Назад МРТ лучезапястного сустава в СПБ

5 300
/
По акции в Рыбацком
3 900
руб
Записаться на прием
5 300 руб
По акции в Рыбацком
3 900 руб
Записаться
  • Длительность выполнения 30 минут
  • Срок получения результата В течение дня
  • Ограничения по возрасту От 15 лет
  • Ограничения по весу 120 кг
  • Введение контраста Нет
Описание

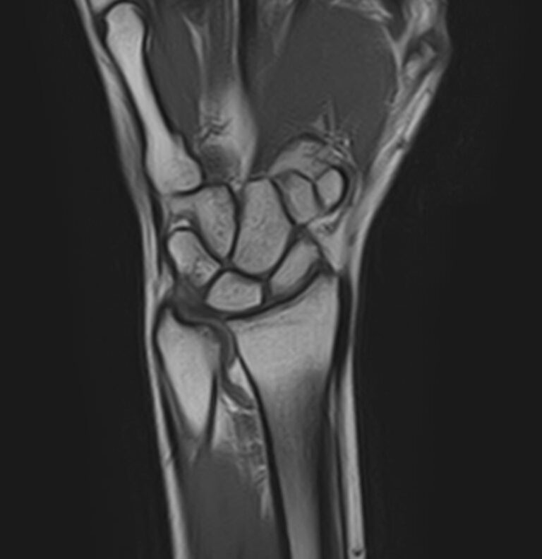
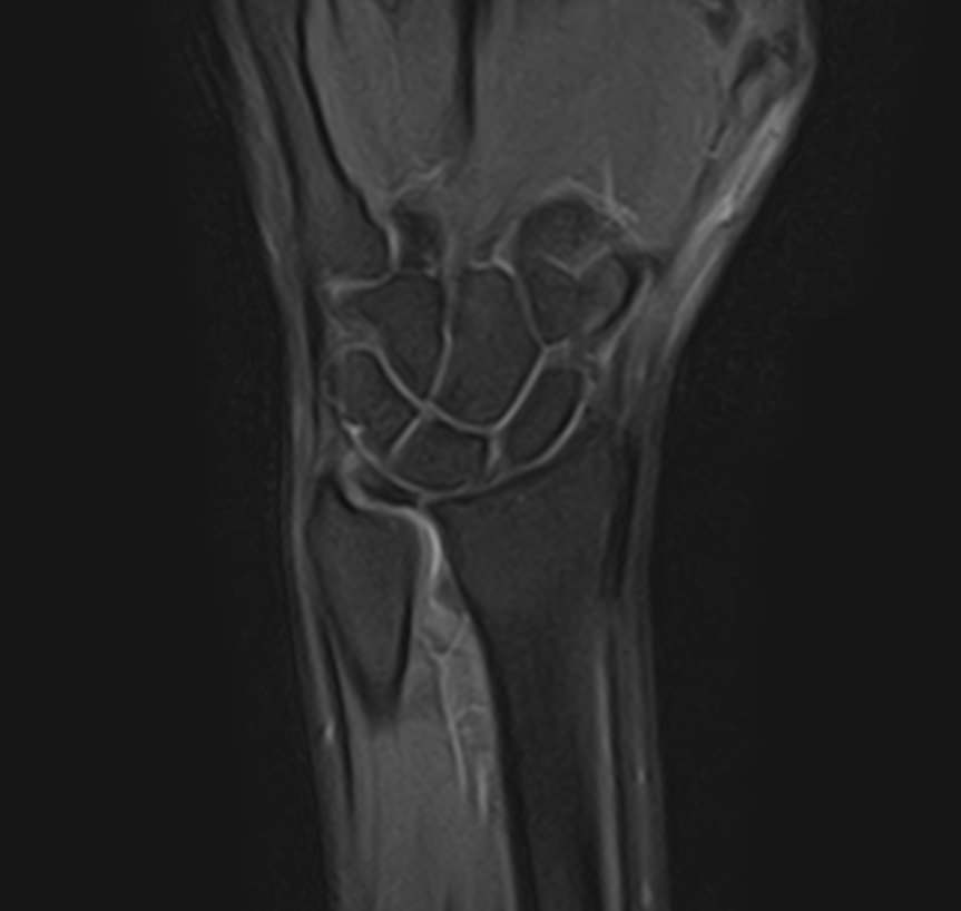
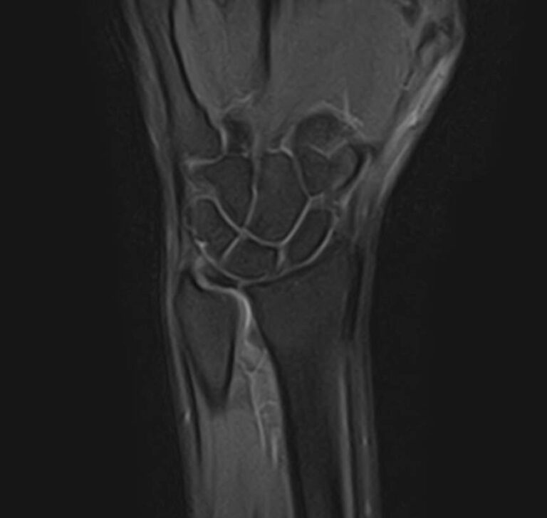
МРТ является современным высокоинформативным неинвазивным и при этом безопасным методом исследования, который позволяет детально визуализировать состояние всех структур лучезапястного сустава, включая дистальные отделы лучевой и локтевой костей, хрящей, сухожилий, нервов и окружающих мягких тканей. 

