Назад МРТ головного мозга в СПБ

4 600
/
По акции в Рыбацком
3 200
руб
Записаться на прием
4 600 руб
По акции в Рыбацком
3 200 руб
Записаться
  • Длительность выполнения 20 минут
  • Срок получения результата В течение дня
  • Введение контраста Нет
  • Ограничения по весу 120 кг
  • Ограничения по возрасту от 15 лет
Воспроизвести
Описание

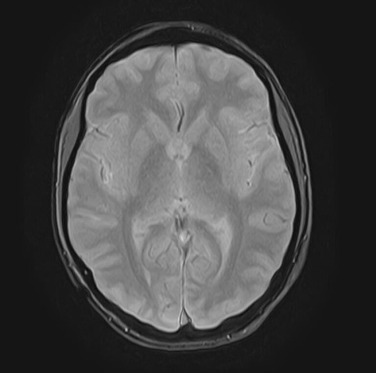
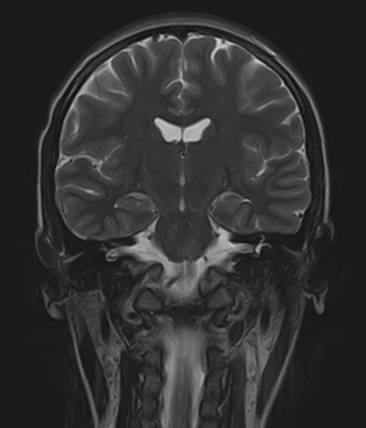
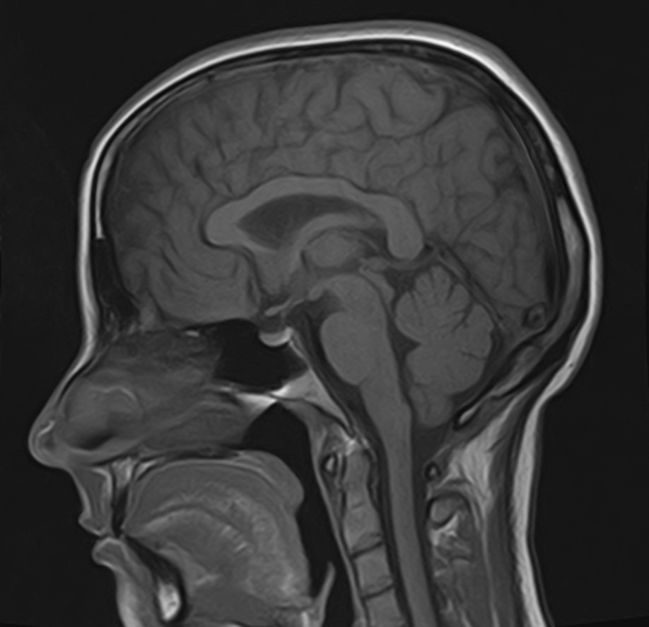
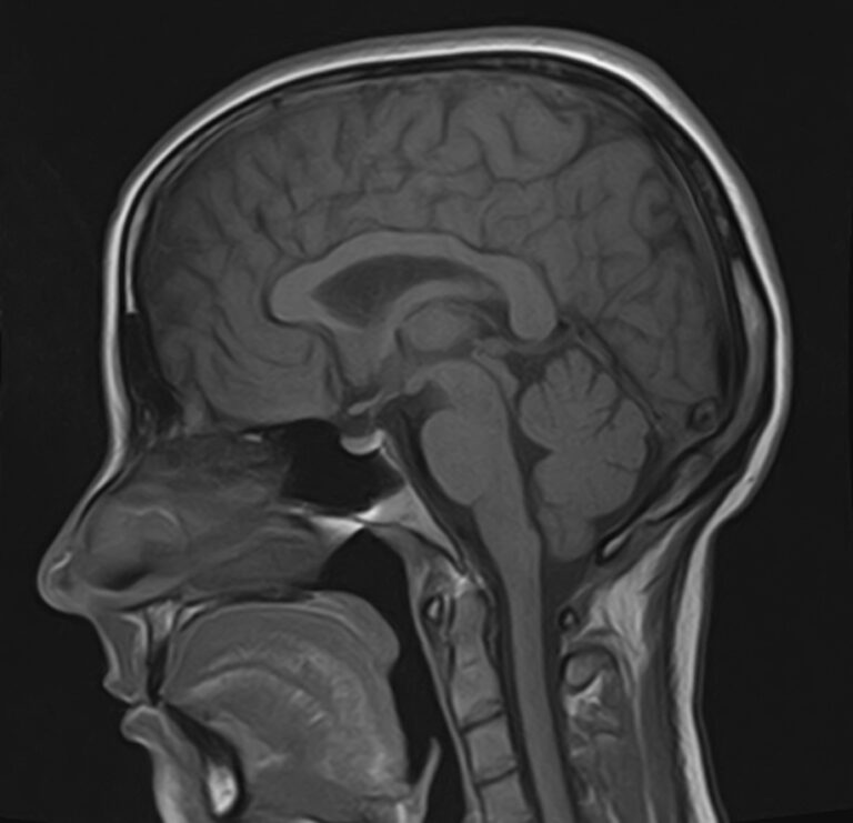
МРТ головного мозга является наиболее информативным, безопасным и доступным методом исследования, который позволяет оценить состояние всех структур и сосудистой системы головного мозга, выявить возможные патологические процессы.

