Назад МРТ головного мозга и гипофиза в СПБ

от
11 300
/
По акции в Рыбацком
9 200
руб
Записаться на прием
от 11 300 руб
По акции в Рыбацком
9 200 руб
Записаться
  • Длительность выполнения 50 минут
  • Срок получения результата В течение 24 часов
  • Введение контраста Да
  • Ограничения по весу 120 кг
  • Ограничения по возрасту От 15 лет
Воспроизвести
Описание

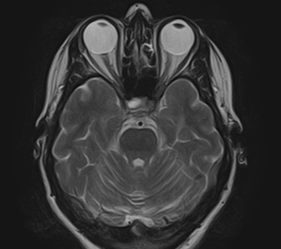
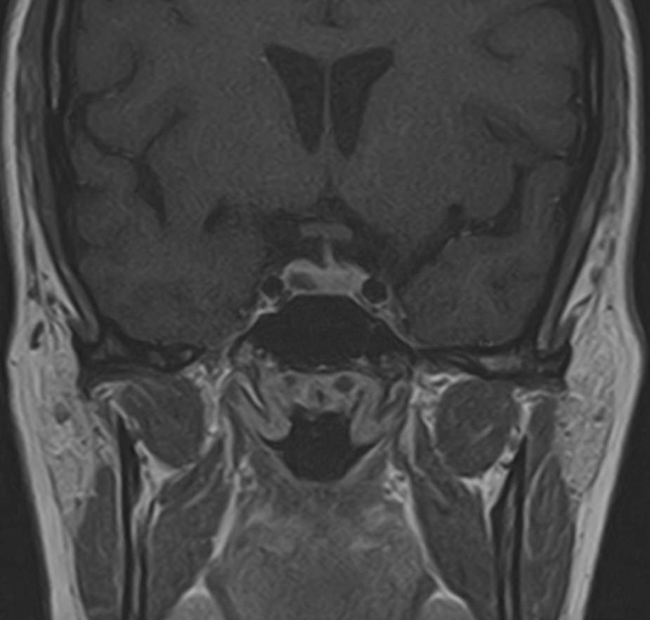
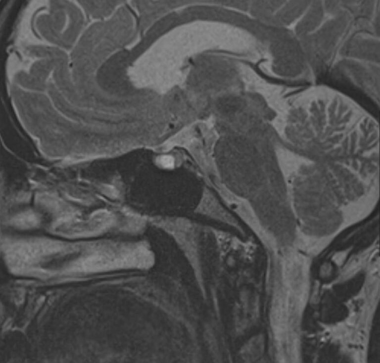
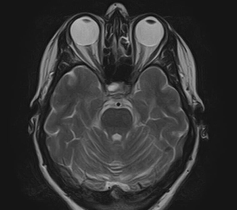
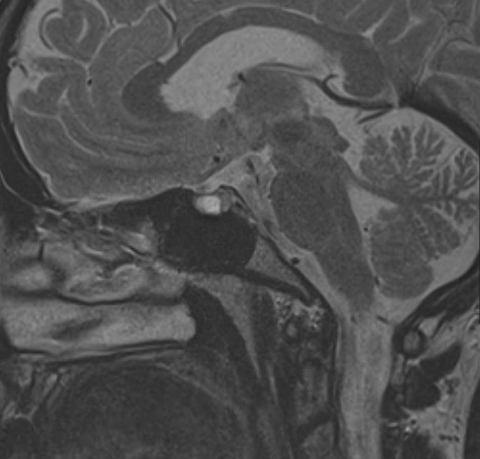
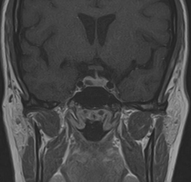
МРТ головного мозга позволяет оценить состояние всех структур головного мозга, однако для выявления патологии гипофиза назначается дополнительно МРТ гипофиза с прицельным осмотром области турецкого седла. Это два разных обследования, каждое из которых имеет свой протокол сканирования. Причем в подавляющем большинстве случаев МРТ гипофиза проводится с контрастным усилением, так как без этого данное исследование малоинформативно. 

