КТ основания черепа в СПБ
- Введение контраста Нет
- Длительность выполнения 10 минут
- Ограничения по весу 120 кг
- Ограничения по возрасту От 15 лет
- Срок получения результата В течение дня
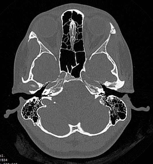
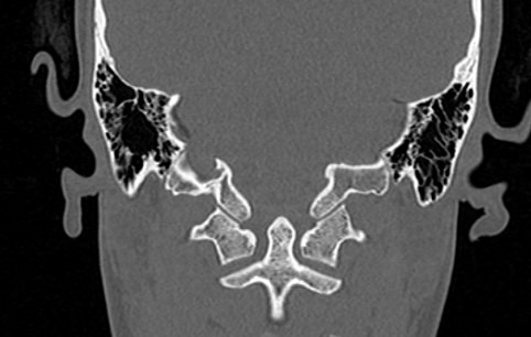
Основание черепа имеет сложное строение. Оно образовано лобными костями, решетчатой и клиновидной костью, височными и затылочными костями. На внутренней поверхности основания черепа лежат структуры ствола мозга, такие как средний мозг, Варолиев мост и продолговатый мозг, переходящий в спинной мозг на уровне большого затылочного отверстия. Поверхность основания черепа имеет многочисленные отверстия, через которые проходят черепно-мозговые нервы и сосуды головного мозга.
Особенности строения и расположение здесь множества важных анатомических структур приводят к тому, что патологические процессы в этой области приводят к серьезным последствиям. При этом основание черепа является сложной в диагностическом плане анатомической областью.
Наиболее информативным методом диагностики различных заболеваний в области основания черепа является мультиспиральная компьютерная томография. Исследование проводится с целью оценки травматических повреждений, диагностики аномалий развития костных структур, при планировании оперативных вмешательств, а также выявления воспалительных заболеваний и опухолевых процессов. Также на данном уровне может дифференцироваться аномалия Арнольда-Киари, заключающаяся в эктопии (то есть опущении) миндалин мозжечка различной степени выраженности.
Расширенная методика компьютерной томографии предусматривает дополнительное введение в вену пациента йодсодержащего контраста. Метод внутривенного болюсного контрастирования применяется при подозрении на опухолевые процессы основания черепа как первичного генеза, так и метастатического характера.
Контраст хорошо накапливается в очагах поражения и дает яркую визуализацию патологического участка на фоне нормальных окружающих тканей. С помощью контрастирования можно выявить опухоли минимальных размеров, отличить злокачественную опухоль от доброкачественной, визуализировать участки с воспалительными изменениями.
В медицинских центрах «Доступная медицина» установлены новейшие мультиспиральные 64- и 128-срезовый компьютерные томографы экспертного уровня. В результате послойного сканирования с минимальным шагом от 0,5 мм получаются детальные изображения костных структур и прилегающих окружающих тканей. Благодаря инновационным возможностям аппаратов полученные при сканировании данные трансформируются в пространственные модели исследуемой области, которые можно увеличить, повернуть в разные стороны, рассмотреть все структуры в мельчайших подробностях. Новейшее оборудование позволяет проводить точную и достоверную диагностику заболеваний такой труднодоступной области как основание черепа. При этом современные аппараты оказывают минимальное лучевое воздействие на пациента.
При невозможности провести КТ (например, если у пациента имеются противопоказания) или необходимости более четкой дифференцировки мозговых структур на данном уровне, визуализацию области основания черепа можно выполнить с помощью магнитно-резонансной томографии. Осмотр данной анатомической области входит в протокол МРТ головного мозга, в нашей клинике исследование проводится на современном высокопольном магнитно-резонансном томографе экспертного уровня.
- Показания для проведения КТ основания черепа
- Как подготовиться к КТ основания черепа?
- Противопоказания для КТ основания черепа
- Компьютерная томография основания черепа способна выявить следующие патологии:
Показания для проведения КТ основания черепа
- частые головные боли.
- очевидные признаки поражения черепно-мозговых нервов: параличи, парезы, нарушения чувствительности кожи лица, затруднение при глотании.
- нарушения слуха, головокружения, появление шума в ушах.
- ухудшение зрения, двоение в глазах.
- эпилепсия, нарушения памяти.
- судороги, потеря сознания.
Как подготовиться к КТ основания черепа?
Данное исследование проводится без предварительной подготовки.
Перед исследованием нужно предоставить врачу-рентгенологу все документы, касающиеся зоны исследования. В перечень необходимых документов входит:
- Направление лечащего врача;
- Выписка из истории болезни или амбулаторной карты;
- Рентгеновские снимки, CD/DVD диски предыдущих КТ основания черепа или МРТ-исследований головного мозга;
- Заключения профильных специалистов.
В случае необходимости введения контрастного вещества, пациенту требуется сдать анализ крови на уровень креатинина (показатель, отражающий функцию почек) в течение 14 дней до даты исследования.
