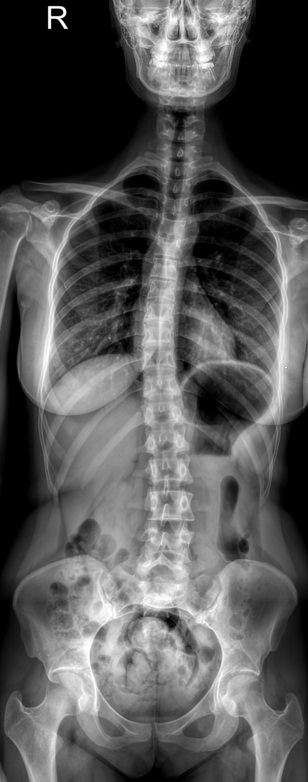
Назад Рентген позвоночника на кифосколиоз в прямой и боковой проекциях

Цена:
2 600 руб
Записаться
  • Длительность выполнения 15 минут
Описание

Кифосколиоз ― комбинированное искривление позвоночника в переднезаднем и боковом направлении одновременно. Развивается на фоне врожденных аномалий позвонков: иногда на первом году жизни, но чаще в 13-15 лет. Провоцируют болезнь недостаточность соединительной ткани, ДЦП, полиомиелит, рахит. А также избыточный вес, поднятие тяжестей, малоподвижный образ жизни. Все вместе приводит к усилению естественного грудного кифоза, постепенно к нему присоединяется и боковое сколиотическое изменение. По мере роста деформации грудная клетка сдавливает внутренние органы.

При появлении признаков кифосколиоза или подозрении на него врач в качестве первичного обследования обычно назначает рентген. При этом рекомендован снимок всего позвоночного столба: как для выявления различных аномалий развития позвонков, так и для определения углов отклонения и, соответственно, степени заболевания. Для этого делают несколько обычных прицельных снимков и соединяют их в один с помощью компьютера. Несмотря на большую, казалось бы, дозу облучения, волноваться не стоит. Современное цифровое рентгеновское оборудование излучает настолько маленькую дозу, что даже при серии снимков трудно набрать допустимое для человеческого организма количество облучения.

Врач-рентгенолог  высчитывает углы возникшей деформации. Для определения угла кифоза на боковой рентгенограмме вычерчиваются линии, соединяющие нейтральные, то есть не измененные позвонки, с тем, что находится на самой вершине. Угол между ними и будет искомым. Угол сколиоза определяют по снимку в прямой проекции.

Кому назначают рентген позвоночника на кифосколиоз в прямой и боковой проекциях (стичинг)

Свернуть/развернуть

В течении заболевания различают 4 степени тяжести. В самом начале могут быть следующие симптомы, которые позволяют врачу предположить развитие данной патологии:

  • Ноющие боли в спине;
  • Быстрая утомляемость;
  • Иногда ощущение нехватки воздуха;
  • Сутулость, 
  • Голова опущена;
  • Плечи сведены вперед.

Изменения в осанке заметны только когда человек стоит, в положении лежа они исчезают. В дальнейшем, при присоединении сколиоза, наблюдаются:

  • Асимметрия надплечий, лопаток, гребней подвздошных костей;
  • Наклон головы в сторону, а верхней части туловища ― вперед;   
  • Сутулость превращается в «круглую спину», а затем в горб;
  • Сужение грудной клетки;
  • Слабость мышц живота;
  • Усиление одышки и болей в спине, появление аритмии.

В дальнейшем развиваются дегенеративные нарушения межпозвонковых дисков. Следовательно, присоединяется и неврологическая симптоматика ― снижение чувствительности разных участков кожи спины, живота и ног, ослабление мышечной силы.

Что можно выявить благодаря рентгену всего позвоночника

Свернуть/развернуть
  • Угол или углы сколиоза;
  • Угол кифоза;
  • Изменения шейного и поясничного лордозов: сглаживание или усиление;
  • Врожденные аномалии, вызвавшие развитие кифоза; 
  • Остеопороз, склероз и другие изменения ткани тел позвонков;
  • Наличие ротации позвонков;
  • Уменьшение межпозвонковых промежутков, признаки дегенеративных процессов в них;
  • Переломы, вывихи, новообразования, если они есть.

Подготовка к рентгену позвоночника на кифосколиоз в двух проекциях (стичинг)

Свернуть/развернуть

Подготовки не требуется. Пациент снимает одежду, оставаясь в белье, а также металлические украшения и гаджеты, и становится к экрану детектора. Рентгенография выполняется в положении стоя. 

