КТ щитовидной железы в СПБ
- Введение контраста Нет
- Длительность выполнения 10 минут
- Ограничения по весу 120 кг
- Ограничения по возрасту От 15 лет
- Срок получения результата В течение дня
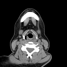
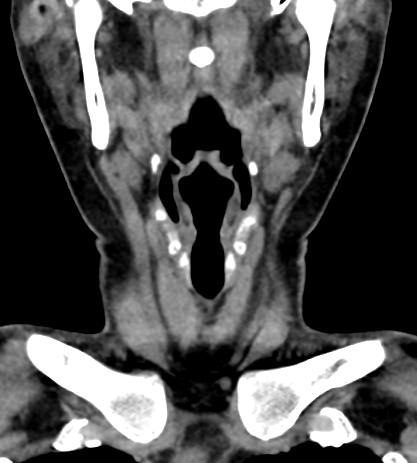
Компьютерная томография является современным высокотехнологичным методом диагностики заболеваний щитовидной железы, основанном на использовании рентгеновского излучения. Процедура отличается быстротой, безболезненностью и проводится без нарушения целостности кожи и расположенных под ней тканей.
В наших центрах обследование щитовидной железы выполняется на современных мультиспиральных томографах TOSHIBA AQUILION, оснащенных увеличенным количеством сверхчувствительных детекторов, позволяющих производить 64 или 128 срезов с минимальной толщиной от 0,5 мм.
Инновационные возможности аппаратов обеспечивают получение множества послойных снимков высокого качества и построение на их основе трехмерной модели органа. Кроме того, аппаратура позволяет за счет сокращения времени сканирования минимизировать лучевую нагрузку на пациента.
КТ щитовидной железы часто используется в диагностике доброкачественных и злокачественных опухолей железы, оценки распространенности процесса, поэтому для улучшения визуализации патологических очагов дополнительно применяется внутривенное болюсное контрастирование. Методика контрастирования позволяет увидеть на снимке опухоли минимальных размеров за счет того, что контраст избирательно накапливается в измененных тканях и обеспечивает яркое изображение патологического очага на фоне здоровых окружающих тканей.
Контрастирование дает возможность определить врачу границы опухоли, ее размеры, степень васкуляризации, точное расположение, особенно это важно при нетипичной (загрудинной) локализации органа.
Для контрастного усиления используются йодсодержащие контрастные препараты, которые вводятся пациенту внутривенно во время исследования. Так как в состав контраста входит йод, его не применяют при заболеваниях щитовидной железы, сопровождающихся повышением ее функции и тиреотоксикозом из-за риска усугубить течение болезни.
Альтернативным методом исследования состояния щитовидной железы служит магнитно-резонансная томография. В нашей клинике можно пройти обследование щитовидной железы, записавшись на МРТ мягких тканей шеи, которое проводится на новейшем высокопольном 32-канальном томографе экспертного класса.
- Обследовать щитовидную железу рекомендуется при следующих симптомах
- Подготовка к КТ щитовидной железы
- Противопоказания для проведения КТ щитовидной железы
- Что может выявить КТ щитовидной железы
Обследовать щитовидную железу рекомендуется при следующих симптомах
- затрудненном глотании жидкости и пищи
- увеличении лимфоузлов на шее
- ощущении комка в горле
- резком изменении голоса
- изменениях трахеи
- сдавливании пищевода
- чрезмерная сонливость.
- повышенное потоотделение.
- воспалительные изменения.
- резкое беспричинное похудение.
- подозрение на неопластические изменения.
- пред- и послеоперационная оценка.
Подготовка к КТ щитовидной железы
К данному исследованию не требуется сложной специальной подготовки, однако нужно учесть некоторые особенности.
За 2 дня до исследования нужно отменить прием йодсодержащих препаратов, также исключить из рациона питания продукты, богатые йодом (морские водоросли, рыба и морепродукты, йодированная соль, яйца, цельное молоко), так как они могут искажать результаты сканирования.
Перед проведением КТ мы рекомендуем принести с собой всю медицинскую документацию, которая относится к зоне исследования:
- Направление от лечащего врача;
- CD/DVD диски предыдущих КТ-исследований щитовидной железы и средостения, результаты УЗИ или МРТ щитовидной железы;
- Выписки из амбулаторных карт и стационаров;
- Заключения профильных специалистов.
При необходимости проведения КТ щитовидной железы с контрастированием предварительно нужно сдать анализ крови на креатинин для оценки выводящей функции почек. Анализ действителен в течение 14 дней.
Так как контраст выводится преимущественно почками, при наличии почечной недостаточности контрастирование не проводится. В этом случае врач сможет предложить другой способ визуализации щитовидной железы.
Пациентам, которые принимают по поводу сахарного диабета такие сахароснижающие препараты, как Метформин или Глюкофаж, необходимо отменить прием данных препаратов за 48 часов до исследования с контрастированием и на 48 часов после введения контраста (временную отмену данных препаратов необходимо согласовать с эндокринологом).
