Назад Рентген атланто-аксиального сочленения в СПб

Цена:
1 400 руб
Записаться
  • Длительность выполнения 15 минут
Описание

Шейный отдел позвоночника ― одно из самых уязвимых мест в теле. Здесь проходят кровеносные сосуды, питающие спинной и головной мозг, и нервные стволы, обеспечивающие передачу импульсов от органов и тканей и к ним. Твердые позвонки защищают мягкие сосуды и нервы и поддерживает череп, но при этом шея должна обеспечивать повороты и наклоны головы. Это достигается сочленениями позвонков.

Первые 2 позвонка ― атлант или С1 и аксис или С2 ― соединяются в атланто-аксиальное сочленение со сложным устройством. У здорового человека шея свободно удерживает тяжелый череп, а проблемы с этим сочленением возникают из-за травм ― ударов в область шеи или головы. При врожденной дисплазии соединительной ткани под тяжестью черепа развивается нестабильность этого сустава, приводящая к привычным вывихам в детстве, а впоследствии и к дегенеративно-дистрофическим патологиям. Встречаются и врожденные аномалии.

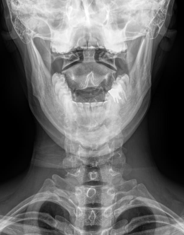
Рентгенография ― первое исследование, которое назначают при подозрении на патологию атланто-аксиального сочленения. На рентгеновском снимке хорошо видны костные образования и их изменения. Самое начало позвоночного столба лучше всего рассматривать в проекции «через открытый рот»: при такой укладке нижняя челюсть и затылочная кость не загораживают исследуемые элементы.

Кому назначают рентген атланто-аксиального сочленения

Свернуть/развернуть

Признаки повреждения сочленения первых двух позвонков могут быть такими:

  • Боли в шее;
  • Головные боли;
  • Дискомфорт при повороте головы;
  • Вынужденное, наклоненное к плечу или повернутое, положение головы;
  • Напряжение и болезненность при пальпации мышц шеи;
  • Щелчок в момент повреждения;
  • Приподнято одно или оба плеча;
  • Онемение, мурашки, похолодание, слабость в одной или обеих руках;
  • Головокружение, потеря сознания;
  • Нарушение координации;
  • Нарушение зрения или слуха. 

Эти симптомы появляются как при острых, так и при хронических патологиях и могут свидетельствовать о следующих заболеваниях:

  • Вывих и подвывих первого шейного позвонка;
  • Артроз атланто-дентального сочленения;
  • Артрит этого сустава;
  • Инфекционные поражения;
  • Аномалии развития, которые могут быть обнаружены как в раннем детстве, так и в молодом возрасте;
  • Опухоли.

Перелом тела или отростков позвонков С1-С2 обычно сопровождаются болью, сильным напряжением мышц шеи, часто ― невозможностью удержать голову, и ярко выраженной неврологической симптоматикой вплоть до паралича. Поэтому для предотвращения ухудшения положения при травме головы и шеи используют транспортировочную шину-воротник.

Что покажет рентген шейного отдела позвоночника через открытый рот

Свернуть/развернуть
  • Смещение позвонков друг относительно друга, на сколько и в какую сторону;
  • Перелом, если он есть;
  • Остеопороз тел позвонков;
  • Симметричность и равномерность суставных щелей, костные разрастания;
  • Равномерность межпозвоночных пространств.

Подготовка к рентгену С1-С2 позвонков

Свернуть/развернуть

Диагностика проводится без предварительной подготовки. Необходимо снять украшения с шеи и головы, очки и съемные протезы, поднять волосы, если они мешают, а также расстегнуть верхние пуговицы одежды. Затем надеть защитную накидку.

Снимок выполняется в положении лежа, хотя можно стоя или сидя. Пациент лежит на спине, голову держит прямо. Надо открыть рот, опустив нижнюю челюсть и слегка запрокидывая голову. Рентгенолаборант может подложить под шею валик. Если опустить челюсть мешает шейная шина ― воротник Шанца, его расстегивают, отодвигают или аккуратно снимают. 

Во время снимка, который длится 1-2 секунды, важно не шевелиться, не дышать и не сглатывать слюну. Описание будет готово в этот же день.

Противопоказания

Свернуть/развернуть

Плановое исследование противопоказано в детском возрасте и в период вынашивания ребенка, так как ионизирующее излучение негативно сказывается на растущем организме. Однако в экстренных случаях, при травме, рентгенографию назначают и этим пациентам.

