МРТ печени в СПБ
- Длительность выполнения 40 минут
- Срок получения результата В течение дня
- Ограничения по весу 120 кг
- Ограничения по возрасту От 15 лет
- Введение контраста Нет
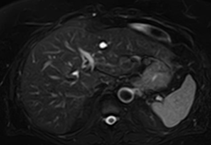
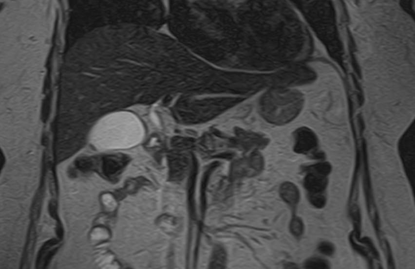
Магнитно-резонансная томография является современным наиболее информативным неинвазивным методом диагностики заболеваний печени. С помощью использования магнитного поля, обладающего высокой индукционной мощностью, МРТ позволяет получать послойные изображения органа и окружающих тканей и выявлять патологические изменения в печени на самых ранних стадиях развития, когда другие методы диагностики не дают результатов. Кроме того, процедура безболезненна и безопасна, так как организм не подвергается воздействию вредного рентгеновского излучения. Это позволяет назначать МРТ неоднократно в течение короткого промежутка времени, например, для оценки динамики состояния органа на фоне лечения.
В клинике «Доступная медицина» исследование проводится на современном высокопольном томографе экспертного класса TOSHIBA VANTAGE TITAN 1,5 Тесла. Аппарат послойно сканирует исследуемую зону в трех плоскостях с шагом от 1 мм, при этом получая данные о структуре органа в мельчайших подробностях. Инновационные компьютерные программы реконструируют данные в трехмерные модели органа, отображающие состояние не только паренхимы печени, но и внутрипеченочных желчных протоков и сосудистой системы.
Для повышения качества визуализации патологических очагов поражения дополнительно применяется контрастное усиление. Для этого в вену вводится контрастный препарат, содержащий гадодиамид (соли металла гадолиния). Контраст имеет способность накапливаться в очагах поражения. Методика применяется для ранней диагностики как первичных опухолей печени, так и метастатического поражения, что имеет решающее значение для проведения своевременного лечения.
- Показания к диагностике печени методом МРТ
- Что показывает МРТ печени
- Какие существуют противопоказания для МРТ печени?
- Что входит в подготовку к МРТ печени
Показания к диагностике печени методом МРТ
Диагностика состояния печени методом МРТ редко проводится в профилактических целях.
Исследование может быть проведено при наличии следующей патологической симптоматики:
- дискомфорт в правом подреберье (боли, ощущение тяжести и сдавливания);
- желтуха (характерный жёлтый окрас кожи, слизистых оболочек и склер глаз, зуд кожи);
- нарушение пищеварения (отрыжка, тяжесть после еды, метеоризм, нарушения стула и пр.);
- симптомы обструкции желчных протоков (печеночная колика, глинистый стул, темная моча и др.);
- склонность к кровотечениям;
- характерный венозный рисунок на животе;
- увеличение живота за счет скопления жидкости в брюшной полости (асцит);
- необъяснимое снижение веса, нарушения концентрации внимания, слабость и др.
Исследование также назначают при обнаружении злокачественных опухолей других органов для ранней диагностики метастатического поражения печени. Томографию проводят для контроля динамики на фоне терапии.
Что показывает МРТ печени
Использование в процедуре МР-сканирования контрастирующих красителей позволяет выявить и охарактеризовать поражения печени размером от 1 мм, отличать доброкачественные и злокачественные новообразования, метастазы.
На томографических снимках хорошо заметны:
- доброкачественные очаговые поражения печени (гемангиома, очаговая узловая гиперплазия, гепатоцеллюлярная аденома, кисты (в том числе и паразитарные), липома, абсцесс, инфекции);
- злокачественные очаговые поражения печени;
- заболевания желчных протоков и желчного пузыря;
- диффузные болезни печени (стеатоз, воспалительные заболевания (вирусный гепатит, склерозирующий холангит), цирроз;
- патологии сосудов (тромбозы, артерио-венозные мальформации)
- рубцовые изменения после травм или операций
Какие существуют противопоказания для МРТ печени?
- Наличие у пациента имплантированных электронных аппаратов, работа которых может нарушиться под действием магнитного поля томографа – это кардиостимуляторы, дефибрилляторы, кохлеарные имплантаты, инсулиновые помпы, нейростимуляторы.
- При наличии в теле металлических изделий медицинского назначения (протезы, штифты, винты, пластины, сосудистые скобы, клипсы, стенты, кава-фильтры), а также инородных предметов из металла (это могут быть осколки, металлическая стружка, пули, дробь, неснимаемый пирсинг, татуировки с использованием металлизированных красок).
- Женщинам в первом триместре беременности нежелательно проводить МРТ из-за риска воздействия магнитного поля на формирующиеся органы плода.
- На любом сроке беременности противопоказано введение контраста.
- Противопоказано контрастирование при заболеваниях почек со снижением их функции, а также при наличии в анамнезе аллергических реакций на контрастное вещество.
- Клаустрофобия (боязнь закрытых пространств) может ограничивать проведение МРТ.
- Из-за технических ограничений по весу томографа невозможно выполнить исследование пациентам с избыточной массой тела более 120 кг.
