КТ паращитовидных желез в СПБ
- Срок получения результата В течение дня
Паращитовидные железы относятся к железам внутренней секреции и расположены позади щитовидной железы. Обычно их четыре – две верхние и две нижние, иногда встречается до шести желез.
Основная функция этих органов – выработка паратиреоидного гормона (паратгормона), который регулирует обмен кальция и фосфора в организме. Расстройства функции паращитовидных желез приводят к уменьшению или увеличению синтеза паратгормона, что, в свою очередь, становится причиной дисбаланса фосфора и кальция в организме и обусловливает поражение многих органов и систем (кости, почки, нервная и мышечная системы).
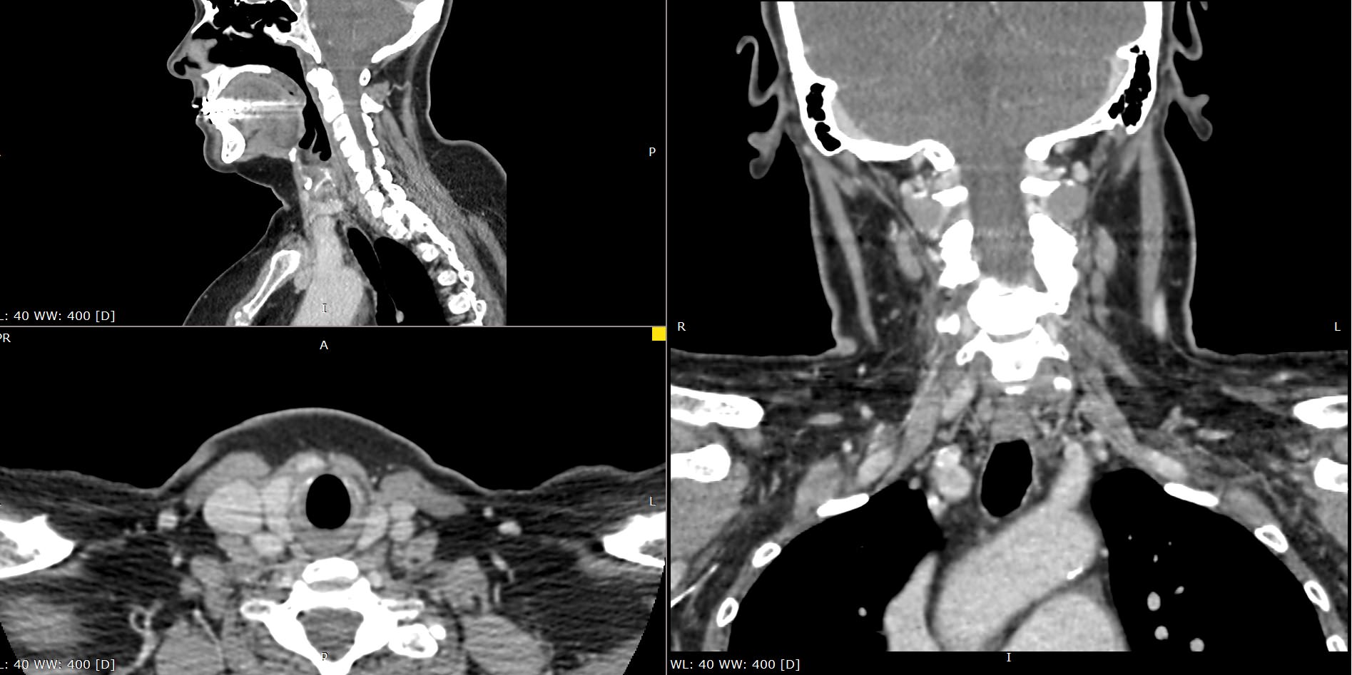
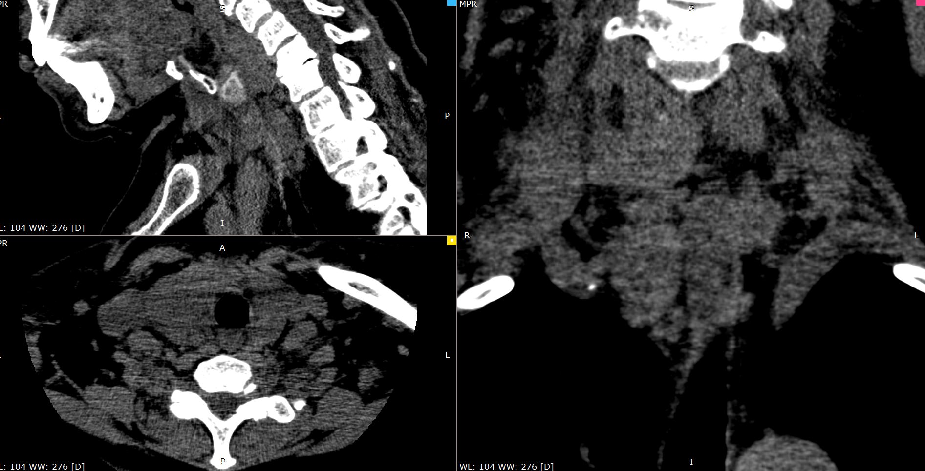
Мультиспиральная компьютерная томография позволяет точно определить размеры и расположение паращитовидных желез, в том числе при атипичном их расположении (загрудинно, в средостении), выявить опухолевые образования, оценить их структуру, степень кровоснабжения, взаимодействие с окружающими тканями.
