КТ локтевого сустава в СПБ
- Введение контраста Нет
- Длительность выполнения 10 минут
- Ограничения по весу 120 кг
- Ограничения по возрасту От 15 лет
- Срок получения результата В течение дня
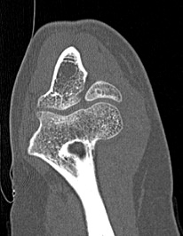
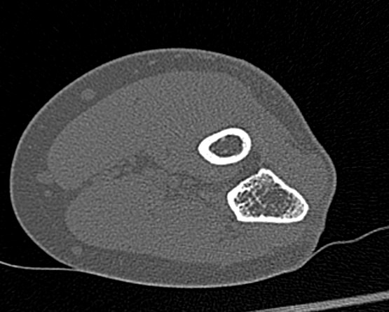
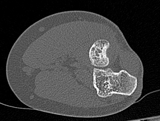
Локтевой сустав представляет собой подвижное сочленение между дистальным отделом плечевой кости и костями предплечья (лучевой и локтевой костями). Сустав имеет сложное строение, так как состоит из трех отдельных суставов, заключенных в одну капсулу. Это обеспечивает его высокую подвижность и большой объем движений верхней конечности.
Локтевые суставы испытывают выраженные нагрузки, вследствие чего в них нередко развиваются дегенеративно-дистрофические и воспалительные изменения. Локтевые суставы также часто подвержены травматизации. Кроме того, в области локтевого сустава могут развиваться доброкачественные и злокачественные опухоли.
Одним из наиболее информативных методов исследования локтевого сустава является мультиспиральная компьютерная томография. Мультиспиральная КТ локтевого сустава позволяет оценить состояние костных структур и капсульно-связочного аппарата сустава. В отличие от обычного рентгена, при котором изображения накладываются друг на друга, мультиспиральная компьютерная томография с помощью рентгеновских лучей сканирует исследуемую область в разных плоскостях, делая множество тончайших срезов и преобразуя данные в цифровые трехмерные изображения.
В нашей клинике обследование локтевого сустава проводится на современных мультиспиральных томографах последнего поколения TOSHIBA AQUILION. В результате послойного сканирования и последующей цифровой обработки врач на мониторе может увидеть детальные снимки и 3D-модели сустава. При этом современные аппараты обеспечивают минимальную дозу рентгеновского облучения для пациента.
Костная ткань хорошо поглощает рентгеновские лучи, поэтому кости ярко визуализируются на снимках КТ. Компьютерная томография в первую очередь востребована в ортопедии и травматологии. Методика широко применяется для диагностики костной патологии. С помощью КТ можно оценить плотность костной ткани и выявить косвенные признаки остеопороза. В случае перелома можно определить точную локализацию костных отломков, что особенно важно при планировании оперативного вмешательства и в послеоперационном периоде для наблюдения за процессом восстановления. КТ также помогает в диагностике различных артритов и артрозов.
Для повышения диагностических возможностей метода дополнительно применяется контрастное усиление. Это дает возможность улучшить визуализацию мягких тканей, которые хуже видны на снимках КТ.
Для этого пациенту в вену вводится контрастный препарат на основе йода. Препарат хорошо поглощает рентгеновские лучи, поэтому ярко контрастирует сосудистую систему и мягкотканные структуры. С помощью контрастирования можно выявить воспалительные изменения и опухолевые образования, определить точные границы опухоли и степень ее воздействия на окружающие ткани.
Мультиспиральная КТ с контрастированием является хорошей альтернативой другому лучевому методу исследования – магнитно-резонансной томографии. МРТ основана на применении внешнего магнитного поля и лучше всего подходит для визуализации именно мягкотканных структур. В нашей клинике МРТ локтевого сустава можно пройти на современном высокопольном магнитно-резонансном томографе экспертного уровня.
- Показания к КТ локтевого сустава
- Подготовка к КТ локтевого сустава
- Противопоказания для проведения КТ локтевого сустава
- Что покажет КТ локтевого сустава
Показания к КТ локтевого сустава
- артрит или артроз сустава;
- коллагенозы (ревматоидный артрит или подагра) с поражением локтевых суставов;
- остеохондропатии;
- образование оссификатов в мягких тканях;
- вывихи, околосуставные переломы;
- опухоли сустава, злокачественные или доброкачественные (остеохондрома, синовиома);
- опухоли окружающих локтевой сустав тканей;
- инородные тела как в мягких тканях, так и в самом суставе;
- боль, отечность, жидкость в суставе, разрастания костной ткани;
- планирование лечения;
- контроль эффективности лечения;
- травмы в области локтя;
- посттравматические изменения;
- аномалии в развитии сустава;
- артралгия (боль в суставе);
- утренняя скованность в суставах;
- аномальная подвижность конечностей;
- подозрение на новообразование;
Подготовка к КТ локтевого сустава
Чтобы сделать КТ локтевого сустава, специальная подготовка не нужна. Мы рекомендуем взять с собой всю медицинскую документацию, которая относится к зоне исследования:
- Направление лечащего врача;
- Выписка из истории болезни или амбулаторной карты;
- Рентгеновские снимки, CD/DVD диски предыдущих КТ или МРТ-исследований локтевого сустава;
- Заключения профильных специалистов.
При выполнении процедуры с введением контрастного вещества предварительно требуется оценить функциональную способность почек, так как контраст выводится из организма преимущественно почками. Для этого пациенту нужно сдать анализ крови на уровень креатинина (показатель, отражающий функцию почек). Анализ крови действителен в течение 14 дней от даты сдачи анализа.
