КТ орбит в СПБ
- Введение контраста Нет
- Длительность выполнения 10 минут
- Ограничения по весу 120 кг
- Ограничения по возрасту От 15 лет
- Срок получения результата В течение дня
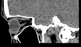
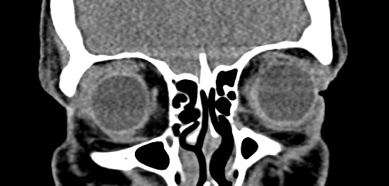
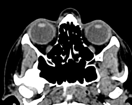
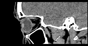
Орбиты (или глазницы) – это костные углубления в лицевом черепе, где расположены глазные яблоки, окруженные жировой клетчаткой, а также слезные железы, слезные каналы, сосуды, нервы, мышцы и связки глаза. Такая небольшая по объему область содержит важные анатомические структуры, обеспечивающие нормальную функцию органа зрения.
Кроме того, область орбиты тесно связана с близлежащими структурами – полостью черепа с расположенным в ней головным мозгом, а также с полостью носа, околоносовыми пазухами и носоглоткой. Различные патологические процессы могут развиваться как в самой глазнице, так и в околоорбитальных структурах, но при этом распространяться на область орбит.
Сложное строение глазницы и взаимосвязь с соседними анатомическими структурами затрудняет диагностику заболеваний глазного яблока и его придатков. Одним из наиболее информативных методов обследования органа зрения и окружающих тканей является мультиспиральная компьютерная томография. Кроме высокой информативности методика отличается быстротой и неинвазивностью (то есть не требует вмешательства в организм человека). Принцип получения изображений построен на применении ионизирующего излучения и разной способности тканей поглощать рентгеновские лучи.
Новейшее оборудование наших медицинских центров представлено современными мультиспиральными компьютерными томографами экспертного класса TOSHIBA AQUILION. Различные версии аппаратов способны выполнять одновременно 64 или 128 тончайших срезов исследуемой зоны. Таким образом получаются детальные изображения высокого качества за несколько секунд. Толщина срезов при этом составляет от 0,5 мм, что позволяет выявить патологические процессы на самых ранних стадиях развития, тем самым повысить шансы больного на успешное лечение.
На основе результатов сканирования аппараты выстраивают трехмерные модели органов и тканей, что дает возможность увидеть их точное пространственное расположение по отношению друг к другу.
Помимо высокой точности и информативности томографы обеспечивают минимальную дозу рентгеновского облучения для пациента.
Мультиспиральная компьютерная томография лучше всего визуализирует ткани с высокой плотностью, к которым, в частности, относится костная ткань. Это делает КТ незаменимой при диагностике травматических повреждений глазниц, а также для выявления инородных тел орбит.
Для более детальной визуализации мягкотканных структур дополнительно применяется контрастное усиление. Для этого пациенту внутривенно вводится йодсодержащий контрастный препарат, благодаря которому становятся видны патологические образования размером до 1 мм. Методика позволяет обнаружить патологию еще до появления симптомов заболевания, когда лечение наиболее эффективно.
В некоторых ситуациях для оценки состояния мягких тканей глазниц или структур глазных нервов, а также прилегающих к ним областей более предпочтительной является методика магнитно-резонансной томографии. В этих случаях врач направляет пациента на МРТ орбит. Данное исследование можно провести в условиях нашей клиники на новейшем высокопольном 32-канальном томографе экспертного уровня.
- Показания для проведения КТ глазных орбит
- Подготовка к КТ орбит
- Противопоказания для проведения КТ орбит
- По результатам КТ орбиты глаза врач может оценить состояние:
Показания для проведения КТ глазных орбит
- боли в голове невыясненного происхождения;
- боли в глазах;
- резкое ухудшение зрения;
- контроль состояния глаз при наличии серьезного заболевания (например, онкопатологии);
- выпадение полей зрения;
- выпячивание глазных яблок (пучеглазие);
- нарушения двигательной активности глаз.
- Травма лица и перелом стенок орбит;
- рентгенконтрастные инородные тела орбиты;
- онкологические заболевания глаза, в том числе и вторичного (неопластического) генеза, прорастание опухолей из смежных областей;
- повреждение и нарушение взаимоотношений мягких структур орбиты (глазное яблоко, мышцы, слезные железы);
- обследование пациента перед челюстно-лицевыми операциями;
- планирование и разметка перед пластическими операциями;
- поражение слезных каналов и воспаление слезного мешка;
- воспалительные заболевания глазного яблока;
- неясные причины «глазных» симптомов: резкое снижение зрения, экзофтальм, выпадение полей зрения.
- тиреотоксикоз (часто приводит к эндокринной офтальмопатии);
- прогрессирующее снижение остроты зрения, двоение в глазах, головные боли;
- сильный отек век;
- несимметричность глаз;
Подготовка к КТ орбит
Исследование не требует специальной подготовки.
Желательно предоставить врачу все документы, которые относятся к зоне исследования. В перечень документов входят:
- Направление лечащего врача;
- Выписка из истории болезни или амбулаторной карты;
- Рентгеновские снимки, CD/DVD диски предыдущих КТ- и МРТ-исследований головного мозга, орбит;
- Заключения специалистов.
Если во время проведения КТ планируется использование контраста, то необходимо в течение 2 недель до исследования сдать анализ крови на креатинин для оценки функциональной способности почек.
Так как контраст выводится преимущественно почками, при наличии почечной недостаточности контрастирование не проводится. В этом случае врач сможет предложить другой метод визуализации зоны орбит.
