Назад МРТ пояснично-крестцового отдела позвоночника в СПБ

4 600
/
По акции в Рыбацком
3 200
руб
Записаться на прием
4 600 руб
По акции в Рыбацком
3 200 руб
Записаться
  • Длительность выполнения 20-30 минут
  • Срок получения результата В течение дня
  • Введение контраста Нет
  • Ограничения по возрасту От 15 лет
  • Ограничения по весу 120 кг
Описание

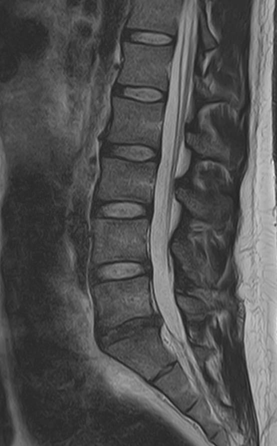
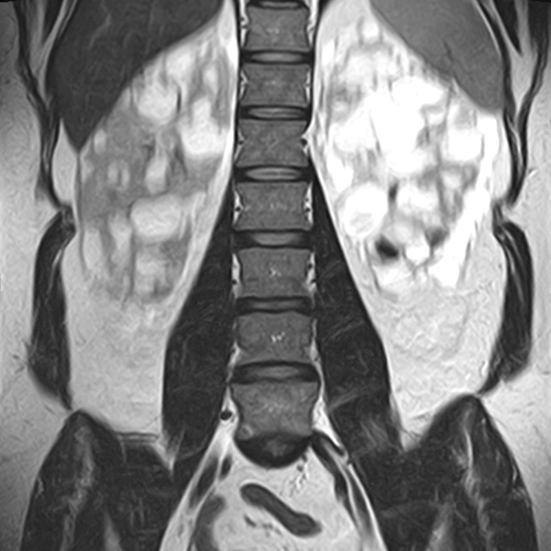
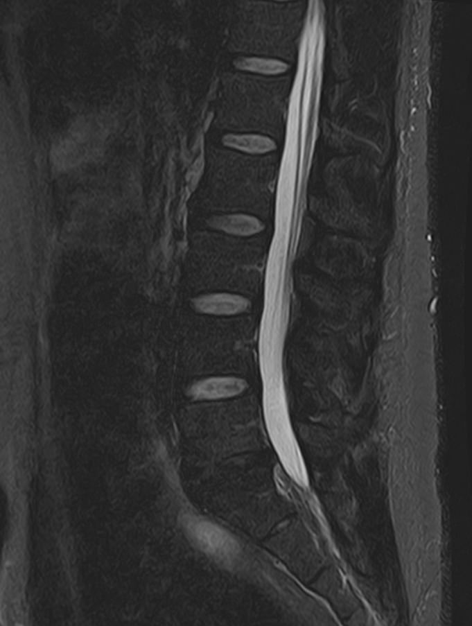
Наиболее точным и эффективным способом диагностики причин появления болей в нижней части спины является МРТ пояснично-крестцового отдела позвоночника. С помощью данного метода можно оценить состояние всех анатомических структур позвоночного столба на исследуемом уровне, безошибочно выявить происхождение болевого синдрома и назначить своевременное лечение.

В клинике «Доступная медицина» диагностика патологии нижней части спины осуществляется на высокотехнологичном оборудовании – новейшем высокопольном томографе TOSHIBA VANTAGE TITAN 1,5 Тесла, который обеспечивает высочайшее качество изображений, точность и достоверность полученных данных. Магнитно-резонансная томография осуществляется без применения ионизирующего излучения, поэтому является безопасным методом обследования и может применяться неоднократно. 

МРТ пояснично-крестцового отдела позвоночника, как правило, выполняется без использования контраста, но в некоторых случаях может понадобиться введение контрастного вещества для улучшения визуализации патологических очагов. Для контрастирования применяется безопасный препарат на основе солей гадолиния, который полностью удаляется из организма за 24 часа.

Как и любой метод исследования, МРТ имеет ряд противопоказаний, при наличии которых в клинике «Доступная медицина» проводится КТ пояснично-крестцового отдела позвоночника на аппарате экспертного класса.

Показания к проведению МРТ пояснично-крестцового отдела

Свернуть/развернуть

Наличие патологий позвоночника в области поясничного и крестцового отделов и поражения межпозвонковых дисков могут проявляться следующими симптомами:

  • возникновение резкой боли в области поясницы;
  • хронические или периодически возникающие боли в пояснице различной интенсивности и характера: тянущие, острые, тупые, ноющие, стреляющие и т.д.;
  • стреляющая или ноющая боль, отдающая в бедро, ягодицу, голень, пах, лодыжку;
  • защемление, потеря подвижности, невозможность разогнутся после наклона или резкого движения;
  • недержание мочи и кала;
  • проблемы с эрекцией;
  • слабость в нижних конечностях или нарушение чувствительности.

