Назад МРТ селезёнки в СПБ

Цена:
5 900 руб
Записаться
  • Длительность выполнения 40 минут
  • Срок получения результата В течение дня
  • Ограничения по весу 120 кг
  • Ограничения по возрасту От 15 лет
  • Введение контраста Нет
Описание

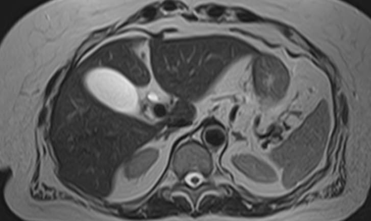
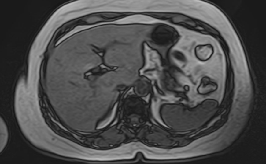
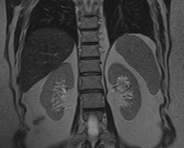
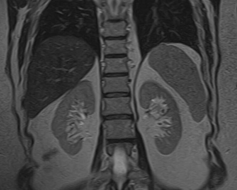
Магнитно-резонансная томография селезенки – высокоинформативный метод исследования органа с использованием внешнего магнитного поля, который позволяет с высокой точностью и достоверностью оценить структуру органа, его размеры, расположение, состояние сосудистой системы и паренхимы селезенки, а также окружающих тканей. МРТ селезенки часто применяется при гематологических заболеваниях, в онкологии, иммунологии.

Методика МРТ не предусматривает использование рентгеновского излучения, поэтому не оказывает негативного действия на организм человека и может применяться неоднократно. Это бывает важно при проведении динамического наблюдения за течением заболевания и для оценки эффективности лечения. 

В клинике «Доступная медицина» МР- сканирование селезенки выполняется на высокотехнологичном оборудовании (высокопольный томограф экспертного класса TOSHIBA VANTAGE TITAN 1,5 Тесла), с помощью которого производится точная и достоверная диагностика патологии селезенки.

Для более точной детализации патологических очагов применяется контрастное вещество на основе гадолиния (элемент, относящийся к редкоземельным металлам), которое полностью выводится из организма в течение суток преимущественно почками.

Когда делается МРТ селезёнки

Свернуть/развернуть
  • Травмы живота
  • Онкопоиск
  • Подозрение на увеличение селезенки
  • При наличии заболеваний печени
  • Для исключения воспалительного процесса
  • Подозрения на болезни крови
  • Для уточнения характера изменений, обнаруженных с помощью других методик диагностики (УЗИ).

Магнитно-резонансную томографию назначают провести пациентам с подозрениями на такие патологии:

  • Опухоли селезенки.
  • Увеличения органа.
  • Кисты.
  • Воспалительные процессы.
  • Травмы селезенки.
  • Врожденные пороки и аномалии развития.
  • Структурные нарушения.

Исследование может назначаться при следующей симптоматике:

  • изменение оттенка кожи, сыпь, гематомы и синяки от незначительных повреждений;
  • подозрение на наличие кист в селезенке;
  • боль в области подреберья слева, которая отдает в плечо и лопатку;
  • серьезные травмы в области живота, левого подреберья, возможные переломы ребер слева, проникающие ранения;
  • абсцесс селезенки;
  • плохая проходимость сосудов в области селезенки.

Нередко процедура назначается и при появлении тошноты, рвоты после приема пищи, при подозрении на лейкоз, а также при обнаружении злокачественных и доброкачественных образований в селезенке.

МРТ селезенки: что показывает

Свернуть/развернуть
  • Новообразования (гемангиомы, саркомы и др.) и метастазы
  • Повреждения селезенки (гематомы)
  • Сосудистые нарушения (инфаркт, тромбоз вены селезенки, аневризма селезеночной артерии)
  • Увеличение селезенки (при портальной гипертензии, болезни Гаучера и т.д.)
  • Воспалительные процессы (абсцессы, саркоидоз, гистоплазмоз и др.)
  • Кисты селезенки
  • Признаки гематологических заболеваний
  • Аномалии развития (добавочная селезенка и т.д.)

Какая нужна подготовка к МРТ селезенки

Свернуть/развернуть

За три дня до исследования мы рекомендуем исключить из рациона пищу, повышающую газообразование (сладкое, мучное, жирное, бобовые, газированные напитки, капусту) и принимать «Эспумизан» по 2 капсулы 3 раза в день (если есть проблемы с газообразованием!). В день исследования «Эспумизан» принимать не нужно. 

За 3-4 часа до исследования необходимо отказаться от приема пищи.

За 30-40 минут до исследования необходимо выпить 2 таблетки «Но-шпы» для снижения перистальтики кишечника. 

Необходимо принести с собой медицинскую документацию, относящуюся к зоне исследования:

  • направление от лечащего врача;
  • выписки из амбулаторных карт и стационаров;
  • результаты предыдущих исследований (МР-снимки, CD/DVD диски, результаты УЗИ, снимки КТ).

 

Из медучреждения, где устанавливались имплантаты (в случае их наличия), нужно предоставить справку, из каких материалов они изготовлены.

Если планируется исследование с контрастированием, то при подозрении на почечную недостаточность не более чем за 2 недели до даты обследования необходимо сдать биохимический анализ крови для контроля уровня креатинина. Введение контраста производится внутривенно с помощью специального дозирующего устройства. В первые минуты может появиться ощущение тепла или холода во всем теле, металлический привкус во рту, но эти явления в течение 1-2 минут проходят.