Запишитесь на Рентген атланто-аксиального сочленения по удобному адресу

Записаться
Фильтр по услугам Рентген костно-суставной системы

Станция метро

Площадь Восстания Проспект Просвещения Нарвская Рыбацкое Девяткино Гражданский проспект Академическая Политехническая Площадь Мужества Лесная Выборгская Площадь Ленина Чернышевская Владимирская Пушкинская Технологический институт Балтийская Кировский завод Автово Ленинский проспект Проспект Ветеранов Парнас Озерки Удельная Пионерская Чёрная речка Петроградская Горьковская Невский проспект Сенная площадь Фрунзенская Московские ворота Электросила Парк Победы Московская Звёздная Купчино Беговая Зенит Приморская Василеостровская Гостиный двор Маяковская Площадь Александра Невского Елизаровская Ломоносовская Пролетарская Обухово Спасская Достоевская Лиговский проспект Площадь Александра Невского Новочеркасская Ладожская Проспект Большевиков Улица Дыбенко Комендантский проспект Старая Деревня Крестовский остров Чкаловская Спортивная Адмиралтейская Садовая Звенигородская Обводный канал Волковская Бухарестская Международная Проспект Славы Дунайская Шушары Богатырская Каменка Театральная Горный институт Путиловская Юго-Западная Кудрово Шуваловский проспект Каретная Боровая Заставская Броневая

Возраст пациента

Взрослому Ребенку от 15 лет

Пол пациента

Мужчине Женщине

Количество проекций

Одна Две

Введение контраста

С контрастом Без контраста

Цены

Услуги, соответствующие запросу, не найдены.