В клинике «Доступная медицина» данное исследование выполняется по трем различным протоколам (в нативную, раннюю артериальную и позднюю венозную фазы сканирования). Это соответствует современным мировым стандартам, применяемым для наиболее точного определения характера выявленных образований, в частности, позволяет отличить злокачественные опухоли от доброкачественных.
Обследование проводится на мультиспиральном 128-срезовом томографе экспертного класса TOSHIBA AQUILION CXL. Аппарат выполняет послойное сканирование исследуемой области с толщиной среза от 0,5 мм. Увеличенное количество детекторов позволяет максимально сократить время исследования при минимальной лучевой нагрузке на пациента. При этом сканер дает детальную информацию о зоне исследования, а современные компьютерные программы преобразуют полученные данные в 3D-изображения высокого качества.
При отсутствии патологических изменений паращитовидные железы могут быть практически не видны, поэтому для их визуализации обязательно применяется контрастное усиление. Для этого пациенту внутривенно вводится йодсодержащий контрастный препарат. Контрастное вещество быстро распространяется по кровеносной системе и накапливается в патологических очагах, что хорошо видно на снимках КТ. Таким образом, контрастирование помогает выявлять опухоли на начальной стадии развития, когда лечение наиболее эффективно.
В случае наличия у пациента противопоказаний для введения йодсодержащих контрастных веществ применяется альтернативный высокоинформативный метод диагностики заболеваний паращитовидных желез – магнитно-резонансная томография. В нашей клинике МРТ мягких тканей шеи выполняется на новейшем 32-канальном высокопольном томографе экспертного уровня.
- Показания для выполнения КТ паращитовидных желез
- Что можно диагностировать при помощи КТ паращитовидных желез
- Подготовка к КТ паращитовидных желез
- Противопоказания для проведения КТ паращитовидных желез
Показания для выполнения КТ паращитовидных желез
Симптомы патологии зависят от уровня паратгормона. При гиперфункции паращитовидных желез и повышенной продукции паратгормона происходит вымывание кальция из костей и значительное повышение его показателей в крови. Причинами этого состояния, как правило, становятся опухоли паращитовидных желез.
В первую очередь появляются жалобы со стороны опорно-двигательного аппарата:
- Боли в спине и ногах при движении, ходьбе;
- Мышечная слабость, быстрая утомляемость;
- Могут возникать переломы на фоне обычной нагрузки за счет развития остеопороза;
- Повышение уровня кальция в крови.
- В результате отложения кальция в различных органах появляются признаки мочекаменной болезни, язвенная болезнь, панкреатит и др.
При гипофункции паращитовидных желез отмечается снижение уровня кальция в крови, что вызывает нарушения со стороны нервной и мышечной систем. Причинами может быть удаление паращитовидных желез во время хирургических вмешательств на шее, в результате травм, радиоактивного облучения, аутоиммунных заболеваний, аномалий развития. При данной патологии появляются следующие симптомы:
- Боли в костях;
- Судороги в руках и ногах, болезненные подергивания мышц;
- Парестезии (ползание «мурашек») кожи пальцев рук и ног, языка, губ;
- Ломкость ногтей, выпадение волос;
- Тревожность, головные боли, снижение памяти, ухудшение зрения.
КТ паращитовидных желез может проводиться в рамках предоперационной подготовки при планировании оперативного вмешательства.
Что можно диагностировать при помощи КТ паращитовидных желез
При выполнении КТ сканирования можно выявить следующие патологии паращитовидных желез:
- Гиперплазия паращитовидных желез;
- Поражения паращитовидных желез на фоне аутоиммунных заболеваний;
- Доброкачественные опухоли паращитовидных желез (аденомы);
- Злокачественные опухоли паращитовидных желез (первичные или метастазы из других опухолей);
- Аномалии развития (гипоплазия, аплазия желез);
- Повреждения паращитовидных желез на фоне травм, операций.
Подготовка к КТ паращитовидных желез
Исследование не требует специальной подготовки.
Перед проведением КТ рекомендуется принести с собой всю медицинскую документацию, которая относится к зоне исследования:
- Направление от лечащего врача;
- CD/DVD диски предыдущих КТ-исследований щитовидной железы, паращитовидных желез и средостения, результаты УЗИ или МРТ щитовидной железы и паращитовидных желез;
- Выписки из амбулаторных карт и стационаров;
- Заключения профильных специалистов.
При необходимости введения контраста необходимо не более, чем за 14 дней до исследования, сдать анализ крови на креатинин для оценки функциональной способности почек.