В клинике «Доступная медицина» исследование проводится на новейшем высокопольном томографе экспертного класса TOSHIBA VANTAGE TITAN 1,5 Тесла, который делает послойное сканирование исследуемой области в различных плоскостях с шагом от 1 мм и в дальнейшем преобразует полученные данные в трехмерные изображения. Результаты МРТ позволяют выявлять заболевания лучезапястного сустава на начальных стадиях и назначать своевременное лечение.

Обычно исследование данной анатомической области проводится без использования контрастных веществ. Контрастное усиление может потребоваться для уточнения патологических изменений, например, при подозрении на наличие опухолевых образований. В таких случаях пациенту внутривенно вводится контрастный препарат, содержащий гадодиамид (соли металла гадолиния). Контраст имеет свойство накапливаться в патологических очагах, при этом под воздействием магнитного поля томографа дает более яркое свечение, которое можно оценить и визуально, и в цифровом выражении.

Показания к проведению МРТ лучезапястного сустава

Свернуть/развернуть
  • Признаки разрушения костной ткани, остеонекроз и асептический некроз;
  • Воспалительный процесс с поражением сустава, его синовиальной оболочки, сухожилий и др. (синовит, тендовагинит, бурсит и т.д.);
  • Наличие инфекции в области костей и сустава (остеомиелит, остеоартрит). При данной патологии может потребоваться также МРТ суставов кисти;
  • Опухоли сустава, костей или мягких тканей в этой области;
  • Синдромзапястного канала (часто встречаются у людей, много работающих с компьютером или пишущих от руки);
  • Травмы :
    • Ушиб сустава
    • Разрывы связок
    • Стрессовые переломы (из-за перегрузки мышц в области соединения костей)
    • Переломы лучевой костиу детей;
  • Замедленное сращение имеющегося перелома;
  • Подозрение на ущемление нерва;
  • Подозрение на гигрому (киста с жидкостью) в области сустава.

