Назад МРТ головного мозга + МР-ангиография головного мозга + 3 отдела позвоночника в СПБ

14 900
/
По акции в Рыбацком
13 500
руб
Записаться на прием
14 900 руб
По акции в Рыбацком
13 500 руб
Записаться
  • Срок получения результата В течение дня
  • Ограничения по весу 120 кг
Описание

В клинике «Доступная медицина» проводится комплексное исследование, включающее МРТ головного мозга и МР-ангиографию сосудов головного мозга. Кроме того, в состав обследования входит проведение комплексной МРТ 3-х отделов позвоночника. Методика комплексного обследования применяется при сочетанных поражениях головного мозга, спинного мозга и позвоночного столба.

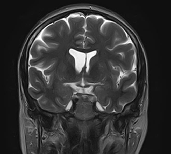
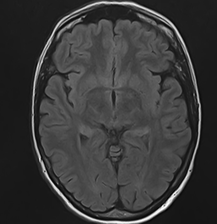
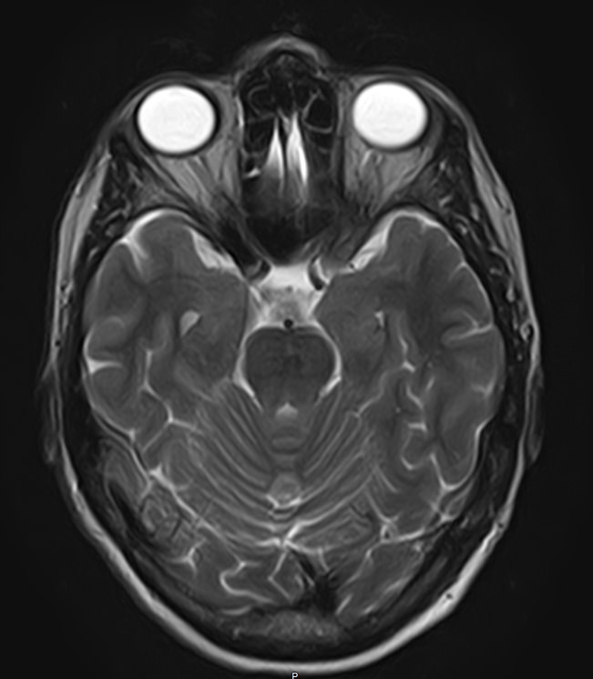
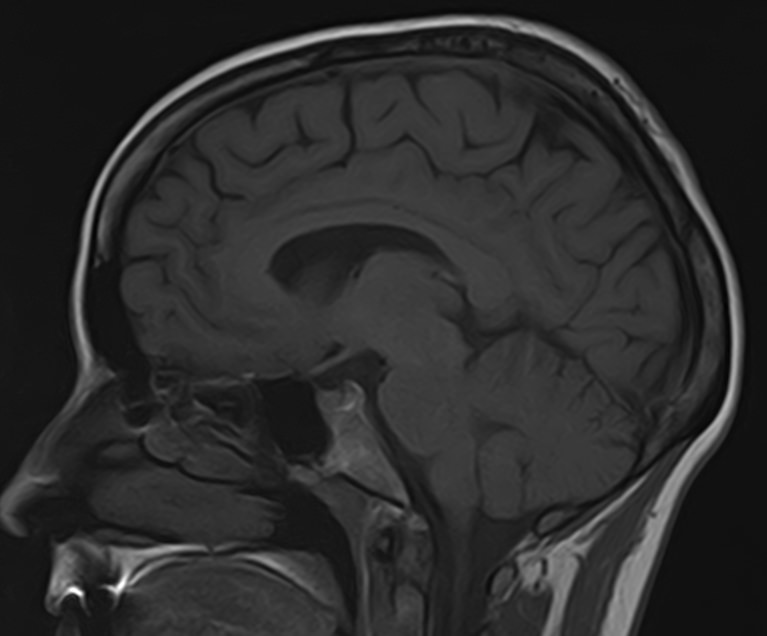
Стандартная МРТ головного мозга дает важную информацию о состоянии и структуре мозговой ткани для выявления большого числа заболеваний, в том числе опухолевых образований, демиелинизирующих заболеваний, воспалительных процессов головного мозга и мозговых оболочек. Стандартную МРТ головного мозга дополняет МР-ангиография, которая отображает состояние системы кровоснабжения головного мозга. Компьютерная программа обрабатывает данные, полученные при сканировании, и формирует объемные изображения как самого мозга, так и сосудистой системы в отдельности без прилегающих тканей. Обе методики применяются одновременно и взаимодополняют друг друга, давая полную диагностическую картину. 

