КТ пищевода в СПБ
- Введение контраста Нет
- Длительность выполнения 10 минут
- Ограничения по весу 120 кг
- Ограничения по возрасту От 15 лет
- Срок получения результата В течение дня
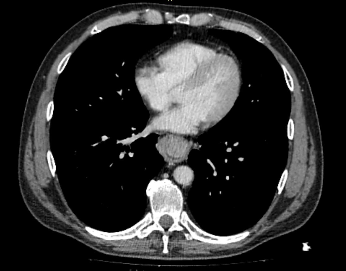
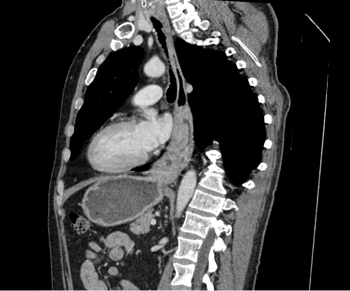
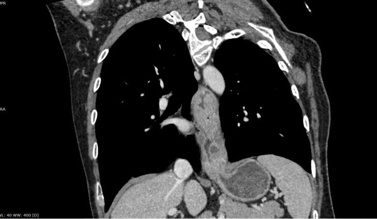
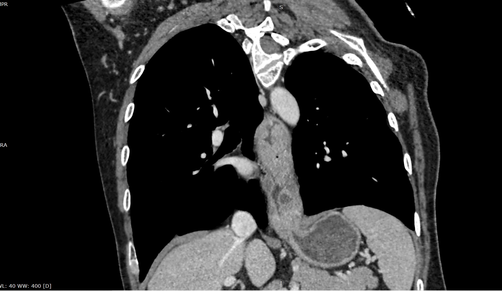
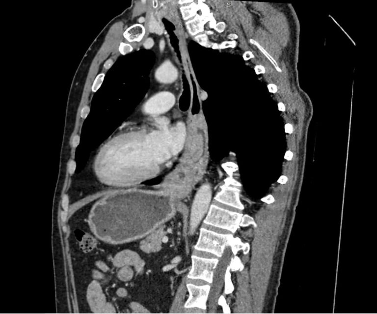
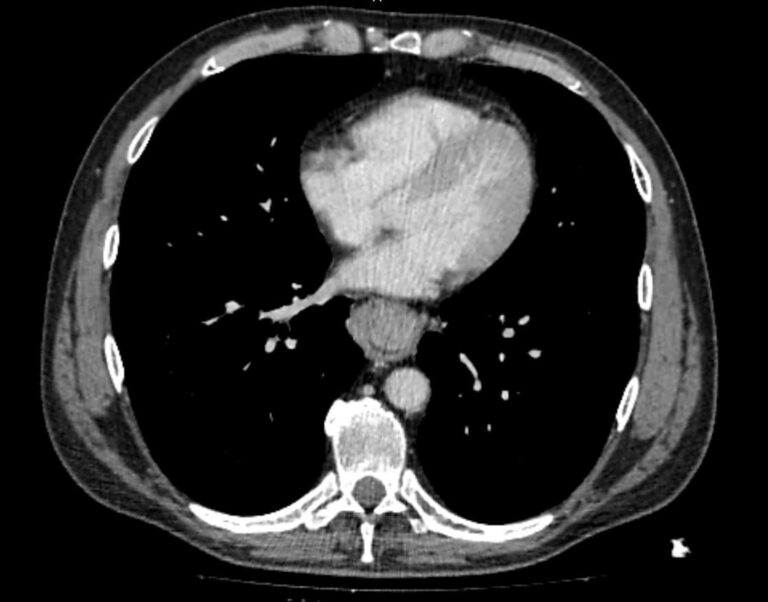
Компьютерная томография является высокоинформативным методом лучевой диагностики, который применяется для выявления заболеваний пищевода, используется при планировании оперативного лечения и для оценки успешности проведенной операции на пищеводе.
Данное исследование также позволяет оценить состояние соседних органов и тканей, включая легкие и регионарные лимфоузлы, что бывает важно для установления степени распространенности патологического процесса.
