МРТ мочеточников в СПБ
- Длительность выполнения 40 минут
- Ограничения по весу 120 кг
- Ограничения по возрасту От 15 лет
- Введение контраста Нет
- Срок получения результата В течение дня
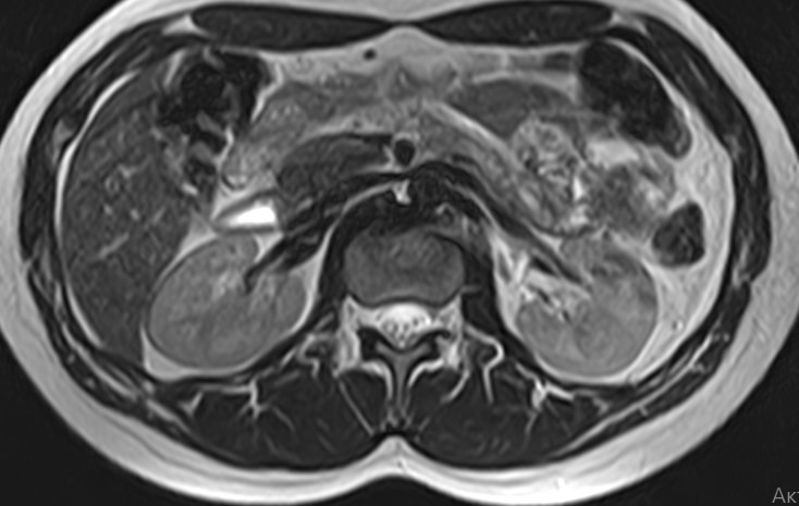
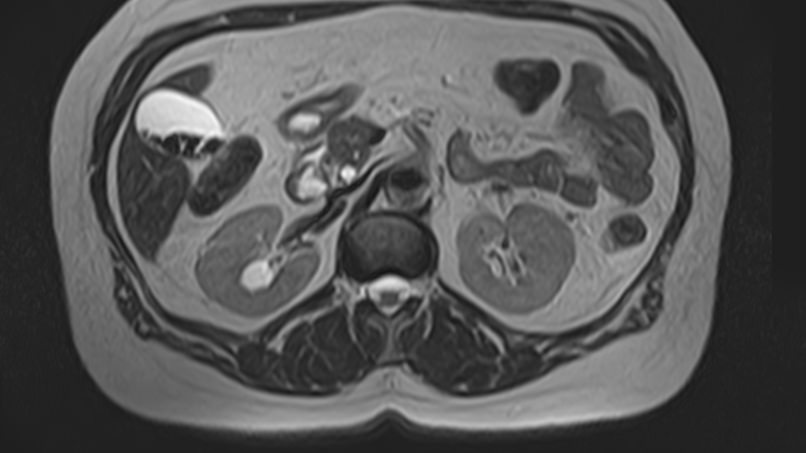
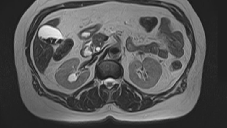
Мочеточники — это парные трубчатые органы, длиной приблизительно 25-30 см, соединяющие почечные лоханки с мочевым пузырем. Наиболее частой патологией является нарушение оттока мочи по мочеточнику за счет сужения (стриктуры) или обтурации (полной закупорки) его просвета.
Магнитно-резонансная томография позволяет получить информацию о состоянии мочеточников и окружающих мягких тканей для точной диагностики заболеваний данной анатомической области.
В клинике «Доступная медицина» исследование проводится с помощью высокотехнологичного оборудования — 32-канального высокопольного томографа новейшего поколения TOSHIBA VANTAGE TITAN 1,5 Тесла. Аппарат послойно сканирует структуры исследуемого органа и на основе полученных данных реконструирует трехмерные изображения превосходного качества.
При подозрении на опухолевый процесс в обязательном порядке проводится контрастное усиление. Для этого внутривенно вводится контрастное вещество, которое фиксируется в патологических очагах, что отображается в виде более яркого свечения по сравнению с окружающими тканями. С помощью контрастирования возможно выявить опухолевые процессы на ранних стадиях развития, что значительно повышает шансы на успешное лечение и выздоровление.
