Назад МРТ орбит в СПБ

4 600
/
По акции в Рыбацком
3 200
руб
Записаться на прием
4 600 руб
По акции в Рыбацком
3 200 руб
Записаться
  • Длительность выполнения 30 минут
  • Срок получения результата В течение дня
  • Ограничения по возрасту От 15 лет
  • Ограничения по весу 120 кг
  • Введение контраста Нет
Воспроизвести
Описание

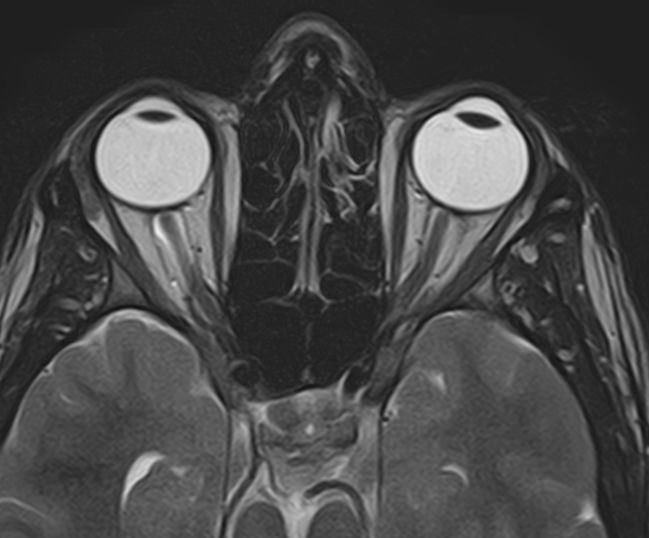
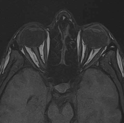
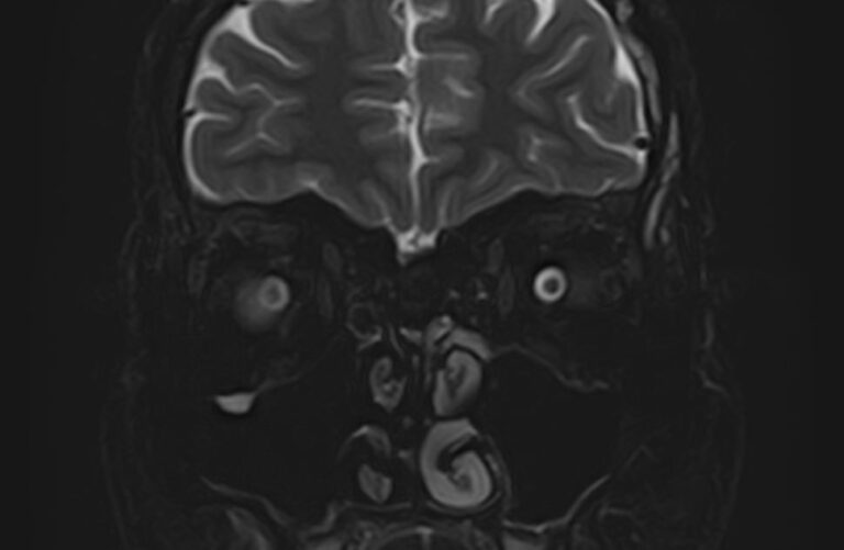
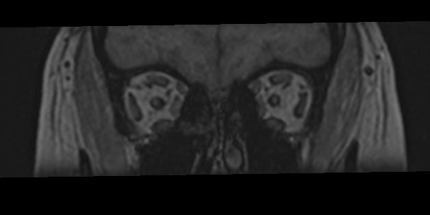
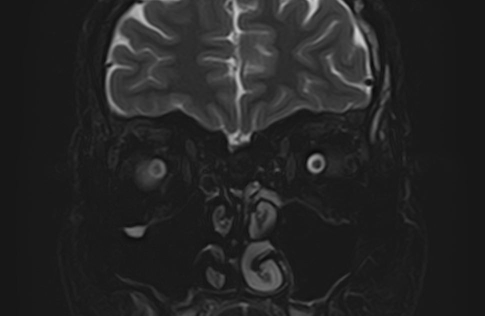
МРТ глазных орбит является современным способом диагностики патологии глазниц, в которых расположены глазные яблоки и их придатки (окружающая жировая клетчатка, зрительные нервы, слезные железы, мышцы глаза, связочный аппарат, кровеносные сосуды). МРТ орбит также позволяет получить детальную информацию о состоянии мягких тканей периорбитальных областей (тканей, окружающих глазницу).