В нашей клинике исследование выполняется на новейшем 128-срезовом мультиспиральном компьютерном томографе экспертного уровня TOSHIBA AQUILION CXL. Аппарат послойно сканирует анатомическую область пищевода, выполняя срезы с минимальной толщиной от 0,5 мм, затем преобразует полученные данные в трехмерные изображения исследуемой зоны.
Томограф оснащен высокочувствительными детекторами, которые выполняют до 128 срезов анатомической области за секунды, обеспечивая превосходный уровень детализации изображений и высокое качество обследования. Кроме того увеличенное количество срезов сокращает время обследования и позволяет максимально снизить лучевую нагрузку на пациента.
Иногда для наиболее полной и точной визуализации патологических изменений бывает недостаточно нативного исследования, особенно это касается выявления опухолевых образований пищевода малых размеров. В этих случаях проводится внутривенное болюсное контрастирование, которое предусматривает введение в вену контрастного препарата на основе йода.
Контрастный препарат с током крови попадает в патологический очаг, накапливается в нем и обеспечивает его яркую визуализацию на фоне неизмененных окружающих тканей. Данный способ диагностики позволяет выявлять опухоли на ранней стадии, что является определяющим фактором для своевременного установления диагноза и назначения эффективного лечения. Контрастное вещество полностью выводится из организма преимущественно почками в течение последующих суток.
Еще одним вспомогательным методом является пероральное контрастирование разведенным йодсодержащим препаратом (прием жидкости с контрастным веществом через рот) для выявления патологического сужения просвета пищевода и участка расширения над ним, а также для исключения наличия свищевых ходов.
- Показания для КТ пищевода
- Как подготовиться к КТ пищевода
- Противопоказания для КТ пищевода
- С помощью компьютерной томографии пищевода можно обнаружить
Показания для КТ пищевода
- болезненные ощущения в верхнем отделе живота;
- нарушение аппетита;
- частая изжога;
- нарушение стула;
- кровяные включения в моче или кале;
- стойкий неприятный привкус во рту;
- другие патологии пищеварительного процесса.
- гастрит.
- язва.
- новообразования.
- грыжа.
- эзофагоспазм.
- медиастинит
Как подготовиться к КТ пищевода
Компьютерная томография пищевода проводится натощак, то есть должно пройти не менее 4 часов от времени последнего приема пищи.
Длительность сканирования без контрастирования составляет не более 1 минуты, при введении контрастного препарата – около 10 минут.
Перед исследованием нужно предоставить врачу-рентгенологу все документы, касающиеся зоны исследования. Перечень необходимых документов:
- Направление лечащего врача;
- Выписка из истории болезни или амбулаторной карты;
- Рентгеновские снимки, CD/DVD диски предыдущих КТ-исследований легких, органов средостения, пищевода;
- Заключения профильных специалистов.
В случае необходимости введения контрастного вещества, пациенту требуется сдать анализ крови на уровень креатинина (показатель, отражающий функцию почек) не более, чем за 14 дней до даты исследования.
Пациентам, принимающим по поводу сахарного диабета Метформин (Глюкофаж), необходимо, по согласованию с эндокринологом, прекратить прием данного препарата за 48 часов до исследования с контрастированием и на 48 часов после введения контраста.
Для введения контрастного препарата пациенту предварительно устанавливается в локтевую вену венозный катетер. В момент введения контраста может быть ощущение тепла или жара во всем теле и неприятный привкус во рту, но этот дискомфорт полностью исчезает через 1-2 минуты.
Если планируется проведение внутривенного болюсного контрастирования женщине в период лактации, то мы рекомендуем предварительно сделать запас грудного молока, а после процедуры с введением контраста не прикладывать ребенка к груди в течение 24-48 часов, при этом молоко нужно сцеживать и выливать.
Во время исследования пациент ложится спиной на выдвижной стол томографа. Врач во время исследования находится в соседнем помещении. Наблюдение за пациентом происходит через стеклянную перегородку, связь осуществляется при помощи вмонтированного в аппарат переговорного устройства.
В определенный момент исследования врач просит пациента задержать дыхание. Это необходимо для того, чтобы исключить нечеткость изображений при дыхательных движениях.
Противопоказания для КТ пищевода
Компьютерная томография является лучевым методом исследования и предполагает использование рентгеновского излучения. Поэтому во время беременности данное исследование не проводится из-за риска вредного воздействия на плод.
