Назад КТ легких с контрастом в СПБ

Цена:
от 6 400 руб
Записаться
  • Введение контраста Да
  • Длительность выполнения 20 минут
  • Ограничения по весу 120 кг
  • Ограничения по возрасту От 15 лет
  • Срок получения результата В течение 24 часов
Описание

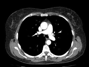
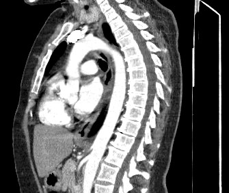
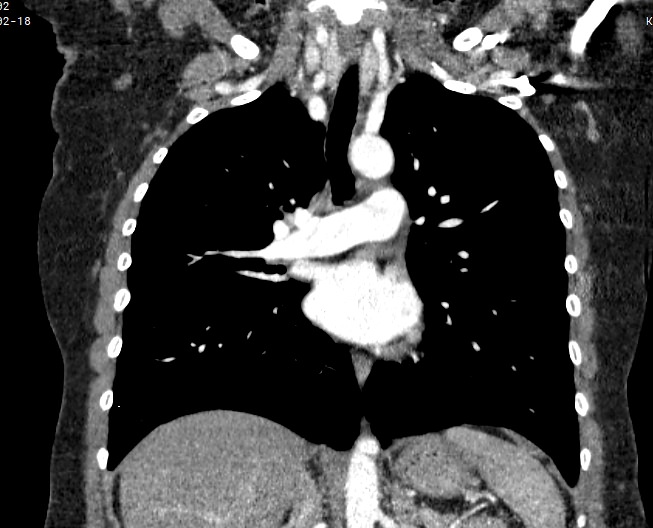
Мультиспиральная компьютерная томография – это современный высокоинформативный рентгенологический метод диагностики различной патологии легких. КТ основана на применении рентгеновского излучения. Однако в отличие от обычного рентгена, при котором снимки делаются в одной плоскости и изображения органов могут накладываться друг на друга, КТ лишена этих недостатков, так как во время компьютерной томографии сканирование проводится в различных плоскостях.  

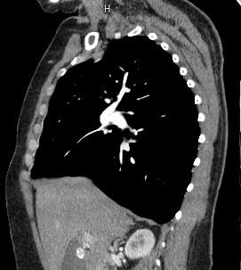
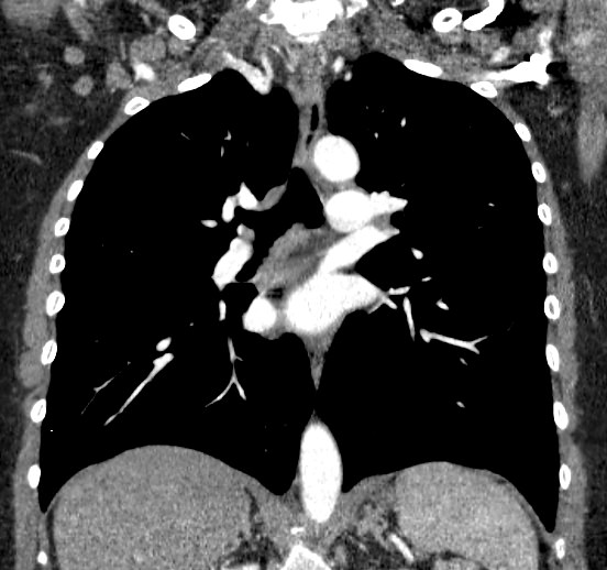
Во время исследования рентгеновская трубка томографа вращается вокруг исследуемой области и производит множество послойных снимков с шагом 0,5-1 мм. Полученные снимки поперечного сечения с помощью компьютерной программы могут быть преобразованы в 3D-изображения исследуемого органа или участка ткани. Это позволяет выявлять практически все заболевания легких на ранних стадиях и назначать своевременное лечение. 

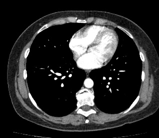
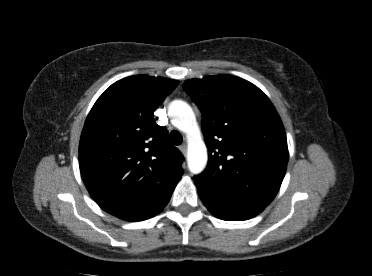
В некоторых случаях, например, при подозрении на опухолевый процесс, проводится КТ легких с контрастированием, когда для лучшей визуализации патологического очага пациенту внутривенно вводится йодсодержащий контрастный препарат. Контрастное вещество накапливается в патологических участках и обеспечивает их яркую визуализацию на фоне неизмененной ткани. С помощью контрастирования можно визуализировать кровеносные сосуды, выявить первичные опухоли и метастазы в легких, дифференцировать новообразования, например, отличить доброкачественную опухоль от злокачественной.