При возникновении вышеописанных симптомов, пациенты в большинстве случаев обращаются к врачу-неврологу, который может назначить МРТ диагностику, по результатам которой будет составлен план дальнейшего лечения. В случае выявления серьезных поражений спинного мозга или наличии новообразований, пациент может быть отправлен к нейрохирургу или онкологу за дальнейшей консультацией.

Что показывает МРТ пояснично-крестцового отдела

Свернуть/развернуть

Многим пациентам интересно, что показывает МРТ пояснично-крестцового отдела. Высокая детальность получаемых с помощью МР-диагностики изображений позволяет с точностью выявить следующие заболевания, локализующиеся в области поясничного отдела позвоночника:

  • протрузии и грыжи межпозвонковых дисков;
  • дегенеративные заболевания: остеохондроз, спондилез, спондилоартроз;
  • последствия перенесенных травм, такие как компрессионные переломы, подвывихи и смещения позвонков;
  • новообразования первичного и вторичного генеза;

воспалительные и деструктивные изменения позвонков и окружающих мягких тканей.

Как подготовиться к МРТ пояснично-крестцового отдела позвоночника

Свернуть/развернуть

При данном обследовании от пациента не требуется никаких специальных подготовительных действий.

Необходимо принести с собой медицинскую документацию, относящуюся к зоне исследования:

  • направление от лечащего врача;
  • выписки из амбулаторных карт и стационаров;
  • результаты предыдущих исследований (МР-снимки, CD/DVD диски, снимки КТ).

При наличии имплантатов, позволяющих проводить МРТ, нужно предоставить документы из медучреждения, в котором они были установлены. 

Если планируется контрастное усиление у пациента с подозрением на почечную недостаточность, нужно провести контроль уровня креатинина крови не более, чем за 14 дней до исследования. 

Для введения контраста в локтевую вену устанавливается катетер с подключенным дозирующим устройством. В определенный момент во время исследования контраст подается в вену. При этом может возникнуть ощущение тепла или холода во всем теле, неприятный привкус во рту, но этот дискомфорт исчезает через пару минут. Контрастное вещество выводится из организма в течение суток, поэтому кормящим женщинам рекомендуется приостановить грудное кормление на 24-48 часов после исследования, а сцеженное молоко выливать. 

Перед исследованием нужно оставить в соседнем помещении все электронные устройства, пластиковые карты, мобильные телефоны, металлические предметы, снять аксессуары из металла, пирсинг, одежду с металлической фурнитурой.  

Так как томограф во время работы издает громкий шум, для защиты ушей можно воспользоваться берушами или наушниками.

В случае тревожности и волнения можно пригласить с собой сопровождающего, который во время проведение томографии будет находиться в диагностическом кабинете. С медицинским персоналом общение осуществляется с помощью переговорного устройства, вмонтированного в аппарат. При необходимости можно вызвать медработника, нажав на сигнальную грушу.

Противопоказания для МРТ пояснично-крестцового отдела позвоночника

Свернуть/развернуть

Данное исследование невозможно выполнить в следующих случаях:

  • Если у пациента имеются вживленные электронные устройства, работа которых может нарушиться под действием магнитного поля томографа. К ним относятся: кардиостимуляторы, дефибрилляторы, имплантаты внутреннего уха, дозирующие инсулиновые насосы, нейростимуляторы. 
  • При наличии в теле металлических изделий медицинского назначения (протезы, штифты, винты, пластины, сосудистые скобы, клипсы, стенты, кава-фильтры), а также инородных предметов из металла (это могут быть осколки, металлическая стружка, пули, дробь, неснимаемый пирсинг, татуировки с использованием металлизированных красок). Часть медицинских изделий изготовлено из сплавов на основе металлов, которые не препятствуют проведению МРТ. О таких имплантированных предметах нужно сообщить врачу-рентгенологу и предоставить документы из учреждения, где они были установлены. На основе предоставленной информации и, учитывая месторасположение имплантата, можно оценить возможность проведения МРТ. 
  • Женщинам в первом триместре беременности нежелательно проводить МРТ из-за риска воздействия индукции магнитного поля на формирующиеся органы плода.
  • На любом сроке беременности противопоказано введение контраста. 
  • Противопоказано контрастирование при заболеваниях почек со снижением их функции, а также при наличии в анамнезе аллергических реакций на контрастное вещество. 
  • Клаустрофобия (боязнь закрытых пространств) может ограничивать проведение МРТ. 
  • Из-за технических ограничений по весу томографа невозможно выполнить исследование пациентам с избыточной массой тела более 120 кг.