Контрастный препарат вводится внутривенно через установленный в периферическую вену венозный катетер с помощью автоматического устройства (инжектора). В момент введения контраста может появиться неприятный привкус во рту, ощущение тепла во всем теле, но этот дискомфорт через пару минут быстро исчезает. Контрастное вещество в течение последующих суток полностью выводится из организма преимущественно почками.
Кормящие женщины, нуждающиеся в проведении КТ щитовидной железы с контрастированием, должны на 24-48 часов после процедуры с введением контраста исключить грудное вскармливание, при этом молоко сцеживать и выливать. Предварительно рекомендуется сделать для ребенка запас грудного молока.
Чтобы исключить появление нечеткости изображений на снимках, пациента попросят не двигаться в течение всей процедуры.
Врач-рентгенолог во время исследования находится в соседнем помещении, разделенном с диагностическим кабинетом стеклянной перегородкой. В аппарат вмонтировано переговорное устройство, с помощью которого можно разговаривать с врачом и при необходимости вызвать медицинский персонал.
Противопоказания для проведения КТ щитовидной железы
Абсолютным противопоказаниям для проведения компьютерной томографии является беременность на любом сроке, так как рентгеновское излучение даже в малых дозах оказывает вредное воздействие на плод.
Также в нашей клинике невозможно выполнить КТ пациентам, у которых масса тела превышает 120 кг (ограничения по весу имеет выдвижной стол томографа).
Также имеются противопоказания для введения йодсодержащего контрастного вещества:
- аллергия на йодсодержащие контрастные вещества;
- заболевания почек с выраженной почечной недостаточностью;
- застойная сердечной недостаточности;
- заболевания щитовидной железы с гипертиреозом и тиреотоксикозом;
- при тяжелом течении бронхиальной астмы;
- в случае декомпенсированного сахарного диабета.
Что может выявить КТ щитовидной железы
- узловые образования и их положение относительно трахеи, пищевода, сосудистых пучков;
- злокачественные и доброкачественные опухоли;
- увеличение размеров органа;
- поликистоз;
- состояния, связанные с избыточным продуцированием гормонов щитовидной железы.
- воспалительные процессы;
- атрофию и гипоплазию (врожденное уменьшение железы или недоразвитие ее отдельной части);
- нарушение кровообращения (артериальную и венозную гиперемию);
- кровоизлияния в ткани органа и многое другое.
Запишитесь на КТ щитовидной железы по удобному адресу
ЗаписатьсяСтанция метро
Площадь Восстания Проспект Просвещения Нарвская Рыбацкое Девяткино Гражданский проспект Академическая Политехническая Площадь Мужества Лесная Выборгская Площадь Ленина Чернышевская Владимирская Пушкинская Технологический институт Балтийская Кировский завод Автово Ленинский проспект Проспект Ветеранов Парнас Озерки Удельная Пионерская Чёрная речка Петроградская Горьковская Невский проспект Сенная площадь Фрунзенская Московские ворота Электросила Парк Победы Московская Звёздная Купчино Беговая Зенит Приморская Василеостровская Гостиный двор Маяковская Площадь Александра Невского Елизаровская Ломоносовская Пролетарская Обухово Спасская Достоевская Лиговский проспект Площадь Александра Невского Новочеркасская Ладожская Проспект Большевиков Улица Дыбенко Комендантский проспект Старая Деревня Крестовский остров Чкаловская Спортивная Адмиралтейская Садовая Звенигородская Обводный канал Волковская Бухарестская Международная Проспект Славы Дунайская Шушары Богатырская Каменка Театральная Горный институт Путиловская Юго-Западная Кудрово Шуваловский проспект Каретная Боровая Заставская БроневаяРайон
Центральный Выборгский Кировский Адмиралтейски Василеостровский Калининский Колпинский Красногвардейский Красносельски Кронштадтский Курортный Московский Невский Петроградский Петродворцовый Приморский Пушкинский ФрунзенскийГород
Санкт-Петербург Бокситогорск Бугры Волосово Волхов Всеволожск Выборг Высоцк Гатчина Ивангород Каменногорск Кингисепп Кириши Кировск Колтуши Коммунар Кудрово Лодейное Поле Луга Любань Мурино Никольское Новая Ладога Отрадное Пикалёво Подпорожье Приморск Приозерск Светогорск Сертолово Сланцы Сосновый Бор Сясьстрой Тельмана Тихвин Тосно ШлиссельбургЦены
Услуги, соответствующие запросу, не найдены.
Адреса диагностических центров "Доступная Медицина"
Преимущества наших диагностических центров
Доступные цены
Приемлемые цены
на все услуги
Качественный сервис
Контроль качества
оказываемых услуг
Лучшие специалисты
Высококвалифицированные врачи
Новейшее оборудование
Современные томографы с высочайшим качеством визуализации
Близость к метро
Мы находимся в непосредственной близости от метро и остановок общественного транспорта
Наше оборудование
КТ-СПЕЦИАЛИСТЫ
Лицензии
Современные томографы с высочайшим качеством визуализации
Статьи наших врачей