КТ грудино-ключичных сочленений в СПБ
- Срок получения результата В течение дня
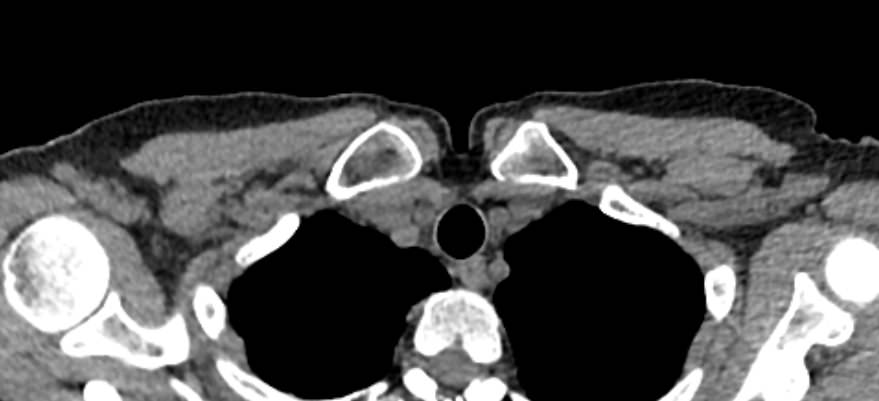
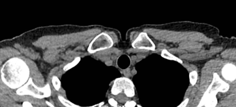
Грудино-ключичные сочленения (ГКС) относятся к плечевому поясу и образованы грудинным концом ключицы и рукояткой грудины. При помощи суставного диска сустав разделен на две части, заключенных в одну капсулу. Благодаря сложному строению и крепкому связочному аппарату сустав обеспечивает подвижность плечевого пояса и большой объем движений верхней конечности.
Дисфункция грудино-ключичного сочленения обычно связана с травмами в результате падений, спортивных травм или дорожно-транспортных происшествий. Последствиями этого могут быть различные вывихи, подвывихи или переломы суставных поверхностей. У пациентов старшей возрастной группы часто наблюдаются дегенеративно-дистрофические изменения (артрозы грудино-ключичных сочленений). Кроме этого, ГКС нередко подвержены развитию воспалительных заболеваний (реактивные артриты на фоне инфекционных процессов и как проявление аутоиммунных заболеваний).
Мультиспиральная компьютерная томография является одним из наиболее информативных методов исследования области грудино-ключичных сочленений. Как и при обычном рентгене во время проведения КТ используется рентгеновское излучение, которое хорошо поглощается плотными структурами, такими как кости. Поэтому костная ткань хорошо видна на рентгеновских снимках.
Однако классический рентген не всегда обеспечивает качественную визуализацию ГКС из-за наложения друг на друга изображений костных структур. Компьютерная томография лишена таких недостатков. При проведении КТ излучатель рентгеновских лучей совершает круговые движения вокруг исследуемой области, проводя сканирование в различных плоскостях. В результате получаются детальные снимки высокого качества, а после цифровой обработки – трехмерные модели грудино-ключичных сочленений в мельчайших подробностях.
В наших диагностических центрах обследование грудино-ключичных сочленений проводится на современных мультиспиральных компьютерных томографах экспертного уровня TOSHIBA AQUILION. Благодаря увеличенному количеству высокочувствительных детекторов современное оборудование обеспечивает точность и достоверность диагностики. Кроме того, скоростное мультисрезовое сканирование позволяет максимально снизить дозу рентгеновского облучения для пациента.
КТ благодаря быстроте, доступности и высокой информативности часто назначается в экстренных ситуациях, например, при травмах и в случае необходимости проведения оперативного лечения. Поэтому метод особенно востребован в ортопедии и травматологии. На снимках КТ и трехмерных изображениях можно оценить состояние суставных поверхностей грудино-ключичных сочленений, а в случае перелома определить точную локализацию костных отломков.