В клинике «Доступная медицина» возможно проведение одновременно МРТ головного мозга и МРТ гипофиза на современном высокопольном томографе TOSHIBA VANTAGE TITAN 1,5 Тесла. Индукция магнитного поля 1,5 Тесла обеспечивает высокую четкость изображения и отвечает мировым стандартам качества диагностики заболеваний центральной нервной системы. 

Опухоли гипофиза являются достаточно часто встречающейся патологией, особенно у людей молодого и среднего возраста. При этом выявляются как злокачественные, так и доброкачественные новообразования. В большинстве случаев обнаруживаются аденомы гипофиза (доброкачественные образования). При проведении стандартной МРТ головного мозга можно выявить достаточно большие опухоли гипофиза (от 1 см), а для выявления опухолевых образований меньших размеров (микроаденом) требуется МРТ гипофиза с контрастным усилением.

Что такое гипофиз

Свернуть/развернуть

Гипофиз представляет собой округлую железу, находящуюся в основании головного мозга (на его нижней поверхности), расположенную в особой костной выемке, которая называется турецкое седло. Гипофиз тесно взаимодействует с гипоталамусом (это особая часть мозга), образуя гипоталамо-гипофизарную систему, которая влияет на работу остальных желез внутренней секреции, поэтому гипофиз считается центральным органом эндокринной системы. Гормоны гипофиза влияют на рост организма в целом, регулируют работу надпочечников, щитовидной железы, половых желез. Нормальное функционирование гипофиза определяет своевременность полового созревания подростков, отвечает за репродуктивную функцию человека, регулирует лактацию и родовую деятельность у женщин.

В результате поражения гипофиза возникают различные проявления, которые зависят от вида опухоли (продуцирует она гормоны или нет), ее размеров и какие окружающие ткани она сдавливает в результате роста (зрительные нервы, оставшуюся здоровую часть гипофиза, ткань мозга).

При каких симптомах необходимо провести МРТ головного мозга и гипофиза

Свернуть/развернуть
  • при частых головных болях, особенно если характер и частота возникновения головных болей стали отличаться от болей, которые возникали в более молодые годы;
  • нарушения зрения (снижение остроты зрения без установленной причины, двоение в глазах, сужение и выпадение полей зрения, нарушения цветоощущения);
  • изменение веса (прибавка в весе, не связанная с изменением рациона питания и малоподвижным образом жизни, необъяснимая потеря массы тела), уменьшение мышечной массы;
  • нарушения менструального цикла у женщин, эректильная дисфункция у мужчин, снижение либидо, бесплодие;
  • выделения из сосков (как у женщин, так и у мужчин);
  • гинекомастия (увеличение в размерах грудных желез у мужчин);
  • гирсутизм (рост волос у женщин по мужскому типу), повышенная потливость, появление на коже бородавок, папиллом, невусов, гиперпигментация кожи;
  • изменение лица (увеличение носа, губ, укрупнение надбровных дуг), увеличение размеров конечностей; 
  • слабость, вялость, апатия, снижение работоспособности, обморочные состояния;
  • жажда, выделение большого количества мочи;
  • отечность, колебания артериального давления.

    Показания для МРТ головного мозга и гипофиза

     

    • подозрение на доброкачественные и злокачественные опухоли головного мозга, кисты, псевдокисты;
    • подозрение на объемные образования гипофиза;
    • синдром пустого турецкого седла;
    • синдром Шихана (некроз гипофиза в послеродовом периоде);
    • снижение или повышение уровня гипофизарных гормонов (тиреотропный гормон, соматотропный гормон, пролактин, лютеинизирующий гормон, фолликулостимулирующий гормон и др);
    • синдром гиперкортицизма;
    • подозрение на ишемический или геморрагический инсульт;
    • травмы головного мозга;
    • диагностика нейродегенеративных, демиелинизирующих заболеваний головного мозга, эпилепсии.

