Назад МРТ мочевого пузыря с контрастом в СПБ

от
10 800
/
По акции в Рыбацком
9 400
руб
Записаться на прием
от 10 800 руб
По акции в Рыбацком
9 400 руб
Записаться
  • Срок получения результата В течение 24 часов
  • Ограничения по весу 120 кг
Описание

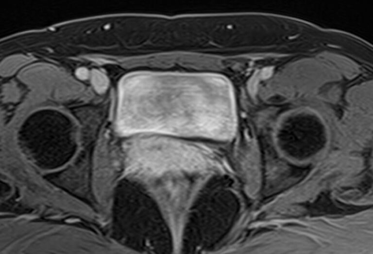
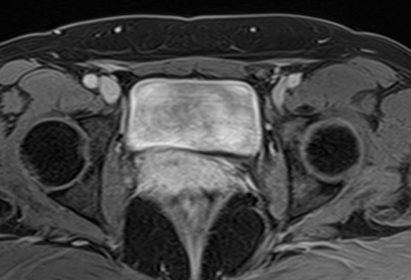
Мочевой пузырь представляет собой полый мышечный орган, расположенный в полости малого таза и окруженный с трех сторон брюшиной. В непосредственной близости от мочевого пузыря располагаются внутренние половые органы (матка и яичники – у женщин, предстательная железа и семенные протоки – у мужчин), прямая кишка, сосуды, нервы, лимфатические узлы, жировая клетчатка.  

Различные заболевания мочевого пузыря могут проявляться сходными симптомами: боли внизу живота, дизурические явления (частое, болезненное мочеиспускание, рези при выделении мочи), повышенное выделение мочи в ночное время (никтурия), эпизоды задержки мочи, появление в моче примесей крови, гноя, слизи, изменения в анализах мочи.  

МРТ мочевого пузыря позволяет найти причины возникновения вышеперечисленных симптомов, выявить патологические изменения в мочевом пузыре, окружающих органах и тканях, поставить точный и достоверный диагноз. Процедура безболезненна и при отсутствии противопоказаний безопасна. Метод МРТ не предусматривает использование вредного рентгеновского излучения, поэтому может проводиться неоднократно в течение короткого периода времени, что, например, бывает важно для оценки эффективности лечения. 

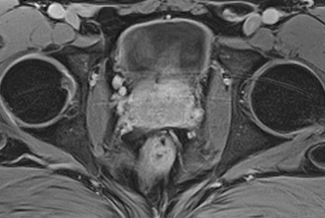
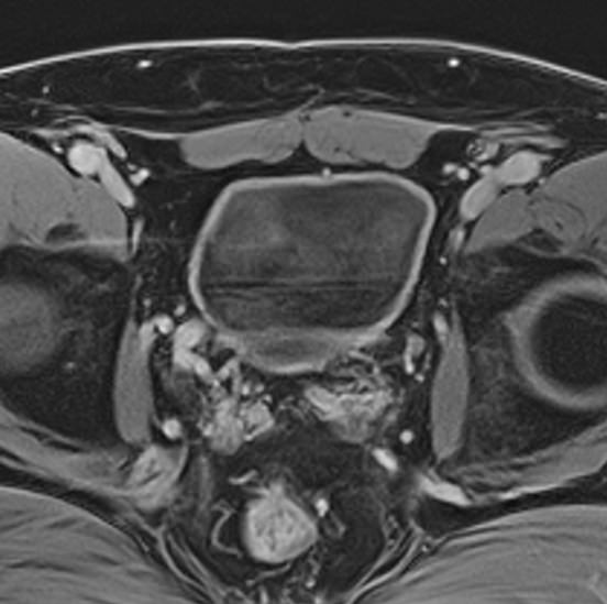
Но несмотря на высокую диагностическую ценность магнитно-резонансной томографии, в некоторых случаях для улучшения визуализации патологических очагов дополнительно применяется контрастное усиление. В частности, при подозрении на опухолевые образования мочевого пузыря (как первичные, так и метастатического происхождения) требуется внутривенное введение контраста.

Для контрастирования применяются контрастные препараты, содержащие соли парамагнетика гадолиния (Омнискан, Магневист, Гадовист и др). Контрастное вещество попадает в кровоток, что позволяет оценить степень васкуляризации тканей и выявить очаги поражения, в первую очередь, опухолевых новообразований, причем на самых ранних стадиях развития.