Магнитно-резонансная томография является методом выбора для точной диагностики патологических процессов глазных орбит, но в некоторых случаях, например, при подозрении на металлическое инородное тело глаза МРТ противопоказано. В таком случае предпочтительно провести КТ глазных орбит. В клинике «Доступная медицина» также можно провести  КТ орбит на современном компьютерном томографе со сниженным уровнем лучевой нагрузки.

Показания к проведению МРТ орбит

Свернуть/развернуть

МРТ орбит проводят в рамках комплексной диагностики патологии органов зрения, когда другие исследования не представляют полную картину. 

МРТ проводят в рамках предоперационной подготовки, а также для контроля процесса реабилитации после хирургического лечения. Метод не имеет ограничений по количеству и частоте проведения процедур, поэтому используется для динамического контроля течения заболеваний и эффективности проводимой терапии. МРТ особенно ценно в неинвазивной диагностике объемных образований, а по характеру кровотока врач может сделать предположение о степени доброкачественности процесса.

Магнитно-резонансную томографию назначают при необходимости детального изучения мягкотканных структур глазниц. В результате исследования получают срезы анатомической области, на которых можно рассмотреть мельчайшие элементы. МРТ орбит обеспечивает визуализацию следующих структур:

  • элементы глазного яблока, включая оболочки;
  • периорбитальная клетчатка;
  • мышечный аппарат;
  • зрительный нерв;
  • слезные железы.

Ангиорежим позволяет изучить сосуды глаза (глазная артерия и вены сетчатки).

Что выявляет МРТ глазных орбит

Свернуть/развернуть

Магнитно-резонансная томография орбит глаза делается в первую очередь при подозрении на наличие новообразований. Обследование позволяет точно определить их местонахождение, а также спланировать хирургическое вмешательство, если это необходимо.

Показания:

  • патологические выделения из глаз;
  • нарушение зрения;
  • боль в области глаза;
  • травмы глаза;
  • подозрение на наличие инородного тела;
  • демиелинизирующие заболевания (рассеянный склероз, поперечный миелит, болезнь Девика, миелинолиз среднего моста);
  • повышенное внутричерепное давление;
  • нарушение кровотока;
  • эндокринная офтальмопатия;
  • некоторые случаи глаукомы;
  • подтверждение результатов, полученных с помощью других методов диагностики.

Для получения максимально точного изображения диагностируемой области, важно перед началом обследования отказаться от макияжа, использования лака для волос, так как некоторые виды косметики содержат частицы металла, которые могут исказить результат. Дополнительно в некоторых случаях МРТ глазниц делается с использованием контрастного вещества, что позволяет получить более качественные и детальные снимки.

Как нужно подготовиться к МРТ орбит

Свернуть/развернуть

Для данного вида обследования специальная подготовка не нужна. 

Необходимо принести с собой медицинскую документацию, относящуюся к зоне исследования:

  • направление от лечащего врача;
  • выписки из амбулаторных карт и стационаров;
  • результаты предыдущих исследований (МР-снимки, СD/DVD диски, снимки КТ).

Необходимо убрать все электронные гаджеты, снять металлические предметы, украшения, одежду с металлическими элементами. Девушкам и женщинам нельзя использовать макияж, особенно с металлическими включениями.

Пациент укладывается на спину на выдвижном столе томографа, голова дополнительно фиксируется специальными креплениями. 

Во время исследования нельзя двигаться, иначе изображения на снимках не будут четкими. Так как при работе томограф издает громкий шум, свист, стук, рекомендуется использовать беруши или наушники для защиты ушей. 

В руку пациента вкладывается сигнальная груша (специальное устройство для вызова персонала, если возникнет такая необходимость). Связь с медработниками осуществляется посредством переговорного устройства, вмонтированного в аппарат.

