Назад МРТ плечевого сустава в СПБ

5 300
/
По акции в Рыбацком
3 900
руб
Записаться на прием
5 300 руб
По акции в Рыбацком
3 900 руб
Записаться
  • Длительность выполнения 30 минут
  • Срок получения результата В течение дня
  • Ограничения по весу 120 кг
  • Ограничения по возрасту От 15 лет
  • Введение контраста Нет
Описание

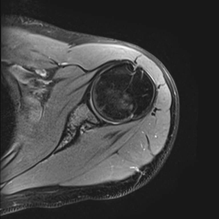
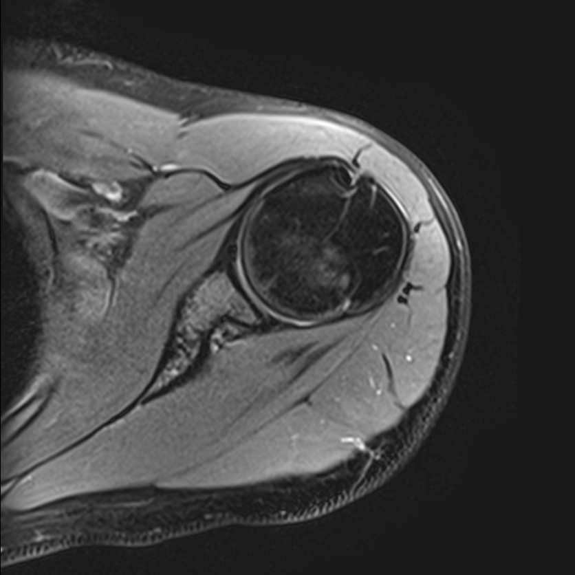
Плечевой сустав является наиболее подвижным сочленением, которое образовано лопаткой и головкой плечевой кости. У сустава нет мощных связок, он укрепляется мышцами плечевого пояса, окружающими его по типу корсета. Суставную капсулу образуют короткие связки, расположенные вокруг сустава. Благодаря такому строению сустав отличается высокой подвижностью, но при этом склонностью к вывихам. Полость сустава заполнена синовиальной жидкостью, питающей хрящи и служащей смазкой для них. 

Метод МРТ позволяет оценить состояние всех анатомических областей плечевого сустава,  включая костную структуру, суставную капсулу, полость сустава с выстилающей его синовиальной оболочкой, связки, сухожилия, мышцы и окружающие мягкие ткани. 

В клинике «Доступная медицина» исследование проводится на современном высокопольном томографе закрытого типа TOSHIBA VANTAGE TITAN 1,5 Тесла с превосходной  разрешающей способностью, которая обеспечивается высокой индукцией магнитного поля. Аппарат выполняет сканирование послойно в различных плоскостях и на основе этого создает 3D-изображения с высочайшей точностью и достоверностью, что позволяет эффективно ставить диагноз и назначать необходимое лечение. 

Стандартная МРТ плечевого сустава не предусматривает использование контраста. В некоторых случаях для более точной визуализации патологических очагов, особенно для выявления опухолей или метастазов, может применяться контрастное усиление. Для этого внутривенно вводится контрастное вещество, в составе которого имеется металл гадолиний. Контраст избирательно накапливается в очагах поражения и обусловливает их яркое свечение под влиянием магнитного поля томографа.

Показания к МРТ плечевого сустава

Свернуть/развернуть

Магнитно-резонансную томографию применяют в травматологии, ортопедии, ревматологии и онкологии. Исследование назначают в следующих ситуациях:

  • сомнительные результаты рутинной диагностики (рентгенографии и УЗИ);
  • несоответствие клинической картины установленному диагнозу;
  • симптомы патологии сустава (боль, хруст, скованность движений и пр.) неясного генеза;
  • комплексная диагностика травм;
  • контроль развития дегенеративно-дистрофических заболеваний сочленения;
  • признаки инфекционно-воспалительного процесса в суставе (локальное покраснение, отек, инфильтрация тканей и повышение температуры тела);
  • подготовка к хирургическому вмешательству;
  • контроль эффективности терапии.
  • при подозрении на перелом, вывих,растяжение связок и сухожилий;
  • при наличии воспалительных процессов;
  • при подозрении на опухоли в костных и мягких тканях плеча;
  • при болевом синдроме неустановленного характера.

При подозрении на воспалительные, опухолевые процессы и васкулярные патологии томографию проводят с контрастным усилением.

