Назад КТ легочной артерии и ее ветвей в СПБ

Цена:
10 600 руб
Записаться
  • Введение контраста Да
  • Длительность выполнения 20 минут
  • Ограничения по весу 120 кг
  • Ограничения по возрасту От 15 лет
  • Срок получения результата В течение 24 часов
Описание

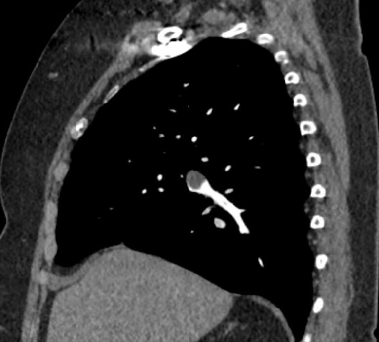
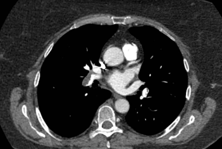
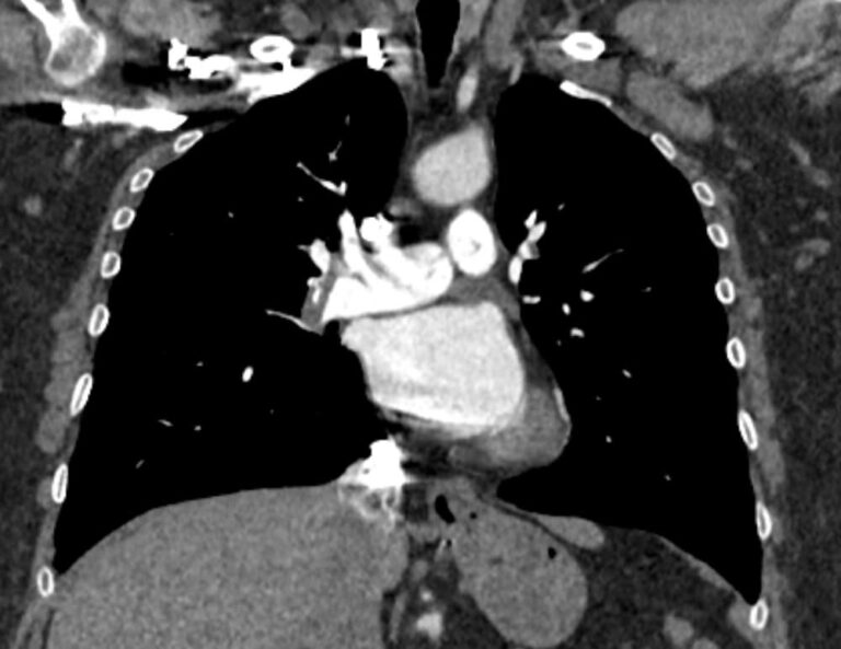
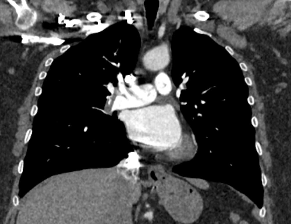
Легочный ствол отходит от правого желудочка сердца, затем разветвляется на правую и левую легочные артерии, которые несут венозную кровь от всего тела к легким для насыщения ее кислородом. Легочные артерии разветвляются на сосуды меньшего калибра, самые мелкие из которых – легочные капилляры – образуют густую сосудистую сеть, где непосредственно происходит обогащение крови кислородом.

Патология легочной артерии может проявляться повышением давления внутри просвета сосудов. Это состояние называется легочной гипертензией и развивается на фоне заболеваний сердечно-сосудистой системы, обструктивных заболеваний легких. Кроме того, легочная гипертензия сопутствует порокам развития дыхательной системы, клапанов сердца, а также может быть следствием многих других болезней, например, гемолитической анемии и системных заболеваний соединительной ткани.

Еще к частым патологиям легочной артерии относится стеноз (сужение просвета) легочной артерии, который может быть врожденным и приобретенным, и тромбоэмболия легочной артерии (ТЭЛА). 

Тромбоэмболия легочной артерии характеризуется закупоркой просвета легочной артерии (либо самого легочного ствола, либо более мелких ветвей) тромбом. Тромб может образоваться в глубоких венах нижних конечностей, малого таза, часто после травм, операций, родов, а также в правом предсердии (на фоне нарушений сердечного ритма) и с током крови попадает в систему легочной артерии. 