Что показывает

МРТ лучезапястного сустава позволяет выявить следующие патологии:

  • Заболевания связочно-мышечного аппарата: гигромы запястья, флегмоны.
  • Артриты. В отличие от КТ или рентгенодиагностики, МРТ позволит обследовать все структуры сустава, повреждающиеся при данных заболеваниях — синовиальную сумку, кисты, краевые костные узуры. Это особенно актуально на ранних стадиях заболевания, когда при рентгенологическом обследовании нет четких изменений.
  • Остеомиелиты — МРТ дает возможность провести раннюю и точную диагностику заболевания, оценить внутри и внекостные поражения.
  • Туннельный синдром запястья — заболевание неврологической природы, которое возникает из-за сдавления срединного нерва костями, связками или сухожилиями, располагающимися в области запястья.
  • Опухолевые новообразования — МРТ позволит дифференцировать степень злокачественности новообразования, определить степень его распространения и взаимодействия с окружающими тканями.

Подготовка к МРТ лучезапястного сустава

Свернуть/развернуть

Для данного обследования особая подготовка не нужна. 

Необходимо принести с собой медицинскую документацию, относящуюся к зоне исследования:

  • направление от лечащего врача;
  • выписки из амбулаторных карт и стационаров;
  • результаты предыдущих исследований (МР-снимки, CD/DVD диски, снимки КТ).

Перед началом процедуры необходимо снять с себя все металлические предметы, включая украшения, пирсинг, а также одежду с металлическими элементами. Также следует убрать все электронные устройства: смартфоны, часы, планшеты, слуховые аппараты. 

При наличии немагнитных имплантатов или протезов, изготовленных из пара- и диамагнетиков (например, титан, алюминий), которые не препятствуют проведению МРТ, необходимо предупредить об этом врача-рентгенолога и предоставить справку из учреждения, в котором они были установлены.

Если планируется применение контраста пациенту с подозрением на почечную недостаточность, необходимо выполнить исследование уровня креатинина крови в течение 2 недель до даты проведения МРТ. Так как контраст выводится из организма не менее, чем за сутки, кормящим матерям следует прервать грудное вскармливание после исследования на 24-48 часов, молоко после сцеживания выливать.

При проведении обследования необходимо сохранять неподвижность для получения качественных изображений исследуемой области. Томограф издает шум во время своей работы, поэтому, чтобы защитить слух, пациенту надевают наушники. 

Медперсонал находится в смежном помещении, отделенном от диагностического кабинета стеклянной перегородкой. С врачом можно общаться через вмонтированное в аппарат устройство связи. Для вызова медработника есть специальная сигнальная груша, которая находится в руке пациента в течение всего времени сканирования. По желанию пациента разрешается присутствие сопровождающего при проведении процедуры.

Противопоказания для МРТ лучезапястного сустава

Свернуть/развернуть
  • Наличие у пациента вживленных электронных устройств, работа которых может нарушиться под действием магнитного поля томографа. Это могут быть кардиостимуляторы, дефибрилляторы, кохлеарные имплантаты, инсулиновые помпы, нейростимуляторы. 
  • При наличии в теле металлических изделий медицинского назначения (протезы, штифты, винты, пластины, сосудистые скобы, клипсы, стенты, кава-фильтры), а также инородных предметов из металла (это могут быть осколки, металлическая стружка, пули, дробь, неснимаемый пирсинг, татуировки с использованием металлизированных красок). 
  • Женщинам в первом триместре беременности нежелательно проводить МРТ из-за риска воздействия магнитного поля на формирующиеся органы плода.
  • На любом сроке беременности противопоказано введение контраста. 
  • Противопоказано контрастирование при заболеваниях почек со снижением их функции, а также при наличии в анамнезе аллергических реакций на контрастное вещество. 
  • Клаустрофобия (боязнь закрытых пространств) может ограничивать проведение МРТ. 
  • Из-за технических ограничений по весу томографа невозможно выполнить исследование пациентам с избыточной массой тела более 120 кг.

Если у вас имеются противопоказания для МРТ, в клинике «Доступная медицина» выполняется КТ лучезапястного сустава при помощи компьютерного томографа экспертного класса со сниженной лучевой нагрузкой.

