Назад КТ околоносовых пазух с контрастом

Цена:
от 6 400 руб
Записаться
  • Срок получения результата В течение 24 часов
Описание

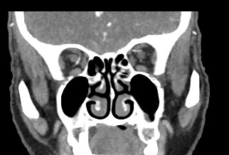
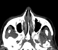
Околоносовые пазухи носа (синусы) представляют собой воздухоносные полости в костях лицевого и мозгового черепа, расположенные в непосредственной близости к полости носа. К околоносовым пазухам относят гайморовы пазухи (расположены в верхних челюстях), фронтальные синусы (в лобных костях черепа), клиновидная пазуха и ячейки решетчатого лабиринта.

Полости синусов изнутри выстланы слизистой оболочкой, они сообщаются с полостью носа, участвуют в очищении и согревании вдыхаемого воздуха и влияют на особенности тембра голоса. Околоносовые пазухи наиболее часто подвержены развитию острых и хронических воспалений, а также возникновению опухолевых образований, травматических повреждений и аномалий развития.

Золотым стандартом в диагностике патологических процессов пазух носа является мультиспиральная компьютерная томография. Это быстрый безболезненный и неинвазивный (то есть без вмешательства в организм) способ исследования состояния синусов. Метод основан на проникающей способности ионизирующего излучения и получения изображений органов и тканей организма за счет разной степени поглощения ими рентгеновских лучей.

Рентгеновские лучи лучше всего поглощаются костной тканью, поэтому кости хорошо видны на снимках КТ. Чтобы улучшить визуализацию мягких тканей и особенно патологических образований (в том числе полипов или опухолей), применяется внутривенное болюсное контрастирование. Для этого пациенту в вену вводится йодсодержащее контрастное вещество, которое улучшает видимость патологического очага на фоне здоровых тканей. С помощью методики контрастирования удается выявлять опухоли минимальных размеров, что повышает шансы пациента на успешное лечение и выздоровление. 

Современные компьютерные томографы позволяют получать подробные изображения исследуемой области и при этом минимизировать дозу облучения для пациента. Наши медицинские центры оборудованы новейшими мультиспиральными компьютерными томографами экспертного класса TOSHIBA AQUILION в различных модификациях. 

Аппараты имеют увеличенное количество детекторов, благодаря чему за один оборот кольца гентри (кольцеобразной рамы томографа) производится от 64 до 128 послойных снимков с толщиной срезов от 0,5 мм. Сверхчувствительные детекторы обеспечивают максимальное качество изображений, при этом время исследования сокращается и пациент получает уменьшенную дозу облучения.

На основе полученных данных цифровые приложения томографов создают трехмерные реконструкции пазух носа, что позволяет оценить пространственное взаимоотношение анатомических структур и помогает в диагностике патологии околоносовых пазух. 

Альтернативным методом обследования околоносовых пазух носа служит магнитно-резонансная томография. Метод МРТ лучше визуализирует мягкотканные структуры, поэтому в ряде случаев предпочтительно выполнение именно МР томографии. В нашей клинике МРТ придаточных пазух носа,  проводится на современном высокопольном магнитно-резонансном томографе экспертного уровня.

Показания для КТ околоносовых пазух носа

Свернуть/развернуть

Поводом для назначения мультиспиральной КТ пазух носа служат жалобы пациента на:

  • распирающие боли в области пазух носа, зубные боли или головные боли в сочетании с заложенностью носа, слизисто-гнойными выделениями из носовых ходов;
  • постоянную заложенность носа, стекание гнойного отделяемого из пазух носа по задней стенке глотки;
  • частые носовые кровотечения, которые не связаны с повышением артериального давления;
  • снижение обоняния и вкусовых ощущений.

Также КТ придаточных пазух носа назначается:

  • при травмах лицевого черепа;
  • при подозрении на кисты, полипы, опухолевые образования, абсцессы, кровоизлияния в пазухи носа;
  • в случае возникновения кист или гранулем зубов верхней челюсти;
  • при попадании инородных предметов в носовую полость и синусы;
  • в ходе предоперационной подготовки и для контроля динамики после проведенной операции.

Что покажет КТ околоносовых пазух с контрастом?

