Назад МР-скрининг всего тела в СПБ

Цена:
14 200 руб
Записаться
  • Срок получения результата В течение 24 часов
  • Ограничения по весу 120 кг
Описание

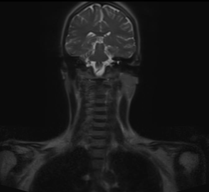
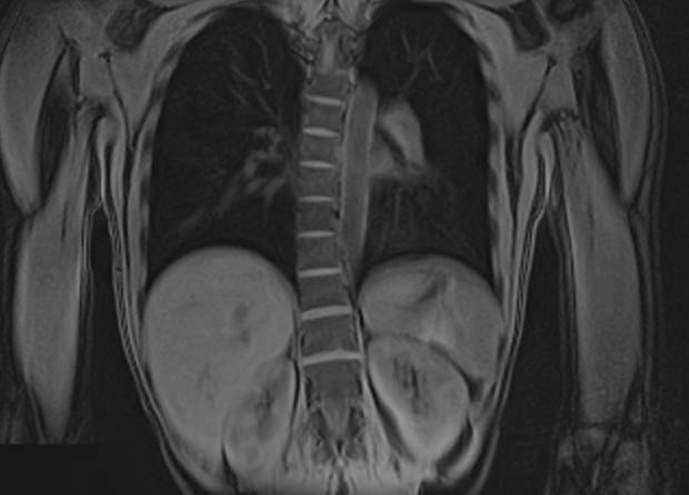
Скрининговое обследование всего тела с помощью метода магнитно-резонансной томографии включает в себя сканирование головы, шеи и туловища с органами брюшной полости, забрюшинного пространства и малого таза. 

Такой скрининг позволяет выявить анатомические зоны с патологическими очагами, которые затем можно исследовать прицельно при помощи МРТ.  Это   комплексное обследование, поэтому прежде, чем его применить, лучше посоветоваться с врачом. Вполне возможно, что после проведения более простых и доступных исследований (осмотр специалиста, сбор анамнеза заболевания, проведение лабораторных анализов, рентген, УЗИ, КТ), выявится проблемная зона, которую затем можно будет изучить при помощи МРТ. 

В сложных диагностических случаях, когда диагноз неясен, особенно при подозрении на множественные метастатические поражения, если при помощи других методов не удается выявить первичный опухолевый очаг, тогда врач может порекомендовать МР-скрининг всего тела. 

Для этого важно использовать высокопольные МР томографы, которые могут выявить мельчайшие изменения в тканях. 

В нашей клинике МР-скрининг всего тела проводится на новейшем высокопольном томографе экспертного класса TOSHIBA VANTAGE TITAN 1,5 Тесла. Аппарат послойно сканирует структуры всего тела в различных плоскостях в виде тончайших срезов с шагом от 1 мм, затем посредством инновационных компьютерных программ преобразует полученные данные в трехмерные изображения превосходного качества. 

Метод позволяет выявить бессимптомные потенциально опасные для жизни состояния, например опухолевые образования, которые долгое время себя никак не проявляют и могут обнаруживаться уже в запущенных случаях. К примеру, опухоли яичников, почек, печени, когда раннее выявление процесса значительно повышает шансы пациента на успешное лечение и выздоровление. Также МР-скрининг может проводится в профилактических целях пациентам, у которых есть близкие родственники с онкопатологией, чтобы вовремя выявить начало болезни.

Преимущества данного исследования:

Свернуть/развернуть
  • Высокотехнологичный метод, позволяющий получить информацию о состоянии всего организма. 
  • Обследование всех органов и систем за один визит в клинику, исключая многочисленные исследования.
  • Отсутствие вредного рентгеновского излучения делает процедуру безопасной для организма.

В каких случаях необходимо сделать МР-скрининг всего тела

Свернуть/развернуть
  • В сложных диагностических случаях, когда другие методы обследования не дали результата и невозможно точно поставить диагноз.
  • Если у пациента отмечается длительная лихорадка без видимой причины. 
  • При проведении онкопоиска, когда необходимо найти первичный очаг опухоли.
  • При подозрении на множественные метастазы с поражением головного мозга и внутренних органов.
  • Динамическое наблюдение за состоянием опухолей и метастатических очагов на фоне лечения.
  • Подозрение на множественную миелому, оценка динамики состояния миеломных очагов в ходе проведения лечения. 
  • Системные заболевания соединительной ткани, когда отмечается поражение многих органов и систем организма.
  • Сочетанные заболевания, когда нужно оценить состояние сразу нескольких систем организма. 
  • Профилактическое обследование пациентов с высоким риском развития онкологии. 

Что покажет МР-скрининг всего тела

Свернуть/развернуть

При проведении данного обследования оценивается состояние:

  • всех структур головного мозга;
  • мягких тканей области шеи;
  • позвоночника и спинного мозга;
  • грудной клетки с расположенными в ней органами (легкие, трахея, бронхи, лимфоузлы)
  • органов брюшной полости, включая печень, желчный пузырь, поджелудочную железу, селезенку; 
  • органов, расположенных в забрюшинном пространстве (почки, надпочечники, мочеточники);
  • органов малого таза (мочевой пузырь, прямая кишка, матка и яичники у женщин, предстательная железа и семенные пузырьки у мужчин);
  • лимфоузлов, лимфатических протоков, сосудов, нервов, мышц и суставов.