Контраст выводится преимущественно почками в течение суток, поэтому кормящим матерям требуется прервать грудное вскармливание на 24-48 часов после исследования с контрастированием, при этом молоко нужно сцеживать и выливать.

Непосредственно перед процедурой нужно оставить в соседнем помещении  все электронные гаджеты, магнитные устройства, пластиковые карты, снять металлические аксессуары, пирсинг, одежду с элементами из металла. 

Во время исследования нельзя двигаться для получения качественных изображений исследуемой области. Пациент располагается лежа на выдвижном столе томографа. Для исключения лишних движений дополнительно используются фиксаторы. 

Работа томографа сопровождается громким акустическим шумом, что обусловлено особенностями технологии процесса. Дискомфорт от воздействия шума можно уменьшить, используя беруши или наушники.

В случае волнения и тревожности можно принять успокоительное средство, также допускается присутствие сопровождающего в кабинете, где проводится обследование. 

Медицинские работники находятся в смежном помещении и наблюдают за пациентом через стеклянное окно. В руке пациента будет находиться сигнальное устройство в виде груши, с помощью которого можно вызвать медперсонал.

Противопоказания для МРТ селезенки

Свернуть/развернуть
  • Присутствие в теле вживленных электронных приборов: пейсмекеров (водителей ритма), дефибрилляторов, кохлеарных имплантатов, инфузионных насосов, нейростимуляторов, которые под действием магнитного поля могут необратимо выйти из строя.
  • Имплантированные металлические элементы (штифты, пластины, сосудистые скобы, клеммы, ортодонтические конструкции) являются препятствием для проведения МРТ, за исключением тех случаев, когда вживленное изделие изготовлено из сплавов с использованием пара- и диамагнетиков. Такие изделия не мешают магнитно-резонансному исследованию, имеет значение только его расположение по отношению к исследуемой области. 
  • Инородные металлические фрагменты (дробинки, пули, кусочки металла, неснимаемый пирсинг) являются противопоказанием для МРТ, так как в магнитном поле могут перемещаться и нагреваться, вызывая травмы.
  • Беременным женщинам до 13 недель не рекомендуется проводить МРТ, так как плод на этих сроках чрезвычайно чувствителен к воздействию неблагоприятных факторов. 
  • Клаустрофобия ограничивает проведение МРТ, так как конфигурация аппарата и продолжительность исследования могут спровоцировать приступ панической атаки у некоторых пациентов.
  • МРТ невозможно выполнить пациентам с массой тела более 120 кг из-за технических особенностей томографа.
  • Введение контраста противопоказано на любом сроке беременности, при наличии указаний в анамнезе на аллергические реакции на контрастное вещество, при нарушениях функции почек.

Запишитесь на МРТ селезёнки по удобному адресу

Записаться
Фильтр по услугам МРТ брюшной полости и забрюшинного пространства

Введение контраста

С контрастом Без контраста

Станция метро

Площадь Восстания Нарвская Проспект Просвещения Рыбацкое Девяткино Гражданский проспект Академическая Политехническая Площадь Мужества Лесная Выборгская Площадь Ленина Чернышевская Владимирская Пушкинская Технологический институт Балтийская Кировский завод Автово Ленинский проспект Проспект Ветеранов Парнас Озерки Удельная Пионерская Чёрная речка Петроградская Горьковская Невский проспект Сенная площадь Фрунзенская Московские ворота Электросила Парк Победы Московская Звёздная Купчино Беговая Зенит Приморская Василеостровская Гостиный двор Маяковская Площадь Александра Невского Елизаровская Ломоносовская Пролетарская Обухово Спасская Достоевская Лиговский проспект Площадь Александра Невского Новочеркасская Ладожская Проспект Большевиков Улица Дыбенко Комендантский проспект Старая Деревня Крестовский остров Чкаловская Спортивная Адмиралтейская Садовая Звенигородская Обводный канал Волковская Бухарестская Международная Проспект Славы Дунайская Шушары Богатырская Каменка Театральная Горный институт Путиловская Юго-Западная Кудрово Шуваловский проспект Каретная Боровая Заставская Броневая

Возраст пациента

Взрослому Ребенку от 15 лет

Пол пациента

Мужчине Женщине

Тип аппарата

Открытый Закрытый

Мощность МРТ

1.5 Тл 3 Тесла

Программы страхования

ДМС Платно ОМС

Цены

Услуги, соответствующие запросу, не найдены.

Адреса диагностических центров "Доступная Медицина"

Преимущества наших диагностических центров

Доступные цены

Приемлемые цены
на все услуги

Качественный сервис

Контроль качества
оказываемых услуг

Лучшие специалисты

Высококвалифицированные врачи

Новейшее оборудование

Современные томографы с высочайшим качеством визуализации

Близость к метро

Мы находимся в непосредственной близости от метро и остановок общественного транспорта

Лицензии

Современные томографы с высочайшим качеством визуализации

Назад
Вперед
Ключникова Екатерина Игоревна
Информация проверена главным врачом клиники Domedica24
Ключникова Екатерина Игоревна
Стаж более 8 лет, главный врач, врач-рентгенолог 1 категории
Площадь Стачек, 9">
ул. 1-я Советская, 8">