- Показания к проведению МРТ мочеточников
- Что показывает МРТ мочеточников
- Какие есть противопоказания для МРТ мочеточников?
- Подготовка к исследованию МРТ мочеточников
Показания к проведению МРТ мочеточников
- Нарушение кровотока в почках, мочеточниках и других околопочечных тканях.
- Патологические и воспалительные заболевания почек, мочеточников.
- Камни почек, мочеточников.
- Жалобы на почечные колики и выяснение очага локализации.
- Подозрения на наличие новообразования в этой области.
Что показывает МРТ мочеточников
В первую очередь необходимо отметить, что магнитно-резонансная томография мочеточников выполняется в комплексном обследовании почек и мочевыводящих путей, как самостоятельный метод диагностирования невозможен.
При помощи магнитно-резонансной томографии удается оценить состояние органов и выявить имеющиеся патологии:
- оценить топографическое положение и выявить аномалии развития данного органа;
- оценка кровоснажения мочеточников;
- выявить патологические очаги и имеющиеся зоны поражения в мочеточниках;
- определить наличие новообразований, его размеры;
- оценить функциональность данного органа.
Какие есть противопоказания для МРТ мочеточников?
- Противопоказанием является наличие ферромагнитных металлических предметов в теле пациента — спицы, винты, штифты, пластины, сосудистые скобы, клипсы, стенты. Однако некоторые медицинские изделия изготавливаются из сплавов, которые позволяют проводить МРТ, также имеет значение, на каком расстоянии они расположены от исследуемой области.
- Препятствием для проведения МРТ также являются любые инородные металлические тела, находящиеся в теле (осколки, пули, кусочки металлической стружки, неснимаемый пирсинг).
- Наличие имплантированных электронных устройств, которые могут выйти из строя под влиянием магнитного поля томографа (кардиостимуляторы, дефибрилляторы, кохлеарные имплантаты, инсулиновые помпы и др).
- Стандартную МРТ без контрастирования не рекомендуется проводить беременным женщинам в первом триместре из-за риска воздействия на формирующийся плод.
- МРТ с контрастированием противопоказано при беременности на любом сроке.
- Аллергические реакции на контрастное вещество (если планируется контрастное усиление).
- Хроническая почечная недостаточность (противопоказание для введения контраста).
- Пациенты с массой тела более 120 кг (ограничение по массе тела связано с конструктивными особенностями томографа).
Подготовка к исследованию МРТ мочеточников
Чтобы получить качественные и достоверные результаты, необходимо заранее подготовиться к данному исследованию.
За три дня до исследования рекомендуется исключить из рациона пищу, повышающую газообразование (сладкое, мучное, жирное, бобовые, газированные напитки, капусту) и принимать «Эспумизан» по 2 капсулы 3 раза в день (если есть проблемы с газообразованием!). В день исследования «Эспумизан» принимать не нужно.
За 3-4 часа до исследования следует отказаться от приема пищи.
За 30-40 минут до исследования необходимо выпить 2 таблетки «Но-шпы» для снижения перистальтики кишечника.
Необходимо принести с собой медицинскую документацию, относящуюся к зоне исследования:
- направление от лечащего врача;
- выписки из амбулаторных карт и стационаров;
- результаты предыдущих исследований (МР-снимки, СD/DVD диски, снимки КТ).
Если планируется контрастирование у пациента с подозрением на почечную недостаточность, необходимо в течение 14 дней до исследования сдать биохимический анализ крови для контроля уровня креатинина (показатель, отражающий функцию почек). Результаты необходимо предоставить врачу-рентгенологу.
В случае наличия каких-либо протезов или имплантов, материал которых не препятствует проведению МРТ, необходимо предоставить справку об этом из учреждения, где они были установлены. Врач-рентгенолог примет решение о возможности проведения МРТ, если расположение протеза не будет мешать визуализации исследуемой области, либо предложит другой способ обследования.