Показания для выполнения МРТ мочевого пузыря с контрастом

Свернуть/развернуть

Проведение МРТ с контрастированием, в первую очередь, применяется в онкодиагностике. Метод позволяет детально визуализировать опухоль, ее локализацию, размеры, степень прорастания в окружающие ткани, оценить стадию развития. Кроме того, МРТ незаменима в сложных диагностических случаях, при получении неоднозначных противоречивых данных предыдущих обследований. 

Поэтому МРТ мочевого пузыря с контрастным усилением показано при:

  • подозрении на развитие злокачественного новообразования мочевого пузыря, которое может являться первичной опухолью или метастазами из других очагов;
  • необходимости проведения дифференциальной диагностики доброкачественных и злокачественных опухолей мочевого пузыря и окружающих тканей в случае обнаружения объемного образования неуточненного характера;
  • при необходимости контроля за развитием заболевания пациентам с установленным диагнозом, а также для оценки эффективности назначенного лечения;
  • при планировании хирургического вмешательства, для оценки результатов операции и выявления осложнений в послеоперационном периоде.

Как нужно подготовиться к МРТ мочевого пузыря с контрастом

Свернуть/развернуть

Чтобы получить качественные результаты необходимо заранее подготовиться к исследованию. 

За три дня до исследования мы рекомендуем исключить из рациона пищу, повышающую газообразование (сладкое, мучное, жирное, бобовые, газированные напитки, капусту) и принимать «Эспумизан» по 2 капсулы 3 раза в день (если есть проблемы с газообразованием!). В день исследования «Эспумизан» принимать не нужно. 

За 3-4 часа до исследования необходимо отказаться от приема пищи.

За 30-40 минут до исследования необходимо выпить 2 таблетки «Но-шпы» для снижения перистальтики кишечника. 

Данное исследование проводится с наполненным мочевым пузырем. Для этого примерно за 1 час до процедуры нужно выпить 0,5 — 1 литр воды и не мочиться до окончания исследования.

Необходимо принести с собой медицинскую документацию, относящуюся к зоне исследования:

  • направление от лечащего врача;
  • выписки из амбулаторных карт и стационаров;
  • результаты предыдущих исследований (МР-снимки, СD/DVD диски, снимки КТ).

Перед началом процедуры необходимо снять с себя все металлические предметы, включая украшения, пирсинг, а также одежду с металлическими элементами. Также следует убрать все электронные устройства: смартфоны, часы, планшеты, слуховые аппараты. 

При наличии немагнитных пластин или протезов, изготовленных из пара- и диамагнетиков (например, титан, алюминий), необходимо предупредить об этом врача-рентгенолога и предоставить справку из учреждения, в котором они были установлены. Кроме материала еще учитывается расположение изделия по отношению к исследуемой области. Если зона сканирования находится вблизи имплантата, это может вызвать искажение результата. В каждом конкретном случае врач определит возможность проведения исследования или предложит другой способ визуализации.

Если планируется применение контраста пациенту с подозрением на почечную недостаточность, необходимо выполнить исследование уровня креатинина крови не позднее, чем за 14 дней до проведения МРТ. 

Для введения контраста в локтевую вену предварительно устанавливается венозный катетер. В определенный момент во время исследования контраст вводится в вену при помощи дозирующего устройства. Поступление контраста в кровоток может сопровождаться в течение нескольких минут ощущением теплоты или холода во всем теле, появлением неприятного привкуса во рту, в дальнейшем этот дискомфорт полностью исчезает. 

Так как контраст выводится из организма не менее, чем за сутки, кормящим матерям следует прервать грудное вскармливание после исследования на 24-48 часов, молоко после сцеживания выливать.

При проведении обследования необходимо сохранять неподвижность для получения качественных изображений исследуемой области. Томограф издает шум во время своей работы, поэтому для уменьшения дискомфорта пациенту надевают наушники. С медперсоналом можно общаться через переговорное устройство. Для вызова медработника есть специальная сигнальная груша.

Противопоказания к МРТ мочевого пузыря

Свернуть/развернуть
  • Противопоказанием является наличие в теле имплантированных электронных устройств (кардиостимуляторов, нейростимуляторов, имплантатов внутреннего уха, инсулиновых помп).
  • Наличие протезов или медицинских конструкций, изготовленных из ферромагнитных материалов, например, ортодонтические металлоконструкции, брекет-системы, пластины, сосудистые скобы, клипсы на сосудах головного мозга (клипирование аневризмы), искусственные клапаны сердца.
  • Имеющиеся металлические инородные предметы в теле являются противопоказанием для МРТ (это может быть металлическая стружка, осколки, пули, неснимаемый пирсинг), также татуировки с использованием металлизированных красок.
  • В первом триместре беременности нежелательно проводить МРТ, чтобы исключить любое неблагоприятное воздействие на развивающиеся органы плода. 
  • Невозможно выполнить МРТ пациентам с массой тела свыше 120 кг (ограничение по весу подвижного стола томографа).
  • Боязнь закрытых пространств (клаустрофобия).