Пациентам, принимающим по поводу сахарного диабета Метформин (Глюкофаж) или другие метформинсодержащие препараты, необходимо, по согласованию с эндокринологом, прекратить прием данного препарата за 48 часов до исследования с контрастированием и на 48 часов после введения контраста.
Введения контрастного препарата осуществляется с помощью специального дозирующего устройства, которое подключается к венозному катетеру, предварительно установленному в противоположную локтевую вену. В момент введения контраста может быть ощущение тепла или жара во всем теле и неприятный привкус во рту, но этот дискомфорт полностью исчезает через 1-2 минуты.
Если необходимо проведение внутривенного болюсного контрастирования женщине в период лактации, то мы рекомендуем предварительно сделать запас грудного молока, а после процедуры с введением контраста не прикладывать ребенка к груди в течение 24-48 часов, при этом молоко нужно сцеживать и выливать.
Исследование проводится лежа в горизонтальном положении на выдвижном столе томографа. Пациента просят не двигаться во время исследования, так как движения могут снизить четкость изображений.
Врач-рентгенолог и рентгенолаборант находятся в соседнем помещении, отделенном от диагностического кабинета стеклянной перегородкой. Связь с пациентом осуществляется через переговорное устройство, встроенное в томограф.
Противопоказания для проведения КТ локтевого сустава
Компьютерная томография предусматривает использование рентгеновского излучения, поэтому может негативно влиять на плод во время внутриутробного развития. В связи с этим КТ не проводится женщинам в течение всего периода беременности.
Кроме того, подвижная часть компьютерного томографа имеет ограничения по весу, поэтому в наших центрах невозможно выполнить КТ пациентам с весом более 120 кг.
Также могут быть ограничения для введения контрастного препарата. Поэтому контрастирование не проводится в следующих случаях:
- если у пациента ранее отмечались аллергические реакции на йодсодержащие контрастные препараты;
- если у пациента имеются заболевания почек с развитием выраженной почечной недостаточности;
- при наличии сердечной недостаточности;
- если имеются заболевания щитовидной железы с явлениями гипертиреоза, тиреотоксикоза;
- в случае тяжелого течения бронхиальной астмы;
- при декомпенсированном сахарном диабете.
Что покажет КТ локтевого сустава
- врожденные особенности строения;
- сокращение плотности костей при остеопорозе;
- воспалительные процессы не только в самом суставе, но и в тканях, которые окружают его;
- переломы и трещины костей;
- дегенеративно-дистрофические изменения;
- гнойные процессы;
- инородные тела
- новообразования костей и мягких тканей (не только первичные опухоли, но и метастазы).
Запишитесь на КТ локтевого сустава по удобному адресу
ЗаписатьсяСтанция метро
Площадь Восстания Проспект Просвещения Нарвская Рыбацкое Девяткино Гражданский проспект Академическая Политехническая Площадь Мужества Лесная Выборгская Площадь Ленина Чернышевская Владимирская Пушкинская Технологический институт Балтийская Кировский завод Автово Ленинский проспект Проспект Ветеранов Парнас Озерки Удельная Пионерская Чёрная речка Петроградская Горьковская Невский проспект Сенная площадь Фрунзенская Московские ворота Электросила Парк Победы Московская Звёздная Купчино Беговая Зенит Приморская Василеостровская Гостиный двор Маяковская Площадь Александра Невского Елизаровская Ломоносовская Пролетарская Обухово Спасская Достоевская Лиговский проспект Площадь Александра Невского Новочеркасская Ладожская Проспект Большевиков Улица Дыбенко Комендантский проспект Старая Деревня Крестовский остров Чкаловская Спортивная Адмиралтейская Садовая Звенигородская Обводный канал Волковская Бухарестская Международная Проспект Славы Дунайская Шушары Богатырская Каменка Театральная Горный институт Путиловская Юго-Западная Кудрово Шуваловский проспект Каретная Боровая Заставская БроневаяРайон
Центральный Выборгский Кировский Адмиралтейски Василеостровский Калининский Колпинский Красногвардейский Красносельски Кронштадтский Курортный Московский Невский Петроградский Петродворцовый Приморский Пушкинский ФрунзенскийГород
Санкт-Петербург Бокситогорск Бугры Волосово Волхов Всеволожск Выборг Высоцк Гатчина Ивангород Каменногорск Кингисепп Кириши Кировск Колтуши Коммунар Кудрово Лодейное Поле Луга Любань Мурино Никольское Новая Ладога Отрадное Пикалёво Подпорожье Приморск Приозерск Светогорск Сертолово Сланцы Сосновый Бор Сясьстрой Тельмана Тихвин Тосно ШлиссельбургЦены
Услуги, соответствующие запросу, не найдены.
Адреса диагностических центров "Доступная Медицина"
Преимущества наших диагностических центров
Доступные цены
Приемлемые цены
на все услуги
Качественный сервис
Контроль качества
оказываемых услуг
Лучшие специалисты
Высококвалифицированные врачи
Новейшее оборудование
Современные томографы с высочайшим качеством визуализации
Близость к метро
Мы находимся в непосредственной близости от метро и остановок общественного транспорта
Наше оборудование
КТ-СПЕЦИАЛИСТЫ
Лицензии
Современные томографы с высочайшим качеством визуализации
Статьи наших врачей