Так как контраст выводится преимущественно почками, при наличии почечной недостаточности контрастирование не проводится. В этом случае врач сможет предложить другой способ визуализации паращитовидных желез.
Пациентам, которые принимают по поводу сахарного диабета такие сахароснижающие препараты, как Метформин или Глюкофаж, необходимо отменить прием данных препаратов за 48 часов до исследования с контрастированием и на 48 часов после введения контраста (временную отмену данных препаратов необходимо согласовать с эндокринологом).
Контрастный препарат вводится внутривенно через установленный в периферическую вену венозный катетер с помощью автоматического устройства (инжектора). В момент введения контраста может появиться неприятный привкус во рту, ощущение тепла во всем теле, но этот дискомфорт через пару минут быстро исчезает. Контрастное вещество в течение последующих суток полностью выводится из организма преимущественно почками.
Кормящим женщинам, нуждающимся в проведении КТ паращитовидных желез с контрастированием, необходимо на 24-48 часов после процедуры с введением контраста прервать грудное вскармливание, при этом молоко сцеживать и выливать. Предварительно рекомендуется сделать для ребенка запас грудного молока.
Чтобы исключить появление нечеткости изображений на снимках, пациента попросят не двигаться в течение всей процедуры. Врач-рентгенолог во время исследования находится в соседнем помещении, разделенном с диагностическим кабинетом стеклянной перегородкой. В аппарат вмонтировано переговорное устройство, с помощью которого можно разговаривать с врачом и при необходимости вызвать медицинский персонал
Противопоказания для проведения КТ паращитовидных желез
Компьютерная томография противопоказана при беременности на любом сроке, так как рентгеновское излучение даже в малых дозах оказывает вредное воздействие на плод.
Кроме того, в нашей клинике невозможно выполнить КТ пациентам с весом более 120 кг (ограничения по весу имеет выдвижной стол томографа).
Противопоказания для введения йодсодержащего контрастного вещества:
- аллергия на йодсодержащие контрастные вещества;
- заболевания почек с резко выраженными явлениями почечной недостаточности;
- застойная сердечная недостаточность;
- заболевания щитовидной железы, сопровождающиеся явлениями гипертиреоза и тиреотоксикоза;
- при тяжелом течении бронхиальной астмы;
- в случае декомпенсированного сахарного диабета.
Запишитесь на КТ паращитовидных желез по удобному адресу
ЗаписатьсяСтанция метро
Площадь Восстания Проспект Просвещения Нарвская Рыбацкое Девяткино Гражданский проспект Академическая Политехническая Площадь Мужества Лесная Выборгская Площадь Ленина Чернышевская Владимирская Пушкинская Технологический институт Балтийская Кировский завод Автово Ленинский проспект Проспект Ветеранов Парнас Озерки Удельная Пионерская Чёрная речка Петроградская Горьковская Невский проспект Сенная площадь Фрунзенская Московские ворота Электросила Парк Победы Московская Звёздная Купчино Беговая Зенит Приморская Василеостровская Гостиный двор Маяковская Площадь Александра Невского Елизаровская Ломоносовская Пролетарская Обухово Спасская Достоевская Лиговский проспект Площадь Александра Невского Новочеркасская Ладожская Проспект Большевиков Улица Дыбенко Комендантский проспект Старая Деревня Крестовский остров Чкаловская Спортивная Адмиралтейская Садовая Звенигородская Обводный канал Волковская Бухарестская Международная Проспект Славы Дунайская Шушары Богатырская Каменка Театральная Горный институт Путиловская Юго-Западная Кудрово Шуваловский проспект Каретная Боровая Заставская БроневаяРайон
Центральный Выборгский Кировский Адмиралтейски Василеостровский Калининский Колпинский Красногвардейский Красносельски Кронштадтский Курортный Московский Невский Петроградский Петродворцовый Приморский Пушкинский ФрунзенскийГород
Санкт-Петербург Бокситогорск Бугры Волосово Волхов Всеволожск Выборг Высоцк Гатчина Ивангород Каменногорск Кингисепп Кириши Кировск Колтуши Коммунар Кудрово Лодейное Поле Луга Любань Мурино Никольское Новая Ладога Отрадное Пикалёво Подпорожье Приморск Приозерск Светогорск Сертолово Сланцы Сосновый Бор Сясьстрой Тельмана Тихвин Тосно ШлиссельбургЦены
Услуги, соответствующие запросу, не найдены.
Адреса диагностических центров "Доступная Медицина"
Преимущества наших диагностических центров
Доступные цены
Приемлемые цены
на все услуги
Качественный сервис
Контроль качества
оказываемых услуг
Лучшие специалисты
Высококвалифицированные врачи
Новейшее оборудование
Современные томографы с высочайшим качеством визуализации
Близость к метро
Мы находимся в непосредственной близости от метро и остановок общественного транспорта
Наше оборудование
КТ-СПЕЦИАЛИСТЫ
Лицензии
Современные томографы с высочайшим качеством визуализации
Статьи наших врачей