Запишитесь на МРТ лучезапястного сустава по удобному адресу

Записаться
Фильтр по услугам МРТ суставов

Введение контраста

С контрастом Без контраста

Станция метро

Площадь Восстания Нарвская Проспект Просвещения Рыбацкое Девяткино Гражданский проспект Академическая Политехническая Площадь Мужества Лесная Выборгская Площадь Ленина Чернышевская Владимирская Пушкинская Технологический институт Балтийская Кировский завод Автово Ленинский проспект Проспект Ветеранов Парнас Озерки Удельная Пионерская Чёрная речка Петроградская Горьковская Невский проспект Сенная площадь Фрунзенская Московские ворота Электросила Парк Победы Московская Звёздная Купчино Беговая Зенит Приморская Василеостровская Гостиный двор Маяковская Площадь Александра Невского Елизаровская Ломоносовская Пролетарская Обухово Спасская Достоевская Лиговский проспект Площадь Александра Невского Новочеркасская Ладожская Проспект Большевиков Улица Дыбенко Комендантский проспект Старая Деревня Крестовский остров Чкаловская Спортивная Адмиралтейская Садовая Звенигородская Обводный канал Волковская Бухарестская Международная Проспект Славы Дунайская Шушары Богатырская Каменка Театральная Горный институт Путиловская Юго-Западная Кудрово Шуваловский проспект Каретная Боровая Заставская Броневая

Возраст пациента

Взрослому Ребенку от 15 лет

Пол пациента

Мужчине Женщине

Тип аппарата

Открытый Закрытый

Мощность МРТ

1.5 Тл 3 Тесла

Программы страхования

ДМС Платно ОМС

Цены

Услуги, соответствующие запросу, не найдены.

МРТ крестцово-подвздошных суставов
руб
4 600 / 3 200 руб
Подробнее
МРТ височно-нижнечелюстных суставов (1 положение)
руб
4 200 руб
МРТ височно-нижнечелюстных суставов (ВНЧС) открытый рот/закрытый рот
руб
6 200 руб
МРТ височно-нижнечелюстных суставов (ВНЧС) открытый рот/закрытый рот с капой (капа выдается лечащим врачом)
руб
6 200 руб
МРТ височно-нижнечелюстных суставов (ВНЧС) открытый рот/закрытый рот/закрытый рот с регистратором прикуса (регистратор выдается лечащим врачом)
руб
8 200 руб
МРТ плечевого сустава
руб
5 300 / 3 900 руб
Подробнее
МРТ локтевого сустава
руб
5 300 / 3 900 руб
Подробнее
МРТ лучезапястного сустава
руб
5 300 / 3 900 руб
Подробнее
МРТ кисти
руб
5 300 / 3 900 руб
Подробнее
МРТ тазобедренных суставов
руб
5 300 / 3 900 руб
Подробнее
МРТ тазобедренного сустава расширенное (1 сустав) *Акция во всех филиалах
руб
5 300 руб
МРТ коленного сустава
руб
5 300 / 3 900 руб
Подробнее
МРТ голеностопного сустава
руб
5 300 / 3 900 руб
Подробнее
МРТ стопы
руб
5 300 / 3 900 руб
Подробнее
МРТ двух суставов
руб
8 600 / 7 200 руб
Подробнее

Адреса диагностических центров "Доступная Медицина"

Преимущества наших диагностических центров

Доступные цены

Приемлемые цены
на все услуги

Качественный сервис

Контроль качества
оказываемых услуг

Лучшие специалисты

Высококвалифицированные врачи

Новейшее оборудование

Современные томографы с высочайшим качеством визуализации

Близость к метро

Мы находимся в непосредственной близости от метро и остановок общественного транспорта

Лицензии

Современные томографы с высочайшим качеством визуализации

Назад
Вперед
Ключникова Екатерина Игоревна
Информация проверена главным врачом клиники Domedica24
Ключникова Екатерина Игоревна
Стаж более 8 лет, главный врач, врач-рентгенолог 1 категории
Площадь Стачек, 9">
ул. 1-я Советская, 8">