Какие патологии можно выявить при проведении МРТ плечевого сустава

Свернуть/развернуть

Магнитно-резонансная томография позволяет выявлять следующие заболевания плечевого сустава:

  • Дегенеративно-дистрофические заболевания, в частности деформирующий остеоартроз, при котором происходит истончение хряща на фоне нарушения его питания. В результате развивается дисфункция сустава и деформация костных структур.
  • Воспалительные заболевания с поражением как самого сустава (артрит), так и окружающих мягких тканей (синовит, бурсит, тендовагинит).
  • Развитие в области плечевого сустава как доброкачественных, так и злокачественных новообразований. Поражение сустава может быть первичной опухолью, исходящей из костной ткани или мягких тканей, либо за счет метастазирования из отдаленных очагов.
  • Травмы плечевого сустава, различные переломы, при этом наиболее часто встречаются вывихи, что обусловлено анатомией сустава. Нередко травмы сустава с разрывом связок и сухожилий ведут в дальнейшем к развитию нестабильности плечевого сустава и могут стать причиной формирования привычных вывихов.

Как нужно подготовиться к МРТ плечевого сустава

Свернуть/развернуть

Исследование проводится без предварительной подготовки.

Необходимо принести с собой медицинскую документацию, относящуюся к зоне исследования:

  • направление от лечащего врача;
  • выписки из амбулаторных карт и стационаров;
  • результаты предыдущих исследований (МР-снимки, СD/DVD диски, снимки КТ).

В случае наличия в теле медицинских изделий, изготовленных из материалов, которые не препятствуют проведению МРТ, нужно предоставить справку об этом из учреждения, где оно было установлено. При этом, если локализация протеза не будет мешать визуализации исследуемой области, врач-рентгенолог примет решение о возможности проведения МРТ.

Если исследование будет проводиться с контрастным усилением, тогда при подозрении на почечную недостаточность необходимо предоставить биохимический анализ крови с уровнем креатинина (давностью не более 14 дней). 

Контраст вводится внутривенно через предварительно установленный катетер с помощью специального устройства (инжектора), которое регулирует скорость введения и объем раствора. Контраст поступает в вену в определенный момент во время исследования и может сопровождаться появлением кратковременного чувства тепла или холода в теле, металлического привкуса во рту, но эти ощущения быстро исчезают. 

Контраст выводится из организма в течение суток после введения преимущественно почками. Кормящим женщинам нужно прервать грудное вскармливание на 24-48 часов после процедуры с контрастированием, в это время проводить сцеживание молока.

Непосредственно перед процедурой нужно снять все электронные устройства и металлические предметы, в том числе украшения, пирсинг, одежду с металлическими элементами. 

Во время исследования необходимо лежать неподвижно, чтобы получить качественные изображения зоны обследования. В случае волнения и тревожности можно принять успокоительное средство, также допускается присутствие сопровождающего. Громкий шум, который издает томограф во время своей работы, может доставлять дискомфорт, поэтому рекомендуется надевать наушники или использовать беруши.

Медицинские работники находятся в смежном кабинете за стеклянной перегородкой. В руке пациента в течение всего времени исследования будет находиться сигнальное устройство в виде груши для вызова медперсонала.

Какие причины могут препятствовать проведению МРТ плечевого сустава

Свернуть/развернуть

Метод МРТ отличается своей безопасностью, однако имеются следующие противопоказания для проведения данного исследования:

  • Наличие у пациента имплантированных электронных аппаратов, способных выйти из строя при взаимодействии с магнитным полем томографа. Сюда относятся кардиостимуляторы, нейростимуляторы, дефибрилляторы, слуховые имплантаты, инсулиновые помпы.
  • В теле пациента имеются ферромагнитные (то есть содержащие железо и способные намагничиваться) металлические протезы, скобы, спицы, штифты. Также это касается неизвлеченных ранее осколков, пуль, дроби, металлической стружки, татуировок с использованием металлосодержащих красок. 
  • Беременным женщинам в I триместре не рекомендуется проводить МРТ из-за риска воздействия индукции магнитного поля на формирующийся плод.
  • Наличие у пациента клаустрофобии является препятствием для выполнения МРТ, так как имеется риск развития панической атаки во время пребывания его внутри томографа. 
  • Если вес пациента превышает 120 кг, что обусловлено техническими характеристиками аппарата.

