения, КТ чаще применяют в экстренных ситуациях, например, для оценки травматических повреждений, дифференциальной диагностики ишемических и геморрагических инсультов, выявления внутричерепных гематом, абсцессов, кистозных образований. 

МРТ наиболее информативна для диагностики дистрофических или демиелинизирующих заболеваний головного мозга, таких как рассеянный склероз. МРТ головного мозга можно пройти в нашем центре на современном магнитно-резонансном томографе экспертного класса.

Показания для КТ головного мозга с контрастом

Свернуть/развернуть
  • черепно-мозговые травмы
  • нарушения кровообращения, патологиях сосудов мозга;
  • подозрения на наличие новообразований;
  • сильные головные боли;
  • при необходимости отслеживания динамики после проведенного хирургического вмешательства;
  • при подозрении на наличие атеросклероза с сужением просвета артерий;
  • воспалительные процессы в головном мозге;
  • нарушения речи, особенно спонтанные;
  • головокружение;
  • потеря памяти;
  • нечеткое зрение, раздвоение картинки;
  • онемение в теле;
  • слабость, нарушение координации;
  • отек мозга

Подготовка к КТ головного мозга с контрастом

Свернуть/развернуть

КТ с контрастированием предполагает внутривенное введение контрастного препарата на основе йода, поэтому к исследованию нужно подготовиться. 

Желательно иметь при себе все документы, касающиеся зоны исследования:

  • Направление от лечащего врача;
  • CD/DVD диски предыдущих КТ или МРТ головного мозга;
  • Выписки из амбулаторных карт и стационаров;
  • Заключения профильных специалистов.

При необходимости введения контрастирующего вещества требуется оценка выделительной функции почек, так как контраст выводится из организма преимущественно почками. За две недели до сканирования необходимо сдать анализ крови на креатинин, который отражает функциональное состояние почек. В случае наличия резко выраженных признаков почечной недостаточности контрастирование не проводится.

В случае необходимости введения контраста женщине с грудным ребенком, необходимо учесть, что контрастное вещество проникает в грудное молоко. Поэтому мы рекомендуем в течение 24-48 часов после процедуры с введением контраста не прикладывать малыша к груди, предварительно сделав для него запас грудного молока. 

Пациентам, принимающим по поводу сахарного диабета Метформин или Глюкофаж, а также другие метформинсодержащие препараты, требуется отмена данных препаратов за 48 часов до процедуры с контрастированием и на 48 часов после введения контрастного вещества. Отмену приема данных препаратов нужно согласовать с эндокринологом. 

Пациент укладывается на спину на выдвижную кушетку томографа. Во время сканирования важно лежать неподвижно, иначе снимки не получатся четкими. 

Для введения контраста в локтевую вену устанавливается венозный катетер с подключенным к нему автоматическим устройством (инжектором), с помощью которого вводится контраст. Поступление контраста в кровь сопровождается чувством жара во всем теле, появляется неприятный привкус во рту, но этот дискомфорт кратковременный и через пару минут быстро исчезает. Контрастное вещество полностью выводится из организма преимущественно почками в течение суток после исследования.

Медицинский персонал во время процедуры находится в соседнем помещении за стеклянной перегородкой. В аппарат вмонтировано переговорное устройство, с помощью которого можно разговаривать с врачом и при необходимости вызвать медицинский персонал.

Противопоказания для проведения КТ головного мозга с контрастом

Свернуть/развернуть

Рентгеновское излучение даже в малых дозах оказывает вредное воздействие на плод, поэтому компьютерная томография противопоказана в течение всего срока беременности.

Кроме того, в нашей клинике невозможно выполнить КТ пациентам с весом более 120 кг (ограничения по весу имеет выдвижной стол томографа).

Также имеются противопоказания для введения йодсодержащего контрастного вещества, к которым относятся:

  • аллергия на йодсодержащие контрастные вещества;
  • заболевания почек с резкими проявлениями почечной недостаточности;
  • застойная сердечная недостаточность;
  • заболевания щитовидной железы с явлениями гипертиреоза и тиреотоксикоза;
  • при тяжелом течении бронхиальной астмы;
  • в случае декомпенсированного сахарного диабета.

