Назад МРТ малого таза с контрастом в СПБ

от
10 800
/
По акции в Рыбацком
9 400
руб
Записаться на прием
от 10 800 руб
По акции в Рыбацком
9 400 руб
Записаться
  • Срок получения результата В течение 24 часов
  • Ограничения по весу 120 кг
Описание

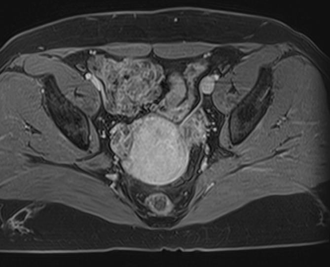
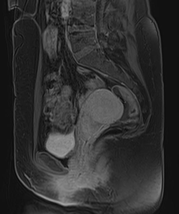
Магнитно-резонансная томография органов малого таза включает в себя исследование женских половых органов (матка, яичники), мужских половых органов (предстательная железа, семенные пузырьки, семявыносящие протоки), мочевого пузыря с мочеточниками, прямой кишки, тазовой брюшины, лимфатических узлов, мягких тканей малого таза.

В нашей клинике исследование выполняется на современном высокопольном томографе экспертного класса TOSHIBA VANTAGE TITAN 1,5 Тесла. Высокая индукция магнитного поля обеспечивает повышенную четкость изображений и превосходную детализацию анатомических структур. Аппарат производит сканирование в трех взаимоперпендикулярных плоскостях и послойными срезами с шагом от 1 мм, что позволяет визуализировать структуру органов и тканей малого таза в мельчайших подробностях. 

Инновационные компьютерные программы преобразуют данные, полученные при сканировании, в 3D-изображения исследуемых органов. Методика трехмерной реконструкции используется для улучшения наглядности изображения зоны исследования, тем самым, повышает достоверность диагностики. 

Выполнение МРТ малого таза в стандартном режиме возможно без использования контраста. Однако при подозрении на патологические изменения со стороны органов мужской или женской половой сферы, мочевыделительной системы, прямой кишки или окружающих мягких тканей, обязательным является введение контрастного препарата, имеющего в своем составе металл гадолиний. Степень и характер накопления контрастного препарата в органах и тканях позволяет различать патологические процессы, в том числе, диагностировать опухоли. Это используется для диагностики онкологических заболеваний на ранних стадиях, что имеет решающее значение для жизни и здоровья пациента.

В каких случаях показано проведение МРТ малого таза с контрастом

Свернуть/развернуть
  • При подозрении на опухолевый процесс или метастазы в тканях и органах малого таза.
  • При необходимости проведения дифференциальной диагностики доброкачественных и злокачественных новообразований малого таза.
  • В сложных диагностических случаях, когда необходимо уточнить характер патологических изменений в органах малого таза, выявленных при проведении других исследований (УЗИ, КТ).
  • В рамках предоперационной подготовки для оценки локализации опухоли, ее размеров, структуры, степени васкуляризации, характер роста и воздействия на окружающие ткани.
  • Для контроля эффективности лечения опухолевых образований в малом тазу, в том числе, в послеоперационном периоде.

Подготовка к исследованию

Свернуть/развернуть

Чтобы получить качественные и достоверные результаты, необходимо заранее подготовиться к данному исследованию. Требуется соблюдение диеты для уменьшения количества газов в кишечнике, которые могут дать артефакты на полученных изображениях.

За три дня до исследования рекомендуется исключить из рациона пищу, повышающую газообразование (сладкое, мучное, жирное, бобовые, газированные напитки, капусту) и принимать «Эспумизан» по 2 капсулы 3 раза в день (если есть проблемы с газообразованием!). В день исследования «Эспумизан» принимать не нужно. 

За 3-4 часа до исследования следует отказаться от приема пищи.

За 30-40 минут до исследования необходимо выпить 2 таблетки «Но-шпы» для снижения перистальтики кишечника.

При необходимости оценки мочевыделительной системы, исследование проводится с наполненным мочевым пузырем. Для этого примерно за 1 час до процедуры нужно выпить 0,5 — 1 литр воды и не мочиться до окончания исследования.

