КТ краниовертебрального перехода в СПБ
- Срок получения результата В течение дня
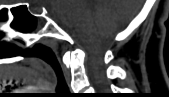
Краниовертебральный переход является местом сочленения между костями черепа и шейным отделом позвоночника
К краниовертебральной области относится первый шейный позвонок (атлант), второй шейный позвонок (аксис) и затылочная кость черепа. Атлантозатылочный сустав обеспечивает кивательные движения головы. Соединение первого и второго шейных позвонков состоит из трех мелких суставов и позволяет совершать вращательные движения головой.
Патологические изменения атланто-аксиального сочленения могут быть врожденного (аномалии развития) и приобретенного характера, которые являются следствием травм, воспалительных заболеваний, дегенеративно-дистрофических и опухолевых процессов.
Патология места сочленения черепа с шейным отделом позвоночника проявляется различными симптомами и связана со смещением позвонков (дислокацией) и наличием или отсутствием компрессии спинного мозга. В первую очередь, это проявляется нарушениями мозгового кровообращения и расстройствами функций центральной нервной системы.
Одним из наиболее информативных методов диагностики заболеваний краниовертебрального перехода является мультиспиральная компьютерная томография с возможностью объемной реконструкции изображений. В основе методики лежит использование рентгеновского излучения. КТ позволяет детально визуализировать костные структуры позвонков, выявить нестабильность суставов, смещение зубовидного отростка и оценить степень сдавления спинного мозга.
В медицинских центрах «Доступная медицина» используются современные 64-срезовый и 128-срезовый компьютерные томографы TOSHIBA AQUILION, на которых проводится сканирование соединения черепа и шейного отдела позвоночника. За счет увеличенного количества детекторов аппараты производят снимки с большой скоростью, которая позволяет минимизировать дозу облучения для пациента. При этом инновационные цифровые приложения позволяют получить объемные изображения исследуемой области высокой четкости, контрастности и в мельчайших подробностях.
Кроме нативной КТ в ряде случаев показано проведение исследования с внутривенным болюсным контрастированием. Методика используется для лучшей визуализации патологических очагов. Для этого пациенту внутривенно вводится йодсодержащий контрастный препарат. Контрастное вещество накапливается в патологических участках и обеспечивает их яркую визуализацию на фоне неизмененных тканей. С помощью контрастирования можно визуализировать кровеносные сосуды, выявить первичные опухоли и метастазы в костных структурах, степень их прорастания в окружающие ткани, дифференцировать новообразования, например, отличить доброкачественную опухоль от злокачественной.
- При каких симптомах необходимо выполнить КТ краниовертебрального перехода
- Что можно выявить на КТ краниовертебрального перехода
- Подготовка к КТ краниовертебрального перехода
- Какие есть противопоказания для проведения КТ краниовертебрального перехода
При каких симптомах необходимо выполнить КТ краниовертебрального перехода
Нарушение правильного соотношения костных структур, образующих сочленение между черепом и позвоночником, отражается на состоянии головного и спинного мозга. Это обусловливает появление различной неврологической симптоматики.
Врач может направить пациента на данное исследование при жалобах на:
- Боли в шейно-затылочной области;
- Нарушения координации, головокружения;
- Обморочные состояния;
- Ухудшение зрения и слуха;
- Транзиторные ишемические атаки;
- Тортиколлис (кривошея, неправильная посадка головы);
- Ограничение подвижности шейного отдела позвоночника;
- Нистагм (непроизвольные подергивания глазных яблок);
- Нарушения зрения при поворотах головы;
- Скачкообразное течение артериальной гипертонии;
- Онемение и слабость конечностей.
Также КТ краниовертебрального перехода может быть назначена при планировании оперативного вмешательства и для оценки эффективности хирургического лечения после операции.
Что можно выявить на КТ краниовертебрального перехода
При проведении мультиспиральной КТ можно диагностировать различные заболевания, в том числе, аномалии развития краниовертебральной области (как врожденного, так и приобретенного происхождения):
- платибазия (уплощение основания черепа);
- базилярная импрессия (выпячивание зубовидного отростка аксиса в большое затылочное отверстие); ассимиляция атланта (сращение первого шейного позвонка с затылочной костью); атланто-аксиальная дислокация (смещение первого и второго шейных позвонков по отношению друг к другу);
- синдром Клиппеля-Фейля (уменьшение числа и/или сращение шейных позвонков) и другие пороки развития.
- смещение шейных позвонков в результате травм;
- дегенеративно-дистрофические заболевания данной области;
- воспалительные и аутоиммунные заболевания с поражением краниовертебрального перехода;
- опухолевые образования.
Для детальной оценки мягких тканей и связочного аппарата предпочтительна МРТ краниовертебрального перехода. В нашей клинике данное исследование выполняется на новейшем высокопольном 32-канальном магнитно-резонансном томографе экспертного уровня.
Подготовка к КТ краниовертебрального перехода
Мультиспиральная компьютерная томография является быстрой неинвазивной безболезненной процедурой. Специальная подготовка к исследованию не нужна. От пациента требуется только сохранять неподвижность в течение нескольких минут, пока проводится обследование. Это обеспечивает получение качественных снимков.