ТЭЛА может стать причиной внезапной смерти, а в некоторых случаях может приобретать хронический характер, когда тромбы малого размера закупоривают мелкие легочные артерии. В любом случае своевременная диагностика ТЭЛА может спасти жизнь больного.

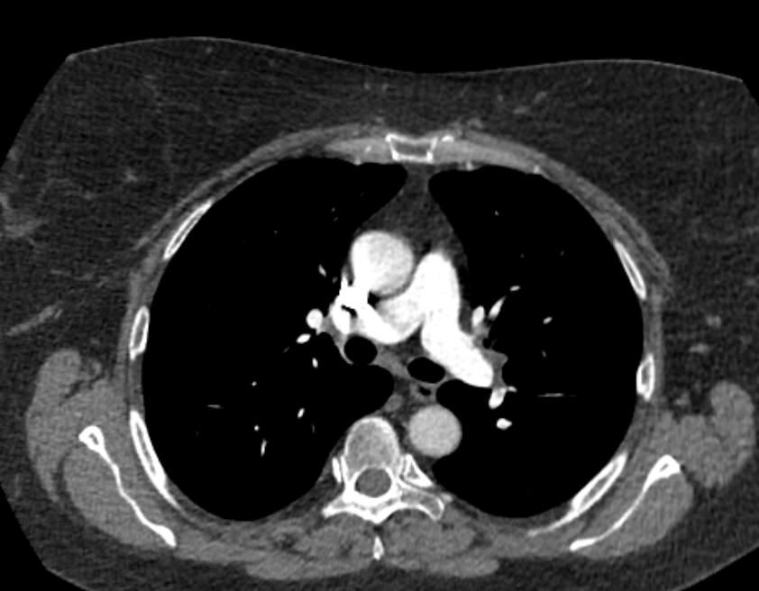
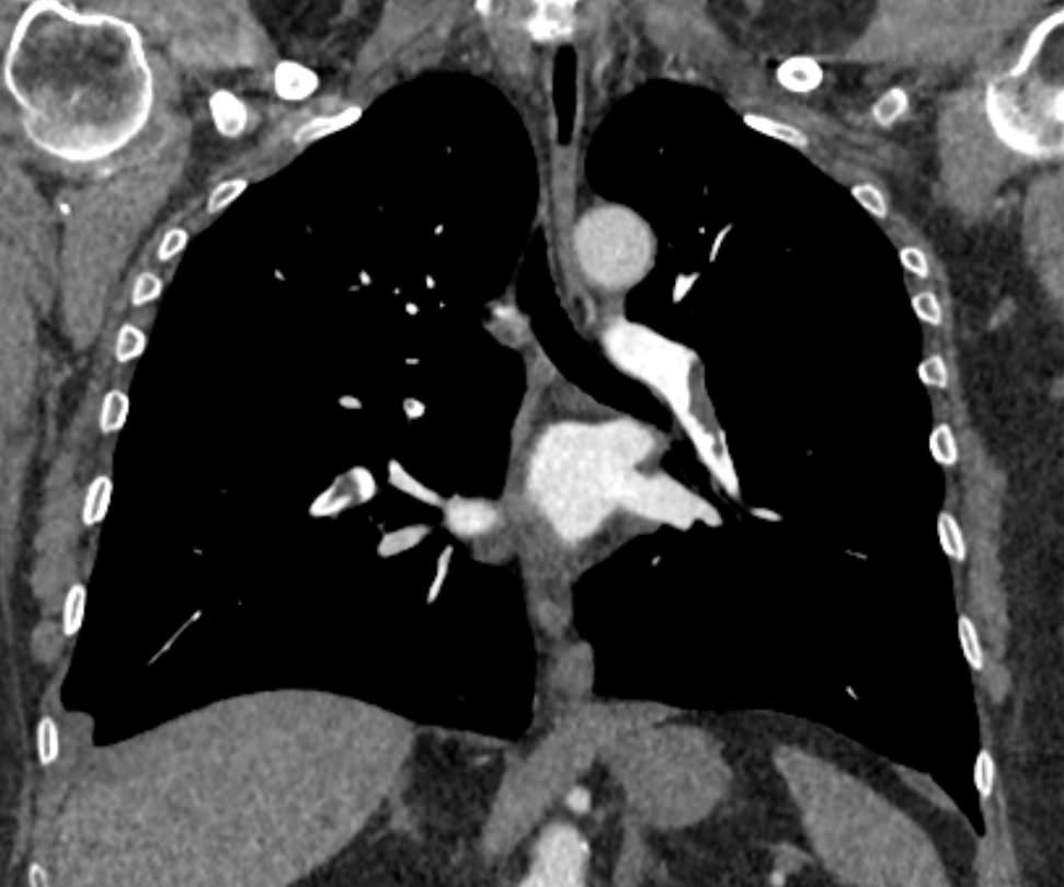
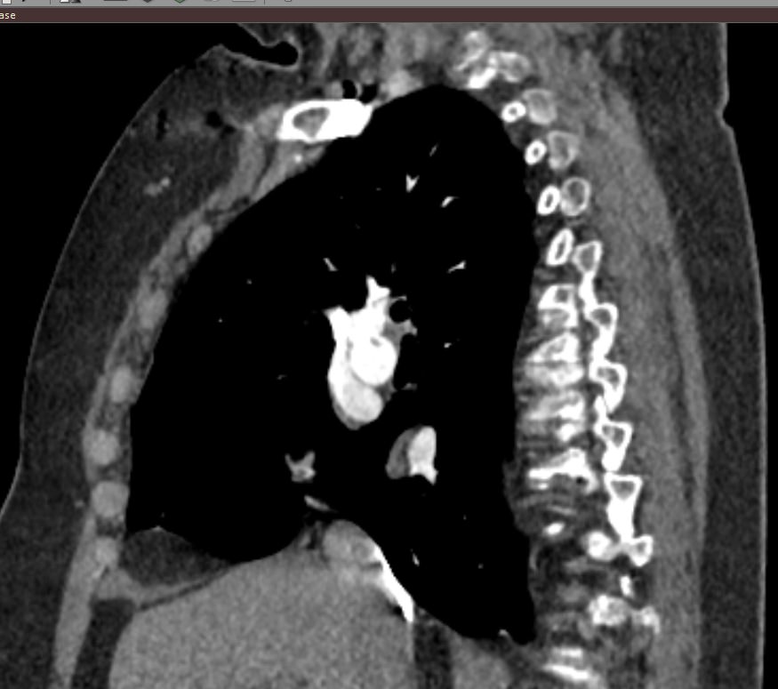
