КТ плечевой кости в СПБ
- Введение контраста Нет
- Длительность выполнения 10 минут
- Ограничения по весу 120 кг
- Ограничения по возрасту От 15 лет
- Срок получения результата В течение дня
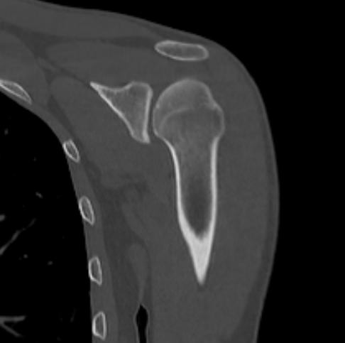
Плечевая кость относится к длинным трубчатым костям и участвует в образовании двух суставов: плечевого и локтевого. Кость выполняет функцию рычага и обеспечивает большой объем движений верхней конечности.
Нарушения функции верхней конечности часто связаны с травматизацией плечевой кости. Наиболее распространены переломы, вывихи, ушибы, а также повреждения мышц и связочного аппарата. Кроме того, нередко наблюдаются дегенеративно-дистрофические и воспалительные изменения плечевых и локтевых суставов, а также доброкачественные и злокачественные опухоли (первичные очаги и метастазы из других опухолевых очагов).
Мультиспиральная компьютерная томография является наилучшим методом диагностики патологии костной ткани и применяется для выявления различных патологических процессов в области плечевой кости.
Методика КТ построена на использовании ионизирующего излучения, которое в разной степени поглощается органами и тканями человека. Рентгеновские лучи лучше всего поглощаются костными структурами, поэтому на послойных изображениях, полученных при КТ-сканировании, хорошо видна плотность и внутреннее строение плечевой кости, а также плечевого и локтевого суставов. При этом визуализируются костные повреждения, очаги деструкции, воспалительные изменения.
В наших диагностических центрах обследование плечевой кости осуществляется на современных мультиспиральных компьютерных томографах экспертного уровня TOSHIBA AQUILION. Благодаря увеличенному количеству сверхчувствительных детекторов аппараты обеспечивают высокое качество изображений на послойных снимках и трехмерных реконструкциях после цифровой обработки.
Мультисрезовое сканирование, которое проводится на современном томографе, позволяют провести высокоинформативное обследование при минимальной дозе облучения для пациента. Поэтому наиболее эффективно мультиспиральная КТ применяется в ортопедии и травматологии, так как за несколько секунд можно получить подробные снимки плечевой кости и прилегающих тканей без вмешательства в организм пациента.
Также широко используется КТ во время подготовки к операции и в послеоперационном периоде для оценки процесса восстановления. Цифровые трехмерные модели позволяют увидеть взаимное положение костных отломков и в отношении расположенных рядом крупных сосудов и нервных стволов.
Иногда кроме нативного протокола КТ требуется провести дополнительно контрастное усиление. Введение контраста обычно требуется при подозрении на опухолевое образование в области кости или в окружающих тканях. Для этого используется йодсодержащий контрастный препарат, который вводится в вену пациенту, после чего делается серия снимков. Благодаря контрасту можно определить точное расположение опухоли, ее границы, степень прорастания в окружающие ткани. Контрастирование дает возможность обнаружить опухоли на ранней стадии развития, что значительно улучшает прогноз в плане лечения и выздоровления.
Для визуализации мягкотканных структур наиболее информативным методом является магнитно-резонансная томография, основанная на применении внешнего магнитного поля. Поэтому в ряде случаев при подозрении на опухоли плечевой кости и прилегающих тканей врач может направить пациента на МРТ. В этом случае в нашей клинике можно пройти МРТ мягких тканей конечностей на современном высокоточном оборудовании – высокопольном магнитно-резонансном томографе экспертного уровня. Также при необходимости обследования плечевого или локтевого суставов в нашей клинике можно пройти МРТ соответствующей области.
- Показания к КТ плечевой кости
- Подготовка к проведению КТ плечевой кости
- Противопоказания для КТ плечевой кости
- Что показывает КТ плечевой кости
Показания к КТ плечевой кости
- травмы: переломы, вывихи, подвывихи, трещины;
- подозрения на новообразование в области исследования;
- ограничение двигательной активности руки;
- хронические боли в конечностях;
- поражения ревматического характера.
- костно-суставный туберкулез.
- длительно протекающий воспалительный процесс неясного происхождения;
- систематическая или острая болезненность в плече;
- скованность при движениях;
- наличие дистрофических проявлений;
- исследование в предоперационный период для оценки операбельности пациента;
- посттравматическое нарушение целостности костей;
- наличие инородных тел
- некроз головки плечевой кости.
- артритные и ревматические поражения
- посттравматические повреждения.
- сосудистые патологии.
Подготовка к проведению КТ плечевой кости
Данное исследование не требует специальной подготовки.
Для более точной диагностики, желательно сравнить снимки с имеющимися предыдущими результатами исследований, поэтому желательно принести с собой все документы, которые относятся к зоне сканирования:
- Направление от лечащего врача;
- Рентгеновские снимки, CD/DVD диски предыдущих КТ и МРТ верхней конечности или плечевой кости;
- Выписки из амбулаторных карт и стационаров;
- Заключения профильных специалистов.
Если планируется использование контраста, то необходимо за 2 недели до даты исследования сдать анализ крови для оценки уровня креатинина. Этот показатель показывает состояние функции почек и имеет важное значение, так как контраст выводится из организма преимущественно почками. При резко выраженном снижении функции почек контрастирование не проводится.