В медицинском центре «Доступная медицина» установлено современное оборудование – 64-срезовый и 128-срезовый компьютерные томографы TOSHIBA AQUILION, на которых проводится сканирование легочной ткани. За счет увеличенного количества детекторов аппараты производят снимки с большой скоростью и минимальной дозой облучения. При этом инновационные цифровые приложения позволяют получить объемные изображения легочной ткани высокой четкости, контрастности и в мельчайших подробностях.

Показания к КТ легких с контрастом

Свернуть/развернуть
  • наличие злокачественных новообразований либо метастазов;
  • фиброзные патологии легочной ткани;
  • опухоли или кисты в средостении;
  • уплотнения в ткани легких;
  • воспалительный процесс в легких, других органах дыхания и прилегающих тканях;
  • тромбоэмболия;
  • патологии бронхов;
  • поражения лимфатической системы;
  • травмы грудной клетки;
  • патологии легочных либо коронарных сосудов.
  • подозрения на развитие опухоли в лёгочной ткани;
  • поиска метастазов  и области их распространения;
  • возникновения свищевого прохода между пищеводом и трахеей;
  • диагностики и контроля течения пневмонии, туберкулёза, рака;
  • паразитарные заболевания легких;
  • навязчивый затяжной кашель;
  • постоянная субфебрильная температура;
  • острые боли за грудиной;
  • кашель с отделяемым, кровохаркание;
  • цианотичность губ;
  • лихорадка;
  • постоянная слабость и повышенная утомляемость;
  • дискомфорт за грудиной;
  • положительная реакция на пробу Манту, диаскинтест;
  • постоянная одышка.
  • постоянный непродуктивный кашель;
  • надсадный кашель с выделением мокроты с кровью или гноем;
  • появление беспричинной осиплости в голосе;
  • появление болезненных ощущений в области груди, усиливающихся во время вдоха;
  • появление одышки, свистящих звуков при дыхании;
  • беспричинное снижение массы тела;
  • повышение температуры тела до субфебрильных значений;
  • увеличение находящихся под ключицами лимфатических узлов;
  • повышенная утомляемость, непереносимость физических нагрузок;
  • затруднение проглатывания пищи.

Подготовка к КТ легких с контрастом

Свернуть/развернуть

Компьютерная томография легких является быстрой неинвазивной безболезненной процедурой. С учетом применения контраста нужна небольшая предварительная подготовка. 

Важно принести с собой все документы, касающиеся зоны исследования. В перечень документов входит:

  • Направление лечащего врача;
  • Выписка из истории болезни или амбулаторной карты;
  • Рентгеновские снимки, CD/DVD диски предыдущих КТ-исследований легких;
  • Заключения специалистов.

Для введения контрастного вещества нужно оценить выделительную функцию почек, поэтому необходимо предоставить результат анализа крови на уровень креатинина (показатель, отражающий функцию почек). Анализ выполняется в течение 14 дней до даты исследования. 

Пациентам, принимающим по поводу сахарного диабета Метформин (Глюкофаж), необходимо, по согласованию с эндокринологом, прекратить прием данного препарата за 48 часов до исследования с контрастированием и на 48 часов после введения контраста.

Контрастный препарат вводится внутривенно через предварительно установленный в локтевую вену венозный катетер. При введении контраста можно почувствовать теплоту и неприятный привкус во рту, эти ощущения проходят через 1-2 минуты.

При проведении мультиспиральной КТ с внутривенным болюсным контрастированием кормящим женщинам, необходимо на 24-48 часов после процедуры с введением контраста прервать грудное вскармливание, предварительно сделав запас грудного молока, при этом молоко сцеживать из груди и выливать.

Пациент располагается лежа на специальном столе, который двигается в раме томографа. По сравнению с МРТ отверстие томографа широкое, вокруг пространство полностью открытое и свободное. 

От пациента требуется сохранять неподвижность в течение короткого времени. Длительность сканирования без контрастирования составляет не более 1 минуты, при введении контрастного препарата – около 10 минут. Во время исследования пациент не испытывает дискомфорта или болезненных ощущений. 

Врач находится в соседнем помещении, наблюдает за пациентом через окно, общение происходит через переговорное устройство, вмонтированное в аппарат. В определенный момент врач просит пациента задержать дыхание. Это необходимо для того, чтобы исключить нерезкость изображений при дыхательных движениях.

Противопоказания для проведения КТ легких с контрастом

Свернуть/развернуть

КТ легких не рекомендуется выполнять беременным женщинам из-за вредного воздействия на плод рентгеновского излучения. Поэтому женщины обязательно должны сообщить врачу о наличии у них возможной беременности. 

Кроме того технически невозможно выполнить КТ легких из-за веса пациента, превышающего 120 кг, так как подвижная часть томографа не рассчитана на такой вес. 

При необходимости проведения КТ легких с внутривенным болюсным контрастированием пациент может иметь противопоказания для введения контрастного препарата. К ним относятся:

  • аллергическая реакция на йодсодержащий контрастный препарат в анамнезе; 
  • заболевания почек со снижением их функции;
  • сердечная недостаточность;
  • заболевания щитовидной железы;
  • тяжелое течение бронхиальной астмы;
  • декомпенсированный сахарный диабет.