Рентген черепа (1 проекция)
руб
1 400 руб
Рентген черепа (2 проекции)
руб
1 900 руб
Рентген турецкого седла
руб
1 400 руб
Рентген придаточных пазух носа
руб
1 400 руб
Рентген придаточных пазух носа (2 проекции)
руб
1 900 руб
Рентген костей носа при искривлении носовой перегородки
руб
1 400 руб
Рентген нижней челюсти (2 проекции)
руб
1 900 руб
Рентген атланто-аксиального сочленения
руб
1 400 руб
Рентген шейного отдела позвоночника (2 проекции)
руб
1 900 руб
Функциональные исследования позвоночника (шейный отдел)
руб
3 200 руб
Рентген шейного отдела позвоночника с функциональными пробами + С1 позвонок
руб
3 600 руб
Рентген грудного отдела позвоночника (2 проекции)
руб
1 900 руб
Рентген поясничного-крестцового отдела позвоночника (2 проекции)
руб
1 900 руб
Функциональные исследования позвоночника (поясничный отдел)
руб
3 200 руб
Рентген крестцового отдела позвоночника и копчика (2 проекции)
руб
1 900 руб
Рентген крестцово-подвздошного сочленения (3 проекции)
руб
2 100 руб
Рентген копчика (2 проекции)
руб
1 900 руб
Рентген копчика с функциональными пробами
руб
2 600 руб
Рентген позвоночника при сколиозе в прямой проекции (стичинг)
руб
1 600 руб
Рентген позвоночника при нарушении статики в боковой проекции (стичинг)
руб
1 600 руб
Рентген позвоночника на кифосколиоз в прямой и боковой проекциях (стичинг)
руб
2 600 руб
Рентген ключицы (2 проекции)
руб
1 900 руб
Рентген обеих ключиц (1 проекция)
руб
2 100 руб
Рентген обеих ключиц (2 проекции)
руб
3 100 руб
Рентген ребер (прицельно)
руб
1 400 руб
Рентген лопатки (2 проекции)
руб
1 900 руб
Рентген обеих лопаток (2 проекции)
руб
3 100 руб
Рентген акромиально-ключичного сочленения (2 проекции)
руб
1 900 руб
Рентген обоих акромиально-ключичных сочленений (1 проекция)
руб
2 100 руб
Рентген обоих акромиально-ключичных сочленений (2 проекции)
руб
3 100 руб
Рентген грудино-ключичных сочленений
руб
1 400 руб
Рентген плечевого сустава (2 проекции) (Рентген плеча)
руб
1 900 руб
Рентген обоих плечевых суставов (2 проекции)
руб
3 100 руб
Рентген плечевой кости (2 проекции) (Рентген плеча)
руб
1 900 руб
Рентген локтевого сустава (2 проекции) (Рентген локтя)
руб
1 900 руб
Рентген предплечья (2 проекции) (Рентген локтевой и лучевой костей)
руб
1 900 руб
Рентген лучезапястного сустава (2 проекции)
руб
1 900 руб
Рентген пястно-запястных суставов
руб
1 400 руб
Рентген пястно-фаланговых суставов
руб
1 400 руб
Рентген межфалангового сустава (2 проекции) (прицельно)
руб
1 900 руб
Рентген кисти (2 проекции)
руб
1 900 руб
Рентген обеих кистей (1 проекция)
руб
2 100 руб
Рентген обеих кистей (2 проекции)
руб
3 100 руб
Рентген кистей для определения костного возраста
руб
2 100 руб
Рентген костей таза (Рентген подвздошной, лонной и седалищной костей)
руб
1 400 руб
Рентген тазобедренного сустава (2 проекции)
руб
1 900 руб
Рентген тазобедренных суставов (1 проекция)
руб
2 100 руб
Рентген тазобедренных суставов (2 проекции)
руб
3 100 руб
Рентген тазобедренных суставов в прямой проекции и по Лаунштейну
руб
2 600 руб
Рентген бедренной кости (2 проекции)
руб
1 900 руб
Рентген обеих бедренных костей (1 проекция)
руб
2 100 руб
Рентген обеих бедренных костей (2 проекции)
руб
3 100 руб
Рентген коленного сустава (2 проекции)
руб
1 900 руб
Рентген обоих коленных суставов (1 проекция)
руб
2 100 руб
Рентген обоих коленных суставов (2 проекции)
руб
3 100 руб
Рентген пателло-феморального сочленения с обеих сторон
руб
1 900 руб
Рентген костей голени (2 проекции) (Рентген большеберцовой и малоберцовой костей)
руб
1 900 руб
Рентген костей голени обеих ног (1 проекция)
руб
2 100 руб
Рентген костей голени обеих ног (2 проекции)
руб
3 100 руб
Рентген голеностопного сустава (2 проекции)
руб
1 900 руб
Рентген голеностопных суставов (1 проекция)
руб
2 100 руб
Рентген голеностопных суставов (2 проекции)
руб
3 100 руб
Рентген пяточных костей в боковой проекции
руб
1 400 руб
Рентген пяточных костей (2 проекции)
руб
1 900 руб
Рентген стоп в прямой проекции
руб
2 100 руб
Рентген стопы (2 проекции)
руб
1 900 руб
Рентген стоп в боковой проекции
руб
2 100 руб
Рентген стоп в двух проекциях (Рентген плюсне-фаланговых суставов, Рентген предплюсне-плюсневого сочленения)
руб
3 100 руб
Рентген одной стопы на продольное плоскостопие
руб
1 400 руб
Рентген одной стопы на поперечное плоскостопие
руб
1 400 руб
Рентген одной стопы на продольное и поперечное плоскостопие
руб
1 900 руб
Рентген обеих стоп на продольное плоскостопие
руб
2 100 руб
Рентген обеих стоп на поперечное плоскостопие
руб
2 100 руб
Рентген обеих стоп на продольное и поперечное плоскостопие (Рентген стоп на плоскостопие для военкомата, Рентген стоп на плоскостопие с полной статической нагрузкой)
руб
3 100 руб
Рентген ног (ститчинг)
руб
2 100 руб
Рентген ног (стичинг) 2 проекции/с функциональными пробами
руб
3 100 руб
Дополнительная проекция
руб
600 руб

Адреса диагностических центров "Доступная Медицина"

Преимущества наших диагностических центров

Доступные цены

Приемлемые цены
на все услуги

Качественный сервис

Контроль качества
оказываемых услуг

Лучшие специалисты

Высококвалифицированные врачи

Новейшее оборудование

Современные томографы с высочайшим качеством визуализации

Близость к метро

Мы находимся в непосредственной близости от метро и остановок общественного транспорта

Лицензии

Современные томографы с высочайшим качеством визуализации

Назад
Вперед
Ключникова Екатерина Игоревна
Информация проверена главным врачом клиники Domedica24
Ключникова Екатерина Игоревна
Стаж более 8 лет, главный врач, врач-рентгенолог 1 категории
Площадь Стачек, 9">
ул. 1-я Советская, 8">