При необходимости визуализации капсульно-связочного аппарата ГКС и окружающих мягких тканей нативная компьютерная томография дополняется контрастным усилением. Для этого пациенту внутривенно вводится йодсодержащий контрастный препарат, обладающий способностью активно поглощать рентгеновские лучи. Благодаря контрастированию на снимках КТ визуализируются суставные диски, связки, мышцы и окружающие мягкие ткани. Кроме того, контраст в большей степени концентрируется в патологических очагах, что позволяет диагностировать воспалительные изменения и, в первую очередь, опухолевые новообразования как доброкачественного, так и злокачественного характера.
- Показания для проведения КТ грудино-ключичных сочленений
- Что можно выявить при проведении КТ грудино-ключичных сочленений?
- Подготовка к КТ грудино-ключичных сочленений
- Противопоказания для проведения КТ грудино-ключичных сочленений
Показания для проведения КТ грудино-ключичных сочленений
Поводом для назначения обследования ГКС могут послужить жалобы пациента на:
- боли в области грудины и ключиц при движении верхних конечностей, отдающие в шею, лопатку или руку;
- боли в области ГКС и ограничение подвижности руки после травмы;
- болезненность при пальпации области грудино-ключичных сочленений;
- покраснение и отечность кожи в области грудино-ключичных сочленений.
Что можно выявить при проведении КТ грудино-ключичных сочленений?
Мультиспиральная компьютерная томография позволяет диагностировать:
- Различные виды травм грудино-ключичных сочленений – разрывы связок, вывихи, переломы;
- Дегенеративно-дистрофические заболевания (остеоартроз);
- Системные воспалительные заболевания соединительной ткани, аутоиммунные процессы (ревматоидный артрит, волчаночный артрит, псориатический артрит);
- Реактивный артрит грудино-ключичных сочленений на фоне инфекционного процесса в других органах, остеомиелит;
- Врожденные аномалии развития;
- Доброкачественные и злокачественные опухоли костей и хрящевой ткани ГКС.
Подготовка к КТ грудино-ключичных сочленений
Компьютерная томография является быстрой неинвазивной безболезненной процедурой. Специальная подготовка к исследованию не нужна. От пациента требуется только сохранять неподвижность в течение нескольких минут.
Важно принести с собой все документы, касающиеся зоны исследования. В перечень документов входит:
- Направление лечащего врача;
- Выписка из истории болезни или амбулаторной карты;
- Рентгеновские снимки, CD/DVD диски предыдущих КТ и МРТ исследований области грудино-ключичных сочленений;
- Заключения специалистов.
Если планируется введение контрастного вещества, то необходимо предоставить результат анализа крови на уровень креатинина (показатель, отражающий функцию почек). Анализ действителен не более 2 недель с момента забора крови.
Пациентам, принимающим по поводу сахарного диабета Метформин (Глюкофаж) или другие метформинсодержащие препараты, необходимо прекратить прием данного препарата за 48 часов до исследования с контрастированием и на 48 часов после введения контраста. По поводу временной отмены данных препаратов нужно посоветоваться с эндокринологом.
Контрастный препарат вводится внутривенно с помощью автоматического шприца (инжектора). Инжектор подключается к предварительно установленному в локтевую вену венозному катетеру. При введении контраста можно почувствовать теплоту во всем теле и неприятный привкус во рту, но эти дискомфортные ощущения проходят через 1-2 минуты.
Если требуется выполнить КТ с контрастированием кормящей женщине, то мы рекомендуем таким пациенткам на 24-48 часов после процедуры с введением контраста прервать грудное вскармливание, предварительно сделав запас грудного молока. При этом молоко нужно сцеживать из груди и выливать.
Пациент во время процедуры исследования располагается лежа на специальном столе, который двигается в раме томографа. По сравнению с МРТ отверстие томографа широкое, вокруг пространство полностью открытое и свободное.