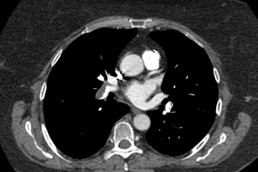
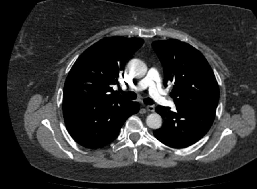
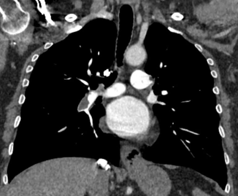
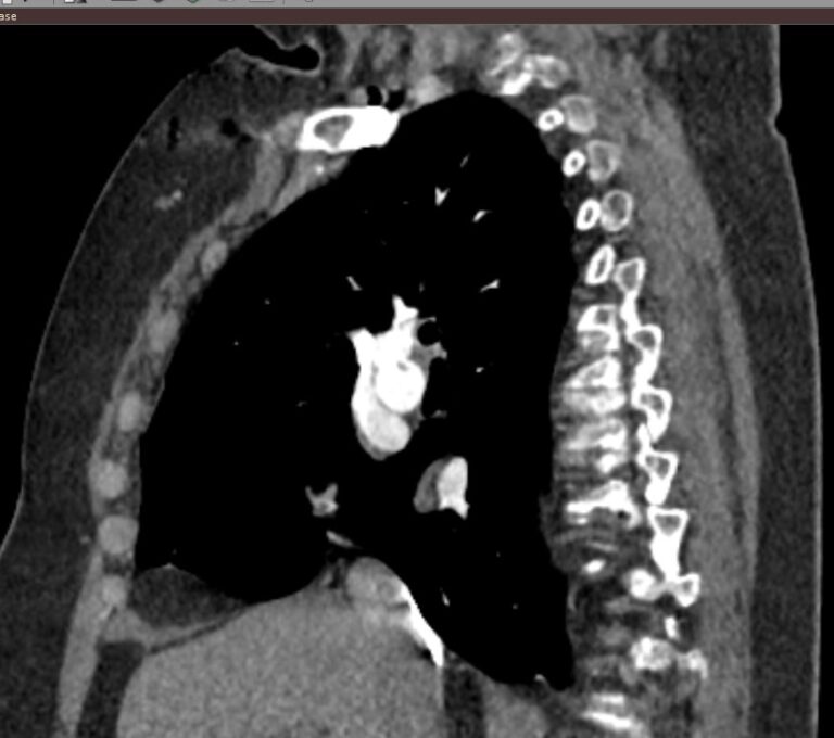
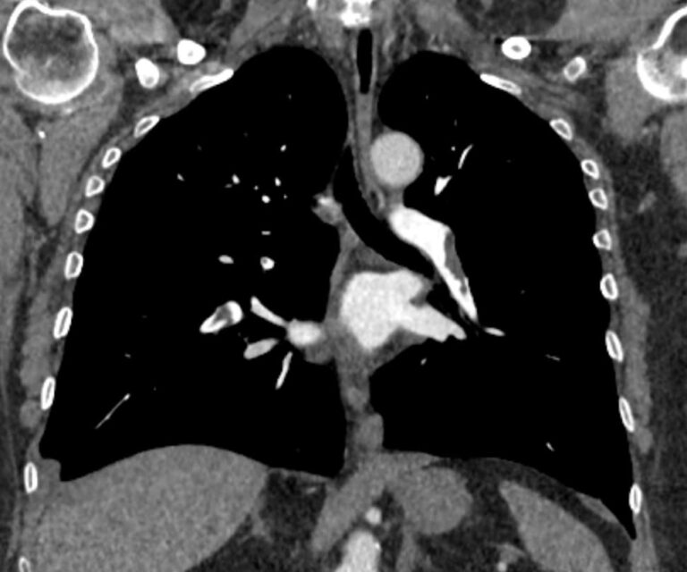
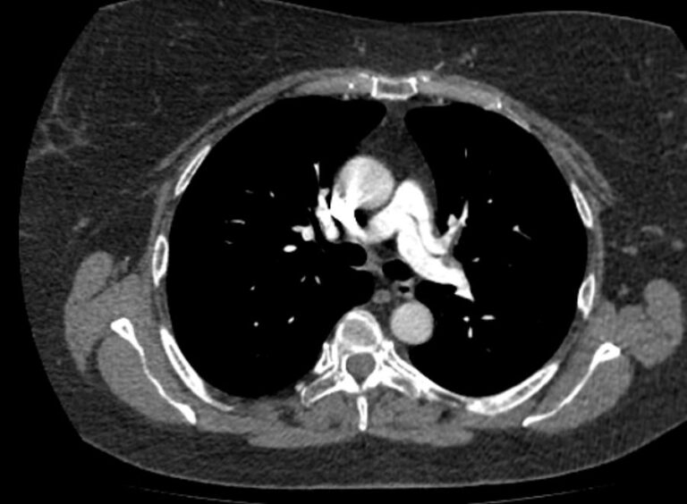
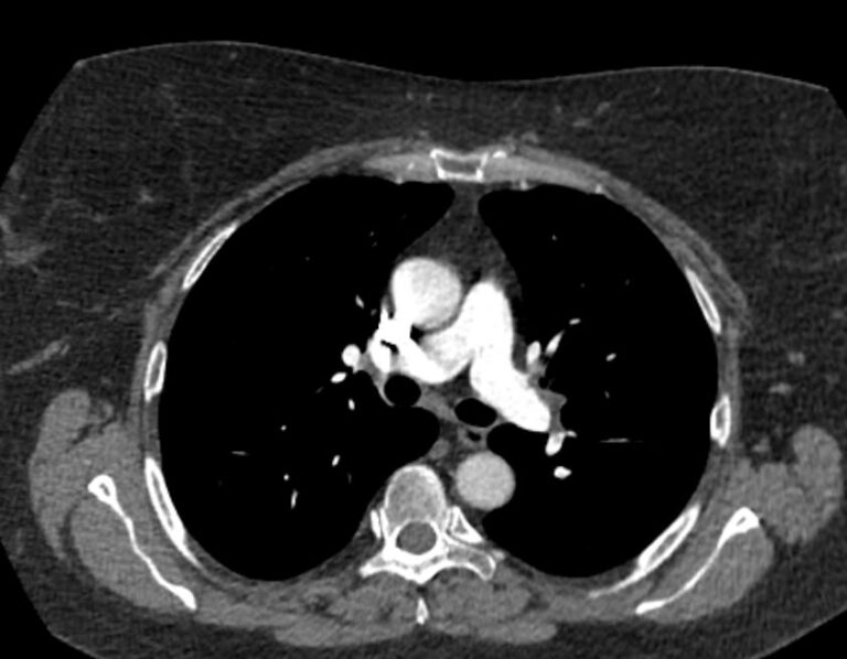
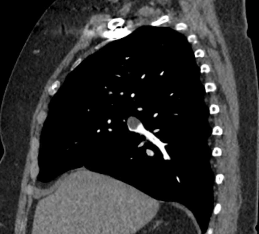
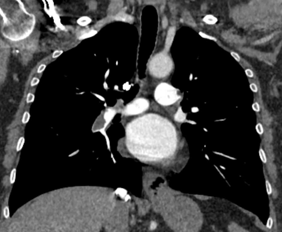
Наиболее информативным, при этом быстрым и неинвазивным (то есть без вмешательства в организм пациента), методом диагностики патологии легочной артерии является мультиспиральная компьютерная томография (КТ-ангиография). Методика основана на использовании рентгеновского излучения в сочетании с цифровой обработкой данных для получения трехмерных изображений сосудистой системы. 

