Назад КТ одной анатомической зоны с контрастом

Цена:
от 6 400 руб
Записаться
  • Срок получения результата В течение 24 часов
Описание

Мультиспиральная компьютерная томография, как и обычный рентген, относится к лучевым методам исследования и включает в себя сканирование различных анатомических зон при помощи рентгеновских лучей. Разные органы и ткани в разной степени поглощают рентгеновские лучи. Костные ткани хорошо поглощают лучи рентгена, поэтому ярко визуализируются на снимках. Однако при обычном рентгене изображения костей и различных органов могут накладываться друг на друга, затрудняя диагностику. 

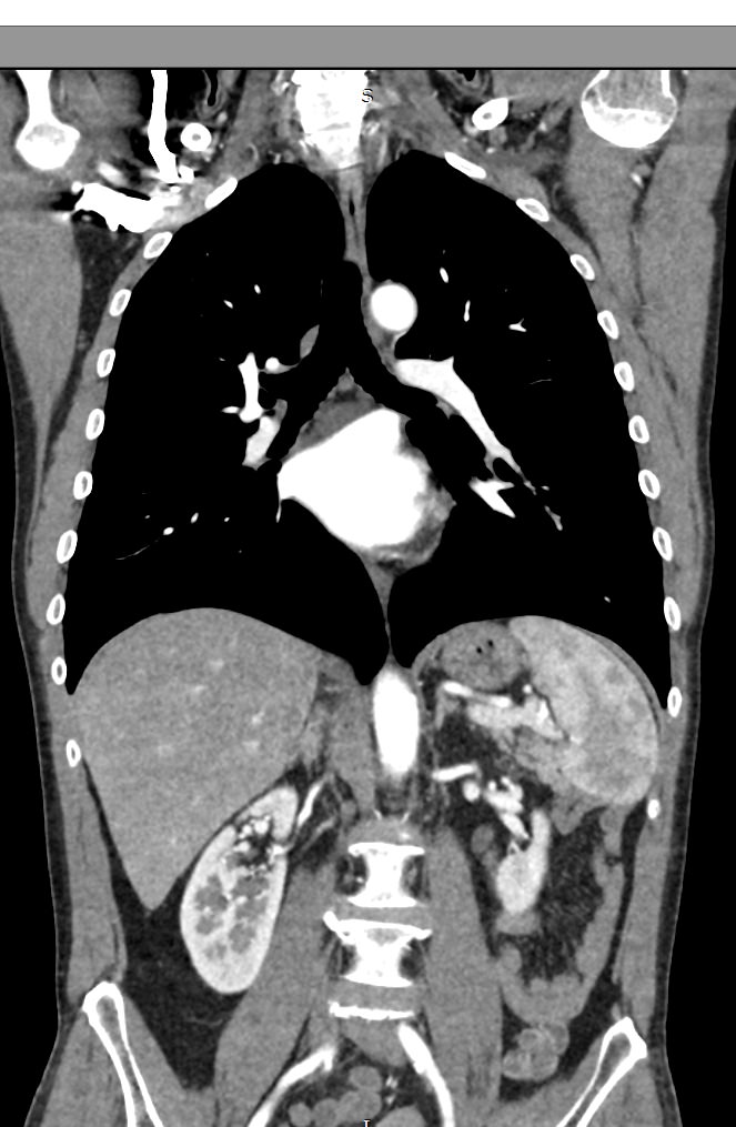
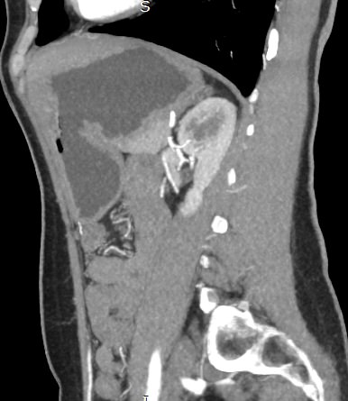
В компьютерном томографе излучатель рентгеновских лучей установлен в кольцевой части аппарата и, непрерывно вращаясь вокруг зоны исследования, производит послойное сканирование в различных плоскостях. В результате получаются снимки анатомической зоны в мельчайших подробностях, а после цифровой обработки полученных данных – точные трехмерные объемные модели исследуемой области. При этом изображения органов можно приблизить, повернуть в разные стороны, что значительно повышает точность диагностики различных заболеваний.

Для улучшения визуализации мягкотканных структур (внутренних органов, клетчаточных пространств, связок, мышц, сухожилий, кровеносных сосудов и лимфатических узлов) в ряде случаев проводится дополнительно контрастное усиление. Для этого пациенту внутривенно вводится йодсодержащий контрастный препарат, который активно поглощает рентгеновские лучи. Благодаря способности контраста накапливаться в патологических участках, они становятся хорошо видны на снимках КТ. Контрастное усиление позволяет оценить состояние сосудистой системы, выявить участки воспаления и опухолевые образования. С помощью контрастирования удается выявлять опухоли минимальных размеров, определить точные размеры и границы опухоли, степень ее воздействия на окружающие ткани. 

