Назад Функциональные исследования позвоночника в СПб

Цена:
3 200 руб
Записаться
  • Длительность выполнения 15 минут
Описание

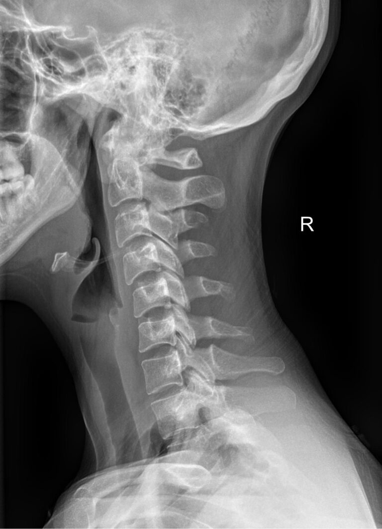
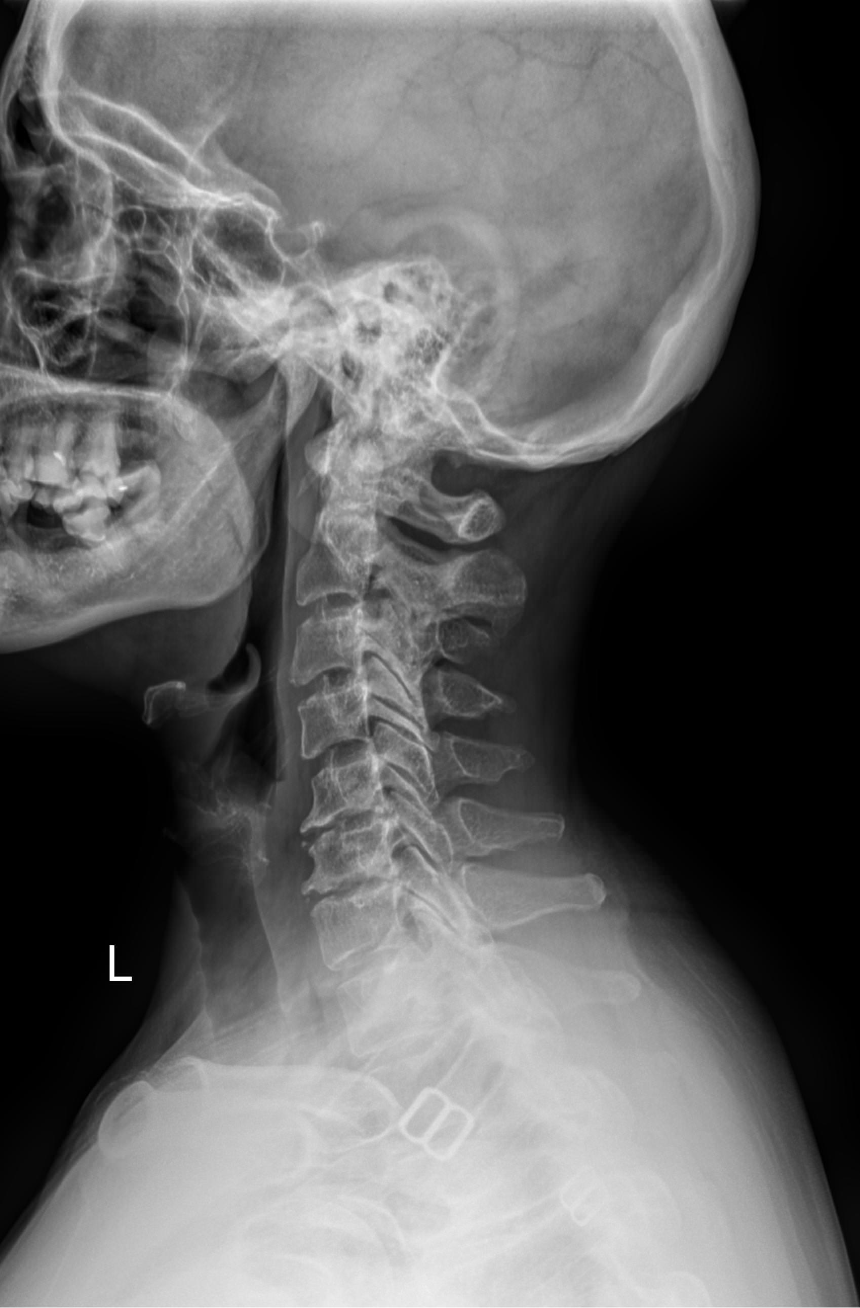
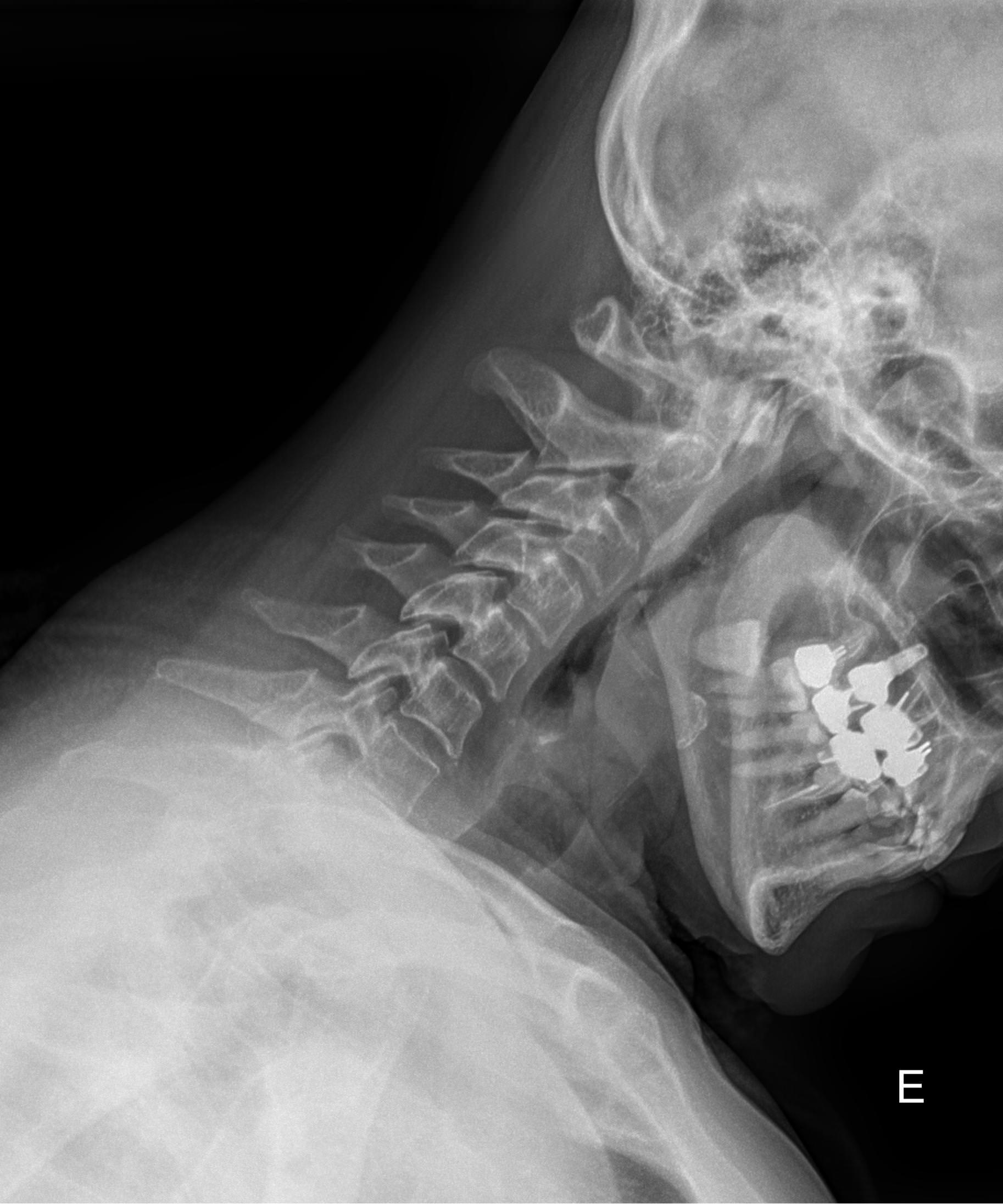
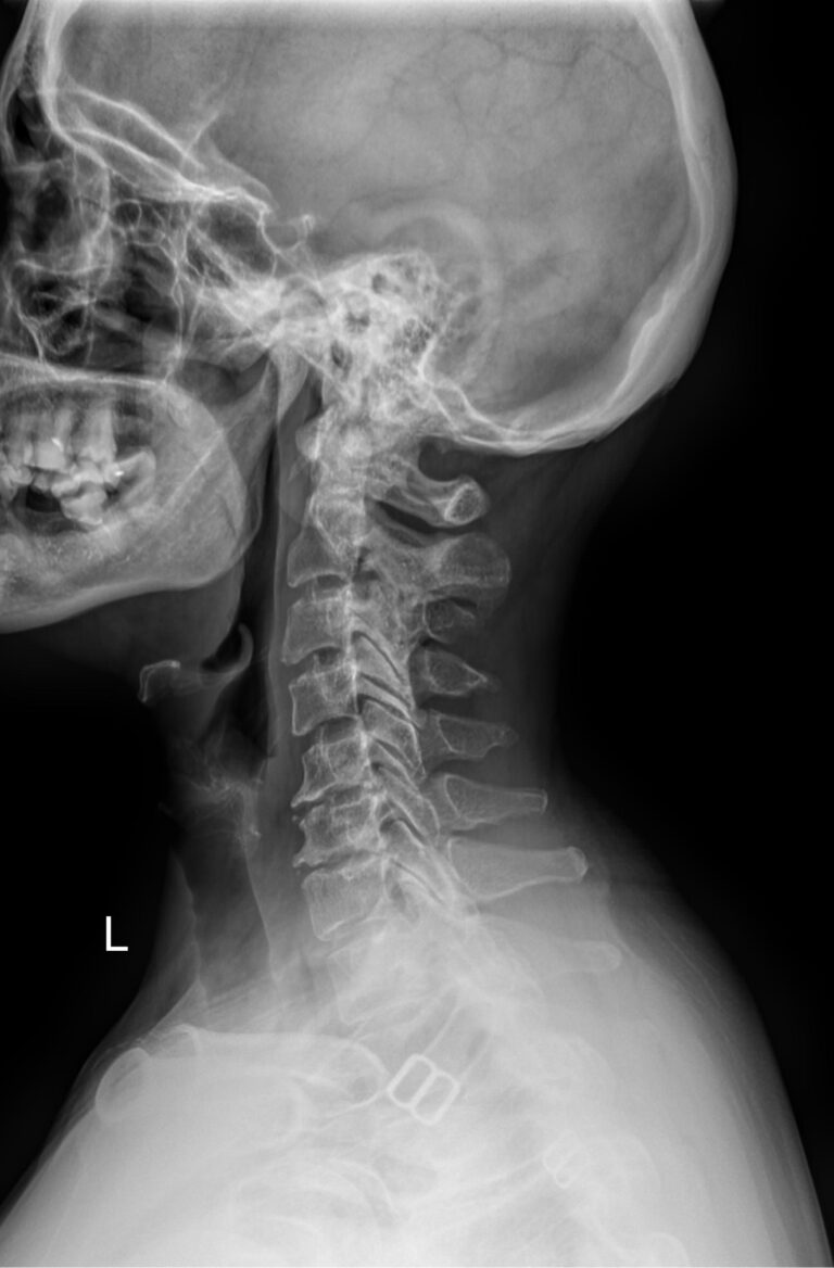
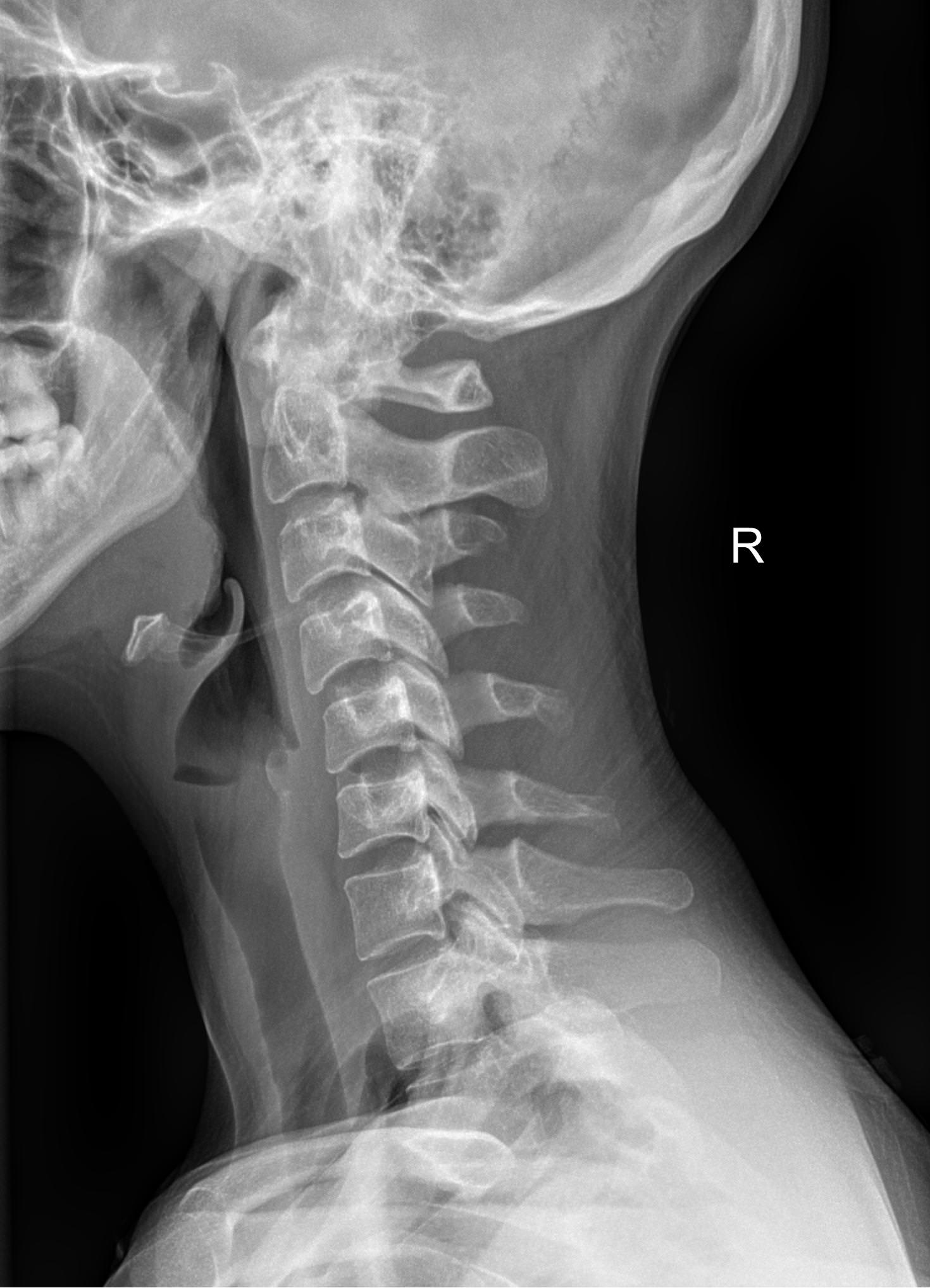
Шейный отдел ― самый подвижный участок позвоночного столба. Определенная мобильность здесь необходима человеку для привычной жизнедеятельности, так как позволяет совершать наклоны и повороты головы. При чрезмерной подвижности есть риск компрессии проходящих внутри позвонков спинного мозга и сосудов.