Для визуализации кровеносных сосудов в обязательном порядке применяется контрастное усиление. Для этого в вену пациента вводится йодсодержащий контрастный препарат, который попадая в кровоток активно поглощает рентгеновские лучи и ярко контрастирует сосудистую систему, в том числе легочной артерии, на фоне окружающих тканей. Использование контраста дает возможность визуализировать даже мелкие артерии и выявить патологию.

В наших диагностических центрах КТ-ангиография легочной артерии проводится на современных мультиспиральных компьютерных томографах экспертного уровня TOSHIBA AQUILION. Оснащение аппаратов позволяет получать детальные снимки и трехмерные изображения сосудистой системы легочной артерии, при этом применение скоростной мультисрезовой методики сканирования значительно снижает уровень лучевой нагрузки на пациента.

Показания к КТ легочной артерии и ее ветвей

Свернуть/развернуть
  • подозрение на наличие тромбов в легочной артерии или ее ветвях;
  • поражения стенки сосудов вследствие воздействия инфекционного агента 
  • аутоиммунное поражение сосудов;
  • проведение обследования до или после операции.
  • пороки сердца
  • дифференциальная диагностика патологии легочной ткани, органов средостения

Подготовка к КТ легочной артерии и ее ветвей

Свернуть/развернуть

Для проведения качественной диагностики, мы рекомендуем принести с собой все документы, которые касаются области исследования:

  • Направление лечащего врача;
  • Выписка из истории болезни или амбулаторной карты;
  • Рентгеновские снимки, CD/DVD диски предыдущих КТ или МРТ исследований грудной клетки, легочной артерии и ее ветвей;
  • Заключения специалистов.

Введение контрастного вещества требует оценки выделительной функции почек. Для этого необходимо предоставить результат анализа крови на уровень креатинина (показатель, отражающий функцию почек). Анализ нужно сдать в течение 2-х недель до даты исследования. 

Пациентам, принимающим по поводу сахарного диабета Метформин (Глюкофаж) или другие метформинсодержащие препараты, необходимо, по согласованию с эндокринологом, прекратить прием данного препарата за 48 часов до исследования с контрастированием и на 48 часов после введения контраста.

Контрастный препарат вводится внутривенно через предварительно установленный в локтевую вену венозный катетер. Введение контраста осуществляется с помощью автоматического шприца (инжектора). При поступлении контраста в кровь можно почувствовать теплоту и неприятный привкус во рту, но эти ощущения кратковременны и проходят через 1-2 минуты.

При проведении мультиспиральной КТ с внутривенным болюсным контрастированием кормящим женщинам, необходимо на 24-48 часов после процедуры с введением контраста прервать грудное вскармливание, предварительно сделав запас грудного молока, при этом молоко сцеживать и выливать.

Пациент располагается лежа на специальном столе, который двигается в раме томографа. По сравнению с МРТ отверстие томографа широкое, вокруг пространство полностью открытое и свободное. 

Врач-рентгенолог и рентгенолаборант находятся в соседнем помещении, наблюдая за пациентом через стеклянную перегородку. Общение с врачом происходит через переговорное устройство, вмонтированное в аппарат.

Противопоказания для проведения КТ легочной артерии и ее ветвей

Свернуть/развернуть

Компьютерную томографию не рекомендуется выполнять беременным женщинам в течение всего срока беременности из-за вредного воздействия на плод рентгеновского излучения. 

Также технически невозможно выполнить КТ при массе тела пациента, превышающей 120 кг, так как подвижная часть томографов, установленных в наших центрах, имеет ограничения по грузоподъемности. 