В диагностических центрах «Доступная медицина» обследование проводится на современных мультиспиральных компьютерных томографах экспертного класса TOSHIBA AQUILION. На аппаратах применяется методика скоростного мультисрезового сканирования, благодаря чему удается минимизировать дозу рентгеновского облучения для пациента, при этом обеспечить высокое качество изображений на снимках и трехмерных реконструкциях.

Когда проводится КТ одной анатомической зоны с контрастом?

Свернуть/развернуть

Компьютерная томография – это быстрая безболезненная неинвазивная (то есть без вмешательства в организм) процедура. Поэтому КТ часто применяется при получении травм, переломов костей, ушибов, разрывов связок. КТ назначается при различных заболеваниях головного мозга, внутренних органов, расположенных в грудной, брюшной полости и забрюшинном пространстве.

Мультиспиральная КТ может быть назначена при подозрении на системные аутоиммунные заболевания суставов и позвоночника (например, ревматоидный артрит, волчаночный артрит), воспалительные и инфекционные заболевания (остеомиелит). КТ проводится при подозрении на опухолевые образования доброкачественного или злокачественного характера. Метод применяется для уточнения патологических изменений, выявленных при проведении других исследований (рентген, УЗИ), а также в сложных диагностических случаях.

Кроме того, компьютерная томография проводится при планировании оперативного вмешательства и в послеоперационном периоде для визуального контроля успешности проведенной операции, мониторинга процесса восстановления тканей.

Что показывает КТ одной анатомической зоны с контрастом?

Свернуть/развернуть

Мультиспиральная КТ применяется в неврологии, ортопедии, травматологии, хирургии, онкологии, поэтому может назначаться врачами любых специальностей. Данное исследование позволяет диагностировать:

  • Травматические повреждения костей скелета и суставов (различные переломы, ушибы надкостницы, вывихи, разрывы связок);
  • Воспалительные заболевания легких, головного мозга и внутренних органов, суставов и позвоночника;
  • Дегенеративно-дистрофические заболевания суставов и позвоночника;
  • Аномалии развития костного скелета, кровеносных сосудов и внутренних органов;
  • Опухолевые образования головного мозга, легких, внутренних органов, костей скелета и позвоночника (доброкачественного и злокачественного характера).

Подготовка к КТ одной анатомической зоны с контрастом

Свернуть/развернуть

Мультиспиральная компьютерная томография является быстрой и безболезненной процедурой. Однако введение контрастного вещества предварительной подготовки.

Для сравнения данных с предыдущими результатами обследований мы рекомендуем принести в день исследования врачу-рентгенологу все документы, касающиеся зоны исследования. К таким документам относятся:

  • Направление лечащего врача;
  • Выписка из истории болезни или амбулаторной карты;
  • Рентгеновские снимки, CD/DVD диски предыдущих КТ или МРТ-исследования той анатомической зоны, которая требует обследования;
  • Заключения профильных специалистов.

 

Так как контраст выводится из организма преимущественно почками, при выполнении процедуры с введением контрастного вещества предварительно требуется оценить функциональную способность почек. Для этого пациенту нужно сдать анализ крови на уровень креатинина (показатель, отражающий функцию почек). Анализ крови действителен не более 2 недель с момента забора биоматериала. 

Пациентам, принимающим по поводу сахарного диабета Метформин (Глюкофаж или другие метформинсодержащие препараты), необходимо согласовать с эндокринологом временную отмену данного препарата за 48 часов до исследования с контрастированием и на 48 часов после введения контраста.

Введение контрастного препарата осуществляется с помощью специального дозирующего устройства. Оно подключается к предварительно установленному в периферическую вену венозному катетеру. В момент введения контраста может быть ощущение тепла или жара во всем теле и неприятный привкус во рту, но этот дискомфорт полностью исчезает через 1-2 минуты.

Если необходимо проведение внутривенного болюсного контрастирования женщине в период лактации, то мы рекомендуем предварительно сделать запас грудного молока, а после процедуры с введением контраста не прикладывать ребенка к груди в течение 24-48 часов, при этом молоко нужно сцеживать и выливать.

Исследование проводится лежа на спине на выдвижном столе томографа, который плавно передвигается в кольцевой раме томографа.

Врач-рентгенолог и рентгенолаборант находятся в соседнем помещении, отделенном от диагностического кабинета стеклянной перегородкой. Связь с пациентом осуществляется через переговорное устройство, встроенное в томограф.

Противопоказания для проведения КТ одной анатомической зоны с контрастом

Свернуть/развернуть

Компьютерная томография основана на использовании рентгеновского излучения, поэтому может негативно влиять на плод во время внутриутробного развития. Учитывая это, КТ не проводится женщинам в течение всего периода беременности.