Какая нужна подготовка к МР-скринингу всего тела

Свернуть/развернуть

Подготовка необходима для получения качественных изображений исследуемой зоны. Помехи могут быть вызваны скоплением излишнего количества газов в кишечнике.

За три дня до исследования мы рекомендуем исключить из рациона пищу, повышающую газообразование (сладкое, мучное, жирное, бобовые, газированные напитки, капусту) и принимать «Эспумизан» по 2 капсулы 3 раза в день (если есть проблемы с газообразованием!). В день исследования «Эспумизан» принимать не нужно. 

За 3-4 часа до исследования необходимо отказаться от приема пищи.

За 30-40 минут до исследования необходимо выпить 2 таблетки «Но-шпы» для снижения перистальтики кишечника. 

Исследование проводится с наполненным мочевым пузырем (для оценки состояния самого мочевого пузыря), для этого ориентировочно за 1 час до процедуры нужно выпить 0,5 — 1 литр воды и не мочиться до окончания исследования.

Необходимо принести с собой медицинскую документацию, относящуюся к зоне исследования:

  • направление от лечащего врача;
  • выписки из амбулаторных карт и стационаров;
  • результаты предыдущих исследований (МР-снимки, CD/DVD диски, результаты УЗИ, снимки КТ).

Кроме того, нужно предоставить справки об имеющихся имплантатах, так как они могут быть изготовлены из материалов, позволяющих проводить МРТ. Если их расположение не создает помех для визуализации исследуемой зоны, врач-рентгенолог примет решение о возможности проведения МРТ.

Непосредственно перед процедурой нужно оставить в соседнем помещении  все электронные гаджеты, магнитные устройства, пластиковые карты, снять металлические аксессуары, пирсинг, одежду с элементами из металла. Женщинам не рекомендуется использовать декоративную косметику, так как она может содержать в своем составе металлические частицы.

Во время исследования нельзя двигаться для получения качественных изображений исследуемой области. Пациент располагается лежа на выдвижном столе томографа. Для исключения лишних движений дополнительно используются фиксаторы. 

Работа томографа сопровождается громким акустическим шумом, что обусловлено особенностями технологии процесса. Дискомфорт от воздействия шума можно уменьшить, используя беруши или наушники.

В случае волнения и тревожности можно принять успокоительное средство, также допускается присутствие сопровождающего в кабинете, где проводится обследование. 

Медицинские работники находятся в смежном помещении и наблюдают за пациентом через прозрачную перегородку. В руке пациента будет находиться сигнальное устройство в виде груши, с помощью которого можно вызвать медперсонал.

В каких случаях невозможно выполнить МР-скрининг всего тела

Свернуть/развернуть
  • В случае присутствия в теле вживленных электронных приборов: пейсмекеров (водителей ритма), дефибрилляторов, кохлеарных имплантатов, инфузионных насосов, нейростимуляторов, которые под действием магнитного поля могут необратимо выйти из строя.
  • Имплантированные металлические элементы (штифты, пластины, сосудистые скобы, клеммы, ортодонтические конструкции) являются препятствием для проведения МРТ, за исключением тех случаев, когда вживленное изделие изготовлено из сплавов с использованием пара- и диамагнетиков. Такие изделия не мешают магнитно-резонансному исследованию, имеет значение только его расположение по отношению к исследуемой области. 
  • Инородные металлические фрагменты (дробинки, пули, кусочки металла, неснимаемый пирсинг, татуировки с использованием металлизированных красок) являются противопоказанием для МРТ, так как в магнитном поле могут перемещаться и нагреваться, вызывая травмы.
  • Клаустрофобия ограничивает проведение МРТ, так как конфигурация аппарата и продолжительность исследования могут спровоцировать приступ панической атаки у некоторых пациентов.
  • МРТ невозможно выполнить пациентам с массой тела более 120 кг из-за технических особенностей томографа.

МР-скрининг всего тела с контрастом

Свернуть/развернуть

МР-скрининг проводится без контрастного усиления. Если во время процедуры врач-рентгенолог выявит зоны патологически измененного МР-сигнала, то вторым этапом станет повторное проведение диагностики, но уже прицельно той области, где были выявлены изменения. Повторное исследование оплачивается отдельно и проводится в другой день, как правило, с применением контрастирования.