Также имеются противопоказания для введения контрастного препарата. К ним относятся:

  • аллергическая реакция на йодсодержащий контрастный препарат в анамнезе; 
  • заболевания почек с резким снижением их функции;
  • застойная сердечная недостаточность;
  • заболевания щитовидной железы с признаками гипертиреоза и тиреотоксикоза;
  • тяжелое течение бронхиальной астмы;
  • декомпенсированный сахарный диабет.

Что показывает КТ легочной аорты и ее ветвей

Свернуть/развернуть
  • ТЭЛА (тромбоэмболия легочной артерии);
  • васкулиты;
  • врождённые и приобретённые аномалии сосудов.
  • травматические повреждения стенок сосудов;
  • изменения легочной ткани, органов средостения (воспаления, новобразования и пр)

Запишитесь на КТ легочной артерии и ее ветвей по удобному адресу

Записаться
Фильтр по услугам КТ сосудов

Введение контраста

С контрастом Без контраста

Станция метро

Площадь Восстания Проспект Просвещения Нарвская Рыбацкое Девяткино Гражданский проспект Академическая Политехническая Площадь Мужества Лесная Выборгская Площадь Ленина Чернышевская Владимирская Пушкинская Технологический институт Балтийская Кировский завод Автово Ленинский проспект Проспект Ветеранов Парнас Озерки Удельная Пионерская Чёрная речка Петроградская Горьковская Невский проспект Сенная площадь Фрунзенская Московские ворота Электросила Парк Победы Московская Звёздная Купчино Беговая Зенит Приморская Василеостровская Гостиный двор Маяковская Площадь Александра Невского Елизаровская Ломоносовская Пролетарская Обухово Спасская Достоевская Лиговский проспект Площадь Александра Невского Новочеркасская Ладожская Проспект Большевиков Улица Дыбенко Комендантский проспект Старая Деревня Крестовский остров Чкаловская Спортивная Адмиралтейская Садовая Звенигородская Обводный канал Волковская Бухарестская Международная Проспект Славы Дунайская Шушары Богатырская Каменка Театральная Горный институт Путиловская Юго-Западная Кудрово Шуваловский проспект Каретная Боровая Заставская Броневая

Возраст пациента

Взрослому Ребенку от 15 лет

Пол пациента

Мужчине Женщине

Программы страхования

ДМС Платно ОМС

Цены

Услуги, соответствующие запросу, не найдены.

КТ сосудов головного мозга
руб
6 400 руб
КТ сосудов шеи
руб
6 400 руб
КТ сосудов шеи и головного мозга (брахиоцефальных артерий)
руб
9 100 руб
КТ грудного отдела аорты и ее ветвей
руб
9 500 руб
КТ коронарных артерий (коронарография)
руб
9 500 руб
КТ легочной артерии и ее ветвей
руб
10 600 руб
КТ брюшного отдела аорты и ее ветвей
руб
9 500 руб
КТ нижней полой вены
руб
8 600 руб
КТ чревного ствола с функциональными пробами на вдохе и выдохе
руб
7 600 руб
КТ воротной вены
руб
6 400 руб
КТ сосудов почек
руб
10 600 руб
КТ сосудов малого таза
руб
6 400 руб
КТ брюшного отдела аорты и сосудов (артерий) нижних конечностей
руб
13 500 руб
КТ сосудов верхних конечностей (1 рука)
руб
6 400 руб
КТ сосудов (артерий) нижних конечностей (2 ноги)
руб
От 7 500 руб
от бифуркации аорты до коленного сустава
руб
7 500 руб
от бифуркации аорты до стопы
руб
9 500 руб

Адреса диагностических центров "Доступная Медицина"

Преимущества наших диагностических центров

Доступные цены

Приемлемые цены
на все услуги

Качественный сервис

Контроль качества
оказываемых услуг

Лучшие специалисты

Высококвалифицированные врачи

Новейшее оборудование

Современные томографы с высочайшим качеством визуализации

Близость к метро

Мы находимся в непосредственной близости от метро и остановок общественного транспорта

Лицензии

Современные томографы с высочайшим качеством визуализации

Назад
Вперед
Ключникова Екатерина Игоревна
Информация проверена главным врачом клиники Domedica24
Ключникова Екатерина Игоревна
Стаж более 8 лет, главный врач, врач-рентгенолог 1 категории
Площадь Стачек, 9">
ул. 1-я Советская, 8">