Кроме того, компьютерные томографы имеют ограничения по весу, поэтому в наших центрах невозможно выполнить КТ пациентам с массой тела, превышающей 120 кг.

В некоторых случаях у пациента могут быть ограничения для введения контрастного препарата. Поэтому контрастирование не проводится:

  • если ранее отмечались аллергические реакции на йодсодержащие контрастные препараты; 
  • если у пациента имеются заболевания почек с развитием выраженной почечной недостаточности;
  • при наличии застойной сердечной недостаточности;
  • если имеются заболевания щитовидной железы с явлениями гипертиреоза, тиреотоксикоза;
  • в случае тяжелого течения бронхиальной астмы;
  • при декомпенсированном сахарном диабете.

 

Запишитесь на КТ одной анатомической зоны с контрастом по удобному адресу

Записаться
Фильтр по услугам КТ с контрастом

Введение контраста

С контрастом Без контраста

Станция метро

Площадь Восстания Проспект Просвещения Нарвская Рыбацкое Девяткино Гражданский проспект Академическая Политехническая Площадь Мужества Лесная Выборгская Площадь Ленина Чернышевская Владимирская Пушкинская Технологический институт Балтийская Кировский завод Автово Ленинский проспект Проспект Ветеранов Парнас Озерки Удельная Пионерская Чёрная речка Петроградская Горьковская Невский проспект Сенная площадь Фрунзенская Московские ворота Электросила Парк Победы Московская Звёздная Купчино Беговая Зенит Приморская Василеостровская Гостиный двор Маяковская Площадь Александра Невского Елизаровская Ломоносовская Пролетарская Обухово Спасская Достоевская Лиговский проспект Площадь Александра Невского Новочеркасская Ладожская Проспект Большевиков Улица Дыбенко Комендантский проспект Старая Деревня Крестовский остров Чкаловская Спортивная Адмиралтейская Садовая Звенигородская Обводный канал Волковская Бухарестская Международная Проспект Славы Дунайская Шушары Богатырская Каменка Театральная Горный институт Путиловская Юго-Западная Кудрово Шуваловский проспект Каретная Боровая Заставская Броневая

Возраст пациента

Взрослому Ребенку от 15 лет

Пол пациента

Мужчине Женщине

Программы страхования

ДМС Платно ОМС

Цены

Услуги, соответствующие запросу, не найдены.

КТ головного мозга с контрастом
руб
От 6 400 руб
КТ околоносовых пазух с контрастом
руб
От 6 400 руб
КТ орбит с контрастом
руб
От 6 400 руб
КТ носоглотки с контрастом
руб
От 6 400 руб
КТ щитовидной железы с контрастом
руб
От 6 400 руб
КТ лимфатических узлов с контрастом
руб
От 6 400 руб
КТ гортани с контрастом
руб
От 6 400 руб
КТ шеи с контрастом
руб
От 6 600 руб
КТ легких с контрастом
руб
От 6 400 руб
КТ почек с контрастом
руб
От 6 400 руб
КТ печени с контрастом
руб
От 6 400 руб
КТ селезенки с контрастом
руб
От 6 400 руб
КТ поджелудочной железы с контрастом
руб
От 6 400 руб
КТ надпочечников с контрастом
руб
От 6 400 руб
КТ мочевого пузыря с контрастом
руб
От 6 400 руб
КТ одной анатомической зоны с контрастом
руб
От 6 400 руб
КТ брюшной полости и забрюшинного пространства с контрастом
руб
От 6 400 руб
КТ таза с контрастом
руб
От 6 400 руб
КТ верхней конечности с контрастом
руб
От 6 400 руб
КТ нижних конечностей с контрастом
руб
От 7 500 руб
от бифуркации аорты до коленного сустава
руб
От 7 500 руб
от бифуркации аорты до стопы
руб
От 9 500 руб
Контраст 100 мл (до 100 кг)
руб
3 500 руб
Контраст 150 мл (от 100 кг до 120 кг)
руб
4 500 руб

Адреса диагностических центров "Доступная Медицина"

Преимущества наших диагностических центров

Доступные цены

Приемлемые цены
на все услуги

Качественный сервис

Контроль качества
оказываемых услуг

Лучшие специалисты

Высококвалифицированные врачи

Новейшее оборудование

Современные томографы с высочайшим качеством визуализации

Близость к метро

Мы находимся в непосредственной близости от метро и остановок общественного транспорта

Лицензии

Современные томографы с высочайшим качеством визуализации

Назад
Вперед
Ключникова Екатерина Игоревна
Информация проверена главным врачом клиники Domedica24
Ключникова Екатерина Игоревна
Стаж более 8 лет, главный врач, врач-рентгенолог 1 категории
Площадь Стачек, 9">
ул. 1-я Советская, 8">