При необходимости введения контрастного вещества пациентам, принимающим по поводу сахарного диабета Метформин или Глюкофаж (а также другие препараты, содержащие Метформин), требуется посоветоветоваться с эндокринологом о временной отмене данных препаратов за 48 часов до КТ с контрастированием и на 48 часов после исследования.
Женщинам в период лактации нужно иметь в виду, что контраст также выводится и с грудным молоком. Поэтому мы рекомендуем кормящим мамам в течение 24-48 часов после процедуры с введением контраста не прикладывать малыша к груди (предварительно сделайте ребенку запас грудного молока).
Для введения контрастного препарата пациенту в периферическую вену предварительно ставится венозный катетер. Во время сканирования контраст вводится с помощью автоматического шприца (инжектора), подключенного к катетеру. В момент поступления контраста в кровь может появиться ощущение жара, прилива к телу, неприятный привкус во рту, но этот дискомфорт быстро проходит.
Пациент располагается на выдвижной части томографа. Стол вместе с пациентом двигается в кольце аппарата, при этом отверстие кольца широкое, вокруг пространство свободное.
Чтобы получились качественные снимки, мы просим пациента не двигаться во время сканирования.
Медицинский персонал в течение процедуры находится в соседнем кабинете за стеклянным окном. При необходимости пациент может разговаривать с врачом при помощи голосовой связи, которой оснащен томограф.
Противопоказания для КТ плечевой кости
Компьютерная томография не проводится в течение всего срока беременности из-за того, что рентгеновские лучи, на использовании которых основана методика КТ, могут вызвать пороки развития плода во время внутриутробного развития.
Кроме того, в связи с техническими характеристиками томографов в наших медицинских центрах нельзя выполнить КТ пациентам с массой тела более 120 кг (ограничения касаются выдвижного стола томографа).
В ряде случаев противопоказания касаются применения контрастных препаратов. КТ с контрастированием противопоказано в следующих случаях:
- Если у пациента ранее были аллергические реакции на йодсодержащий контрастный препарат;
- В случае резко выраженной почечной недостаточности;
- При заболеваниях щитовидной железы с явлениями гипертиреоза и тиреотоксикоза;
- При застойной сердечной недостаточности;
- В случае тяжелого течения бронхиальной астмы;
- При декомпенсированном сахарном диабете.
Что показывает КТ плечевой кости
- повреждения костей в результате полученной травмы – трещины, переломы, смещения.
- наличие гематом в соседних мягких тканях.
- доброкачественные или злокачественные опухоли.
- наличие воспалительного процесса.
- инфекционное поражение.
- врожденные патологии в развитии костной ткани
Запишитесь на КТ плечевой кости по удобному адресу
ЗаписатьсяСтанция метро
Площадь Восстания Проспект Просвещения Нарвская Рыбацкое Девяткино Гражданский проспект Академическая Политехническая Площадь Мужества Лесная Выборгская Площадь Ленина Чернышевская Владимирская Пушкинская Технологический институт Балтийская Кировский завод Автово Ленинский проспект Проспект Ветеранов Парнас Озерки Удельная Пионерская Чёрная речка Петроградская Горьковская Невский проспект Сенная площадь Фрунзенская Московские ворота Электросила Парк Победы Московская Звёздная Купчино Беговая Зенит Приморская Василеостровская Гостиный двор Маяковская Площадь Александра Невского Елизаровская Ломоносовская Пролетарская Обухово Спасская Достоевская Лиговский проспект Площадь Александра Невского Новочеркасская Ладожская Проспект Большевиков Улица Дыбенко Комендантский проспект Старая Деревня Крестовский остров Чкаловская Спортивная Адмиралтейская Садовая Звенигородская Обводный канал Волковская Бухарестская Международная Проспект Славы Дунайская Шушары Богатырская Каменка Театральная Горный институт Путиловская Юго-Западная Кудрово Шуваловский проспект Каретная Боровая Заставская БроневаяРайон
Центральный Выборгский Кировский Адмиралтейски Василеостровский Калининский Колпинский Красногвардейский Красносельски Кронштадтский Курортный Московский Невский Петроградский Петродворцовый Приморский Пушкинский ФрунзенскийГород
Санкт-Петербург Бокситогорск Бугры Волосово Волхов Всеволожск Выборг Высоцк Гатчина Ивангород Каменногорск Кингисепп Кириши Кировск Колтуши Коммунар Кудрово Лодейное Поле Луга Любань Мурино Никольское Новая Ладога Отрадное Пикалёво Подпорожье Приморск Приозерск Светогорск Сертолово Сланцы Сосновый Бор Сясьстрой Тельмана Тихвин Тосно ШлиссельбургЦены
Услуги, соответствующие запросу, не найдены.
Адреса диагностических центров "Доступная Медицина"
Преимущества наших диагностических центров
Доступные цены
Приемлемые цены
на все услуги
Качественный сервис
Контроль качества
оказываемых услуг
Лучшие специалисты
Высококвалифицированные врачи
Новейшее оборудование
Современные томографы с высочайшим качеством визуализации
Близость к метро
Мы находимся в непосредственной близости от метро и остановок общественного транспорта
Наше оборудование
КТ-СПЕЦИАЛИСТЫ
Лицензии
Современные томографы с высочайшим качеством визуализации
Статьи наших врачей