 

Что покажет МРТ головного мозга и гипофиза

Свернуть/развернуть

Данное исследование проводится с контрастным усилением. Контрастное вещество накапливается в патологических очагах, интенсивность этого накопления можно оценить визуально, а также с помощью компьютерной программы — в цифровом выражении.

Метод позволяет создавать детализированные изображения всех структур головного мозга, в том числе области турецкого седла, и по праву считается лучшим способом диагностики любых объемных образований гипофиза. С помощью МРТ головного мозга и гипофиза можно выявить макроаденомы и большинство микроаденом (размером до 3мм).

Подготовка к МРТ головного мозга и гипофиза

Свернуть/развернуть

Особая подготовка для данного исследования не нужна.

Необходимо принести с собой медицинскую документацию, относящуюся к зоне исследования:

  • направление от лечащего врача;
  • выписки из амбулаторных карт и стационаров;
  • результаты предыдущих исследований (МР-снимки, СD/DVD диски, снимки КТ).

В случае наличия в теле медицинских изделий, изготовленных из сплавов, которые не препятствуют проведению МРТ, нужно предоставить справку об этом из учреждения, где оно было установлено. При этом, если локализация протеза не будет мешать визуализации исследуемой области, врач-рентгенолог примет решение о возможности проведения МРТ.

Так как исследование проводится с контрастным усилением, при подозрении на почечную недостаточность необходимо предоставить биохимический анализ крови с уровнем креатинина (давностью не более 14 дней). 

 

Контраст вводится внутривенно через предварительно установленный катетер с помощью специального устройства (инжектора), которое регулирует скорость введения и объем раствора. Происходит это в определенный момент во время исследования. При этом может быть кратковременное ощущение тепла или холода в теле, металлический привкус во рту, этот дискомфорт быстро исчезает. 

Контраст выводится из организма в течение суток преимущественно почками. Кормящим женщинам нужно прервать грудное вскармливание на 24-48 часов после процедуры с контрастированием, в это время проводить сцеживание молока.

Непосредственно перед процедурой нужно снять все электронные устройства и металлические предметы, в том числе украшения, пирсинг, одежду с металлическими элементами. 

Нужно приготовиться к тому, что следует лежать неподвижно во время исследования, чтобы получить качественные снимки. В случае волнения и тревожности можно принять успокоительное средство, также допускается присутствие сопровождающего. 

Медицинские работники находятся в смежном кабинете и наблюдают через стеклянное окно. В руке пациента будет находиться сигнальное устройство в виде груши для вызова медперсонала.

Противопоказания к МРТ головного мозга и гипофиза

Свернуть/развернуть
  • МРТ невозможно выполнить при наличии в организме металлических медицинских изделий (спицы, штифты, винты, сосудистые скобы, клипсы, пластины), а также металлических инородных тел (пули, дробь, осколки), татуировок, нанесенных с помощью красителей на основе металлических соединений. Медицинские протезы могут быть изготовлены из материалов, которые не препятствуют проведению МРТ (например, титан), также имеет значение их расположение по отношению к исследуемому органу. В каждом конкретном случае принимается решение о возможности проведения МРТ. 
  • Нельзя провести МРТ головного мозга и гипофиза при наличии у пациента вживленных медицинских электронных устройств, в работе которых может произойти сбой под воздействием индукции магнитного поля томографа (дефибрилляторы, водители ритма, кардиостимуляторы, имплантаты внутреннего уха, нейростимуляторы, инсулиновые помпы).
  • При массе тела более 120 кг невозможно выполнить МРТ из-за конструктивных особенностей томографа (подвижная часть аппарата не рассчитана на больший вес).
  • Ограничением для МРТ является беременность до 13 недель (следует оградить формирующиеся органы плода от любых неблагоприятных факторов), МРТ с контрастированием не проводится в течение всего срока беременности.
  • Панические приступы (клаустрофобия), которые могут возникнуть во время нахождения в туннеле томографа, являются препятствием для проведения МРТ. 
  • Аллергические реакции на контрастное вещество на основе солей гадолиния.
  • Заболевания почек, сопровождающиеся снижением функции почек.