МРТ с контрастом необходима для получения более точных сведений о структуре, размере, распространенности патологического процесса и некоторых других его параметрах (например, является ли он опухолевым)

Запишитесь на МР-скрининг всего тела по удобному адресу

Записаться
Фильтр по услугам Комплексные исследования МРТ

Введение контраста

С контрастом Без контраста

Станция метро

Площадь Восстания Нарвская Проспект Просвещения Рыбацкое Девяткино Гражданский проспект Академическая Политехническая Площадь Мужества Лесная Выборгская Площадь Ленина Чернышевская Владимирская Пушкинская Технологический институт Балтийская Кировский завод Автово Ленинский проспект Проспект Ветеранов Парнас Озерки Удельная Пионерская Чёрная речка Петроградская Горьковская Невский проспект Сенная площадь Фрунзенская Московские ворота Электросила Парк Победы Московская Звёздная Купчино Беговая Зенит Приморская Василеостровская Гостиный двор Маяковская Площадь Александра Невского Елизаровская Ломоносовская Пролетарская Обухово Спасская Достоевская Лиговский проспект Площадь Александра Невского Новочеркасская Ладожская Проспект Большевиков Улица Дыбенко Комендантский проспект Старая Деревня Крестовский остров Чкаловская Спортивная Адмиралтейская Садовая Звенигородская Обводный канал Волковская Бухарестская Международная Проспект Славы Дунайская Шушары Богатырская Каменка Театральная Горный институт Путиловская Юго-Западная Кудрово Шуваловский проспект Каретная Боровая Заставская Броневая

Возраст пациента

Взрослому Ребенку от 15 лет

Пол пациента

Мужчине Женщине

Тип аппарата

Открытый Закрытый

Мощность МРТ

1.5 Тл 3 Тесла

Программы страхования

ДМС Платно ОМС

Цены

Услуги, соответствующие запросу, не найдены.

МР-скрининг всего тела
руб
14 200 руб
МРТ головного мозга + МР-ангиография головного мозга + МР-венография головного мозга
руб
10 400 / 9 000 руб
Подробнее
МРТ головного мозга + МР-ангиография головного мозга + МР-венография головного мозга + черепно-мозговые нервы
руб
13 400 / 12 200 руб
Подробнее
МРТ головного мозга + МРТ шейного отдела позвоночника + МР ангиография шеи
руб
10 400 / 9 000 руб
Подробнее
МРТ головного мозга + МР ангиография головного мозга + МРТ шейного отдела позвоночника
руб
10 400 / 9 000 руб
Подробнее
МРТ головного мозга + МР-ангиография головного мозга + 3 отдела позвоночника
руб
14 900 / 13 500 руб
Подробнее
МРТ головного мозга + МРТ шейного отдела позвоночника + МР-ангиография шеи и головного мозга
руб
13 400 / 12 200 руб
Подробнее
МРТ шейного отдела позвоночника + МР-ангиография шеи
руб
7 600 / 6 200 руб
Подробнее
МРТ головного мозга + МРТ орбит
руб
7 600 / 6 200 руб
Подробнее
МРТ головного мозга и гипофиза
руб
От 11 300 / 9 200 руб
Подробнее
МРТ головного мозга + черепно-мозговые нервы
руб
7 600 / 6 600 руб
Подробнее
МРТ головного мозга + шейного отдела позвоночника
руб
7 600 / 6 200 руб
Подробнее
МР-ангиография шеи и головного мозга
руб
7 600 / 6 200 руб
Подробнее
МРТ брюшной полости + МРТ забрюшинного пространства
руб
8 500 руб
МРТ брюшной полости+МР-холангиография
руб
9 600 / 8 600 руб
Подробнее
МРТ пояснично-крестцового отдела + копчик
руб
7 600 / 6 200 руб
Подробнее
МРТ пояснично-крестцового отдела позвоночника + МРТ крестцово-подвздошных сочленений
руб
7 600 / 6 200 руб
Подробнее
МРТ головного мозга, все отделы позвоночника
руб
13 400 / 12 200 руб
Подробнее
Комплексная МРТ позвоночника – 3 отдела
руб
10 600 / 9 200 руб
Подробнее
МРТ пояснично-крестцового отдела позвоночника + МРТ тазобедренных суставов
руб
8 300 / 6 900 руб
Подробнее
МРТ пояснично-крестцового отдела позвоночника + МРТ коленного сустава
руб
8 300 / 6 900 руб
Подробнее
МРТ шейного отдела позвоночника + МРТ плечевого сустава
руб
8 300 / 6 900 руб
Подробнее
МРТ всего позвоночника – 3 отдела + копчик
руб
13 400 / 12 200 руб
Подробнее

Адреса диагностических центров "Доступная Медицина"

Преимущества наших диагностических центров

Доступные цены

Приемлемые цены
на все услуги

Качественный сервис

Контроль качества
оказываемых услуг

Лучшие специалисты

Высококвалифицированные врачи

Новейшее оборудование

Современные томографы с высочайшим качеством визуализации

Близость к метро

Мы находимся в непосредственной близости от метро и остановок общественного транспорта

Лицензии

Современные томографы с высочайшим качеством визуализации

Назад
Вперед
Ключникова Екатерина Игоревна
Информация проверена главным врачом клиники Domedica24
Ключникова Екатерина Игоревна
Стаж более 8 лет, главный врач, врач-рентгенолог 1 категории
Площадь Стачек, 9">
ул. 1-я Советская, 8">