Контраст вводится внутривенно и может сопровождаться появлением чувства теплоты во всем теле, неприятного привкуса во рту, иногда тошноты. Эти явления кратковременны и через пару минут исчезают. Введенный контраст удаляется из организма преимущественно почками в течение последующих суток. Поэтому кормящим женщинам нужно приостановить грудное кормление на 24-48 часов после исследования, при этом проводить сцеживание молока.
Исследование проводится в одежде без металлической фурнитуры. Также необходимо снять с себя серьги, пирсинг, другие украшения, часы, из карманов выложить мобильные телефоны, пластиковые карты, любые электронные устройства, гаджеты или предметы, которые могут содержать металл.
Во время сканирования пациент лежит внутри туннеля томографа, при этом требуется сохранять неподвижность в течение всего времени исследования. Аппарат во время работы издает громкий шум, стук, иногда вибрирует. Чтобы уменьшить неприятное действие громкого шума, можно воспользоваться берушами или наушниками для защиты ушей.
Врач и рентгенолаборант находятся в смежном помещении, между которыми имеется стеклянная перегородка. Для вызова персонала служит сигнальное устройство, которое во время исследования находится в руке пациента.
Некоторые пациенты могут испытывать волнение, поэтому разрешается присутствие сопровождающего в диагностическом кабинете во время исследования.
Запишитесь на МРТ мочеточников по удобному адресу
ЗаписатьсяСтанция метро
Площадь Восстания Нарвская Проспект Просвещения Рыбацкое Девяткино Гражданский проспект Академическая Политехническая Площадь Мужества Лесная Выборгская Площадь Ленина Чернышевская Владимирская Пушкинская Технологический институт Балтийская Кировский завод Автово Ленинский проспект Проспект Ветеранов Парнас Озерки Удельная Пионерская Чёрная речка Петроградская Горьковская Невский проспект Сенная площадь Фрунзенская Московские ворота Электросила Парк Победы Московская Звёздная Купчино Беговая Зенит Приморская Василеостровская Гостиный двор Маяковская Площадь Александра Невского Елизаровская Ломоносовская Пролетарская Обухово Спасская Достоевская Лиговский проспект Площадь Александра Невского Новочеркасская Ладожская Проспект Большевиков Улица Дыбенко Комендантский проспект Старая Деревня Крестовский остров Чкаловская Спортивная Адмиралтейская Садовая Звенигородская Обводный канал Волковская Бухарестская Международная Проспект Славы Дунайская Шушары Богатырская Каменка Театральная Горный институт Путиловская Юго-Западная Кудрово Шуваловский проспект Каретная Боровая Заставская БроневаяРайон
Центральный Кировский Выборгский Невский Адмиралтейский Василеостровский Калининский Колпинский Красногвардейский Красносельский Кронштадтский Курортный Московский Петроградский Петродворцовый Приморский Пушкинский ФрунзенскийГород
Санкт-Петербург Бокситогорск Бугры Волосово Волхов Всеволожск Выборг Высоцк Гатчина Ивангород Каменногорск Кингисепп Кириши Кировск Колтуши Коммунар Кудрово Лодейное Поле Луга Любань Мурино Никольское Новая Ладога Отрадное Пикалёво Подпорожье Приморск Приозерск Светогорск Сертолово Сланцы Сосновый Бор Сясьстрой Тельмана Тихвин Тосно ШлиссельбургЦены
Услуги, соответствующие запросу, не найдены.
Адреса диагностических центров "Доступная Медицина"
Преимущества наших диагностических центров
Доступные цены
Приемлемые цены
на все услуги
Качественный сервис
Контроль качества
оказываемых услуг
Лучшие специалисты
Высококвалифицированные врачи
Новейшее оборудование
Современные томографы с высочайшим качеством визуализации
Близость к метро
Мы находимся в непосредственной близости от метро и остановок общественного транспорта
Наше оборудование
МРТ-специалисты
Лицензии
Современные томографы с высочайшим качеством визуализации
Статьи наших врачей