Запишитесь на МРТ головного мозга и гипофиза по удобному адресу

Записаться
Фильтр по услугам МРТ головы

Введение контраста

С контрастом Без контраста

Станция метро

Площадь Восстания Нарвская Проспект Просвещения Рыбацкое Девяткино Гражданский проспект Академическая Политехническая Площадь Мужества Лесная Выборгская Площадь Ленина Чернышевская Владимирская Пушкинская Технологический институт Балтийская Кировский завод Автово Ленинский проспект Проспект Ветеранов Парнас Озерки Удельная Пионерская Чёрная речка Петроградская Горьковская Невский проспект Сенная площадь Фрунзенская Московские ворота Электросила Парк Победы Московская Звёздная Купчино Беговая Зенит Приморская Василеостровская Гостиный двор Маяковская Площадь Александра Невского Елизаровская Ломоносовская Пролетарская Обухово Спасская Достоевская Лиговский проспект Площадь Александра Невского Новочеркасская Ладожская Проспект Большевиков Улица Дыбенко Комендантский проспект Старая Деревня Крестовский остров Чкаловская Спортивная Адмиралтейская Садовая Звенигородская Обводный канал Волковская Бухарестская Международная Проспект Славы Дунайская Шушары Богатырская Каменка Театральная Горный институт Путиловская Юго-Западная Кудрово Шуваловский проспект Каретная Боровая Заставская Броневая

Возраст пациента

Взрослому Ребенку от 15 лет

Пол пациента

Мужчине Женщине

Тип аппарата

Открытый Закрытый

Мощность МРТ

1.5 Тл 3 Тесла

Программы страхования

ДМС Платно ОМС

Цены

Услуги, соответствующие запросу, не найдены.

МРТ головного мозга
руб
4 600 / 3 200 руб
Подробнее
МР-ангиография головного мозга
руб
4 600 / 3 200 руб
Подробнее
МР-венография головного мозга
руб
4 600 / 3 200 руб
Подробнее
МРТ черепно-мозговых нервов
руб
4 600 / 3 200 руб
Подробнее
МРТ головного мозга и МР-ангиография головного мозга
руб
7 600 / 6 200 руб
Подробнее
МРТ головного мозга и МР-венография головного мозга
руб
7 600 / 6 200 руб
Подробнее
МРТ гипофиза
руб
От 7 600 / 6 200 руб
Подробнее
МРТ орбит
руб
4 600 / 3 200 руб
Подробнее
МРТ придаточных пазух носа
руб
4 600 / 3 200 руб
Подробнее
МРТ внутреннего уха
руб
5 400 / 4 000 руб
Подробнее
МРТ головного мозга и гипофиза
руб
От 11 300 / 9 200 руб
Подробнее
МРТ головного мозга+мосто-мозжечкового угла
руб
7 600 / 6 600 руб
Подробнее
МРТ головного мозга + МРТ орбит
руб
7 600 / 6 200 руб
Подробнее
МРТ головного мозга + черепно-мозговые нервы
руб
7 600 / 6 600 руб
Подробнее

Адреса диагностических центров "Доступная Медицина"

Преимущества наших диагностических центров

Доступные цены

Приемлемые цены
на все услуги

Качественный сервис

Контроль качества
оказываемых услуг

Лучшие специалисты

Высококвалифицированные врачи

Новейшее оборудование

Современные томографы с высочайшим качеством визуализации

Близость к метро

Мы находимся в непосредственной близости от метро и остановок общественного транспорта

Лицензии

Современные томографы с высочайшим качеством визуализации

Назад
Вперед
Ключникова Екатерина Игоревна
Информация проверена главным врачом клиники Domedica24
Ключникова Екатерина Игоревна
Стаж более 8 лет, главный врач, врач-рентгенолог 1 категории
Площадь Стачек, 9">
ул. 1-я Советская, 8">