Функциональные исследования помогают выявить гипермобильность шейных позвонков или функциональный блок. Часто пробы позволяют определить начало остеохондроза, признаки которого на снимках в прямой и боковой проекции еще не заметны.

Кому назначают функциональные исследования шейного отдела позвоночника?

Свернуть/развернуть

Невролог или травматолог-ортопед могут заподозрить гипермобильность или остеохондроз у пациента со следующими симптомами:

  • Боль в шее;
  • Неприятные ощущения, хруст при поворотах и наклонах;
  • Головная боль, головокружения;
  • Онемение, слабость, похолодание рук;
  • Нарушение зрения ― вспышки, пятна, туман перед глазами.

Яркие симптомы возникают при неловком движении и обычно служат поводом для обращения к врачу. Но иногда смазанные, несильные ощущения становятся привычными, на них не обращают внимание. Со временем к ним присоединяются проблемы со сном и трудности с концентрацией внимания.

Что покажет функциональная рентгенография шейного отдела позвоночника?

Свернуть/развернуть
  • Сохранение или сглаживание естественного лордоза в нейтральном положении, то есть на первом снимке;
  • Смещение вперед или назад каждого позвонка по отношению к нижележащим при сгибании и разгибании;
  • Деформацию передней стенки позвоночного канала из-за смещения позвонков;
  • Сужения, расширения или отсутствие изменений межпозвоночных пространств;
  • Изменения формы тел позвонков, наличие остеофитов;
  • Аномалии развития.

Как подготовиться к рентгену шейного отдела позвоночника с функциональными пробами?

Свернуть/развернуть

В качестве подготовки необходимо снять все металлические украшения с шеи и головы, расстегнуть пуговицы и надеть защитную накидку. Диагностика выполняется в положении стоя или сидя, всего делается 3 снимка:

  • В боковой проекции ― строго боком к детекторной пластине;
  • В условиях максимального разгибания головы назад;
  • В положении максимального наклона головы вперед.

Каждый снимок выполняется за 1 секунду, в это время нельзя дышать, двигаться и сглатывать. Принять правильное положение помогает рентгенолаборант. Описание будет готово в течение рабочего дня, но обычно в течение 2-3 часов.

Противопоказания

Свернуть/развернуть

Выявление патологической подвижности шейных позвонков относится к плановым исследованиям, поэтому не назначается во время беременности и в детском возрасте.

Запишитесь на Функциональные исследования позвоночника по удобному адресу

Записаться
Фильтр по услугам Рентген костно-суставной системы

Станция метро

Площадь Восстания Проспект Просвещения Нарвская Рыбацкое Девяткино Гражданский проспект Академическая Политехническая Площадь Мужества Лесная Выборгская Площадь Ленина Чернышевская Владимирская Пушкинская Технологический институт Балтийская Кировский завод Автово Ленинский проспект Проспект Ветеранов Парнас Озерки Удельная Пионерская Чёрная речка Петроградская Горьковская Невский проспект Сенная площадь Фрунзенская Московские ворота Электросила Парк Победы Московская Звёздная Купчино Беговая Зенит Приморская Василеостровская Гостиный двор Маяковская Площадь Александра Невского Елизаровская Ломоносовская Пролетарская Обухово Спасская Достоевская Лиговский проспект Площадь Александра Невского Новочеркасская Ладожская Проспект Большевиков Улица Дыбенко Комендантский проспект Старая Деревня Крестовский остров Чкаловская Спортивная Адмиралтейская Садовая Звенигородская Обводный канал Волковская Бухарестская Международная Проспект Славы Дунайская Шушары Богатырская Каменка Театральная Горный институт Путиловская Юго-Западная Кудрово Шуваловский проспект Каретная Боровая Заставская Броневая