Для диагностики кифосколиоза необходимы 6 снимков:

  • Шейного, грудного и пояснично-крестцового отделов в прямой проекции;
  • Те же самые отделы в боковой проекции в состоянии максимального разгибания.

Каждый раз правильно встать помогает рентгенолаборант. Затем по его команде надо замереть и задержать дыхание. Во время снимка вы ничего не почувствуете.

Описание будет готово в этот же день.

Противопоказания

Свернуть/развернуть

Стичинг при кифосколиозе не делают беременным. В детском и подростковом возрасте обследование возможно только по назначению лечащего врача.

Запишитесь на Рентген позвоночника на кифосколиоз в прямой и боковой проекциях по удобному адресу

Записаться
Фильтр по услугам Рентген костно-суставной системы

Станция метро

Площадь Восстания Проспект Просвещения Нарвская Рыбацкое Девяткино Гражданский проспект Академическая Политехническая Площадь Мужества Лесная Выборгская Площадь Ленина Чернышевская Владимирская Пушкинская Технологический институт Балтийская Кировский завод Автово Ленинский проспект Проспект Ветеранов Парнас Озерки Удельная Пионерская Чёрная речка Петроградская Горьковская Невский проспект Сенная площадь Фрунзенская Московские ворота Электросила Парк Победы Московская Звёздная Купчино Беговая Зенит Приморская Василеостровская Гостиный двор Маяковская Площадь Александра Невского Елизаровская Ломоносовская Пролетарская Обухово Спасская Достоевская Лиговский проспект Площадь Александра Невского Новочеркасская Ладожская Проспект Большевиков Улица Дыбенко Комендантский проспект Старая Деревня Крестовский остров Чкаловская Спортивная Адмиралтейская Садовая Звенигородская Обводный канал Волковская Бухарестская Международная Проспект Славы Дунайская Шушары Богатырская Каменка Театральная Горный институт Путиловская Юго-Западная Кудрово Шуваловский проспект Каретная Боровая Заставская Броневая

Возраст пациента

Взрослому Ребенку от 15 лет

Пол пациента

Мужчине Женщине

Количество проекций

Одна Две

Введение контраста

С контрастом Без контраста

Цены

Услуги, соответствующие запросу, не найдены.

