Назад КТ брюшного отдела аорты и ее ветвей в СПБ

Цена:
9 500 руб
Записаться
  • Введение контраста Да
  • Длительность выполнения 20 минут
  • Ограничения по весу 120 кг
  • Ограничения по возрасту От 15 лет
  • Срок получения результата В течение 24 часов
Описание

Аорта – это самый крупный кровеносный сосуд в организме человека. Брюшная аорта является продолжением грудного отдела аорты и расположена ниже аортального отверстия диафрагмы. На уровне 4-5 поясничных позвонков находится бифуркация аорты, где она делится на две общие подвздошные артерии, несущие кровь к нижним конечностям. 

От брюшной аорты отходит несколько висцеральных ветвей,  кровоснабжающих внутренние органы. К ним относятся: почечные артерии, чревный ствол, который кровоснабжает органы пищеварения, верхняя и нижняя брыжеечные артерии, питающие кишечник, яичковые артерии у мужчин, яичниковые – у женщин. 

Аорта и ее ветви наиболее часто подвержены развитию атеросклероза с формированием атеросклеротических бляшек, препятствующих нормальному току крови. Иногда уменьшение просвета сосуда связано с внешними факторами, например, такое наблюдается при сдавлении сосуда извне связками диафрагмы, фиброзной тканью солнечного сплетения, близлежащей опухолью. В результате возникает хроническая абдоминальная ишемия – состояние, когда внутренние органы испытывают дефицит кислорода и питательных веществ.

При стенозе почечных артерий возникает вторичная артериальная гипертензия, постепенно развивается почечная недостаточность. Поражение чревного ствола и брыжеечных артерий приводит к нарушению функций органов пищеварения. Сужение просвета яичковых и яичниковых артерий вызывает нарушение функций репродуктивных органов. При своевременной диагностике может назначаться консервативное лечение, но, как правило, ишемия органов брюшной полости требует проведения стентирования или других реконструктивных операций на сосудах. Абдоминальная ишемия может развиться остро, например, при тромбировании висцеральных ветвей аорты. Это угрожающее жизни состояние требует неотложной помощи.

В брюшной части аорты нередко возникает истончение и локальное расширение стенки сосуда – так формируется аневризма аорты. Долгое время аневризма может существовать бессимптомно и проявиться только при расслоении стенки (расслаивающая аневризма) или при разрыве аневризмы, что в большинстве случаев заканчивается летальным исходом. 

Своевременная диагностика и лечение сосудистой патологии брюшной аорты и висцеральных ветвей позволяет избежать тяжелых осложнений. 

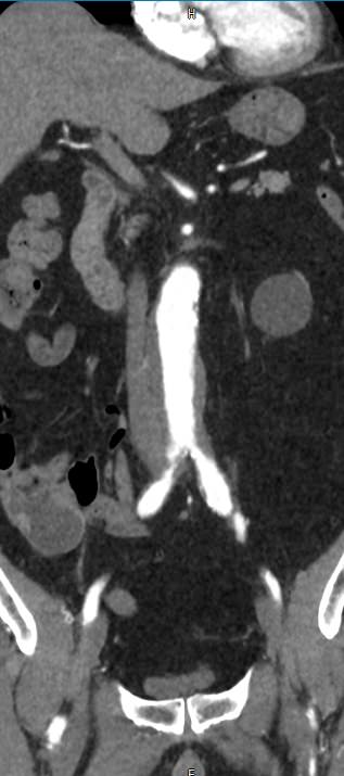
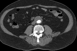
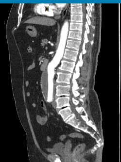
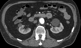
Мультиспиральная компьютерная томография является лучевым методом исследования и в режиме ангиографии применяется для диагностики сосудистой патологии брюшной аорты и ее ветвей. Сканирование проводится с помощью рентгеновских лучей, которые испускает трубка томографа, непрерывно вращаясь вокруг объекта исследования. 

Особенностью КТ-ангиографии является обязательное применение контрастного усиления, которое позволяет визуализировать кровеносные сосуды. С помощью внутривенного введения йодсодержащих контрастных препаратов на снимках хорошо контрастируются висцеральные ветви и сама аорта, участки сужения и расширения сосудов, можно диагностировать атеросклеротические бляшки и тромбы в просвете сосудов.