Что показывает КТ легких с контрастом

Свернуть/развернуть
  • осложнения после коронавирусной инфекции;
  • все виды воспалительных заболеваний
  • легочную форму туберкулеза, определить размеры и расположение туберкулом, оценить динамику течения заболевания на фоне лечения;
  • туберкулезных очагов и инфильтратов, каверн;
  • заболевания плевры, наличие плеврального выпота, его объем, хронический плеврит с периодическими обострениями;;
  • врожденные аномалии;
  • патологию легочных сосудов (аневризмe, эмболии.);
  • эмфизему легких;
  • инородные тела;
  • новообразования;
  • фистула между трахеей и пищеводом;
  • диафрагмальные грыжи;
  • травмы грудной клетки;
  • дивертикулы пищевода, расширение его просвета;
  • патология сосудов, тромбозы;
  • врождённые пороки сердца;

Запишитесь на КТ легких с контрастом по удобному адресу

Записаться
Фильтр по услугам КТ с контрастом

Введение контраста

С контрастом Без контраста

Станция метро

Площадь Восстания Проспект Просвещения Нарвская Рыбацкое Девяткино Гражданский проспект Академическая Политехническая Площадь Мужества Лесная Выборгская Площадь Ленина Чернышевская Владимирская Пушкинская Технологический институт Балтийская Кировский завод Автово Ленинский проспект Проспект Ветеранов Парнас Озерки Удельная Пионерская Чёрная речка Петроградская Горьковская Невский проспект Сенная площадь Фрунзенская Московские ворота Электросила Парк Победы Московская Звёздная Купчино Беговая Зенит Приморская Василеостровская Гостиный двор Маяковская Площадь Александра Невского Елизаровская Ломоносовская Пролетарская Обухово Спасская Достоевская Лиговский проспект Площадь Александра Невского Новочеркасская Ладожская Проспект Большевиков Улица Дыбенко Комендантский проспект Старая Деревня Крестовский остров Чкаловская Спортивная Адмиралтейская Садовая Звенигородская Обводный канал Волковская Бухарестская Международная Проспект Славы Дунайская Шушары Богатырская Каменка Театральная Горный институт Путиловская Юго-Западная Кудрово Шуваловский проспект Каретная Боровая Заставская Броневая

Возраст пациента

Взрослому Ребенку от 15 лет

Пол пациента

Мужчине Женщине

Программы страхования

ДМС Платно ОМС

Цены

Услуги, соответствующие запросу, не найдены.

КТ головного мозга с контрастом
руб
От 6 400 руб
КТ околоносовых пазух с контрастом
руб
От 6 400 руб
КТ орбит с контрастом
руб
От 6 400 руб
КТ носоглотки с контрастом
руб
От 6 400 руб
КТ щитовидной железы с контрастом
руб
От 6 400 руб
КТ лимфатических узлов с контрастом
руб
От 6 400 руб
КТ гортани с контрастом
руб
От 6 400 руб
КТ шеи с контрастом
руб
От 6 600 руб
КТ легких с контрастом
руб
От 6 400 руб
КТ почек с контрастом
руб
От 6 400 руб
КТ печени с контрастом
руб
От 6 400 руб
КТ селезенки с контрастом
руб
От 6 400 руб
КТ поджелудочной железы с контрастом
руб
От 6 400 руб
КТ надпочечников с контрастом
руб
От 6 400 руб
КТ мочевого пузыря с контрастом
руб
От 6 400 руб
КТ одной анатомической зоны с контрастом
руб
От 6 400 руб
КТ брюшной полости и забрюшинного пространства с контрастом
руб
От 6 400 руб
КТ таза с контрастом
руб
От 6 400 руб
КТ верхней конечности с контрастом
руб
От 6 400 руб
КТ нижних конечностей с контрастом
руб
От 7 500 руб
от бифуркации аорты до коленного сустава
руб
От 7 500 руб
от бифуркации аорты до стопы
руб
От 9 500 руб
Контраст 100 мл (до 100 кг)
руб
3 500 руб
Контраст 150 мл (от 100 кг до 120 кг)
руб
4 500 руб

Адреса диагностических центров "Доступная Медицина"

Преимущества наших диагностических центров

Доступные цены

Приемлемые цены
на все услуги

Качественный сервис

Контроль качества
оказываемых услуг

Лучшие специалисты

Высококвалифицированные врачи

Новейшее оборудование

Современные томографы с высочайшим качеством визуализации

Близость к метро

Мы находимся в непосредственной близости от метро и остановок общественного транспорта

Лицензии

Современные томографы с высочайшим качеством визуализации

Назад
Вперед
Ключникова Екатерина Игоревна
Информация проверена главным врачом клиники Domedica24
Ключникова Екатерина Игоревна
Стаж более 8 лет, главный врач, врач-рентгенолог 1 категории
Площадь Стачек, 9">
ул. 1-я Советская, 8">