При подозрении на распространенный процесс с поражением различных уровней позвоночника целесообразно проведение МРТ для диагностики дегенеративно-дистрофических заболеваний, травматических, воспалительных изменений, а также опухолевых процессов позвоночника. Метод позволяет оценить состояние структур позвонков, позвоночного канала с расположенным в нем спинным мозгом и окружающих мягких тканей, кроме того является основным способом диагностики демиелинизирующих заболеваний спинного мозга.

Исследование проводится на современном томографе TOSHIBA VANTAGE TITAN 1,5 Тесла, который является аппаратом с высокой разрешающей способностью и используется для точной диагностики заболеваний центральной нервной системы и позвоночника. 

В большинстве случаев МРТ головного мозга, МР-ангиография головного мозга и МРТ позвоночника проводится без контрастирования. Однако иногда требуется контрастное усиление для улучшения визуализации определенной области или патологического образования. В этом случае пациенту внутривенно вводится контрастный препарат на основе солей гадолиния. Необходимость применения контраста определяется лечащим врачом индивидуально для каждого конкретного пациента.

Обращаем внимание: стоимость комплексного обследования в клинике «Доступная медицина» снижена.

Что покажет комплексная МРТ головного мозга + МР-ангиография головного мозга + 3 отдела позвоночника

Свернуть/развернуть

С помощью  магнитно-резонансной томографии можно диагностировать следующие патологии:

  • опухолевые образования головного мозга доброкачественного и злокачественного генеза;
  • кистозные образования и псевдокисты в головном мозге;
  • очаги ишемического инсульта, кровоизлияния на фоне геморрагического инсульта;
  • воспалительные процессы со стороны мозговых оболочек и тканей головного мозга (менингиты, энцефалиты);
  • демиелинизирующие заболевания головного мозга, в том числе рассеянный склероз;
  • дегенеративные изменения в структурах головного мозга (болезнь Паркинсона, болезнь Альцгеймера, старческая деменция);
  • травматические повреждения головного мозга, наличие гематом;
  • изменения структуры ткани головного мозга, характерные для эпилепсии;
  • патология со стороны сосудов головного мозга (аневризмы, сужение просвета сосудов, сосудистые мальформации);
  • дегенеративные изменения в шейном, грудном или пояснично-крестцовом отделах позвоночника;
  • травмы позвоночника, спинного мозга, связочного аппарата, близлежащих мягких тканей;
  • опухоли спинного мозга, костей, нервных корешков или мягких тканей, окружающих позвоночник;
  • инфекционные и воспалительные заболевания позвоночника и спинного мозга; 
  • демиелинизирующие заболевания спинного мозга; 
  • динамическое наблюдение на фоне лечения, в том числе, перед операцией и после оперативного лечения заболеваний позвоночного столба; 
  • аномалии развития позвоночника.

Как подготовиться к МРТ

Свернуть/развернуть

Данная процедура не требует специальной подготовки.

Необходимо принести с собой медицинскую документацию, относящуюся к зоне исследования:

  • направление от лечащего врача;
  • выписки из амбулаторных карт и стационаров;
  • результаты предыдущих исследований (МР-снимки, CD/DVD диски, снимки КТ).

При наличии имплантатов, позволяющих проводить МРТ, нужно предоставить документы из медучреждения, в котором они были установлены. 

Если планируется контрастное усиление у пациента с подозрением на почечную недостаточность, нужно провести контроль уровня креатинина крови (анализ крови действителен в течение 14 дней).