В наших диагностических центрах КТ-ангиография брюшной аорты проводится на современных мультиспиральных компьютерных томографах экспертного класса TOSHIBA AQUILION. Инновационные возможности аппаратов позволяют получать детальные изображения высокого качества за короткий промежуток времени. Скоростное мультисрезовое сканирование обеспечивает пониженный уровень лучевой нагрузки на организм пациента. 

При помощи цифровых приложений данные, полученные при сканировании, трансформируются в трехмерные изображения сосудистой системы. Это позволяет оценить пространственное соотношение анатомических структур и часто применяется в ходе предоперационной подготовки и для оценки успешности проведенной операции.

Показания к КТ брюшного отдела аорты и ее ветвей

Свернуть/развернуть
  • наличие аневризмы, т.е. мешковидного выпячивания стенки сосуда
  • тромбоз сосудов;
  • атеросклеротическое поражение брюшной части аорты и ее ветвей;
  • боли в животе неизвестной природы;
  • планирование тактики проведения оперативных вмешательств на сосудах;
  • контрольное исследование после проведенной операции на сосудах;
  • прорастание опухолей в сосуды;
  • расслоение стенки аорты.
  • заболевания кровеносных сосудов брюшной полости;
  • внутрибрюшинные и забрюшинные кровотечения;
  • подозрение на наличие новообразований;
  • травмы живота с возможными внутренними повреждениями;
  • диагностика атеросклероза
  • врожденные аномалии сосудов
  • подозрение на аортит (васкулита);
  • выявление нарушений кровообращения.

Подготовка к КТ брюшного отдела аорты и ее ветвей

Свернуть/развернуть

Перед проведением КТ мы рекомендуем предоставить всю медицинскую документацию, которая относится к зоне исследования: 

  • Направление от лечащего врача;
  • Выполненные ранее рентгеновские снимки ангиографии брюшной аорты и ее ветвей, CD/DVD диски предыдущих КТ-ангиографии брюшной аорты;
  • Выписки из амбулаторных карт и стационаров;
  • Заключения профильных специалистов.

Перед КТ с контрастированием требуется оценить выводящую функцию почек. Это имеет важное значение, так как контраст выводится из организма преимущественно почками. Для этого необходимо сдать кровь на исследование уровня креатинина. При повышенном уровне креатинина крови контрастирование не проводится. Анализ крови действителен в течение 14 дней с момента забора биоматериала. 

Пациентам, которые принимают по поводу сахарного диабета такие сахароснижающие препараты, как Метформин, Глюкофаж или другие метформинсодержащие препараты, необходимо согласовать с эндокринологом временную отмену приема данных препаратов за 48 часов до исследования с контрастированием и на 48 часов после введения контраста.

Если контрастное усиление проводится женщине в период лактации, то пациентке необходимо на 24-48 часов после процедуры с введением контраста исключить грудное вскармливание, при этом молоко сцеживать и выливать. На этот период мы рекомендуем запастись для ребенка необходимым количеством грудного молока.

Для введения контраста непосредственно перед сканированием в периферическую вену устанавливается венозный катетер, к которому подключается автоматическое дозирующее устройство. С его помощью контраст вводится в вену во время исследования. При введении контраста может появиться неприятный привкус во рту, ощущение прилива, жара во всем теле, но этот дискомфорт проходит через 1-2 минуты. Контрастное вещество выводится из организма преимущественно почками в течение последующих суток.

Чтобы получить качественные изображения на снимках, от пациента требуется сохранять неподвижность в течение всей процедуры. Врач находится в смежном помещении, отделенном от диагностического кабинета стеклянной перегородкой. Связь с ним происходит через встроенное в аппарат переговорное устройство.

Противопоказания для проведения КТ брюшного отдела аорты и ее ветвей

Свернуть/развернуть

Компьютерная томография не проводится беременным женщинам в течение всего срока беременности, так как ионизирующее излучение оказывает негативное влияние на развивающийся плод. 

Также в нашей клинике невозможно выполнить КТ пациентам с массой тела более 120 кг из-за технических возможностей аппарата (ограничения по весу имеет выдвижной стол томографа).

Дополнительно имеются противопоказания для введения контраста. К ним относятся:

  • аллергия на йодсодержащие контрастные вещества;
  • заболевания почек с резко выраженными явлениями почечной недостаточности;
  • застойная сердечная недостаточность;
  • заболевания щитовидной железы с признаками гипертиреоза и тиреотоксикоза;
  • тяжелое течение бронхиальной астмы;
  • декомпенсированный сахарный диабет.

