Назад Рентген позвоночника при сколиозе в прямой проекции

Цена:
1 600 руб
Записаться
  • Длительность выполнения 15 минут
Описание

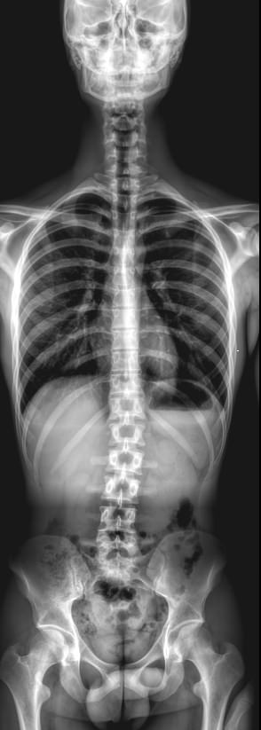
Потребность в рентгене всего позвоночника возникает при его патологическом искривлении ― сколиозе. Это стойкое отклонение позвоночного столба вбок, которое со временем приводит к серьезному искривлению всего скелета и нарушению работы внутренних органов. У взрослых такое заболевание может развиться в результате травм и болезней, но большинство случаев возникает в детском возрасте ― от 6 до 15 лет.

В развитии сколиоза различают 4 степени, которые отличаются величиной искривления, выраженной в градусах угла. Чтобы определить угол, врачу необходимо:

  • Сделать рентгенограмму;
  • Найти на ней 2 нейтральных, то есть не отклонившихся, позвонка, между которыми есть дуга искривления;
  • Провести через них 2 горизонтальные линии перпендикулярно позвоночнику;
  • Провести 2 вертикальные линии, перпендикулярные первым;
  • Определить угол между второй парой прямых.

В прямом, то есть здоровом позвоночнике линии в парах будут параллельны друг другу, то есть угол составит 0о. При первой степени угол может доходить до 10о, при четвертой ― до 90о. Сколиоз первой степени почти всегда хорошо лечится. 

Так как на один четкий снимок попадает не весь позвоночник, а только определенный сегмент, прибегают к стичингу ― склейке или сшивке нескольких снимков в один большой. Делается это виртуально, в цифровом поле, как и измерение углов, что гарантирует высокую точность и минимум погрешности. Переживать за высокий уровень полученной радиации не стоит: в современном оборудовании используется минимально возможное количество излучения. Даже при регулярном обследовании, которое рекомендовано при сколиозе раз в полгода, пациент не набирает допустимую ежегодную дозу.

Кому назначают рентген позвоночника при сколиозе в прямой проекции (стичинг)

Свернуть/развернуть

На начальной стадии сколиоз протекает бессимптомно и не вызывает нарушений работы внутренних органов. Его выявляют случайно на школьных медосмотрах или родители сами обращают внимание на следующие признаки:

  • Одно плечо кажется выше другого;
  • Углы лопаток асимметричны ― расположены на разном расстоянии от позвоночника и по-разному выпирают;
  • При наклоне вперед видно, что позвоночник не прямой, а искривленный;
  • При попытке встать ровно заметны сутулость, наклон туловища в сторону, опущенная голова;
  • Ребенок быстро устает, предпочитает сидячие, малоподвижные игры, жалуется на головные боли.

Если процесс остается без лечения, добавляются дальнейшая асимметрия костей таза, ребер по отношению к позвоночному столбу, появляется паравертебральный мышечный валик. В некоторых случаях нарушается симметрия лица, возникают различные стоматологические проблемы, развиваются патологии органов грудной клетки, брюшной полости и таза.

Что покажет рентген позвоночника при сколиозе в прямой проекции

Свернуть/развернуть
  • Угол бокового отклонения;
  • Состояние ткани позвонков: склероз, остеопороз;
  • Степень  ротации (разворот относительно соседних позвонков).
  • Обызвествление связочного аппарата
  • Состояние межпозвонковых промежутков;
  • Также на снимке могут быть видны переломы и новообразования, при их наличии.

Подготовка к рентгену позвоночника при сколиозе в прямой проекции

Свернуть/развернуть

Специальной подготовки не требуется. Пациент раздевается, оставаясь в белье, снимает с себя металлические украшения и гаджеты и встает к пластине детектора спиной

Вначале выполняется 3 снимка ― шейного отдела, грудного и пояснично-крестцового ― стоя. Трубка и детектор рентгеновского аппарата движутся относительно тела пациента, пациент стоит неподвижно.