Преимущества данного метода исследования:

Свернуть/развернуть
  • самый информативный способ выявления патологии в тканях и сосудах головного мозга, особенно в тех случаях, когда другие методы не дали результата;
  • диагностика различных заболеваний головного мозга на ранних стадиях развития, что особенно важно для выявления опухолей;
  • при проведении исследования отсутствует вредное воздействия на организм, что делает процедуру абсолютно безопасной.

Показания к МРТ головного мозга

Свернуть/развернуть
  • подозрение на инсульт/внутримозговое кровоизлияние;
  • инфекционные заболевания;
  • нейродегенеративные заболевания ЦНС;
  • демиелинизирующие процессы;
  • эпилепсия различного генеза;
  • слабость и онемение в руках и ногах;
  • повторяющиеся эпизоды головной боли;
  • повышение артериального давления и его перепады;
  • поражения речевого аппарата и органов слуха;
  • шум в голове;
  • эпизоды потери сознания;
  • головокружения;
  • травмы головы.

Что показывает МРТ головного мозга

Свернуть/развернуть

С помощью  магнитно-резонансной томографии можно диагностировать следующие патологии:

 

  • опухолевые образования доброкачественного и злокачественного генеза;
  • кистозные образования и псевдокисты;
  • очаги ишемического инсульта, кровоизлияния на фоне геморрагического инсульта;
  • воспалительные процессы со стороны мозговых оболочек и тканей головного мозга (менингиты, энцефалиты);
  • демиелинизирующие заболевания головного мозга, в том числе рассеянный склероз;
  • дегенеративные изменения в структурах головного мозга (болезнь Паркинсона, болезнь Альцгеймера, старческая деменция);
  • травматические повреждения головного мозга, наличие гематом;
  • изменения структуры ткани головного мозга, характерные для эпилепсии;
  • патология со стороны сосудов головного мозга (аневризмы, сужение просвета сосудов, сосудистые мальформации).

Стандартная МРТ головного мозга проводится без использования контрастных веществ. В ряде случаев исследование проводится с внутривенным введением контраста, содержащего соли гадолиния (Омнискан, Магневист и др). Контрастное вещество попадает в кровоток и при сканировании МР-томографом измененные участки становятся лучше видимыми, что помогает в диагностике таких заболеваний, как рассеянный склероз, способствует выявлению опухолевых новообразований и некоторых сосудистых патологий.

Как подготовиться к МРТ головного мозга

Свернуть/развернуть

Для данного обследования особая подготовка не нужна. От пациента не требуется изменить привычный режим дня, соблюдать диету или отменить прием лекарств. 

Необходимо принести с собой медицинскую документацию, относящуюся к зоне исследования:

  • направление от лечащего врача;
  • выписки из амбулаторных карт и стационаров;
  • результаты предыдущих исследований (МР-снимки, СD/DVD диски, снимки КТ).

Перед началом процедуры необходимо снять с себя все металлические предметы, включая украшения, очки, зубные протезы, пирсинг, а также одежду с металлическими элементами. Также следует убрать все электронные устройства: смартфоны, часы, планшеты, слуховые аппараты. Женщинам нужно отказаться от макияжа, который может содержать металлизированные элементы. 

При наличии немагнитных пластин или протезов, изготовленных из пара- и диамагнетиков (например, титан, алюминий), необходимо предупредить об этом врача-рентгенолога и предоставить справку из учреждения, в котором они были установлены. Кроме материала еще учитывается расположение изделия по отношению к исследуемой области. Если зона сканирования находится вблизи имплантата, это может вызвать искажение результата. В каждом конкретном случае врач определит возможность проведения исследования или предложит другой способ визуализации.

Если планируется применение контраста пациенту с подозрением на почечную недостаточность, необходимо выполнить исследование уровня креатинина крови не позднее, чем за 14 дней до проведения МРТ. Так как контраст выводится из организма не менее, чем за сутки, кормящим матерям следует прервать грудное вскармливание после исследования на 24-48 часов, молоко после сцеживания выливать.

