Назад Рентген ног в СПб

Цена:
2 100 руб
Записаться
  • Длительность выполнения 15 минут
Описание

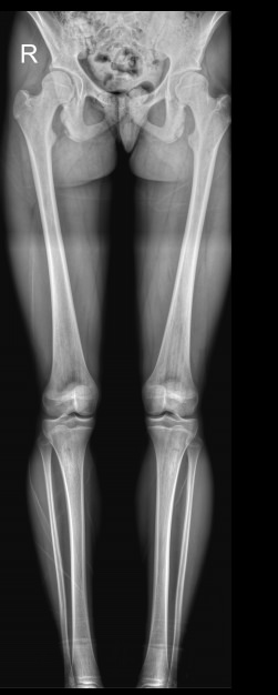
Из-за вертикального положения тела и необходимости перемещения на ногах именно на них приходится основная нагрузка. В результате нижние конечности имеют сложное строение, в котором важную роль играет взаимное расположение и пространственная ориентация отдельных элементов и сегментов. Для оценки движения в суставах, а также для планирования лечения разработаны референтные линии и углы, для определения которых используется длинномерная рентгенограмма или стичинг (Stitching). Это несколько прицельных снимков отдельных участков ног, собранные в один на экране компьютера. 

Не стоит бояться излишней лучевой нагрузки из-за серии снимков. Современное рентгеновское оборудование работает с минимальными дозами излучения и крайне малое время. Даже если выполнять подобные диагностические серии несколько раз в год, суммарная нагрузка не превысит допустимую годовую.

Кому назначают рентген нижних конечностей (Stitching)

Свернуть/развернуть

Стичинг ног важен в следующих случаях:

  • При планировании реконструктивно-восстановительных операций в ортопедии;
  • При определении эффективности таких операций через некоторое время после их проведения;
  • Для оценки врожденных аномалий;
  • Для выбора тактики лечения при посттравматическом укорочении конечности;
  • При выявлении связи деформации позвоночника с разной длиной конечностей;
  • Для выявления последствий дегенеративно-дистрофических патологий суставов таза и ног;
  • При проведении экспертизы годности к службе в армии, если предполагается варусная или вальгусная деформация.

Укорочение одной конечности может быть истинным, относительным и кажущимся. В норме у подавляющего большинства людей есть разница в 1-2 см. В то время как 3-5 см уже заметна и влияет на состояние всего организма. Патологии могут развиться после травмы, на фоне врожденных аномалий, дисплазии тканей, инфекционных, дегенеративных или дефицитарных заболеваний.

Врач направит на длинномерный снимок, если обнаружит следующие симптомы:

  • Хромота;
  • Искривление позвоночника: сколиоз, патологические лордоз и кифоз;
  • Видимая на глаз разница в высоте таза и коленей;
  • Компенсаторное скручивание позвоночника и конечностей;
  • Быстрая утомляемость при ходьбе, физической работе.

В дальнейшем при развитии сколиоза присоединяются нарушения в работе внутренних органов: патологии дыхания, сердечно-сосудистой системы, пищеварения.

Вальгусная и варусная деформации обычно видны на глаз, как О-образное или Х-образное искривление ног в области коленей. Обычно присутствует и компенсаторная деформация стоп. Пациенты имеют в большей или меньшей мере неестественную походку, не могут много ходить, стоять или переносить тяжести.Чрезмерное искривление ног служит поводом для операций, например, с помощью аппарата Илизарова.

Что покажет рентген ног

Свернуть/развернуть

С помощью стичинга на длинномерных снимках можно определить:

  • Референтные линии и углы;
  • Длину отдельных костей;
  • Разницу в длине между правой и левой одноименными костями;
  • Расстояние между идентичными точками на правой и левой ногах (при определении значения варусной и вальгусной деформации)
  • Состояние костной ткани: изменение в плотности, включая участки деструкции, уплотнения и разрежения костной ткани; 
  • Наличие перелома,костных отломков, состояние костной мозоли;
  • Изменения в суставах: воспалительные, травматические, дегенеративные;
  • Состояние мягких тканей: отек, рентгеноконтрастные инородные тела.

Подготовка к стичингу ног

Свернуть/развернуть

Подготовка не нужна. Для диагностики необходимо снять одежду с нижней половины туловища, оставаясь в белье, надеть защитный фартук и встать спиной к детектору. Стопы и коленные чашечки должны смотреть прямо, руки надо убрать за голову. Каждый раз рентгенолаборант помогает занять правильное положение. Если у пациента одна нога короче, подставляет под нее небольшую подставку. 