Пациентам, которые принимают по поводу сахарного диабета такие сахароснижающие препараты, как Метформин, Глюкофаж или другие метформинсодержащие препараты, необходимо отменить прием данных лекарств за 48 часов до исследования с контрастированием и на 48 часов после введения контраста (чтобы согласовать временную отмену данных препаратов, необходимо проконсультироваться с эндокринологом).
Контрастный препарат вводится внутривенно через установленный в периферическую вену венозный катетер с помощью автоматического устройства (инжектора). В момент введения контраста может появиться неприятный привкус во рту, ощущение тепла во всем теле, но этот дискомфорт через пару минут быстро исчезает. Контрастное вещество в течение последующих суток полностью выводится из организма преимущественно почками.
Кормящим женщинам, нуждающимся в проведении КТ орбит с контрастированием, необходимо на 24-48 часов после процедуры с введением контраста прервать грудное вскармливание, при этом молоко сцеживать и выливать. Предварительно мы рекомендуем сделать для ребенка запас грудного молока.
Для получения качественных изображений на снимках, пациента просят не двигаться в течение всей процедуры. Врач-рентгенолог во время исследования находится в соседнем помещении, разделенном с диагностическим кабинетом стеклянной перегородкой. В аппарат вмонтировано переговорное устройство, с помощью которого можно разговаривать с врачом и при необходимости вызвать медицинский персонал.
Противопоказания для проведения КТ орбит
Компьютерная томография не проводится в течение всего срока беременности, так как рентгеновское излучение, которое применяется во время процедуры КТ, оказывает вредное воздействие на плод.
Также в наших центрах невозможно выполнить КТ пациентам с массой тела более 120 кг из-за ограничения по весу подвижных частей томографов.
Противопоказания для введения йодсодержащих контрастных препаратов:
- наличие в анамнезе аллергических реакций на йодсодержащие контрастные препараты;
- имеющиеся заболевания почек с выраженным снижением функции почек;
- при застойной сердечной недостаточности;
- при некоторых заболеваниях щитовидной железы (гипертиреоз, тиреотоксикоз);
- в случае тяжелого течения бронхиальной астмы;
- при декомпенсированном сахарном диабете.
По результатам КТ орбиты глаза врач может оценить состояние:
- костных стенок глазницы, верхней и нижней глазничных щелей;
- глазных яблок
- стекловидного тела;
- мышц глаза: нижней, верхней, косой, прямых мышц (латеральной и медиальной);
- глазничной артерии и вены;
- зрительных нервов;
- слезных желез;
- ретробульбарной (расположенной позади глазного яблока) клетчатки.
КТ орбит позволяет выявить:
- инородные тела в глазницах;
- воспалительные заболевания;
- поражения зрительного нерва;
- доброкачественные и злокачественные образования (опухоли); метастазы
- метастазы опухолей;
- переломы стенок глазниц;
- поражения орбитальных сосудов и мышц.
- гематомы;
- псевдотумор (псевдоопухоль) – воспаление мягких тканей орбиты предположительно аутоиммунного происхождения;
- склероз тканей орбиты (результат воспалительного процесса).
Запишитесь на КТ орбит по удобному адресу
ЗаписатьсяСтанция метро
Площадь Восстания Проспект Просвещения Нарвская Рыбацкое Девяткино Гражданский проспект Академическая Политехническая Площадь Мужества Лесная Выборгская Площадь Ленина Чернышевская Владимирская Пушкинская Технологический институт Балтийская Кировский завод Автово Ленинский проспект Проспект Ветеранов Парнас Озерки Удельная Пионерская Чёрная речка Петроградская Горьковская Невский проспект Сенная площадь Фрунзенская Московские ворота Электросила Парк Победы Московская Звёздная Купчино Беговая Зенит Приморская Василеостровская Гостиный двор Маяковская Площадь Александра Невского Елизаровская Ломоносовская Пролетарская Обухово Спасская Достоевская Лиговский проспект Площадь Александра Невского Новочеркасская Ладожская Проспект Большевиков Улица Дыбенко Комендантский проспект Старая Деревня Крестовский остров Чкаловская Спортивная Адмиралтейская Садовая Звенигородская Обводный канал Волковская Бухарестская Международная Проспект Славы Дунайская Шушары Богатырская Каменка Театральная Горный институт Путиловская Юго-Западная Кудрово Шуваловский проспект Каретная Боровая Заставская БроневаяРайон
Центральный Выборгский Кировский Адмиралтейски Василеостровский Калининский Колпинский Красногвардейский Красносельски Кронштадтский Курортный Московский Невский Петроградский Петродворцовый Приморский Пушкинский ФрунзенскийГород
Санкт-Петербург Бокситогорск Бугры Волосово Волхов Всеволожск Выборг Высоцк Гатчина Ивангород Каменногорск Кингисепп Кириши Кировск Колтуши Коммунар Кудрово Лодейное Поле Луга Любань Мурино Никольское Новая Ладога Отрадное Пикалёво Подпорожье Приморск Приозерск Светогорск Сертолово Сланцы Сосновый Бор Сясьстрой Тельмана Тихвин Тосно ШлиссельбургЦены
Услуги, соответствующие запросу, не найдены.
Адреса диагностических центров "Доступная Медицина"
Преимущества наших диагностических центров
Доступные цены
Приемлемые цены
на все услуги
Качественный сервис
Контроль качества
оказываемых услуг
Лучшие специалисты
Высококвалифицированные врачи
Новейшее оборудование
Современные томографы с высочайшим качеством визуализации
Близость к метро
Мы находимся в непосредственной близости от метро и остановок общественного транспорта
Наше оборудование
КТ-СПЕЦИАЛИСТЫ
Лицензии
Современные томографы с высочайшим качеством визуализации
Статьи наших врачей