Для введения контраста в локтевую вену устанавливается катетер с подключенным инжектором (дозирующее устройств). В определенный момент во время исследования контраст подается в вену. В момент введения контраста может возникнуть ощущение тепла или холода во всем теле, металлический привкус во рту, но этот дискомфорт полностью исчезает через несколько минут. Контрастное вещество выводится из организма в течение следующих суток, поэтому кормящим женщинам рекомендуется прервать грудное кормление на 24-48 часов после исследования, при этом сцеженное молоко нужно выливать. 

Перед исследованием необходимо убрать все электронные устройства, пластиковые карты, смартфоны, металлические предметы, снять аксессуары из металла, пирсинг, одежду с металлической фурнитурой.  

Так как томограф во время работы издает громкий шум, для шумоподавления можно воспользоваться берушами или наушниками.

Допускается присутствие сопровождающего, который во время проведение томографии будет находиться с пациентом в диагностическом кабинете. С медицинским персоналом общение осуществляется с помощью специальной системы связи, вмонтированной в аппарат. При необходимости можно вызвать медработника, нажав на сигнальную грушу.

Противопоказания для МРТ

Свернуть/развернуть
  • Наличие имплантированных электронных устройств, работа которых может нарушиться под действием магнитного поля томографа. К ним относятся: кардиостимуляторы, дефибрилляторы, имплантаты внутреннего уха, инсулиновые помпы, нейростимуляторы. 
  • При наличии в теле металлических изделий медицинского назначения (протезы, штифты, винты, пластины, сосудистые скобы, клипсы, стенты, кава-фильтры), а также инородных предметов из металла (это могут быть осколки, металлическая стружка, пули, дробь, неснимаемый пирсинг, татуировки с использованием металлизированных красок). Современные медицинские изделия могут быть изготовлены из материалов, которые не препятствуют проведению МРТ. О таких имплантированных предметах нужно сообщить врачу-рентгенологу и предоставить документы из учреждения, где они были установлены. На основе предоставленной информации и, учитывая месторасположение имплантата, можно оценить возможность проведения МРТ. 
  • Женщинам в первом триместре беременности не рекомендуется  проводить МРТ для исключения риска воздействия неблагоприятных факторов на формирующиеся органы плода.
  • На любом сроке беременности противопоказано введение контраста. 
  • Контрастирование не применяется при заболеваниях почек со снижением их функции, а также при наличии в анамнезе аллергических реакций на контрастное вещество. 
  • Клаустрофобия (боязнь закрытых пространств) может ограничивать проведение МРТ из-за риска развития панической атаки во время нахождения в туннеле томографа закрытого типа. 
  • Из-за технических ограничений по весу томографа невозможно выполнить исследование пациентам с массой тела более 120 кг.

Запишитесь на МРТ головного мозга + МР-ангиография головного мозга + 3 отдела позвоночника по удобному адресу

Записаться
Фильтр по услугам Комплексные исследования МРТ

Введение контраста

С контрастом Без контраста

Станция метро

Площадь Восстания Нарвская Проспект Просвещения Рыбацкое Девяткино Гражданский проспект Академическая Политехническая Площадь Мужества Лесная Выборгская Площадь Ленина Чернышевская Владимирская Пушкинская Технологический институт Балтийская Кировский завод Автово Ленинский проспект Проспект Ветеранов Парнас Озерки Удельная Пионерская Чёрная речка Петроградская Горьковская Невский проспект Сенная площадь Фрунзенская Московские ворота Электросила Парк Победы Московская Звёздная Купчино Беговая Зенит Приморская Василеостровская Гостиный двор Маяковская Площадь Александра Невского Елизаровская Ломоносовская Пролетарская Обухово Спасская Достоевская Лиговский проспект Площадь Александра Невского Новочеркасская Ладожская Проспект Большевиков Улица Дыбенко Комендантский проспект Старая Деревня Крестовский остров Чкаловская Спортивная Адмиралтейская Садовая Звенигородская Обводный канал Волковская Бухарестская Международная Проспект Славы Дунайская Шушары Богатырская Каменка Театральная Горный институт Путиловская Юго-Западная Кудрово Шуваловский проспект Каретная Боровая Заставская Броневая

Возраст пациента

Взрослому Ребенку от 15 лет

Пол пациента

Мужчине Женщине

Тип аппарата

Открытый Закрытый

Мощность МРТ

1.5 Тл 3 Тесла

Программы страхования

ДМС Платно ОМС

Цены

Услуги, соответствующие запросу, не найдены.