Выполняется 3 снимка ног, включая таз, в прямой проекции, вам при этом не надо ничего делать. В некоторых случаях дополнительно требуются снимки в боковой проекции, при этом есть варианты:

  • Каждую ногу снимают отдельно;
  • На снимок попадают обе ноги сразу, одна нога стоит немного впереди другой;
  • Делают рентгенограмму только одной, пораженной, конечности.

Во время съемки, важно не двигаться, однако дышать можно. Описание будет готово в течение рабочего дня.

Противопоказания

Свернуть/развернуть

Данную диагностику не проводят во время беременности. Детям стичинг нижних конечностей разрешен только по назначению травматолога-ортопеда.

Запишитесь на Рентген ног по удобному адресу

Записаться
Фильтр по услугам Рентген костно-суставной системы

Станция метро

Площадь Восстания Проспект Просвещения Нарвская Рыбацкое Девяткино Гражданский проспект Академическая Политехническая Площадь Мужества Лесная Выборгская Площадь Ленина Чернышевская Владимирская Пушкинская Технологический институт Балтийская Кировский завод Автово Ленинский проспект Проспект Ветеранов Парнас Озерки Удельная Пионерская Чёрная речка Петроградская Горьковская Невский проспект Сенная площадь Фрунзенская Московские ворота Электросила Парк Победы Московская Звёздная Купчино Беговая Зенит Приморская Василеостровская Гостиный двор Маяковская Площадь Александра Невского Елизаровская Ломоносовская Пролетарская Обухово Спасская Достоевская Лиговский проспект Площадь Александра Невского Новочеркасская Ладожская Проспект Большевиков Улица Дыбенко Комендантский проспект Старая Деревня Крестовский остров Чкаловская Спортивная Адмиралтейская Садовая Звенигородская Обводный канал Волковская Бухарестская Международная Проспект Славы Дунайская Шушары Богатырская Каменка Театральная Горный институт Путиловская Юго-Западная Кудрово Шуваловский проспект Каретная Боровая Заставская Броневая

Возраст пациента

Взрослому Ребенку от 15 лет

Пол пациента

Мужчине Женщине

Количество проекций

Одна Две

Введение контраста

С контрастом Без контраста

Цены

Услуги, соответствующие запросу, не найдены.

