Назад МРТ почек с контрастом в СПБ

Цена:
от 8 900 руб
Записаться
  • Срок получения результата В течение 24 часов
  • Ограничения по весу 120 кг
Описание

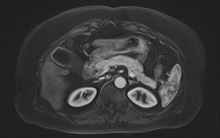
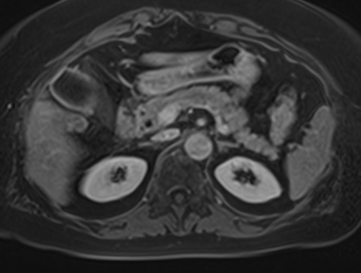
Почки – парный орган мочевыделительной системы, расположенный по обе стороны позвоночного столба в забрюшинном пространстве. Орган имеет бобовидную форму. На его вогнутой стороне располагается почечная лоханка с выходящим из нее мочеточником, почечная артерия, вена, лимфатические сосуды и нервы. Почка имеет капсулу и окружена жировой клетчаткой. 

Магнитно-резонансная томография является высокоинформативным методом диагностики почечной патологии. Метод основан на применении внешнего магнитного поля без использования рентгеновского излучения, что делает процедуру безопасной для организма человека. 

МРТ почек проводится для оценки состояния всех структур почек, включая паренхиму, чашечки, лоханки почек и верхние отделы мочеточников. В клинике «Доступная медицина» исследование выполняется на томографе экспертного уровня TOSHIBA VANTAGE TITAN 1,5 Тесла, который обеспечивает изображения высокой четкости и контрастности, что позволяет проводить точную и достоверную диагностику заболеваний почек.

Для расширения возможностей диагностики, при необходимости уточнения характера патологических изменений, в случае подозрения на опухолевый процесс, дополнительно применяется внутривенное контрастное усиление. 

Для этого в вену вводится контрастный препарат, содержащий соединения металла гадолиния (Магневист, Гадовист, Омнискан и др). Степень и характер накопления контрастного препарата в органах и тканях позволяет различать патологические процессы и дает возможность, в частности, диагностировать патологические очаги минимальных размеров, что бывает особенно важно в ранней диагностике опухолей.

С учетом того, что контрастное вещество выводится из организма преимущественно почками, введение контраста возможно только при сохраненной функции почек. При наличии у пациента признаков почечной недостаточности проводится только нативная МРТ (то есть без применения контраста).

Показания для проведения МРТ почек с контрастом

Свернуть/развернуть

МРТ почек с контрастированием назначают в следующих случаях:

  • При подозрении на опухолевый процесс в почках или метастатическое поражение почек в случае локализации опухоли в других органах. 
  • Для дифференциальной диагностики доброкачественных и злокачественных новообразований в почках.
  • В сложных диагностических случаях для уточнения патологических изменений в почках, при неоднозначных результатах, полученных при проведении других исследований (УЗИ, КТ).
  • В рамках предоперационной подготовки для оценки локализации опухоли, ее размеров, структуры, степени васкуляризации, характер роста и воздействия на окружающие ткани.
  • Для контроля эффективности лечения опухолевых образований почек, в том числе, в послеоперационном периоде.

Как нужно подготовиться к МРТ почек с контрастом

Свернуть/развернуть

Чтобы получить качественные результаты, к данной процедуре требуется заранее подготовиться.

За три дня до исследования рекомендуется исключить из рациона пищу, повышающую газообразование (сладкое, мучное, жирное, бобовые, газированные напитки, капусту) и принимать «Эспумизан» по 2 капсулы 3 раза в день (если есть проблемы с газообразованием!). В день исследования «Эспумизан» принимать не нужно. 

За 3-4 часа до исследования следует отказаться от приема пищи.

За 30-40 минут до исследования необходимо выпить 2 таблетки «Но-шпы» для снижения перистальтики кишечника. 

Необходимо принести с собой медицинскую документацию, относящуюся к зоне исследования:

  • направление от лечащего врача;
  • выписки из амбулаторных карт и стационаров;
  • результаты предыдущих исследований (МР-снимки, СD/DVD диски, снимки КТ).

В случае наличия в теле медицинских изделий, изготовленных из сплавов, которые не препятствуют проведению МРТ, нужно предоставить справку об этом из учреждения, где оно было установлено. 

Если исследование будет проводиться пациенту с подозрением на почечную недостаточность, в этом случае необходимо сдать биохимический анализ крови с определением уровня креатинина (анализ действителен не более 14 дней до даты исследования). 

Контраст вводится внутривенно через предварительно установленный в вену катетер. Затем с помощью специального устройства (инжектора), которое регулирует скорость введения и объем раствора, происходит поступление контраста в кровоток в определенный момент во время исследования. При этом может быть кратковременное ощущение тепла или холода в теле, металлический привкус во рту, но этот дискомфорт быстро исчезает. 

Контраст выводится из организма в течение суток преимущественно почками. Женщинам в период грудного вскармливания нужно прервать кормление грудью на 24-48 часов после процедуры с контрастированием, в это время проводить сцеживание молока с его последующей утилизацией.

Непосредственно перед процедурой нужно снять все электронные устройства и металлические предметы, в том числе украшения, пирсинг, одежду с металлическими элементами. 

Нужно приготовиться к тому, что следует лежать неподвижно во время исследования, чтобы получить качественные снимки. В случае волнения и тревожности можно принять успокоительное средство, также допускается присутствие близкого человека или родственника. 

