КТ пояснично-крестцового отдела позвоночника в СПБ
- Введение контраста Нет
- Длительность выполнения 10 минут
- Ограничения по весу 120 кг
- Ограничения по возрасту От 15 лет
- Срок получения результата В течение дня
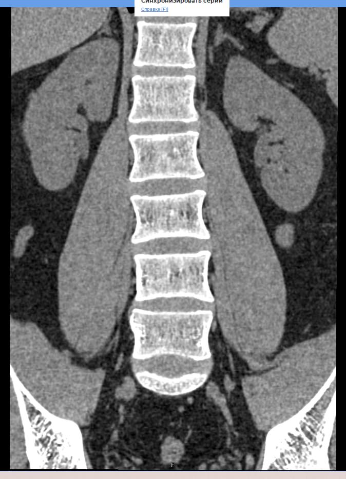
Мультиспиральная компьютерная томография является наиболее точным и информативным методом диагностики различных заболеваний позвоночника и, в частности, пояснично-крестцового отдела. Сканирование проводится при помощи рентгеновского излучения, в результате чего получают серию послойных изображений пояснично-крестцового отдела позвоночника.
В медицинских центрах «Доступная медицина» обследование пояснично-крестцового отдела позвоночника осуществляется на современных мультиспиральных компьютерных томографах последнего поколения TOSHIBA AQUILION в модификациях, позволяющих выполнять одномоментно 64 и 128 срезов анатомической зоны для получения снимков высокого разрешения. Послойное сканирование исследуемой области проводится с минимальной толщиной среза от 0,5 мм, что обеспечивает получение изображений органов в мельчайших подробностях.
Инновационные компьютерные приложения позволяют построить 3D-модель исследуемого органа, обеспечивая детальную визуализацию строения внутренних структур позвонков, хрящевых элементов, кровеносных сосудов и окружающих тканей.
Аппараты снабжены увеличенным количеством детекторов, с помощью которых максимально сокращается время сканирования, при этом доза облучения, получаемая пациентом, минимальна.
Для повышения информативности исследования дополнительно используют внутривенное болюсное контрастирование путем введения в вену йодсодержащего контрастного препарата. Контраст с током крови попадает в патологически измененные участки ткани и, благодаря своей способности поглощать рентгеновские лучи, обеспечивает их более яркое изображение на фоне здоровых тканей. Данная методика применяется, в первую очередь, при подозрении на опухолевые заболевания и позволяет выявлять новообразования на ранней стадии, кроме того, улучшает визуализацию кровеносных сосудов и выделяет воспалительные очаги.
- Показания к проведению КТ пояснично-крестцового отдела позвоночника
- Подготовка к КТ пояснично-крестцового отдела позвоночника
- Противопоказания для проведения КТ пояснично-крестцового отдела позвоночника
- На КТ пояснично-крестцового отдела позвоночника врач может оценить
Показания к проведению КТ пояснично-крестцового отдела позвоночника
- травмы спины в пояснично-крестцовой области;
- подозрение на межпозвонковые грыжи (протрузии, экструзии) поясничного отдела позвоночника, при наличии корешкового синдрома;
- предположение об опухолевом и метастатическом поражении на этом уровне;
- боли в спине, крестце и иных симптомах неясного происхождения
- симптомы нарушения функции тазовых органов неясного происхождения;
- аномалии развития позвоночника;
- при параплегиях и парезах нижних конечностей;
- воспалительные процессы межпозвонковых дисков;
- планирование операций на пояснично-крестцовом отделе (например, при установке металлоконструкций больным с наследственными формами искривления позвоночника), послеоперационный контроль;
- листез (смещение позвонков);
- дегенеративные изменения костной ткани позвоночника;
- переломы позвонков;
- грыжи (протрузии, экструзии) межпозвоночных дисков;
- сужение или расширение спинномозгового канала;
- участки пониженной плотности кости — остеопороз при визуальной оценке ;
- артрит межпозвонковых суставов;
- воспаление, остеомиелит, туберкулез
- опухолевые образования различной природы;
- ощущение скованности мышечных структур;
- нестабильность позвонков;
Подготовка к КТ пояснично-крестцового отдела позвоночника
Специальная подготовка для проведения компьютерного сканирования данной анатомической области не предусмотрена.
Перед исследованием мы рекомендуем принести с собой всю медицинскую документацию, которая относится к зоне исследования. В список необходимых документов входит:
- Направление от лечащего врача;
- Выполненные ранее рентгеновские снимки позвоночника, CD/DVD диски предыдущих КТ и МРТ исследований пояснично-крестцового отдела позвоночника;
- Выписки из амбулаторных карт и стационаров;
- Заключения профильных специалистов.
При необходимости проведения исследования с внутривенным болюсным контрастированием требуется проконтролировать показатели креатинина крови для оценки функциональной способности почек. Для этого необходимо сдать анализ крови на креатинин не более, чем за 14 дней до даты исследования.
Пациентам, которые принимают по поводу сахарного диабета такие сахароснижающие препараты, как Метформин или Глюкофаж, необходимо согласовать с эндокринологом отмену данных препаратов за 48 часов до исследования с контрастированием и на 48 часов после введения контраста.
Для введения контраста в локтевую вену устанавливается венозный катетер с подключенным к нему специальным дозирующим устройством. При поступлении контраста в кровь может появиться неприятный привкус во рту, ощущение прилива, жара во всем теле, но этот дискомфорт проходит через 1-2 минуты. В течение последующих суток контрастное вещество полностью выводится из организма преимущественно почками.