Свернуть/развернуть

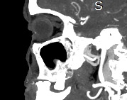
Мультиспиральная компьютерная томография дает информацию о состоянии полости носа, носовой перегородки, степени воздушности околоносовых пазух, путей дренирования синусов, состоянии слезных каналов. Сканирование позволяет оценить толщину слизистой, наличие патологического содержимого в просвете пазух (уровня «жидкости»), выявить опухолевые образования. С помощью КТ можно провести точную диагностику травматических повреждений костей лицевого черепа, определить локализацию инородных тел, попавших в полости синусов.

С помощью объемной реконструкции можно перед оперативным вмешательством увидеть особенности анатомии ЛОР-органов, определить точное расположение патологического очага по отношению к окружающим тканям. Компьютерная томография помогает в диагностике аномалий развития придаточных пазух носа, слезоотводящих каналов.

Кроме того, контрастное вещество ярко контрастирует патологические очаги на фоне здоровых тканей, в результате чего удается выявить опухоли минимальных размеров, отличить доброкачественные опухоли от злокачественных, диагностировать онкологические заболевания на ранней стадии. С помощью методики можно определить точные размеры опухоли, степень прорастания в соседние ткани, оценить состояние регионарных лимфоузлов.

Подготовка к КТ околоносовых пазух с контрастом

Свернуть/развернуть

Данное исследование не требует специальной подготовки.

Перед проведением КТ мы рекомендуем предоставить всю медицинскую документацию, которая относится к зоне исследования: 

  • Направление от лечащего врача;
  • Выполненные ранее рентгеновские снимки гортани, CD/DVD диски предыдущих КТ и МРТ придаточных пазух носа;
  • Выписки из амбулаторных карт и стационаров;
  • Заключения профильных специалистов.

Перед КТ с контрастированием необходимо сдать кровь на исследование уровня креатинина крови. Этот показатель характеризует выводящую функцию почек и имеет важное значение, так как контраст выводится из организма преимущественно почками. При повышенном уровне креатинина крови контрастирование не проводится. Анализ крови действителен в течение 14 дней с момента забора биоматериала. 

Пациентам, которые принимают по поводу сахарного диабета такие сахароснижающие препараты, как Метформин, Глюкофаж или другие метформинсодержащие препараты, необходимо согласовать с эндокринологом временную отмену приема данных препаратов за 48 часов до исследования с контрастированием и на 48 часов после введения контраста.

Для введения контраста непосредственно перед сканированием в периферическую вену устанавливается венозный катетер, к которому подключается автоматическое дозирующее устройство. С его помощью контраст вводится в вену во время исследования. При введении контраста может появиться неприятный привкус во рту, ощущение прилива, жара во всем теле, но этот дискомфорт проходит через 1-2 минуты. Контрастное вещество выводится из организма преимущественно почками в течение последующих суток.

Если контрастное усиление проводится женщине в период лактации, то пациентке необходимо на 24-48 часов после процедуры с введением контраста исключить грудное вскармливание, при этом молоко сцеживать и выливать. На этот период мы рекомендуем запастись для ребенка необходимым количеством грудного молока.

Чтобы получить качественные изображения на снимках, от пациента требуется сохранять неподвижность в течение всей процедуры. Врач находится в смежном помещении, отделенном от диагностического кабинета стеклянной перегородкой. Связь с ним происходит через встроенное в аппарат переговорное устройство.

Противопоказания для проведения КТ придаточных пазух носа

Свернуть/развернуть

Компьютерная томография не проводится беременным женщинам в течение всего срока беременности, так как ионизирующее излучение оказывает негативное влияние на развивающийся плод. 

Также в нашей клинике невозможно выполнить КТ пациентам с массой тела более 120 кг из-за технических возможностей аппарата (ограничения по весу имеет выдвижной стол томографа).

Дополнительно имеются противопоказания для введения контраста. К ним относятся:

  • аллергия на йодсодержащие контрастные вещества;
  • заболевания почек с резко выраженными явлениями почечной недостаточности;
  • застойная сердечная недостаточность;
  • заболевания щитовидной железы с признаками гипертиреоза и тиреотоксикоза;
  • тяжелое течение бронхиальной астмы;
  • декомпенсированный сахарный диабет.