Съемка длится около 20 секунд. Описание будет готово в этот же день.

Противопоказания

Свернуть/развернуть

Беременным исследование не проводят. Детям диагностику выполняют строго по показаниям.

Запишитесь на Рентген позвоночника при сколиозе в прямой проекции по удобному адресу

Записаться
Фильтр по услугам Рентген костно-суставной системы

Станция метро

Площадь Восстания Проспект Просвещения Нарвская Рыбацкое Девяткино Гражданский проспект Академическая Политехническая Площадь Мужества Лесная Выборгская Площадь Ленина Чернышевская Владимирская Пушкинская Технологический институт Балтийская Кировский завод Автово Ленинский проспект Проспект Ветеранов Парнас Озерки Удельная Пионерская Чёрная речка Петроградская Горьковская Невский проспект Сенная площадь Фрунзенская Московские ворота Электросила Парк Победы Московская Звёздная Купчино Беговая Зенит Приморская Василеостровская Гостиный двор Маяковская Площадь Александра Невского Елизаровская Ломоносовская Пролетарская Обухово Спасская Достоевская Лиговский проспект Площадь Александра Невского Новочеркасская Ладожская Проспект Большевиков Улица Дыбенко Комендантский проспект Старая Деревня Крестовский остров Чкаловская Спортивная Адмиралтейская Садовая Звенигородская Обводный канал Волковская Бухарестская Международная Проспект Славы Дунайская Шушары Богатырская Каменка Театральная Горный институт Путиловская Юго-Западная Кудрово Шуваловский проспект Каретная Боровая Заставская Броневая

Возраст пациента

Взрослому Ребенку от 15 лет

Пол пациента

Мужчине Женщине

Количество проекций

Одна Две

Введение контраста

С контрастом Без контраста

Цены

Услуги, соответствующие запросу, не найдены.