МР-скрининг всего тела
руб
14 200 руб
МРТ головного мозга + МР-ангиография головного мозга + МР-венография головного мозга
руб
10 400 / 9 000 руб
Подробнее
МРТ головного мозга + МР-ангиография головного мозга + МР-венография головного мозга + черепно-мозговые нервы
руб
13 400 / 12 200 руб
Подробнее
МРТ головного мозга + МРТ шейного отдела позвоночника + МР ангиография шеи
руб
10 400 / 9 000 руб
Подробнее
МРТ головного мозга + МР ангиография головного мозга + МРТ шейного отдела позвоночника
руб
10 400 / 9 000 руб
Подробнее
МРТ головного мозга + МР-ангиография головного мозга + 3 отдела позвоночника
руб
14 900 / 13 500 руб
Подробнее
МРТ головного мозга + МРТ шейного отдела позвоночника + МР-ангиография шеи и головного мозга
руб
13 400 / 12 200 руб
Подробнее
МРТ шейного отдела позвоночника + МР-ангиография шеи
руб
7 600 / 6 200 руб
Подробнее
МРТ головного мозга + МРТ орбит
руб
7 600 / 6 200 руб
Подробнее
МРТ головного мозга и гипофиза
руб
От 11 300 / 9 200 руб
Подробнее
МРТ головного мозга + черепно-мозговые нервы
руб
7 600 / 6 600 руб
Подробнее
МРТ головного мозга + шейного отдела позвоночника
руб
7 600 / 6 200 руб
Подробнее
МР-ангиография шеи и головного мозга
руб
7 600 / 6 200 руб
Подробнее
МРТ брюшной полости + МРТ забрюшинного пространства
руб
8 500 руб
МРТ брюшной полости+МР-холангиография
руб
9 600 / 8 600 руб
Подробнее
МРТ пояснично-крестцового отдела + копчик
руб
7 600 / 6 200 руб
Подробнее
МРТ пояснично-крестцового отдела позвоночника + МРТ крестцово-подвздошных сочленений
руб
7 600 / 6 200 руб
Подробнее
МРТ головного мозга, все отделы позвоночника
руб
13 400 / 12 200 руб
Подробнее
Комплексная МРТ позвоночника – 3 отдела
руб
10 600 / 9 200 руб
Подробнее
МРТ пояснично-крестцового отдела позвоночника + МРТ тазобедренных суставов
руб
8 300 / 6 900 руб
Подробнее
МРТ пояснично-крестцового отдела позвоночника + МРТ коленного сустава
руб
8 300 / 6 900 руб
Подробнее
МРТ шейного отдела позвоночника + МРТ плечевого сустава
руб
8 300 / 6 900 руб
Подробнее
МРТ всего позвоночника – 3 отдела + копчик
руб
13 400 / 12 200 руб
Подробнее

Адреса диагностических центров "Доступная Медицина"

Преимущества наших диагностических центров

Доступные цены

Приемлемые цены
на все услуги

Качественный сервис

Контроль качества
оказываемых услуг

Лучшие специалисты

Высококвалифицированные врачи

Новейшее оборудование

Современные томографы с высочайшим качеством визуализации

Близость к метро

Мы находимся в непосредственной близости от метро и остановок общественного транспорта

Лицензии

Современные томографы с высочайшим качеством визуализации

Назад
Вперед
Ключникова Екатерина Игоревна
Информация проверена главным врачом клиники Domedica24
Ключникова Екатерина Игоревна
Стаж более 8 лет, главный врач, врач-рентгенолог 1 категории
Площадь Стачек, 9">
ул. 1-я Советская, 8">