Медицинские работники во время проведения процедуры находятся в смежном кабинете и наблюдают через стеклянное окно. В руке пациента будет находиться сигнальное устройство в виде груши для вызова медперсонала.

Противопоказания для проведения МРТ почек

Свернуть/развернуть
  • Противопоказанием является наличие в теле имплантированных электронных устройств (кардиостимуляторов, нейростимуляторов, имплантатов внутреннего уха, инсулиновых помп).
  • Наличие протезов или медицинских конструкций, изготовленных из ферромагнитных материалов, например, клипсы на сосудах головного мозга (клипирование аневризмы)
  • Имеющиеся металлические инородные предметы в теле являются противопоказанием для МРТ (это может быть металлическая стружка, осколки, пули, неснимаемый пирсинг), также татуировки с использованием металлизированных красок.
  • При массе тела более 120 кг невозможно выполнить МРТ, так как подвижная часть томографа не рассчитана на больший вес.
  • Ограничением для МРТ является беременность до 13 недель (следует оградить формирующиеся органы плода от любых неблагоприятных факторов).
  • Клаустрофобия является препятствием для проведения МРТ из-за риска развития панической атаки, которая может возникнуть во время нахождения в туннеле томографа.

    Противопоказания для введения контраста

     

    • МРТ с контрастированием не проводится в течение всего срока беременности.
    • Введение контраста противопоказано, если ранее отмечались аллергические реакции на контрастное вещество на основе солей гадолиния (только после  предварительной консультации с аллергологом).
    • При заболеваниях почек, сопровождающихся снижением функции почек (при повышении креатинина, снижении скорости клубочковой фильтрации).

Запишитесь на МРТ почек с контрастом по удобному адресу

Записаться
Фильтр по услугам МРТ с контрастом

Введение контраста

С контрастом Без контраста

Станция метро

Площадь Восстания Нарвская Проспект Просвещения Рыбацкое Девяткино Гражданский проспект Академическая Политехническая Площадь Мужества Лесная Выборгская Площадь Ленина Чернышевская Владимирская Пушкинская Технологический институт Балтийская Кировский завод Автово Ленинский проспект Проспект Ветеранов Парнас Озерки Удельная Пионерская Чёрная речка Петроградская Горьковская Невский проспект Сенная площадь Фрунзенская Московские ворота Электросила Парк Победы Московская Звёздная Купчино Беговая Зенит Приморская Василеостровская Гостиный двор Маяковская Площадь Александра Невского Елизаровская Ломоносовская Пролетарская Обухово Спасская Достоевская Лиговский проспект Площадь Александра Невского Новочеркасская Ладожская Проспект Большевиков Улица Дыбенко Комендантский проспект Старая Деревня Крестовский остров Чкаловская Спортивная Адмиралтейская Садовая Звенигородская Обводный канал Волковская Бухарестская Международная Проспект Славы Дунайская Шушары Богатырская Каменка Театральная Горный институт Путиловская Юго-Западная Кудрово Шуваловский проспект Каретная Боровая Заставская Броневая

Возраст пациента

Взрослому Ребенку от 15 лет

Пол пациента

Мужчине Женщине

Тип аппарата

Открытый Закрытый

Мощность МРТ

1.5 Тл 3 Тесла

Программы страхования

ДМС Платно ОМС

Цены

Услуги, соответствующие запросу, не найдены.

МРТ головного мозга с контрастом
руб
От 7 600 / 6 200 руб
Подробнее
МРТ пазух носа с контрастом
руб
От 7 600 / 6 200 руб
Подробнее
МРТ гипофиза с контрастом
руб
От 7 600 / 6 200 руб
Подробнее
МРТ позвоночника с контрастом
руб
От 7 600 / 6 200 руб
Подробнее
МРТ брюшной полости с контрастом
руб
От 8 900 руб
МРТ печени с контрастом
руб
От 8 900 руб
МРТ почек с контрастом
руб
От 8 900 руб
МРТ малого таза с контрастом
руб
От 10 800 / 9 400 руб
Подробнее
МРТ мочевого пузыря с контрастом
руб
От 10 800 / 9 400 руб
Подробнее
МРТ простаты с контрастом (предстательной железы)
руб
От 10 800 / 9 400 руб
Подробнее
МРТ с контрастом при массе тела до 69 кг
руб
3 000 руб
МРТ с контрастом при массе тела от 70 до 99 кг
руб
3 700 руб
МРТ с контрастом при массе тела от 100 до 120 кг
руб
4 800 руб
МРТ молочных желез (МР – маммография), в том числе оценка целостности имплантов при их наличии (выполняется с внутривенным контрастированием):
руб
- при весе до 89 кг
руб
11 200 руб
- при весе от 90 кг
руб
12 300 руб

Адреса диагностических центров "Доступная Медицина"

Преимущества наших диагностических центров

Доступные цены

Приемлемые цены
на все услуги

Качественный сервис

Контроль качества
оказываемых услуг

Лучшие специалисты

Высококвалифицированные врачи

Новейшее оборудование

Современные томографы с высочайшим качеством визуализации

Близость к метро

Мы находимся в непосредственной близости от метро и остановок общественного транспорта

Лицензии

Современные томографы с высочайшим качеством визуализации

Назад
Вперед
Ключникова Екатерина Игоревна
Информация проверена главным врачом клиники Domedica24
Ключникова Екатерина Игоревна
Стаж более 8 лет, главный врач, врач-рентгенолог 1 категории
Площадь Стачек, 9">
ул. 1-я Советская, 8">