Пациентам, принимающим по поводу сахарного диабета Метформин (Глюкофаж) или другие метформинсодержащие препараты, необходимо, по согласованию с эндокринологом, прекратить прием данного препарата за 48 часов до исследования с контрастированием и на 48 часов после введения контраста.
Для введения контрастного препарата пациенту предварительно устанавливается в локтевую вену венозный катетер. В момент введения контраста может быть ощущение тепла или жара во всем теле и неприятный привкус во рту, но этот дискомфорт полностью исчезает через 1-2 минуты.
Если планируется проведение внутривенного болюсного контрастирования женщине в период лактации, то мы рекомендуем предварительно сделать запас грудного молока, а после процедуры с введением контраста не прикладывать ребенка к груди в течение 24-48 часов, при этом молоко нужно сцеживать и выливать.
Во время исследования пациент ложится спиной на выдвижной стол томографа. Врач во время исследования находится в соседнем помещении. Наблюдение за пациентом происходит через стеклянную перегородку, связь осуществляется при помощи вмонтированного в аппарат переговорного устройства.
Противопоказания для КТ основания черепа
Компьютерная томография является лучевым методом исследования и предполагает использование рентгеновского излучения. Поэтому во время беременности данное исследование не проводится из-за риска вредного воздействия рентгеновских лучей на развивающийся плод.
Кроме того, в нашей клинике невозможно выполнить КТ основания черепа пациентам с массой тела более 120 кг. Данное ограничение обусловлено техническими характеристиками томографа.
Кроме ограничений для выполнения компьютерной томографии у пациента также могут быть противопоказания для введения контрастного препарата.
Контрастирование противопоказано в следующих случаях:
- если у пациента ранее отмечались аллергические реакции на йодсодержащие контрастные препараты;
- если у пациента имеются заболевания почек с выраженными признаками почечной недостаточности;
- при наличии сердечной недостаточности;
- если имеются заболевания щитовидной железы с явлениями гипертиреоза и тиреотоксикоза;
- в случае тяжелого течения бронхиальной астмы;
- при декомпенсированном сахарном диабете.
Компьютерная томография основания черепа способна выявить следующие патологии:
- развитие новообразований и появление метастазов в данной области.
- травматические повреждения: открытые и закрытые переломы костей основания черепа, трещины в костях.
- фиброзную дисплазию костей основания черепа.
- болезнь Меньера.
- воспалительные изменения, абсцессы, кисты, остеомиелит.
- гематомы травматического характера;
Запишитесь на КТ основания черепа по удобному адресу
ЗаписатьсяСтанция метро
Площадь Восстания Проспект Просвещения Нарвская Рыбацкое Девяткино Гражданский проспект Академическая Политехническая Площадь Мужества Лесная Выборгская Площадь Ленина Чернышевская Владимирская Пушкинская Технологический институт Балтийская Кировский завод Автово Ленинский проспект Проспект Ветеранов Парнас Озерки Удельная Пионерская Чёрная речка Петроградская Горьковская Невский проспект Сенная площадь Фрунзенская Московские ворота Электросила Парк Победы Московская Звёздная Купчино Беговая Зенит Приморская Василеостровская Гостиный двор Маяковская Площадь Александра Невского Елизаровская Ломоносовская Пролетарская Обухово Спасская Достоевская Лиговский проспект Площадь Александра Невского Новочеркасская Ладожская Проспект Большевиков Улица Дыбенко Комендантский проспект Старая Деревня Крестовский остров Чкаловская Спортивная Адмиралтейская Садовая Звенигородская Обводный канал Волковская Бухарестская Международная Проспект Славы Дунайская Шушары Богатырская Каменка Театральная Горный институт Путиловская Юго-Западная Кудрово Шуваловский проспект Каретная Боровая Заставская БроневаяРайон
Центральный Выборгский Кировский Адмиралтейски Василеостровский Калининский Колпинский Красногвардейский Красносельски Кронштадтский Курортный Московский Невский Петроградский Петродворцовый Приморский Пушкинский ФрунзенскийГород
Санкт-Петербург Бокситогорск Бугры Волосово Волхов Всеволожск Выборг Высоцк Гатчина Ивангород Каменногорск Кингисепп Кириши Кировск Колтуши Коммунар Кудрово Лодейное Поле Луга Любань Мурино Никольское Новая Ладога Отрадное Пикалёво Подпорожье Приморск Приозерск Светогорск Сертолово Сланцы Сосновый Бор Сясьстрой Тельмана Тихвин Тосно ШлиссельбургЦены
Услуги, соответствующие запросу, не найдены.
Адреса диагностических центров "Доступная Медицина"
Преимущества наших диагностических центров
Доступные цены
Приемлемые цены
на все услуги
Качественный сервис
Контроль качества
оказываемых услуг
Лучшие специалисты
Высококвалифицированные врачи
Новейшее оборудование
Современные томографы с высочайшим качеством визуализации
Близость к метро
Мы находимся в непосредственной близости от метро и остановок общественного транспорта
Наше оборудование
КТ-СПЕЦИАЛИСТЫ
Лицензии
Современные томографы с высочайшим качеством визуализации
Статьи наших врачей