В каких случаях нельзя провести МРТ глазных орбит

Свернуть/развернуть
  • Если у пациента в теле присутствуют ферромагнитные немедицинские инородные тела (металлическая стружка, пули, дробь, осколки), металлизированные татуировки, особенно вблизи исследуемой области.
  • При наличии в теле имплантированных медицинских металлических предметов (стержни, спицы, штифты, различные протезы, пластины, клипсы, скобы, сосудистые стенты). Если протез изготовлен из пара- и диамагнитных металлов (к ним относятся хром, титан, алюминий), нужно предоставить информацию о материале, из которого он изготовлен (паспорт изделия, справка из учреждения, где устанавливался имплантат). На основании данных о материале протеза и учитывая его расположение по отношению к области обследования, врач-рентгенолог сделает заключение о возможности проведения МРТ или порекомендует другой способ визуализации.
  • Наличие в теле имплантированных электронных устройств (имплантаты внутреннего уха, дефибрилляторы, водители ритма, кардиостимуляторы, нейростимуляторы, инсулиновые помпы). 
  • Боязнь закрытых пространств (клаустрофобия) может быть препятствием для выполнения МРТ. 
  • Следует воздержаться от проведения МРТ глазных орбит при беременности до 13 недель (в это время у плода происходит закладка органов и систем, необходимо исключить любое воздействие неблагоприятных факторов).
  • Вес пациента, превышающий 120 кг (максимально разрешенный вес при использовании выдвижного стола томографа).

Запишитесь на МРТ орбит по удобному адресу

Записаться
Фильтр по услугам МРТ головы

Введение контраста

С контрастом Без контраста

Станция метро

Площадь Восстания Нарвская Проспект Просвещения Рыбацкое Девяткино Гражданский проспект Академическая Политехническая Площадь Мужества Лесная Выборгская Площадь Ленина Чернышевская Владимирская Пушкинская Технологический институт Балтийская Кировский завод Автово Ленинский проспект Проспект Ветеранов Парнас Озерки Удельная Пионерская Чёрная речка Петроградская Горьковская Невский проспект Сенная площадь Фрунзенская Московские ворота Электросила Парк Победы Московская Звёздная Купчино Беговая Зенит Приморская Василеостровская Гостиный двор Маяковская Площадь Александра Невского Елизаровская Ломоносовская Пролетарская Обухово Спасская Достоевская Лиговский проспект Площадь Александра Невского Новочеркасская Ладожская Проспект Большевиков Улица Дыбенко Комендантский проспект Старая Деревня Крестовский остров Чкаловская Спортивная Адмиралтейская Садовая Звенигородская Обводный канал Волковская Бухарестская Международная Проспект Славы Дунайская Шушары Богатырская Каменка Театральная Горный институт Путиловская Юго-Западная Кудрово Шуваловский проспект Каретная Боровая Заставская Броневая

Возраст пациента

Взрослому Ребенку от 15 лет

Пол пациента

Мужчине Женщине

Тип аппарата

Открытый Закрытый

Мощность МРТ

1.5 Тл 3 Тесла

Программы страхования

ДМС Платно ОМС

Цены

Услуги, соответствующие запросу, не найдены.

МРТ головного мозга
руб
4 600 / 3 200 руб
Подробнее
МР-ангиография головного мозга
руб
4 600 / 3 200 руб
Подробнее
МР-венография головного мозга
руб
4 600 / 3 200 руб
Подробнее
МРТ черепно-мозговых нервов
руб
4 600 / 3 200 руб
Подробнее
МРТ головного мозга и МР-ангиография головного мозга
руб
7 600 / 6 200 руб
Подробнее
МРТ головного мозга и МР-венография головного мозга
руб
7 600 / 6 200 руб
Подробнее
МРТ гипофиза
руб
От 7 600 / 6 200 руб
Подробнее
МРТ орбит
руб
4 600 / 3 200 руб
Подробнее
МРТ придаточных пазух носа
руб
4 600 / 3 200 руб
Подробнее
МРТ внутреннего уха
руб
5 400 / 4 000 руб
Подробнее
МРТ головного мозга и гипофиза
руб
От 11 300 / 9 200 руб
Подробнее
МРТ головного мозга+мосто-мозжечкового угла
руб
7 600 / 6 600 руб
Подробнее
МРТ головного мозга + МРТ орбит
руб
7 600 / 6 200 руб
Подробнее
МРТ головного мозга + черепно-мозговые нервы
руб
7 600 / 6 600 руб
Подробнее

Адреса диагностических центров "Доступная Медицина"

Преимущества наших диагностических центров

Доступные цены

Приемлемые цены
на все услуги

Качественный сервис

Контроль качества
оказываемых услуг

Лучшие специалисты

Высококвалифицированные врачи

Новейшее оборудование

Современные томографы с высочайшим качеством визуализации

Близость к метро

Мы находимся в непосредственной близости от метро и остановок общественного транспорта

Лицензии

Современные томографы с высочайшим качеством визуализации

Назад
Вперед
Ключникова Екатерина Игоревна
Информация проверена главным врачом клиники Domedica24
Ключникова Екатерина Игоревна
Стаж более 8 лет, главный врач, врач-рентгенолог 1 категории
Площадь Стачек, 9">
ул. 1-я Советская, 8">