Запишитесь на КТ околоносовых пазух с контрастом по удобному адресу

Записаться
Фильтр по услугам КТ с контрастом

Введение контраста

С контрастом Без контраста

Станция метро

Площадь Восстания Проспект Просвещения Нарвская Рыбацкое Девяткино Гражданский проспект Академическая Политехническая Площадь Мужества Лесная Выборгская Площадь Ленина Чернышевская Владимирская Пушкинская Технологический институт Балтийская Кировский завод Автово Ленинский проспект Проспект Ветеранов Парнас Озерки Удельная Пионерская Чёрная речка Петроградская Горьковская Невский проспект Сенная площадь Фрунзенская Московские ворота Электросила Парк Победы Московская Звёздная Купчино Беговая Зенит Приморская Василеостровская Гостиный двор Маяковская Площадь Александра Невского Елизаровская Ломоносовская Пролетарская Обухово Спасская Достоевская Лиговский проспект Площадь Александра Невского Новочеркасская Ладожская Проспект Большевиков Улица Дыбенко Комендантский проспект Старая Деревня Крестовский остров Чкаловская Спортивная Адмиралтейская Садовая Звенигородская Обводный канал Волковская Бухарестская Международная Проспект Славы Дунайская Шушары Богатырская Каменка Театральная Горный институт Путиловская Юго-Западная Кудрово Шуваловский проспект Каретная Боровая Заставская Броневая

Возраст пациента

Взрослому Ребенку от 15 лет

Пол пациента

Мужчине Женщине

Программы страхования

ДМС Платно ОМС

Цены

Услуги, соответствующие запросу, не найдены.

КТ головного мозга с контрастом
руб
От 6 400 руб
КТ околоносовых пазух с контрастом
руб
От 6 400 руб
КТ орбит с контрастом
руб
От 6 400 руб
КТ носоглотки с контрастом
руб
От 6 400 руб
КТ щитовидной железы с контрастом
руб
От 6 400 руб
КТ лимфатических узлов с контрастом
руб
От 6 400 руб
КТ гортани с контрастом
руб
От 6 400 руб
КТ шеи с контрастом
руб
От 6 600 руб
КТ легких с контрастом
руб
От 6 400 руб
КТ почек с контрастом
руб
От 6 400 руб
КТ печени с контрастом
руб
От 6 400 руб
КТ селезенки с контрастом
руб
От 6 400 руб
КТ поджелудочной железы с контрастом
руб
От 6 400 руб
КТ надпочечников с контрастом
руб
От 6 400 руб
КТ мочевого пузыря с контрастом
руб
От 6 400 руб
КТ одной анатомической зоны с контрастом
руб
От 6 400 руб
КТ брюшной полости и забрюшинного пространства с контрастом
руб
От 6 400 руб
КТ таза с контрастом
руб
От 6 400 руб
КТ верхней конечности с контрастом
руб
От 6 400 руб
КТ нижних конечностей с контрастом
руб
От 7 500 руб
от бифуркации аорты до коленного сустава
руб
От 7 500 руб
от бифуркации аорты до стопы
руб
От 9 500 руб
Контраст 100 мл (до 100 кг)
руб
3 500 руб
Контраст 150 мл (от 100 кг до 120 кг)
руб
4 500 руб

Адреса диагностических центров "Доступная Медицина"

Преимущества наших диагностических центров

Доступные цены

Приемлемые цены
на все услуги

Качественный сервис

Контроль качества
оказываемых услуг

Лучшие специалисты

Высококвалифицированные врачи

Новейшее оборудование

Современные томографы с высочайшим качеством визуализации

Близость к метро

Мы находимся в непосредственной близости от метро и остановок общественного транспорта

Лицензии

Современные томографы с высочайшим качеством визуализации

Назад
Вперед
Ключникова Екатерина Игоревна
Информация проверена главным врачом клиники Domedica24
Ключникова Екатерина Игоревна
Стаж более 8 лет, главный врач, врач-рентгенолог 1 категории
Площадь Стачек, 9">
ул. 1-я Советская, 8">