При помощи компьютерной томографии с контрастным веществом можно обнаружить:

Свернуть/развернуть
  • состояние стенок сосудов, их утолщение или истончение, состояние окружающих тканей;
  • состояние Виллизиева круга (замкнутость);
  • аневризму артерии и другие диспластические изменения;
  • состояние протезов, если такие установлены в головном мозге;
  • наличие холестериновых бляшек на стенках сосудов, что свидетельствует о развитии атеросклероза;
  • черепно-мозговую травму;
  • доброкачественные и злокачественные новообразования  головного мозга;
  • травматические повреждения артерии;
  • сдавливание сосудов;
  • пути коллатерального кровотока;
  • васкулит;
  • сосудистые изменения при патологиях глазного яблока;
  • аномалии строения сосудов, мальформации;
  • закупорку сосуда тромбом;

Запишитесь на КТ головного мозга с контрастом по удобному адресу

Записаться
Фильтр по услугам КТ с контрастом

Введение контраста

С контрастом Без контраста

Станция метро

Площадь Восстания Проспект Просвещения Нарвская Рыбацкое Девяткино Гражданский проспект Академическая Политехническая Площадь Мужества Лесная Выборгская Площадь Ленина Чернышевская Владимирская Пушкинская Технологический институт Балтийская Кировский завод Автово Ленинский проспект Проспект Ветеранов Парнас Озерки Удельная Пионерская Чёрная речка Петроградская Горьковская Невский проспект Сенная площадь Фрунзенская Московские ворота Электросила Парк Победы Московская Звёздная Купчино Беговая Зенит Приморская Василеостровская Гостиный двор Маяковская Площадь Александра Невского Елизаровская Ломоносовская Пролетарская Обухово Спасская Достоевская Лиговский проспект Площадь Александра Невского Новочеркасская Ладожская Проспект Большевиков Улица Дыбенко Комендантский проспект Старая Деревня Крестовский остров Чкаловская Спортивная Адмиралтейская Садовая Звенигородская Обводный канал Волковская Бухарестская Международная Проспект Славы Дунайская Шушары Богатырская Каменка Театральная Горный институт Путиловская Юго-Западная Кудрово Шуваловский проспект Каретная Боровая Заставская Броневая

Возраст пациента

Взрослому Ребенку от 15 лет

Пол пациента

Мужчине Женщине

Программы страхования

ДМС Платно ОМС

Цены

Услуги, соответствующие запросу, не найдены.

КТ головного мозга с контрастом
руб
От 6 400 руб
КТ околоносовых пазух с контрастом
руб
От 6 400 руб
КТ орбит с контрастом
руб
От 6 400 руб
КТ носоглотки с контрастом
руб
От 6 400 руб
КТ щитовидной железы с контрастом
руб
От 6 400 руб
КТ лимфатических узлов с контрастом
руб
От 6 400 руб
КТ гортани с контрастом
руб
От 6 400 руб
КТ шеи с контрастом
руб
От 6 600 руб
КТ легких с контрастом
руб
От 6 400 руб
КТ почек с контрастом
руб
От 6 400 руб
КТ печени с контрастом
руб
От 6 400 руб
КТ селезенки с контрастом
руб
От 6 400 руб
КТ поджелудочной железы с контрастом
руб
От 6 400 руб
КТ надпочечников с контрастом
руб
От 6 400 руб
КТ мочевого пузыря с контрастом
руб
От 6 400 руб
КТ одной анатомической зоны с контрастом
руб
От 6 400 руб
КТ брюшной полости и забрюшинного пространства с контрастом
руб
От 6 400 руб
КТ таза с контрастом
руб
От 6 400 руб
КТ верхней конечности с контрастом
руб
От 6 400 руб
КТ нижних конечностей с контрастом
руб
От 7 500 руб
от бифуркации аорты до коленного сустава
руб
От 7 500 руб
от бифуркации аорты до стопы
руб
От 9 500 руб
Контраст 100 мл (до 100 кг)
руб
3 500 руб
Контраст 150 мл (от 100 кг до 120 кг)
руб
4 500 руб

Адреса диагностических центров "Доступная Медицина"

Преимущества наших диагностических центров

Доступные цены

Приемлемые цены
на все услуги

Качественный сервис

Контроль качества
оказываемых услуг

Лучшие специалисты

Высококвалифицированные врачи

Новейшее оборудование

Современные томографы с высочайшим качеством визуализации

Близость к метро

Мы находимся в непосредственной близости от метро и остановок общественного транспорта

Лицензии

Современные томографы с высочайшим качеством визуализации

Назад
Вперед
Ключникова Екатерина Игоревна
Информация проверена главным врачом клиники Domedica24
Ключникова Екатерина Игоревна
Стаж более 8 лет, главный врач, врач-рентгенолог 1 категории
Площадь Стачек, 9">
ул. 1-я Советская, 8">