Запишитесь на МРТ пояснично-крестцового отдела позвоночника по удобному адресу

Записаться
Фильтр по услугам МРТ позвоночника

Введение контраста

С контрастом Без контраста

Станция метро

Площадь Восстания Нарвская Проспект Просвещения Рыбацкое Девяткино Гражданский проспект Академическая Политехническая Площадь Мужества Лесная Выборгская Площадь Ленина Чернышевская Владимирская Пушкинская Технологический институт Балтийская Кировский завод Автово Ленинский проспект Проспект Ветеранов Парнас Озерки Удельная Пионерская Чёрная речка Петроградская Горьковская Невский проспект Сенная площадь Фрунзенская Московские ворота Электросила Парк Победы Московская Звёздная Купчино Беговая Зенит Приморская Василеостровская Гостиный двор Маяковская Площадь Александра Невского Елизаровская Ломоносовская Пролетарская Обухово Спасская Достоевская Лиговский проспект Площадь Александра Невского Новочеркасская Ладожская Проспект Большевиков Улица Дыбенко Комендантский проспект Старая Деревня Крестовский остров Чкаловская Спортивная Адмиралтейская Садовая Звенигородская Обводный канал Волковская Бухарестская Международная Проспект Славы Дунайская Шушары Богатырская Каменка Театральная Горный институт Путиловская Юго-Западная Кудрово Шуваловский проспект Каретная Боровая Заставская Броневая

Возраст пациента

Взрослому Ребенку от 15 лет

Пол пациента

Мужчине Женщине

Тип аппарата

Открытый Закрытый

Мощность МРТ

1.5 Тл 3 Тесла

Программы страхования

ДМС Платно ОМС

Цены

Услуги, соответствующие запросу, не найдены.

Комплексная МРТ позвоночника – 3 отдела
руб
10 600 / 9 200 руб
Подробнее
МРТ центральной нервной системы (ЦНС) (головной мозг + 3 отдела позвоночника)
руб
13 400 / 12 200 руб
Подробнее
МРТ шейного отдела и головного мозга
руб
7 600 / 6 200 руб
Подробнее
МРТ крестцово-подвздошных сочленений
руб
4 600 / 3 200 руб
Подробнее
МРТ грудного отдела позвоночника
руб
4 600 / 3 200 руб
Подробнее
МРТ пояснично-крестцового отдела позвоночника
руб
4 600 / 3 200 руб
Подробнее
МРТ шейного отдела позвоночника
руб
4 600 / 3 200 руб
Подробнее
МРТ копчика
руб
4 600 / 3 200 руб
Подробнее
МРТ краниовертебрального перехода
руб
4 600 / 3 200 руб
Подробнее
МРТ одного отдела позвоночника
руб
4 600 / 3 200 руб
Подробнее
МРТ двух отделов позвоночника
руб
7 600 / 6 200 руб
Подробнее
МРТ пояснично-крестцового отдела + копчик
руб
7 600 / 6 200 руб
Подробнее
МРТ грудного и поясничного отдела
руб
7 600 / 6 200 руб
Подробнее
МРТ грудного отдела позвоночника (в режиме металлоподавления в зоне сканирования)
руб
9 000 руб
МРТ шейного отдела позвоночника (в режиме металлоподавления в зоне сканирования)
руб
9 000 руб
МРТ пояснично-крестцового отдела (в режиме металлоподавления в зоне сканирования)
руб
9 000 руб
МРТ двух отделов позвоночника (в режиме металлоподавления в зоне сканирования)
руб
15 000 руб
МРТ всего позвоночника - 3 отдела (в режиме металлоподавления в зоне сканирования)
руб
21 000 руб

Адреса диагностических центров "Доступная Медицина"

Преимущества наших диагностических центров

Доступные цены

Приемлемые цены
на все услуги

Качественный сервис

Контроль качества
оказываемых услуг

Лучшие специалисты

Высококвалифицированные врачи

Новейшее оборудование

Современные томографы с высочайшим качеством визуализации

Близость к метро

Мы находимся в непосредственной близости от метро и остановок общественного транспорта

Лицензии

Современные томографы с высочайшим качеством визуализации

Назад
Вперед
Ключникова Екатерина Игоревна
Информация проверена главным врачом клиники Domedica24
Ключникова Екатерина Игоревна
Стаж более 8 лет, главный врач, врач-рентгенолог 1 категории
Площадь Стачек, 9">
ул. 1-я Советская, 8">