Возраст пациента

Взрослому Ребенку от 15 лет

Пол пациента

Мужчине Женщине

Количество проекций

Одна Две

Введение контраста

С контрастом Без контраста

Цены

Услуги, соответствующие запросу, не найдены.

Рентген черепа (1 проекция)
руб
1 400 руб
Рентген черепа (2 проекции)
руб
1 900 руб
Рентген турецкого седла
руб
1 400 руб
Рентген придаточных пазух носа
руб
1 400 руб
Рентген придаточных пазух носа (2 проекции)
руб
1 900 руб
Рентген костей носа при искривлении носовой перегородки
руб
1 400 руб
Рентген нижней челюсти (2 проекции)
руб
1 900 руб
Рентген атланто-аксиального сочленения
руб
1 400 руб
Рентген шейного отдела позвоночника (2 проекции)
руб
1 900 руб
Функциональные исследования позвоночника (шейный отдел)
руб
3 200 руб
Рентген шейного отдела позвоночника с функциональными пробами + С1 позвонок
руб
3 600 руб
Рентген грудного отдела позвоночника (2 проекции)
руб
1 900 руб
Рентген поясничного-крестцового отдела позвоночника (2 проекции)
руб
1 900 руб
Функциональные исследования позвоночника (поясничный отдел)
руб
3 200 руб
Рентген крестцового отдела позвоночника и копчика (2 проекции)
руб
1 900 руб
Рентген крестцово-подвздошного сочленения (3 проекции)
руб
2 100 руб
Рентген копчика (2 проекции)
руб
1 900 руб
Рентген копчика с функциональными пробами
руб
2 600 руб
Рентген позвоночника при сколиозе в прямой проекции (стичинг)
руб
1 600 руб
Рентген позвоночника при нарушении статики в боковой проекции (стичинг)
руб
1 600 руб
Рентген позвоночника на кифосколиоз в прямой и боковой проекциях (стичинг)
руб
2 600 руб
Рентген ключицы (2 проекции)
руб
1 900 руб
Рентген обеих ключиц (1 проекция)
руб
2 100 руб
Рентген обеих ключиц (2 проекции)
руб
3 100 руб
Рентген ребер (прицельно)
руб
1 400 руб
Рентген лопатки (2 проекции)
руб
1 900 руб
Рентген обеих лопаток (2 проекции)
руб
3 100 руб
Рентген акромиально-ключичного сочленения (2 проекции)
руб
1 900 руб
Рентген обоих акромиально-ключичных сочленений (1 проекция)
руб
2 100 руб
Рентген обоих акромиально-ключичных сочленений (2 проекции)
руб
3 100 руб
Рентген грудино-ключичных сочленений
руб
1 400 руб
Рентген плечевого сустава (2 проекции) (Рентген плеча)
руб
1 900 руб
Рентген обоих плечевых суставов (2 проекции)
руб
3 100 руб
Рентген плечевой кости (2 проекции) (Рентген плеча)
руб
1 900 руб
Рентген локтевого сустава (2 проекции) (Рентген локтя)
руб
1 900 руб
Рентген предплечья (2 проекции) (Рентген локтевой и лучевой костей)
руб
1 900 руб
Рентген лучезапястного сустава (2 проекции)
руб
1 900 руб
Рентген пястно-запястных суставов
руб
1 400 руб
Рентген пястно-фаланговых суставов
руб
1 400 руб
Рентген межфалангового сустава (2 проекции) (прицельно)
руб
1 900 руб
Рентген кисти (2 проекции)
руб
1 900 руб
Рентген обеих кистей (1 проекция)
руб
2 100 руб
Рентген обеих кистей (2 проекции)
руб
3 100 руб
Рентген кистей для определения костного возраста
руб
2 100 руб