При проведении обследования необходимо сохранять неподвижность для получения качественных изображений исследуемой области. Томограф издает шум во время своей работы, поэтому для уменьшения дискомфорта пациенту надевают наушники. С медперсоналом можно общаться через переговорное устройство, для вызова медработника есть специальная сигнальная груша.

МРТ головного мозга проводить нельзя, если у Вас установлены:

Свернуть/развернуть
  • Кардиостимуляторы, водители ритма
  • Нейростимуляторы
  • Кровоостанавливающие клипсы на сосудах
  • Аппараты для внутриаортальной балонной контрпульсации
  • Электронные импланты, металлические импланты и стенты
  • Нефиксированные ферромагнитные материалы в теле (дробь, шрапнель, осколок)
  • Катетеры в легочной артерии

Запишитесь на МРТ головного мозга по удобному адресу

Записаться
Фильтр по услугам МРТ головы

Введение контраста

С контрастом Без контраста

Станция метро

Площадь Восстания Нарвская Проспект Просвещения Рыбацкое Девяткино Гражданский проспект Академическая Политехническая Площадь Мужества Лесная Выборгская Площадь Ленина Чернышевская Владимирская Пушкинская Технологический институт Балтийская Кировский завод Автово Ленинский проспект Проспект Ветеранов Парнас Озерки Удельная Пионерская Чёрная речка Петроградская Горьковская Невский проспект Сенная площадь Фрунзенская Московские ворота Электросила Парк Победы Московская Звёздная Купчино Беговая Зенит Приморская Василеостровская Гостиный двор Маяковская Площадь Александра Невского Елизаровская Ломоносовская Пролетарская Обухово Спасская Достоевская Лиговский проспект Площадь Александра Невского Новочеркасская Ладожская Проспект Большевиков Улица Дыбенко Комендантский проспект Старая Деревня Крестовский остров Чкаловская Спортивная Адмиралтейская Садовая Звенигородская Обводный канал Волковская Бухарестская Международная Проспект Славы Дунайская Шушары Богатырская Каменка Театральная Горный институт Путиловская Юго-Западная Кудрово Шуваловский проспект Каретная Боровая Заставская Броневая

Возраст пациента

Взрослому Ребенку от 15 лет

Пол пациента

Мужчине Женщине

Тип аппарата

Открытый Закрытый

Мощность МРТ

1.5 Тл 3 Тесла

Программы страхования

ДМС Платно ОМС

Цены

Услуги, соответствующие запросу, не найдены.

МРТ головного мозга
руб
4 600 / 3 200 руб
Подробнее
МР-ангиография головного мозга
руб
4 600 / 3 200 руб
Подробнее
МР-венография головного мозга
руб
4 600 / 3 200 руб
Подробнее
МРТ черепно-мозговых нервов
руб
4 600 / 3 200 руб
Подробнее
МРТ головного мозга и МР-ангиография головного мозга
руб
7 600 / 6 200 руб
Подробнее
МРТ головного мозга и МР-венография головного мозга
руб
7 600 / 6 200 руб
Подробнее
МРТ гипофиза
руб
От 7 600 / 6 200 руб
Подробнее
МРТ орбит
руб
4 600 / 3 200 руб
Подробнее
МРТ придаточных пазух носа
руб
4 600 / 3 200 руб
Подробнее
МРТ внутреннего уха
руб
5 400 / 4 000 руб
Подробнее
МРТ головного мозга и гипофиза
руб
От 11 300 / 9 200 руб
Подробнее
МРТ головного мозга+мосто-мозжечкового угла
руб
7 600 / 6 600 руб
Подробнее
МРТ головного мозга + МРТ орбит
руб
7 600 / 6 200 руб
Подробнее
МРТ головного мозга + черепно-мозговые нервы
руб
7 600 / 6 600 руб
Подробнее

Адреса диагностических центров "Доступная Медицина"

Преимущества наших диагностических центров

Доступные цены

Приемлемые цены
на все услуги

Качественный сервис

Контроль качества
оказываемых услуг

Лучшие специалисты

Высококвалифицированные врачи

Новейшее оборудование

Современные томографы с высочайшим качеством визуализации

Близость к метро

Мы находимся в непосредственной близости от метро и остановок общественного транспорта

Лицензии

Современные томографы с высочайшим качеством визуализации

Назад
Вперед
Ключникова Екатерина Игоревна
Информация проверена главным врачом клиники Domedica24
Ключникова Екатерина Игоревна
Стаж более 8 лет, главный врач, врач-рентгенолог 1 категории
Площадь Стачек, 9">
ул. 1-я Советская, 8">