Врач находится в соседнем помещении, наблюдает за пациентом через окно, общение происходит через переговорное устройство, вмонтированное в аппарат. Пациент при необходимости может вызвать медицинский персонал, нажав на специальную сигнальную кнопку.
Противопоказания для проведения КТ грудино-ключичных сочленений
КТ не рекомендуется выполнять беременным женщинам из-за вредного воздействия на плод рентгеновского излучения. Поэтому мы просим женщин обязательно сообщить врачу о наличии у них возможной беременности.
Кроме того, технически невозможно выполнить КТ из-за веса пациента, превышающего 120 кг, так как подвижная часть томографа имеет ограничения по весу.
При необходимости проведения КТ грудино-ключичных сочленений с внутривенным болюсным контрастированием пациент может иметь противопоказания для введения контрастного препарата. К ним относятся:
- аллергическая реакция на йодсодержащий контрастный препарат в анамнезе;
- заболевания почек с выраженным снижением их функции;
- застойная сердечная недостаточность;
- заболевания щитовидной железы с явлениями гипертиреоза и тиреотоксикоза;
- тяжелое течение бронхиальной астмы;
- декомпенсированный сахарный диабет.
Запишитесь на КТ грудино-ключичных сочленений по удобному адресу
ЗаписатьсяСтанция метро
Площадь Восстания Проспект Просвещения Нарвская Рыбацкое Девяткино Гражданский проспект Академическая Политехническая Площадь Мужества Лесная Выборгская Площадь Ленина Чернышевская Владимирская Пушкинская Технологический институт Балтийская Кировский завод Автово Ленинский проспект Проспект Ветеранов Парнас Озерки Удельная Пионерская Чёрная речка Петроградская Горьковская Невский проспект Сенная площадь Фрунзенская Московские ворота Электросила Парк Победы Московская Звёздная Купчино Беговая Зенит Приморская Василеостровская Гостиный двор Маяковская Площадь Александра Невского Елизаровская Ломоносовская Пролетарская Обухово Спасская Достоевская Лиговский проспект Площадь Александра Невского Новочеркасская Ладожская Проспект Большевиков Улица Дыбенко Комендантский проспект Старая Деревня Крестовский остров Чкаловская Спортивная Адмиралтейская Садовая Звенигородская Обводный канал Волковская Бухарестская Международная Проспект Славы Дунайская Шушары Богатырская Каменка Театральная Горный институт Путиловская Юго-Западная Кудрово Шуваловский проспект Каретная Боровая Заставская БроневаяРайон
Центральный Выборгский Кировский Адмиралтейски Василеостровский Калининский Колпинский Красногвардейский Красносельски Кронштадтский Курортный Московский Невский Петроградский Петродворцовый Приморский Пушкинский ФрунзенскийГород
Санкт-Петербург Бокситогорск Бугры Волосово Волхов Всеволожск Выборг Высоцк Гатчина Ивангород Каменногорск Кингисепп Кириши Кировск Колтуши Коммунар Кудрово Лодейное Поле Луга Любань Мурино Никольское Новая Ладога Отрадное Пикалёво Подпорожье Приморск Приозерск Светогорск Сертолово Сланцы Сосновый Бор Сясьстрой Тельмана Тихвин Тосно ШлиссельбургЦены
Услуги, соответствующие запросу, не найдены.
Адреса диагностических центров "Доступная Медицина"
Преимущества наших диагностических центров
Доступные цены
Приемлемые цены
на все услуги
Качественный сервис
Контроль качества
оказываемых услуг
Лучшие специалисты
Высококвалифицированные врачи
Новейшее оборудование
Современные томографы с высочайшим качеством визуализации
Близость к метро
Мы находимся в непосредственной близости от метро и остановок общественного транспорта
Наше оборудование
КТ-СПЕЦИАЛИСТЫ
Лицензии
Современные томографы с высочайшим качеством визуализации
Статьи наших врачей