Рентген костей таза (Рентген подвздошной, лонной и седалищной костей)
руб
1 400 руб
Рентген тазобедренного сустава (2 проекции)
руб
1 900 руб
Рентген тазобедренных суставов (1 проекция)
руб
2 100 руб
Рентген тазобедренных суставов (2 проекции)
руб
3 100 руб
Рентген тазобедренных суставов в прямой проекции и по Лаунштейну
руб
2 600 руб
Рентген бедренной кости (2 проекции)
руб
1 900 руб
Рентген обеих бедренных костей (1 проекция)
руб
2 100 руб
Рентген обеих бедренных костей (2 проекции)
руб
3 100 руб
Рентген коленного сустава (2 проекции)
руб
1 900 руб
Рентген обоих коленных суставов (1 проекция)
руб
2 100 руб
Рентген обоих коленных суставов (2 проекции)
руб
3 100 руб
Рентген пателло-феморального сочленения с обеих сторон
руб
1 900 руб
Рентген костей голени (2 проекции) (Рентген большеберцовой и малоберцовой костей)
руб
1 900 руб
Рентген костей голени обеих ног (1 проекция)
руб
2 100 руб
Рентген костей голени обеих ног (2 проекции)
руб
3 100 руб
Рентген голеностопного сустава (2 проекции)
руб
1 900 руб
Рентген голеностопных суставов (1 проекция)
руб
2 100 руб
Рентген голеностопных суставов (2 проекции)
руб
3 100 руб
Рентген пяточных костей в боковой проекции
руб
1 400 руб
Рентген пяточных костей (2 проекции)
руб
1 900 руб
Рентген стоп в прямой проекции
руб
2 100 руб
Рентген стопы (2 проекции)
руб
1 900 руб
Рентген стоп в боковой проекции
руб
2 100 руб
Рентген стоп в двух проекциях (Рентген плюсне-фаланговых суставов, Рентген предплюсне-плюсневого сочленения)
руб
3 100 руб
Рентген одной стопы на продольное плоскостопие
руб
1 400 руб
Рентген одной стопы на поперечное плоскостопие
руб
1 400 руб
Рентген одной стопы на продольное и поперечное плоскостопие
руб
1 900 руб
Рентген обеих стоп на продольное плоскостопие
руб
2 100 руб
Рентген обеих стоп на поперечное плоскостопие
руб
2 100 руб
Рентген обеих стоп на продольное и поперечное плоскостопие (Рентген стоп на плоскостопие для военкомата, Рентген стоп на плоскостопие с полной статической нагрузкой)
руб
3 100 руб
Рентген ног (ститчинг)
руб
2 100 руб
Рентген ног (стичинг) 2 проекции/с функциональными пробами
руб
3 100 руб
Дополнительная проекция
руб
600 руб

Адреса диагностических центров "Доступная Медицина"

Преимущества наших диагностических центров

Доступные цены

Приемлемые цены
на все услуги

Качественный сервис

Контроль качества
оказываемых услуг

Лучшие специалисты

Высококвалифицированные врачи

Новейшее оборудование

Современные томографы с высочайшим качеством визуализации

Близость к метро

Мы находимся в непосредственной близости от метро и остановок общественного транспорта

Лицензии

Современные томографы с высочайшим качеством визуализации

Назад
Вперед
Ключникова Екатерина Игоревна
Информация проверена главным врачом клиники Domedica24
Ключникова Екатерина Игоревна
Стаж более 8 лет, главный врач, врач-рентгенолог 1 категории
Площадь Стачек, 9">
ул. 1-я Советская, 8">