Что входит в подготовку к МРТ печени
Чтобы исключить вероятность получения артефактов и искажения результатов исследования, к данной процедуре требуется заранее подготовиться.
За три дня до исследования рекомендуется исключить из рациона пищу, повышающую газообразование (сладкое, мучное, жирное, бобовые, газированные напитки, капусту) и принимать «Эспумизан» по 2 капсулы 3 раза в день (если есть проблемы с газообразованием!). В день исследования «Эспумизан» принимать не нужно.
За 3-4 часа до исследования следует отказаться от приема пищи.
За 30-40 минут до исследования необходимо выпить 2 таблетки «Но-шпы» для снижения перистальтики кишечника.
Необходимо принести с собой медицинскую документацию, относящуюся к зоне исследования:
- направление от лечащего врача;
- выписки из амбулаторных карт и стационаров;
- результаты предыдущих исследований (МР-снимки, CD/DVD диски, результаты УЗИ, снимки КТ).
Перед началом процедуры необходимо снять с себя все металлические предметы, включая украшения, пирсинг, а также одежду с металлической фурнитурой. Также следует убрать все электронные устройства: смартфоны, часы, планшеты, слуховые аппараты.
При наличии немагнитных пластин или протезов, изготовленных из пара- и диамагнетиков (например, титан, алюминий), необходимо предупредить об этом врача-рентгенолога и предоставить справку из учреждения, в котором они были установлены. Кроме материала еще учитывается расположение изделия по отношению к исследуемой области. Если имплантат находится вблизи области сканирования, то это может исказить результаты обследования. В каждом конкретном случае врач определит возможность проведения исследования или предложит другой способ визуализации.
Если планируется применение контраста пациенту с подозрением на почечную недостаточность, необходимо выполнить исследование уровня креатинина крови в течение не более 2 недель до даты проведения МРТ.
Так как контраст выводится из организма не менее, чем за сутки, кормящим женщинам нужно воздержаться от кормления грудью после исследования на 24-48 часов, молоко после сцеживания выливать.
При проведении обследования необходимо сохранять неподвижность для получения качественных изображений исследуемой области. Чтобы исключить непроизвольные движения, пациента дополнительно фиксируют специальными фиксаторами.
Томограф во время работы издает громкий шум, поэтому чтобы защитить слух, пациенту предлагается надеть наушники или воспользоваться берушами.
Медперсонал во время проведения процедуры находится в смежном помещении, отделенном от диагностического кабинета прозрачной перегородкой. С врачом можно общаться через вмонтированное в аппарат устройство связи. Для вызова медработника есть специальная сигнальная груша, которая находится в руке пациента в течение всего времени сканирования. По желанию пациента разрешается присутствие сопровождающего при проведении процедуры.
Запишитесь на МРТ печени по удобному адресу
ЗаписатьсяСтанция метро
Площадь Восстания Нарвская Проспект Просвещения Рыбацкое Девяткино Гражданский проспект Академическая Политехническая Площадь Мужества Лесная Выборгская Площадь Ленина Чернышевская Владимирская Пушкинская Технологический институт Балтийская Кировский завод Автово Ленинский проспект Проспект Ветеранов Парнас Озерки Удельная Пионерская Чёрная речка Петроградская Горьковская Невский проспект Сенная площадь Фрунзенская Московские ворота Электросила Парк Победы Московская Звёздная Купчино Беговая Зенит Приморская Василеостровская Гостиный двор Маяковская Площадь Александра Невского Елизаровская Ломоносовская Пролетарская Обухово Спасская Достоевская Лиговский проспект Площадь Александра Невского Новочеркасская Ладожская Проспект Большевиков Улица Дыбенко Комендантский проспект Старая Деревня Крестовский остров Чкаловская Спортивная Адмиралтейская Садовая Звенигородская Обводный канал Волковская Бухарестская Международная Проспект Славы Дунайская Шушары Богатырская Каменка Театральная Горный институт Путиловская Юго-Западная Кудрово Шуваловский проспект Каретная Боровая Заставская БроневаяРайон
Центральный Кировский Выборгский Невский Адмиралтейский Василеостровский Калининский Колпинский Красногвардейский Красносельский Кронштадтский Курортный Московский Петроградский Петродворцовый Приморский Пушкинский ФрунзенскийГород
Санкт-Петербург Бокситогорск Бугры Волосово Волхов Всеволожск Выборг Высоцк Гатчина Ивангород Каменногорск Кингисепп Кириши Кировск Колтуши Коммунар Кудрово Лодейное Поле Луга Любань Мурино Никольское Новая Ладога Отрадное Пикалёво Подпорожье Приморск Приозерск Светогорск Сертолово Сланцы Сосновый Бор Сясьстрой Тельмана Тихвин Тосно ШлиссельбургЦены
Услуги, соответствующие запросу, не найдены.
Адреса диагностических центров "Доступная Медицина"
Преимущества наших диагностических центров
Доступные цены
Приемлемые цены
на все услуги
Качественный сервис
Контроль качества
оказываемых услуг
Лучшие специалисты
Высококвалифицированные врачи
Новейшее оборудование
Современные томографы с высочайшим качеством визуализации
Близость к метро
Мы находимся в непосредственной близости от метро и остановок общественного транспорта
Наше оборудование
МРТ-специалисты
Лицензии
Современные томографы с высочайшим качеством визуализации
Статьи наших врачей