КТ грудины в СПБ
- Срок получения результата В течение дня
Мультиспиральная компьютерная томография грудины входит в протокол обследования КТ органов грудной клетки и является прицельным исследованием области грудины и грудино-реберных сочленений.
Грудина представляет собой удлиненную плоскую кость, напоминающую по своей форме кинжал и расположенную вертикально в середине груди. К ней с обеих сторон при помощи хрящей крепятся ключицы и ребра, образуя грудную клетку. Грудина выполняет защитную функцию для сердца и крупных сосудов, а также участвует в процессе кроветворения, благодаря расположенному в ней красному костному мозгу.
Нарушения строения грудины наблюдаются при врожденных аномалиях развития. Достаточно частыми бывают травматические повреждения грудины, ребер, грудино-ключичных и грудино-реберных сочленений. Нередко грудина поражается при прорастании опухоли из соседних органов и в случае метастатического распространения опухолевого процесса. Кроме того, в ряде случаев могут наблюдаться воспалительные изменения грудины после стернотомии. Так называется рассечение грудины для доступа к органам грудной клетки, например, при операциях на сердце.
Мультиспиральная компьютерная томография является наиболее информативным методом диагностики патологии грудины. Метод основан на применении ионизирующего излучения и получения изображений внутренних органов за счет различной способности тканей поглощать рентгеновские лучи.
В трубке томографа расположен излучатель, который испускает рентгеновские лучи при вращении вокруг объекта исследования. После прохождения сквозь биологические ткани лучи улавливаются чувствительными детекторами. На основании полученных данных получаются послойные снимки и цифровые трехмерные изображения исследуемой области.
В диагностических центрах «Доступная медицина» сканирование области грудины выполняется на новейших мультиспиральных компьютерных томографах экспертного класса TOSHIBA AQUILION. Современное оснащение аппаратов позволяет проводить одномоментно множество тончайших срезов толщиной от 0,5 мм за несколько секунд. Скоростное сканирование обеспечивает минимальную дозу рентгеновского облучения для пациента. При этом сверхчувствительные детекторы и цифровые приложения, установленные в томографах, позволяют получать детальные снимки и цифровые 3D-реконструкции высокого качества для быстрой и точной диагностики.
В некоторых случаях нативный протокол исследования грудины дополняется контрастным усилением, например, при подозрении на опухолевое образование, при необходимости проведения дифференциальной диагностики доброкачественных и злокачественных новообразований. Также контраст помогает определить границы опухоли, ее точную локализацию, поражение регионарных лимфоузлов. Это крайне важно при выборе тактики лечения опухолевого процесса.
Контрастное усиление предполагает использование йодсодержащего контрастного препарата, который вводится внутривенно непосредственно во время сканирования. Контрастное вещество хорошо поглощает рентгеновские лучи и ярко контрастирует сосудистую сеть, которая кровоснабжает опухоль. Это позволяет выявлять опухоли минимальных размеров, когда лечение наиболее эффективно.
- Показания для КТ грудины
- Что покажет КТ грудины?
- Подготовка к КТ грудины
- Противопоказания для проведения КТ грудины
Показания для КТ грудины
Поводом для назначения прицельного исследования грудины является:
- Деформация грудной клетки, грудины, грудино-ключичных сочленений, ребер;
- Боли в области грудины, усиливающиеся при пальпации, скованность грудного отдела позвоночника;
- Припухлость и болезненность грудино-ключичных и грудино-реберных сочленений, ограничение подвижности плечевого сустава;
- Травматические повреждения грудной клетки, ребер, грудины;
- В случае развития признаков воспаления в области грудины после перенесенной стернотомии по поводу операции на органах грудной клетки;
- При подозрении на миеломную болезнь с поражением костного мозга грудины;
- Подозрение на опухоли из соседних органов и тканей, прорастающие грудину.
Что покажет КТ грудины?
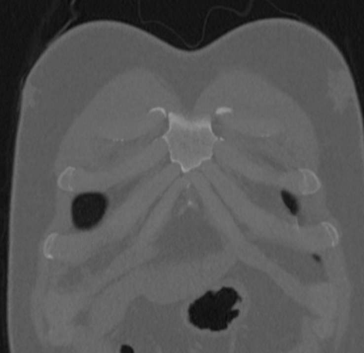
При проведении мультиспиральной компьютерной томографии на снимках и трехмерных изображениях хорошо видны костные структуры грудины, передней поверхности ребер, грудино-ключичных и грудино-реберных сочленений. Также можно увидеть строение и патологические процессы в органах средостения: трахеи, пищевода, лимфатических узлов средостения, вилочковой железы, загрудинно расположенной щитовидной железы, грудной аорты, сердца и перикарда, жировой клетчатки средостения.
С помощью мультиспиральной КТ грудины можно диагностировать:
- Аномалии развития грудины и ее сочленений с ключицами и ребрами;
- Дегенеративно-дистрофические заболевания (остеоартроз, субхондральный склероз);
- Воспалительные заболевания грудино-ключичных и грудино-реберных сочленений;
- Травмы грудной клетки, переломы грудины, ребер, в том числе, патологические переломы на фоне миеломной болезни, метастатического поражения;
- Опухолевые образования и метастатическое поражение грудины и ребер;
- Послеоперационные осложнения (проведение стернотомии во время операций на сердце и сосудах).
Подготовка к КТ грудины
Данное исследование не требует специальной подготовки.