Кроме того, в нашей клинике невозможно выполнить КТ пищевода пациентам с массой тела более 120 кг. Данное ограничение обусловлено техническими характеристиками томографа.
Кроме ограничений для выполнения компьютерной томографии у пациента также могут быть противопоказания для введения контрастного препарата.
Контрастирование противопоказано в следующих случаях:
- если у пациента ранее отмечались аллергические реакции на йодсодержащие контрастные препараты;
- если у пациента имеются заболевания почек с развитием почечной недостаточности;
- при наличии сердечной недостаточности;
- если имеются заболевания щитовидной железы;
- в случае тяжелого течения бронхиальной астмы;
- при декомпенсированном сахарном диабете.
С помощью компьютерной томографии пищевода можно обнаружить
- опухоли – рак или доброкачественные новообразования (полипы, липомы, папилломы);
- кисты пищевода;
- врожденные пороки развития;
- инородные тела – в том числе те, которые вышли из пищевода в средостение (например, острые рыбьи кости);
- травматические повреждения пищевода;
- разрывы (могут быть не только травматическими, но и спонтанными);
- рубцовые сужения;
- свищи – патологические ходы, которые ведут в средостение или соседние органы, например в трахею;
- дивертикулы (выпячивания стенки пищевода);
- грыжи пищеводного отверстия диафрагмы;
- болезни оперированного и искусственного пищевода (слепой мешок, стриктуры, избыточная культя и т.д.).
Запишитесь на КТ пищевода по удобному адресу
ЗаписатьсяСтанция метро
Площадь Восстания Проспект Просвещения Нарвская Рыбацкое Девяткино Гражданский проспект Академическая Политехническая Площадь Мужества Лесная Выборгская Площадь Ленина Чернышевская Владимирская Пушкинская Технологический институт Балтийская Кировский завод Автово Ленинский проспект Проспект Ветеранов Парнас Озерки Удельная Пионерская Чёрная речка Петроградская Горьковская Невский проспект Сенная площадь Фрунзенская Московские ворота Электросила Парк Победы Московская Звёздная Купчино Беговая Зенит Приморская Василеостровская Гостиный двор Маяковская Площадь Александра Невского Елизаровская Ломоносовская Пролетарская Обухово Спасская Достоевская Лиговский проспект Площадь Александра Невского Новочеркасская Ладожская Проспект Большевиков Улица Дыбенко Комендантский проспект Старая Деревня Крестовский остров Чкаловская Спортивная Адмиралтейская Садовая Звенигородская Обводный канал Волковская Бухарестская Международная Проспект Славы Дунайская Шушары Богатырская Каменка Театральная Горный институт Путиловская Юго-Западная Кудрово Шуваловский проспект Каретная Боровая Заставская БроневаяРайон
Центральный Выборгский Кировский Адмиралтейски Василеостровский Калининский Колпинский Красногвардейский Красносельски Кронштадтский Курортный Московский Невский Петроградский Петродворцовый Приморский Пушкинский ФрунзенскийГород
Санкт-Петербург Бокситогорск Бугры Волосово Волхов Всеволожск Выборг Высоцк Гатчина Ивангород Каменногорск Кингисепп Кириши Кировск Колтуши Коммунар Кудрово Лодейное Поле Луга Любань Мурино Никольское Новая Ладога Отрадное Пикалёво Подпорожье Приморск Приозерск Светогорск Сертолово Сланцы Сосновый Бор Сясьстрой Тельмана Тихвин Тосно ШлиссельбургЦены
Услуги, соответствующие запросу, не найдены.
Адреса диагностических центров "Доступная Медицина"
Преимущества наших диагностических центров
Доступные цены
Приемлемые цены
на все услуги
Качественный сервис
Контроль качества
оказываемых услуг
Лучшие специалисты
Высококвалифицированные врачи
Новейшее оборудование
Современные томографы с высочайшим качеством визуализации
Близость к метро
Мы находимся в непосредственной близости от метро и остановок общественного транспорта
Наше оборудование
КТ-СПЕЦИАЛИСТЫ
Лицензии
Современные томографы с высочайшим качеством визуализации
Статьи наших врачей