Рентген черепа (1 проекция)
руб
1 400 руб
Рентген черепа (2 проекции)
руб
1 900 руб
Рентген турецкого седла
руб
1 400 руб
Рентген придаточных пазух носа
руб
1 400 руб
Рентген придаточных пазух носа (2 проекции)
руб
1 900 руб
Рентген костей носа при искривлении носовой перегородки
руб
1 400 руб
Рентген нижней челюсти (2 проекции)
руб
1 900 руб
Рентген атланто-аксиального сочленения
руб
1 400 руб
Рентген шейного отдела позвоночника (2 проекции)
руб
1 900 руб
Функциональные исследования позвоночника (шейный отдел)
руб
3 200 руб
Рентген шейного отдела позвоночника с функциональными пробами + С1 позвонок
руб
3 600 руб
Рентген грудного отдела позвоночника (2 проекции)
руб
1 900 руб
Рентген поясничного-крестцового отдела позвоночника (2 проекции)
руб
1 900 руб
Функциональные исследования позвоночника (поясничный отдел)
руб
3 200 руб
Рентген крестцового отдела позвоночника и копчика (2 проекции)
руб
1 900 руб
Рентген крестцово-подвздошного сочленения (3 проекции)
руб
2 100 руб
Рентген копчика (2 проекции)
руб
1 900 руб
Рентген копчика с функциональными пробами
руб
2 600 руб
Рентген позвоночника при сколиозе в прямой проекции (стичинг)
руб
1 600 руб
Рентген позвоночника при нарушении статики в боковой проекции (стичинг)
руб
1 600 руб
Рентген позвоночника на кифосколиоз в прямой и боковой проекциях (стичинг)
руб
2 600 руб
Рентген ключицы (2 проекции)
руб
1 900 руб
Рентген обеих ключиц (1 проекция)
руб
2 100 руб
Рентген обеих ключиц (2 проекции)
руб
3 100 руб
Рентген ребер (прицельно)
руб
1 400 руб
Рентген лопатки (2 проекции)
руб
1 900 руб
Рентген обеих лопаток (2 проекции)
руб
3 100 руб
Рентген акромиально-ключичного сочленения (2 проекции)
руб
1 900 руб
Рентген обоих акромиально-ключичных сочленений (1 проекция)
руб
2 100 руб
Рентген обоих акромиально-ключичных сочленений (2 проекции)
руб
3 100 руб
Рентген грудино-ключичных сочленений
руб
1 400 руб
Рентген плечевого сустава (2 проекции) (Рентген плеча)
руб
1 900 руб
Рентген обоих плечевых суставов (2 проекции)
руб
3 100 руб
Рентген плечевой кости (2 проекции) (Рентген плеча)
руб
1 900 руб
Рентген локтевого сустава (2 проекции) (Рентген локтя)
руб
1 900 руб
Рентген предплечья (2 проекции) (Рентген локтевой и лучевой костей)
руб
1 900 руб
Рентген лучезапястного сустава (2 проекции)
руб
1 900 руб
Рентген пястно-запястных суставов
руб
1 400 руб
Рентген пястно-фаланговых суставов
руб
1 400 руб
Рентген межфалангового сустава (2 проекции) (прицельно)
руб
1 900 руб
Рентген кисти (2 проекции)
руб
1 900 руб
Рентген обеих кистей (1 проекция)
руб
2 100 руб
Рентген обеих кистей (2 проекции)
руб
3 100 руб
Рентген кистей для определения костного возраста
руб
2 100 руб
Рентген костей таза (Рентген подвздошной, лонной и седалищной костей)
руб
1 400 руб
Рентген тазобедренного сустава (2 проекции)
руб
1 900 руб
Рентген тазобедренных суставов (1 проекция)
руб
2 100 руб
Рентген тазобедренных суставов (2 проекции)
руб
3 100 руб
Рентген тазобедренных суставов в прямой проекции и по Лаунштейну
руб
2 600 руб
Рентген бедренной кости (2 проекции)
руб
1 900 руб
Рентген обеих бедренных костей (1 проекция)
руб
2 100 руб
Рентген обеих бедренных костей (2 проекции)
руб
3 100 руб
Рентген коленного сустава (2 проекции)
руб
1 900 руб
Рентген обоих коленных суставов (1 проекция)
руб
2 100 руб
Рентген обоих коленных суставов (2 проекции)
руб
3 100 руб
Рентген пателло-феморального сочленения с обеих сторон
руб
1 900 руб
Рентген костей голени (2 проекции) (Рентген большеберцовой и малоберцовой костей)
руб
1 900 руб
Рентген костей голени обеих ног (1 проекция)
руб
2 100 руб
Рентген костей голени обеих ног (2 проекции)
руб
3 100 руб
Рентген голеностопного сустава (2 проекции)
руб
1 900 руб
Рентген голеностопных суставов (1 проекция)
руб
2 100 руб
Рентген голеностопных суставов (2 проекции)
руб
3 100 руб
Рентген пяточных костей в боковой проекции
руб
1 400 руб
Рентген пяточных костей (2 проекции)
руб
1 900 руб
Рентген стоп в прямой проекции
руб
2 100 руб
Рентген стопы (2 проекции)
руб
1 900 руб
Рентген стоп в боковой проекции
руб
2 100 руб
Рентген стоп в двух проекциях (Рентген плюсне-фаланговых суставов, Рентген предплюсне-плюсневого сочленения)
руб
3 100 руб
Рентген одной стопы на продольное плоскостопие
руб
1 400 руб
Рентген одной стопы на поперечное плоскостопие
руб
1 400 руб
Рентген одной стопы на продольное и поперечное плоскостопие
руб
1 900 руб
Рентген обеих стоп на продольное плоскостопие
руб
2 100 руб
Рентген обеих стоп на поперечное плоскостопие
руб
2 100 руб
Рентген обеих стоп на продольное и поперечное плоскостопие (Рентген стоп на плоскостопие для военкомата, Рентген стоп на плоскостопие с полной статической нагрузкой)
руб
3 100 руб
Рентген ног (ститчинг)
руб
2 100 руб
Рентген ног (стичинг) 2 проекции/с функциональными пробами
руб
3 100 руб
Дополнительная проекция
руб
600 руб

Адреса диагностических центров "Доступная Медицина"

Преимущества наших диагностических центров

Доступные цены

Приемлемые цены
на все услуги

Качественный сервис

Контроль качества
оказываемых услуг

Лучшие специалисты

Высококвалифицированные врачи

Новейшее оборудование

Современные томографы с высочайшим качеством визуализации

Близость к метро

Мы находимся в непосредственной близости от метро и остановок общественного транспорта

Лицензии

Современные томографы с высочайшим качеством визуализации

Назад
Вперед
Ключникова Екатерина Игоревна
Информация проверена главным врачом клиники Domedica24
Ключникова Екатерина Игоревна
Стаж более 8 лет, главный врач, врач-рентгенолог 1 категории
Площадь Стачек, 9">
ул. 1-я Советская, 8">