Перед проведением КТ мы рекомендуем предоставить всю медицинскую документацию, которая относится к зоне исследования:
- Направление от лечащего врача;
- Выполненные ранее рентгеновские снимки грудной клетки и области грудины, CD/DVD диски предыдущих КТ грудной клетки;
- Выписки из амбулаторных карт и стационаров;
- Заключения профильных специалистов.
Перед КТ с контрастированием необходимо сдать кровь на исследование уровня креатинина крови. Этот показатель характеризует выводящую функцию почек и имеет важное значение, так как контраст выводится из организма преимущественно почками. При повышенном уровне креатинина крови контрастирование не проводится. Анализ крови действителен в течение 14 дней с момента забора биоматериала.
Пациентам, которые принимают по поводу сахарного диабета такие сахароснижающие препараты, как Метформин, Глюкофаж или другие метформинсодержащие препараты, необходимо согласовать с эндокринологом временную отмену приема данных препаратов за 48 часов до исследования с контрастированием и на 48 часов после введения контраста.
Для введения контраста непосредственно перед сканированием в периферическую вену устанавливается венозный катетер, к которому подключается автоматическое дозирующее устройство. С его помощью контраст вводится в вену во время исследования. При введении контраста может появиться неприятный привкус во рту, ощущение прилива, жара во всем теле, но этот дискомфорт проходит через 1-2 минуты. Контрастное вещество выводится из организма преимущественно почками в течение последующих суток.
Если контрастное усиление проводится женщине в период лактации, то пациентке необходимо на 24-48 часов после процедуры с введением контраста исключить грудное вскармливание, при этом молоко сцеживать и выливать. На этот период мы рекомендуем запастись для ребенка необходимым количеством грудного молока.
Чтобы получить качественные изображения на снимках, от пациента требуется сохранять неподвижность в течение всей процедуры. Врач находится в смежном помещении, отделенном от диагностического кабинета стеклянной перегородкой. Связь с ним происходит через встроенное в аппарат переговорное устройство.
Противопоказания для проведения КТ грудины
Компьютерная томография не проводится беременным женщинам в течение всего срока беременности, так как ионизирующее излучение оказывает негативное влияние на развивающийся плод.
Также в нашей клинике невозможно выполнить КТ пациентам с массой тела более 120 кг из-за технических возможностей аппарата (ограничения по весу имеет выдвижной стол томографа).
Дополнительно имеются противопоказания для введения контраста. К ним относятся:
- аллергия на йодсодержащие контрастные вещества;
- заболевания почек с резко выраженными явлениями почечной недостаточности;
- застойная сердечная недостаточность;
- заболевания щитовидной железы с признаками гипертиреоза и тиреотоксикоза;
- тяжелое течение бронхиальной астмы;
- декомпенсированный сахарный диабет.
Запишитесь на КТ грудины по удобному адресу
ЗаписатьсяСтанция метро
Площадь Восстания Проспект Просвещения Нарвская Рыбацкое Девяткино Гражданский проспект Академическая Политехническая Площадь Мужества Лесная Выборгская Площадь Ленина Чернышевская Владимирская Пушкинская Технологический институт Балтийская Кировский завод Автово Ленинский проспект Проспект Ветеранов Парнас Озерки Удельная Пионерская Чёрная речка Петроградская Горьковская Невский проспект Сенная площадь Фрунзенская Московские ворота Электросила Парк Победы Московская Звёздная Купчино Беговая Зенит Приморская Василеостровская Гостиный двор Маяковская Площадь Александра Невского Елизаровская Ломоносовская Пролетарская Обухово Спасская Достоевская Лиговский проспект Площадь Александра Невского Новочеркасская Ладожская Проспект Большевиков Улица Дыбенко Комендантский проспект Старая Деревня Крестовский остров Чкаловская Спортивная Адмиралтейская Садовая Звенигородская Обводный канал Волковская Бухарестская Международная Проспект Славы Дунайская Шушары Богатырская Каменка Театральная Горный институт Путиловская Юго-Западная Кудрово Шуваловский проспект Каретная Боровая Заставская БроневаяРайон
Центральный Выборгский Кировский Адмиралтейски Василеостровский Калининский Колпинский Красногвардейский Красносельски Кронштадтский Курортный Московский Невский Петроградский Петродворцовый Приморский Пушкинский ФрунзенскийГород
Санкт-Петербург Бокситогорск Бугры Волосово Волхов Всеволожск Выборг Высоцк Гатчина Ивангород Каменногорск Кингисепп Кириши Кировск Колтуши Коммунар Кудрово Лодейное Поле Луга Любань Мурино Никольское Новая Ладога Отрадное Пикалёво Подпорожье Приморск Приозерск Светогорск Сертолово Сланцы Сосновый Бор Сясьстрой Тельмана Тихвин Тосно ШлиссельбургЦены
Услуги, соответствующие запросу, не найдены.
Адреса диагностических центров "Доступная Медицина"
Преимущества наших диагностических центров
Доступные цены
Приемлемые цены
на все услуги
Качественный сервис
Контроль качества
оказываемых услуг
Лучшие специалисты
Высококвалифицированные врачи
Новейшее оборудование
Современные томографы с высочайшим качеством визуализации
Близость к метро
Мы находимся в непосредственной близости от метро и остановок общественного транспорта
Наше оборудование
КТ-СПЕЦИАЛИСТЫ
Лицензии
Современные томографы с высочайшим качеством визуализации
Статьи наших врачей