Мы рекомендуем непосредственно перед процедурой захватить с собой все документы, касающиеся зоны исследования. В перечень документов входит:
- Направление лечащего врача;
- Выписка из истории болезни или амбулаторной карты;
- Рентгеновские снимки, CD/DVD диски предыдущих КТ- или МРТ-исследований краниовертебрального перехода;
- Заключения специалистов.
Чтобы исключить противопоказания для введения контрастного вещества, необходимо предоставить результат анализа крови на уровень креатинина (показатель, отражающий функцию почек). Анализ нужно сдать не более, чем за 14 дней до даты исследования.
Пациентам, принимающим по поводу сахарного диабета Метформин (Глюкофаж), рекомендуется согласовать с эндокринологом временную отмену данного препарата за 48 часов до исследования с контрастированием и на 48 часов после введения контраста.
Контрастный препарат вводится внутривенно через предварительно установленный в локтевую вену венозный катетер. При введении контраста можно почувствовать неприятный привкус во рту и прилив теплоты во всем теле, но эти ощущения кратковременны и проходят через 1-2 минуты.
При проведении мультиспиральной КТ с контрастированием кормящим матерям необходимо учесть, что контраст выводится из организма в том числе с грудным молоком. Поэтому требуется прервать грудное вскармливание на 24-48 часов после процедуры, предварительно сделав запас грудного молока. В течение этого времени молоко нужно сцеживать и выливать.
Пациент ложится спиной на выдвижной стол, который во время процедуры плавно перемещается относительно рентгеновской трубки томографа. Важно не шевелиться во время исследования, так как от этого зависит качество снимков исследуемой зоны.
Медицинские работники во время исследования находятся в соседнем помещении, между которыми имеется стеклянное окно. В аппарат вмонтировано специальное переговорное устройство, с помощью которого можно разговаривать с врачом.
Какие есть противопоказания для проведения КТ краниовертебрального перехода
КТ относится к лучевым методам диагностики, поэтому не проводится на любом сроке беременности, чтобы исключить повреждающее действие на плод рентгеновского излучения.
Из-за технических особенностей аппаратов невозможно выполнить КТ краниовертебрального перехода пациентам с массой тела, превышающей 120 кг, так как подвижная часть томографа имеет ограничения по весу.
КТ с внутривенным болюсным контрастированием не проводится, если имеются следующие противопоказания:
- аллергическая реакция на йодсодержащий контрастный препарат в анамнезе;
- заболевания почек с резким снижением их функции;
- сердечная недостаточность;
- некоторые заболевания щитовидной железы (гипертиреоз, тиреотоксикоз);
- тяжелое течение бронхиальной астмы;
- декомпенсированный сахарный диабет.
Запишитесь на КТ краниовертебрального перехода по удобному адресу
ЗаписатьсяСтанция метро
Площадь Восстания Проспект Просвещения Нарвская Рыбацкое Девяткино Гражданский проспект Академическая Политехническая Площадь Мужества Лесная Выборгская Площадь Ленина Чернышевская Владимирская Пушкинская Технологический институт Балтийская Кировский завод Автово Ленинский проспект Проспект Ветеранов Парнас Озерки Удельная Пионерская Чёрная речка Петроградская Горьковская Невский проспект Сенная площадь Фрунзенская Московские ворота Электросила Парк Победы Московская Звёздная Купчино Беговая Зенит Приморская Василеостровская Гостиный двор Маяковская Площадь Александра Невского Елизаровская Ломоносовская Пролетарская Обухово Спасская Достоевская Лиговский проспект Площадь Александра Невского Новочеркасская Ладожская Проспект Большевиков Улица Дыбенко Комендантский проспект Старая Деревня Крестовский остров Чкаловская Спортивная Адмиралтейская Садовая Звенигородская Обводный канал Волковская Бухарестская Международная Проспект Славы Дунайская Шушары Богатырская Каменка Театральная Горный институт Путиловская Юго-Западная Кудрово Шуваловский проспект Каретная Боровая Заставская БроневаяРайон
Центральный Выборгский Кировский Адмиралтейски Василеостровский Калининский Колпинский Красногвардейский Красносельски Кронштадтский Курортный Московский Невский Петроградский Петродворцовый Приморский Пушкинский ФрунзенскийГород
Санкт-Петербург Бокситогорск Бугры Волосово Волхов Всеволожск Выборг Высоцк Гатчина Ивангород Каменногорск Кингисепп Кириши Кировск Колтуши Коммунар Кудрово Лодейное Поле Луга Любань Мурино Никольское Новая Ладога Отрадное Пикалёво Подпорожье Приморск Приозерск Светогорск Сертолово Сланцы Сосновый Бор Сясьстрой Тельмана Тихвин Тосно ШлиссельбургЦены
Услуги, соответствующие запросу, не найдены.
Адреса диагностических центров "Доступная Медицина"
Преимущества наших диагностических центров
Доступные цены
Приемлемые цены
на все услуги
Качественный сервис
Контроль качества
оказываемых услуг
Лучшие специалисты
Высококвалифицированные врачи
Новейшее оборудование
Современные томографы с высочайшим качеством визуализации
Близость к метро
Мы находимся в непосредственной близости от метро и остановок общественного транспорта
Наше оборудование
КТ-СПЕЦИАЛИСТЫ
Лицензии
Современные томографы с высочайшим качеством визуализации
Статьи наших врачей