 

Также имеются противопоказания для введения контраста:

  • наличие у пациента хронической почечной недостаточности;
  • беременность на любом сроке;
  • если у пациента ранее наблюдались аллергические реакции на контрастное вещество. 

При имеющихся противопоказаниях для проведения МРТ в клинике «Доступная медицина» выполняется КТ плечевого сустава на современном компьютерном томографе экспертного класса с пониженной лучевой нагрузкой.

Запишитесь на МРТ плечевого сустава по удобному адресу

Записаться
Фильтр по услугам МРТ суставов

Введение контраста

С контрастом Без контраста

Станция метро

Площадь Восстания Нарвская Проспект Просвещения Рыбацкое Девяткино Гражданский проспект Академическая Политехническая Площадь Мужества Лесная Выборгская Площадь Ленина Чернышевская Владимирская Пушкинская Технологический институт Балтийская Кировский завод Автово Ленинский проспект Проспект Ветеранов Парнас Озерки Удельная Пионерская Чёрная речка Петроградская Горьковская Невский проспект Сенная площадь Фрунзенская Московские ворота Электросила Парк Победы Московская Звёздная Купчино Беговая Зенит Приморская Василеостровская Гостиный двор Маяковская Площадь Александра Невского Елизаровская Ломоносовская Пролетарская Обухово Спасская Достоевская Лиговский проспект Площадь Александра Невского Новочеркасская Ладожская Проспект Большевиков Улица Дыбенко Комендантский проспект Старая Деревня Крестовский остров Чкаловская Спортивная Адмиралтейская Садовая Звенигородская Обводный канал Волковская Бухарестская Международная Проспект Славы Дунайская Шушары Богатырская Каменка Театральная Горный институт Путиловская Юго-Западная Кудрово Шуваловский проспект Каретная Боровая Заставская Броневая

Возраст пациента

Взрослому Ребенку от 15 лет

Пол пациента

Мужчине Женщине

Тип аппарата

Открытый Закрытый

Мощность МРТ

1.5 Тл 3 Тесла

Программы страхования

ДМС Платно ОМС

Цены

Услуги, соответствующие запросу, не найдены.

МРТ крестцово-подвздошных суставов
руб
4 600 / 3 200 руб
Подробнее
МРТ височно-нижнечелюстных суставов (1 положение)
руб
4 200 руб
МРТ височно-нижнечелюстных суставов (ВНЧС) открытый рот/закрытый рот
руб
6 200 руб
МРТ височно-нижнечелюстных суставов (ВНЧС) открытый рот/закрытый рот с капой (капа выдается лечащим врачом)
руб
6 200 руб
МРТ височно-нижнечелюстных суставов (ВНЧС) открытый рот/закрытый рот/закрытый рот с регистратором прикуса (регистратор выдается лечащим врачом)
руб
8 200 руб
МРТ плечевого сустава
руб
5 300 / 3 900 руб
Подробнее
МРТ локтевого сустава
руб
5 300 / 3 900 руб
Подробнее
МРТ лучезапястного сустава
руб
5 300 / 3 900 руб
Подробнее
МРТ кисти
руб
5 300 / 3 900 руб
Подробнее
МРТ тазобедренных суставов
руб
5 300 / 3 900 руб
Подробнее
МРТ тазобедренного сустава расширенное (1 сустав) *Акция во всех филиалах
руб
5 300 руб
МРТ коленного сустава
руб
5 300 / 3 900 руб
Подробнее
МРТ голеностопного сустава
руб
5 300 / 3 900 руб
Подробнее
МРТ стопы
руб
5 300 / 3 900 руб
Подробнее
МРТ двух суставов
руб
8 600 / 7 200 руб
Подробнее

Адреса диагностических центров "Доступная Медицина"

Преимущества наших диагностических центров

Доступные цены

Приемлемые цены
на все услуги

Качественный сервис

Контроль качества
оказываемых услуг

Лучшие специалисты

Высококвалифицированные врачи

Новейшее оборудование

Современные томографы с высочайшим качеством визуализации

Близость к метро

Мы находимся в непосредственной близости от метро и остановок общественного транспорта

Лицензии

Современные томографы с высочайшим качеством визуализации

Назад
Вперед
Ключникова Екатерина Игоревна
Информация проверена главным врачом клиники Domedica24
Ключникова Екатерина Игоревна
Стаж более 8 лет, главный врач, врач-рентгенолог 1 категории
Площадь Стачек, 9">
ул. 1-я Советская, 8">