Рентген черепа (1 проекция)
руб
1 400 руб
Рентген черепа (2 проекции)
руб
1 900 руб
Рентген турецкого седла
руб
1 400 руб
Рентген придаточных пазух носа
руб
1 400 руб
Рентген придаточных пазух носа (2 проекции)
руб
1 900 руб
Рентген костей носа при искривлении носовой перегородки
руб
1 400 руб
Рентген нижней челюсти (2 проекции)
руб
1 900 руб
Рентген атланто-аксиального сочленения
руб
1 400 руб
Рентген шейного отдела позвоночника (2 проекции)
руб
1 900 руб
Функциональные исследования позвоночника (шейный отдел)
руб
3 200 руб
Рентген шейного отдела позвоночника с функциональными пробами + С1 позвонок
руб
3 600 руб
Рентген грудного отдела позвоночника (2 проекции)
руб
1 900 руб
Рентген поясничного-крестцового отдела позвоночника (2 проекции)
руб
1 900 руб
Функциональные исследования позвоночника (поясничный отдел)
руб
3 200 руб
Рентген крестцового отдела позвоночника и копчика (2 проекции)
руб
1 900 руб
Рентген крестцово-подвздошного сочленения (3 проекции)
руб
2 100 руб
Рентген копчика (2 проекции)
руб
1 900 руб
Рентген копчика с функциональными пробами
руб
2 600 руб
Рентген позвоночника при сколиозе в прямой проекции (стичинг)
руб
1 600 руб
Рентген позвоночника при нарушении статики в боковой проекции (стичинг)
руб
1 600 руб
Рентген позвоночника на кифосколиоз в прямой и боковой проекциях (стичинг)
руб
2 600 руб
Рентген ключицы (2 проекции)
руб
1 900 руб
Рентген обеих ключиц (1 проекция)
руб
2 100 руб
Рентген обеих ключиц (2 проекции)
руб
3 100 руб
Рентген ребер (прицельно)
руб
1 400 руб
Рентген лопатки (2 проекции)
руб
1 900 руб
Рентген обеих лопаток (2 проекции)
руб
3 100 руб
Рентген акромиально-ключичного сочленения (2 проекции)
руб
1 900 руб
Рентген обоих акромиально-ключичных сочленений (1 проекция)
руб
2 100 руб
Рентген обоих акромиально-ключичных сочленений (2 проекции)
руб
3 100 руб
Рентген грудино-ключичных сочленений
руб
1 400 руб
Рентген плечевого сустава (2 проекции) (Рентген плеча)
руб
1 900 руб
Рентген обоих плечевых суставов (2 проекции)
руб
3 100 руб
Рентген плечевой кости (2 проекции) (Рентген плеча)
руб
1 900 руб
Рентген локтевого сустава (2 проекции) (Рентген локтя)
руб
1 900 руб
Рентген предплечья (2 проекции) (Рентген локтевой и лучевой костей)
руб
1 900 руб
Рентген лучезапястного сустава (2 проекции)
руб
1 900 руб
Рентген пястно-запястных суставов
руб
1 400 руб
Рентген пястно-фаланговых суставов
руб
1 400 руб
Рентген межфалангового сустава (2 проекции) (прицельно)
руб
1 900 руб
Рентген кисти (2 проекции)
руб
1 900 руб
Рентген обеих кистей (1 проекция)
руб
2 100 руб
Рентген обеих кистей (2 проекции)
руб
3 100 руб
Рентген кистей для определения костного возраста
руб
2 100 руб
Рентген костей таза (Рентген подвздошной, лонной и седалищной костей)
руб
1 400 руб
Рентген тазобедренного сустава (2 проекции)
руб
1 900 руб
Рентген тазобедренных суставов (1 проекция)
руб
2 100 руб
Рентген тазобедренных суставов (2 проекции)
руб
3 100 руб
Рентген тазобедренных суставов в прямой проекции и по Лаунштейну
руб
2 600 руб
Рентген бедренной кости (2 проекции)
руб
1 900 руб
Рентген обеих бедренных костей (1 проекция)
руб
2 100 руб
Рентген обеих бедренных костей (2 проекции)
руб
3 100 руб
Рентген коленного сустава (2 проекции)
руб
1 900 руб
Рентген обоих коленных суставов (1 проекция)
руб
2 100 руб
Рентген обоих коленных суставов (2 проекции)
руб
3 100 руб
Рентген пателло-феморального сочленения с обеих сторон
руб
1 900 руб
Рентген костей голени (2 проекции) (Рентген большеберцовой и малоберцовой костей)
руб
1 900 руб
Рентген костей голени обеих ног (1 проекция)
руб
2 100 руб
Рентген костей голени обеих ног (2 проекции)
руб
3 100 руб
Рентген голеностопного сустава (2 проекции)
руб
1 900 руб
Рентген голеностопных суставов (1 проекция)
руб
2 100 руб
Рентген голеностопных суставов (2 проекции)
руб
3 100 руб
Рентген пяточных костей в боковой проекции
руб
1 400 руб
Рентген пяточных костей (2 проекции)
руб
1 900 руб
Рентген стоп в прямой проекции
руб
2 100 руб
Рентген стопы (2 проекции)
руб
1 900 руб
Рентген стоп в боковой проекции
руб
2 100 руб
Рентген стоп в двух проекциях (Рентген плюсне-фаланговых суставов, Рентген предплюсне-плюсневого сочленения)
руб
3 100 руб
Рентген одной стопы на продольное плоскостопие
руб
1 400 руб
Рентген одной стопы на поперечное плоскостопие
руб
1 400 руб
Рентген одной стопы на продольное и поперечное плоскостопие
руб
1 900 руб
Рентген обеих стоп на продольное плоскостопие
руб
2 100 руб
Рентген обеих стоп на поперечное плоскостопие
руб
2 100 руб
Рентген обеих стоп на продольное и поперечное плоскостопие (Рентген стоп на плоскостопие для военкомата, Рентген стоп на плоскостопие с полной статической нагрузкой)
руб
3 100 руб
Рентген ног (ститчинг)
руб
2 100 руб
Рентген ног (стичинг) 2 проекции/с функциональными пробами
руб
3 100 руб
Дополнительная проекция
руб
600 руб

Адреса диагностических центров "Доступная Медицина"

Преимущества наших диагностических центров

Доступные цены

Приемлемые цены
на все услуги

Качественный сервис

Контроль качества
оказываемых услуг

Лучшие специалисты

Высококвалифицированные врачи

Новейшее оборудование

Современные томографы с высочайшим качеством визуализации

Близость к метро

Мы находимся в непосредственной близости от метро и остановок общественного транспорта

Лицензии

Современные томографы с высочайшим качеством визуализации

Назад
Вперед
Ключникова Екатерина Игоревна
Информация проверена главным врачом клиники Domedica24
Ключникова Екатерина Игоревна
Стаж более 8 лет, главный врач, врач-рентгенолог 1 категории
Площадь Стачек, 9">
ул. 1-я Советская, 8">