Рентген черепа (1 проекция)
руб
1 400 руб
Рентген черепа (2 проекции)
руб
1 900 руб
Рентген турецкого седла
руб
1 400 руб
Рентген придаточных пазух носа
руб
1 400 руб
Рентген придаточных пазух носа (2 проекции)
руб
1 900 руб
Рентген костей носа при искривлении носовой перегородки
руб
1 400 руб
Рентген нижней челюсти (2 проекции)
руб
1 900 руб
Рентген атланто-аксиального сочленения
руб
1 400 руб
Рентген шейного отдела позвоночника (2 проекции)
руб
1 900 руб
Функциональные исследования позвоночника (шейный отдел)
руб
3 200 руб
Рентген шейного отдела позвоночника с функциональными пробами + С1 позвонок
руб
3 600 руб
Рентген грудного отдела позвоночника (2 проекции)
руб
1 900 руб
Рентген поясничного-крестцового отдела позвоночника (2 проекции)
руб
1 900 руб
Функциональные исследования позвоночника (поясничный отдел)
руб
3 200 руб
Рентген крестцового отдела позвоночника и копчика (2 проекции)
руб
1 900 руб
Рентген крестцово-подвздошного сочленения (3 проекции)
руб
2 100 руб
Рентген копчика (2 проекции)
руб
1 900 руб
Рентген копчика с функциональными пробами
руб
2 600 руб
Рентген позвоночника при сколиозе в прямой проекции (стичинг)
руб
1 600 руб
Рентген позвоночника при нарушении статики в боковой проекции (стичинг)
руб
1 600 руб
Рентген позвоночника на кифосколиоз в прямой и боковой проекциях (стичинг)
руб
2 600 руб
Рентген ключицы (2 проекции)
руб
1 900 руб
Рентген обеих ключиц (1 проекция)
руб
2 100 руб
Рентген обеих ключиц (2 проекции)
руб
3 100 руб
Рентген ребер (прицельно)
руб
1 400 руб
Рентген лопатки (2 проекции)
руб
1 900 руб
Рентген обеих лопаток (2 проекции)
руб
3 100 руб
Рентген акромиально-ключичного сочленения (2 проекции)
руб
1 900 руб
Рентген обоих акромиально-ключичных сочленений (1 проекция)
руб
2 100 руб
Рентген обоих акромиально-ключичных сочленений (2 проекции)
руб
3 100 руб
Рентген грудино-ключичных сочленений
руб
1 400 руб
Рентген плечевого сустава (2 проекции) (Рентген плеча)
руб
1 900 руб
Рентген обоих плечевых суставов (2 проекции)
руб
3 100 руб
Рентген плечевой кости (2 проекции) (Рентген плеча)
руб
1 900 руб
Рентген локтевого сустава (2 проекции) (Рентген локтя)
руб
1 900 руб
Рентген предплечья (2 проекции) (Рентген локтевой и лучевой костей)
руб
1 900 руб
Рентген лучезапястного сустава (2 проекции)
руб
1 900 руб
Рентген пястно-запястных суставов
руб
1 400 руб
Рентген пястно-фаланговых суставов
руб
1 400 руб
Рентген межфалангового сустава (2 проекции) (прицельно)
руб
1 900 руб
Рентген кисти (2 проекции)
руб
1 900 руб
Рентген обеих кистей (1 проекция)
руб
2 100 руб
Рентген обеих кистей (2 проекции)
руб
3 100 руб
Рентген кистей для определения костного возраста
руб
2 100 руб
Рентген костей таза (Рентген подвздошной, лонной и седалищной костей)
руб
1 400 руб
Рентген тазобедренного сустава (2 проекции)
руб
1 900 руб
Рентген тазобедренных суставов (1 проекция)
руб
2 100 руб
Рентген тазобедренных суставов (2 проекции)
руб
3 100 руб
Рентген тазобедренных суставов в прямой проекции и по Лаунштейну
руб
2 600 руб
Рентген бедренной кости (2 проекции)
руб
1 900 руб
Рентген обеих бедренных костей (1 проекция)
руб
2 100 руб
Рентген обеих бедренных костей (2 проекции)
руб
3 100 руб
Рентген коленного сустава (2 проекции)
руб
1 900 руб
Рентген обоих коленных суставов (1 проекция)
руб
2 100 руб
Рентген обоих коленных суставов (2 проекции)
руб
3 100 руб
Рентген пателло-феморального сочленения с обеих сторон
руб
1 900 руб
Рентген костей голени (2 проекции) (Рентген большеберцовой и малоберцовой костей)
руб
1 900 руб
Рентген костей голени обеих ног (1 проекция)
руб
2 100 руб
Рентген костей голени обеих ног (2 проекции)
руб
3 100 руб
Рентген голеностопного сустава (2 проекции)
руб
1 900 руб
Рентген голеностопных суставов (1 проекция)
руб
2 100 руб
Рентген голеностопных суставов (2 проекции)
руб
3 100 руб
Рентген пяточных костей в боковой проекции
руб
1 400 руб
Рентген пяточных костей (2 проекции)
руб
1 900 руб
Рентген стоп в прямой проекции
руб
2 100 руб
Рентген стопы (2 проекции)
руб
1 900 руб
Рентген стоп в боковой проекции
руб
2 100 руб
Рентген стоп в двух проекциях (Рентген плюсне-фаланговых суставов, Рентген предплюсне-плюсневого сочленения)
руб
3 100 руб
Рентген одной стопы на продольное плоскостопие
руб
1 400 руб
Рентген одной стопы на поперечное плоскостопие
руб
1 400 руб
Рентген одной стопы на продольное и поперечное плоскостопие
руб
1 900 руб
Рентген обеих стоп на продольное плоскостопие
руб
2 100 руб
Рентген обеих стоп на поперечное плоскостопие
руб
2 100 руб
Рентген обеих стоп на продольное и поперечное плоскостопие (Рентген стоп на плоскостопие для военкомата, Рентген стоп на плоскостопие с полной статической нагрузкой)
руб
3 100 руб
Рентген ног (ститчинг)
руб
2 100 руб
Рентген ног (стичинг) 2 проекции/с функциональными пробами
руб
3 100 руб
Дополнительная проекция
руб
600 руб

Адреса диагностических центров "Доступная Медицина"

Преимущества наших диагностических центров

Доступные цены

Приемлемые цены
на все услуги

Качественный сервис

Контроль качества
оказываемых услуг

Лучшие специалисты

Высококвалифицированные врачи

Новейшее оборудование

Современные томографы с высочайшим качеством визуализации

Близость к метро

Мы находимся в непосредственной близости от метро и остановок общественного транспорта

Лицензии

Современные томографы с высочайшим качеством визуализации

Назад
Вперед
Ключникова Екатерина Игоревна
Информация проверена главным врачом клиники Domedica24
Ключникова Екатерина Игоревна
Стаж более 8 лет, главный врач, врач-рентгенолог 1 категории
Площадь Стачек, 9">
ул. 1-я Советская, 8">