Если контрастирование необходимо провести женщине, являющейся кормящей мамой, то мы рекомендуем предварительно сделать для ребенка запас грудного молока, и в течение 24-48 часов после процедуры с введением контраста не прикладывать ребенка к груди, при этом молоко сцеживать и выливать.
Чтобы получить качественные результаты исследования, мы просим пациента не двигаться в течение всей процедуры. Врач во время процедуры находится в смежном помещении за стеклянной перегородкой, общаться с ним можно через специальное переговорное устройство, установленное в томографе.
Противопоказания для проведения КТ пояснично-крестцового отдела позвоночника
Компьютерная томография относится к лучевым методам диагностики и не применяется во время беременности из-за повреждающего действия на плод ионизирующего излучения.
Кроме того, из-за технических особенностей томографов невозможно выполнить КТ пациентам с массой тела более 120 кг (ограничения по весу имеют выдвижные столы томографов).
Также имеются ограничения для введения контраста. К ним относятся:
- аллергия на йодсодержащие контрастные вещества;
- заболевания почек с выраженными явлениями почечной недостаточности;
- застойная сердечная недостаточность;
- заболевания щитовидной железы, сопровождающиеся гипертиреозом, тиреотоксикозом;
- тяжелое течение бронхиальной астмы;
- декомпенсированный сахарный диабет.
При наличии противопоказаний для проведения КТ альтернативным методом диагностики патологии позвоночника является магнитно-резонансная томография. В нашей клинике МРТ пояснично-крестцового отдела позвоночника выполняется на новейшем высокопольном магнитно-резонансном томографе экспертного уровня.
На КТ пояснично-крестцового отдела позвоночника врач может оценить
- состояние дугоотростчатых сочленений;
- изгиб позвоночного столба (поясничный лордоз нормальный, усилен или сглажен);
- не смещены ли позвонки относительно друг друга;
- нет ли признаков костной деструкции, остеопороза;
- нормальная ли высота тел позвонков;
- нет ли грыж (протрузий, экструзий), и если есть – где они находятся, на сколько миллиметров выступают в просвет позвоночного канала, какие анатомические структуры сдавливают;
- состояние паравертебральных мягких тканей (возле позвоночника).
На КТ пояснично-крестцового отдела позвоночника обнаруживаются:
- грыжи межпозвонковых дисков (протрузии, экструзии);
- переломы позвонков, их смещение;
- дегенеративно-дистрофические изменения: спондилез, спондилоартроз, остеохондроз;
- стеноз (сужение) позвоночного канала;
- спондилиты, гнойные артриты, абсцессы околопозвоночных тканей и другие воспалительные заболевания, туберкулез;
- опухоли;
- кисты;
- признаки разрушения костной ткани при остеопорозе;
- патологические изгибы позвоночника.
Запишитесь на КТ пояснично-крестцового отдела позвоночника по удобному адресу
ЗаписатьсяСтанция метро
Площадь Восстания Проспект Просвещения Нарвская Рыбацкое Девяткино Гражданский проспект Академическая Политехническая Площадь Мужества Лесная Выборгская Площадь Ленина Чернышевская Владимирская Пушкинская Технологический институт Балтийская Кировский завод Автово Ленинский проспект Проспект Ветеранов Парнас Озерки Удельная Пионерская Чёрная речка Петроградская Горьковская Невский проспект Сенная площадь Фрунзенская Московские ворота Электросила Парк Победы Московская Звёздная Купчино Беговая Зенит Приморская Василеостровская Гостиный двор Маяковская Площадь Александра Невского Елизаровская Ломоносовская Пролетарская Обухово Спасская Достоевская Лиговский проспект Площадь Александра Невского Новочеркасская Ладожская Проспект Большевиков Улица Дыбенко Комендантский проспект Старая Деревня Крестовский остров Чкаловская Спортивная Адмиралтейская Садовая Звенигородская Обводный канал Волковская Бухарестская Международная Проспект Славы Дунайская Шушары Богатырская Каменка Театральная Горный институт Путиловская Юго-Западная Кудрово Шуваловский проспект Каретная Боровая Заставская БроневаяРайон
Центральный Выборгский Кировский Адмиралтейски Василеостровский Калининский Колпинский Красногвардейский Красносельски Кронштадтский Курортный Московский Невский Петроградский Петродворцовый Приморский Пушкинский ФрунзенскийГород
Санкт-Петербург Бокситогорск Бугры Волосово Волхов Всеволожск Выборг Высоцк Гатчина Ивангород Каменногорск Кингисепп Кириши Кировск Колтуши Коммунар Кудрово Лодейное Поле Луга Любань Мурино Никольское Новая Ладога Отрадное Пикалёво Подпорожье Приморск Приозерск Светогорск Сертолово Сланцы Сосновый Бор Сясьстрой Тельмана Тихвин Тосно ШлиссельбургЦены
Услуги, соответствующие запросу, не найдены.
Адреса диагностических центров "Доступная Медицина"
Преимущества наших диагностических центров
Доступные цены
Приемлемые цены
на все услуги
Качественный сервис
Контроль качества
оказываемых услуг
Лучшие специалисты
Высококвалифицированные врачи
Новейшее оборудование
Современные томографы с высочайшим качеством визуализации
Близость к метро
Мы находимся в непосредственной близости от метро и остановок общественного транспорта
Наше оборудование
КТ-СПЕЦИАЛИСТЫ
Лицензии
Современные томографы с высочайшим качеством визуализации
Статьи наших врачей