Что показывает КТ брюшного отдела аорты и ее ветвей

Свернуть/развернуть
  • форма сосуда и толщина его стенок;
  • наличие внутрипросветных тромбов;
  • непроходимость (окклюзия) аорты и  артерий;
  • расслоение стенки аорты с возможным переходом на ее ветви
  • сужение сосуда (стеноз);
  • аневризмы абдоминальных сосудов;
  • атеросклеротические бляшки
  • аномалии развития сосудов (количества,  формы и пр)
  • сдавление сосуда новообразованием (доброкачественным или злокачественным)

Запишитесь на КТ брюшного отдела аорты и ее ветвей по удобному адресу

Записаться
Фильтр по услугам КТ сосудов

Введение контраста

С контрастом Без контраста

Станция метро

Площадь Восстания Проспект Просвещения Нарвская Рыбацкое Девяткино Гражданский проспект Академическая Политехническая Площадь Мужества Лесная Выборгская Площадь Ленина Чернышевская Владимирская Пушкинская Технологический институт Балтийская Кировский завод Автово Ленинский проспект Проспект Ветеранов Парнас Озерки Удельная Пионерская Чёрная речка Петроградская Горьковская Невский проспект Сенная площадь Фрунзенская Московские ворота Электросила Парк Победы Московская Звёздная Купчино Беговая Зенит Приморская Василеостровская Гостиный двор Маяковская Площадь Александра Невского Елизаровская Ломоносовская Пролетарская Обухово Спасская Достоевская Лиговский проспект Площадь Александра Невского Новочеркасская Ладожская Проспект Большевиков Улица Дыбенко Комендантский проспект Старая Деревня Крестовский остров Чкаловская Спортивная Адмиралтейская Садовая Звенигородская Обводный канал Волковская Бухарестская Международная Проспект Славы Дунайская Шушары Богатырская Каменка Театральная Горный институт Путиловская Юго-Западная Кудрово Шуваловский проспект Каретная Боровая Заставская Броневая

Возраст пациента

Взрослому Ребенку от 15 лет

Пол пациента

Мужчине Женщине

Программы страхования

ДМС Платно ОМС

Цены

Услуги, соответствующие запросу, не найдены.

КТ сосудов головного мозга
руб
6 400 руб
КТ сосудов шеи
руб
6 400 руб
КТ сосудов шеи и головного мозга (брахиоцефальных артерий)
руб
9 100 руб
КТ грудного отдела аорты и ее ветвей
руб
9 500 руб
КТ коронарных артерий (коронарография)
руб
9 500 руб
КТ легочной артерии и ее ветвей
руб
10 600 руб
КТ брюшного отдела аорты и ее ветвей
руб
9 500 руб
КТ нижней полой вены
руб
8 600 руб
КТ чревного ствола с функциональными пробами на вдохе и выдохе
руб
7 600 руб
КТ воротной вены
руб
6 400 руб
КТ сосудов почек
руб
10 600 руб
КТ сосудов малого таза
руб
6 400 руб
КТ брюшного отдела аорты и сосудов (артерий) нижних конечностей
руб
13 500 руб
КТ сосудов верхних конечностей (1 рука)
руб
6 400 руб
КТ сосудов (артерий) нижних конечностей (2 ноги)
руб
От 7 500 руб
от бифуркации аорты до коленного сустава
руб
7 500 руб
от бифуркации аорты до стопы
руб
9 500 руб

Адреса диагностических центров "Доступная Медицина"

Преимущества наших диагностических центров

Доступные цены

Приемлемые цены
на все услуги

Качественный сервис

Контроль качества
оказываемых услуг

Лучшие специалисты

Высококвалифицированные врачи

Новейшее оборудование

Современные томографы с высочайшим качеством визуализации

Близость к метро

Мы находимся в непосредственной близости от метро и остановок общественного транспорта

Лицензии

Современные томографы с высочайшим качеством визуализации

Назад
Вперед
Ключникова Екатерина Игоревна
Информация проверена главным врачом клиники Domedica24
Ключникова Екатерина Игоревна
Стаж более 8 лет, главный врач, врач-рентгенолог 1 категории
Площадь Стачек, 9">
ул. 1-я Советская, 8">