Противопоказания для введения контраста

  • Введение контраста противопоказано на любом сроке беременности.
  • Аллергические реакции на контрастное вещество на основе гадолиния.
  • Нарушение функции почек (снижение скорости клубочковой фильтрации, повышение уровня креатинина) является противопоказанием для внутривенного введения контраста на основе гадолиния.

Запишитесь на МРТ мочевого пузыря с контрастом по удобному адресу

Записаться
Фильтр по услугам МРТ с контрастом

Введение контраста

С контрастом Без контраста

Станция метро

Площадь Восстания Нарвская Проспект Просвещения Рыбацкое Девяткино Гражданский проспект Академическая Политехническая Площадь Мужества Лесная Выборгская Площадь Ленина Чернышевская Владимирская Пушкинская Технологический институт Балтийская Кировский завод Автово Ленинский проспект Проспект Ветеранов Парнас Озерки Удельная Пионерская Чёрная речка Петроградская Горьковская Невский проспект Сенная площадь Фрунзенская Московские ворота Электросила Парк Победы Московская Звёздная Купчино Беговая Зенит Приморская Василеостровская Гостиный двор Маяковская Площадь Александра Невского Елизаровская Ломоносовская Пролетарская Обухово Спасская Достоевская Лиговский проспект Площадь Александра Невского Новочеркасская Ладожская Проспект Большевиков Улица Дыбенко Комендантский проспект Старая Деревня Крестовский остров Чкаловская Спортивная Адмиралтейская Садовая Звенигородская Обводный канал Волковская Бухарестская Международная Проспект Славы Дунайская Шушары Богатырская Каменка Театральная Горный институт Путиловская Юго-Западная Кудрово Шуваловский проспект Каретная Боровая Заставская Броневая

Возраст пациента

Взрослому Ребенку от 15 лет

Пол пациента

Мужчине Женщине

Тип аппарата

Открытый Закрытый

Мощность МРТ

1.5 Тл 3 Тесла

Программы страхования

ДМС Платно ОМС

Цены

Услуги, соответствующие запросу, не найдены.

МРТ головного мозга с контрастом
руб
От 7 600 / 6 200 руб
Подробнее
МРТ пазух носа с контрастом
руб
От 7 600 / 6 200 руб
Подробнее
МРТ гипофиза с контрастом
руб
От 7 600 / 6 200 руб
Подробнее
МРТ позвоночника с контрастом
руб
От 7 600 / 6 200 руб
Подробнее
МРТ брюшной полости с контрастом
руб
От 8 900 руб
МРТ печени с контрастом
руб
От 8 900 руб
МРТ почек с контрастом
руб
От 8 900 руб
МРТ малого таза с контрастом
руб
От 10 800 / 9 400 руб
Подробнее
МРТ мочевого пузыря с контрастом
руб
От 10 800 / 9 400 руб
Подробнее
МРТ простаты с контрастом (предстательной железы)
руб
От 10 800 / 9 400 руб
Подробнее
МРТ с контрастом при массе тела до 69 кг
руб
3 000 руб
МРТ с контрастом при массе тела от 70 до 99 кг
руб
3 700 руб
МРТ с контрастом при массе тела от 100 до 120 кг
руб
4 800 руб
МРТ молочных желез (МР – маммография), в том числе оценка целостности имплантов при их наличии (выполняется с внутривенным контрастированием):
руб
- при весе до 89 кг
руб
11 200 руб
- при весе от 90 кг
руб
12 300 руб

Адреса диагностических центров "Доступная Медицина"

Преимущества наших диагностических центров

Доступные цены

Приемлемые цены
на все услуги

Качественный сервис

Контроль качества
оказываемых услуг

Лучшие специалисты

Высококвалифицированные врачи

Новейшее оборудование

Современные томографы с высочайшим качеством визуализации

Близость к метро

Мы находимся в непосредственной близости от метро и остановок общественного транспорта

Лицензии

Современные томографы с высочайшим качеством визуализации

Назад
Вперед
Ключникова Екатерина Игоревна
Информация проверена главным врачом клиники Domedica24
Ключникова Екатерина Игоревна
Стаж более 8 лет, главный врач, врач-рентгенолог 1 категории
Площадь Стачек, 9">
ул. 1-я Советская, 8">