Необходимо принести с собой медицинскую документацию, относящуюся к зоне исследования:

  • направление от лечащего врача;
  • выписки из амбулаторных карт и стационаров;
  • результаты предыдущих исследований (МР-снимки, CD/DVD диски, снимки КТ, результаты УЗИ).

Также необходимо сообщить врачу о всех вживленных протезах и электронных устройствах, а также о возможной беременности. 

Кроме того, нужно предоставить справки об имеющихся имплантатах, так как они могут быть изготовлены из материалов, позволяющих проводить МРТ. Если их расположение не создает помех для визуализации исследуемой зоны, врач-рентгенолог примет решение о возможности проведения МРТ.

Если запланировано применение контраста пациенту с подозрением на снижение функции почек, необходимо предоставить анализ крови с контролем уровня креатинина давностью не более, чем 14 дней до исследования.

Для введения контраста в локтевую вену предварительно устанавливается венозный катетер. В определенный момент во время исследования контраст вводится в вену при помощи дозирующего устройства. Поступление контраста в кровоток может сопровождаться в течение нескольких минут ощущением теплоты или холода во всем теле, появлением неприятного привкуса во рту, в дальнейшем этот дискомфорт полностью исчезает. 

После окончания процедуры контраст выводится из организма в течение суток. Поэтому, если пациентка является кормящей мамой, то в течение следующих 24-48 часов после исследования нельзя прикладывать ребенка к груди, молоко при этом нужно сцеживать и выливать.

Непосредственно перед процедурой нужно убрать все электронные устройства, мобильные телефоны, пластиковые карты и металлические предметы, снять украшения, пирсинг, одежду с металлической фурнитурой. 

Пациент ложится спиной на подвижную кушетку томографа. В течение всего периода исследования необходимо не двигаться для получения качественных результатов. 

 Врач и рентгенолаборант находятся в соседнем помещении за стеклянной перегородкой. В аппарат вмонтировано переговорное устройство для связи с врачом. Кроме того, вызвать персонал можно, нажав на специальное сигнальное устройство. По желанию разрешается присутствие родственника или близкого человека при проведении процедуры.

Противопоказания к МРТ малого таза

Свернуть/развернуть
  • Противопоказанием является наличие в теле имплантированных электронных устройств (кардиостимуляторов, нейростимуляторов, имплантатов внутреннего уха, инсулиновых помп).
  • Наличие протезов или медицинских конструкций, изготовленных из ферромагнитных материалов, например, ортодонтические металлоконструкции, брекет-системы, пластины, сосудистые скобы, клипсы на сосудах головного мозга (клипирование аневризмы), искусственные клапаны сердца.
  • Имеющиеся металлические инородные предметы в теле являются противопоказанием для МРТ (это может быть металлическая стружка, осколки, пули, неснимаемый пирсинг), также татуировки с использованием металлизированных красок.
  • В первом триместре беременности нежелательно проводить МРТ, чтобы исключить любое неблагоприятное воздействие на развивающиеся органы плода. 
  • Клаустрофобия ограничивает проведение МРТ, так как конфигурация аппарата и продолжительность исследования могут спровоцировать приступ панической атаки у некоторых пациентов.
  • МРТ невозможно выполнить пациентам с массой тела более 120 кг из-за технических особенностей томографа.

 

Противопоказания для введения контраста

  • Введение контраста противопоказано на любом сроке беременности.
  • Аллергические реакции на контрастное вещество на основе гадолиния.
  • Нарушение функции почек (снижение скорости клубочковой фильтрации, повышение уровня креатинина) является противопоказанием для внутривенного введения контраста на основе гадолиния.

Запишитесь на МРТ малого таза с контрастом по удобному адресу

Записаться
Фильтр по услугам МРТ с контрастом

Введение контраста

С контрастом Без контраста

Станция метро

Площадь Восстания Нарвская Проспект Просвещения Рыбацкое Девяткино Гражданский проспект Академическая Политехническая Площадь Мужества Лесная Выборгская Площадь Ленина Чернышевская Владимирская Пушкинская Технологический институт Балтийская Кировский завод Автово Ленинский проспект Проспект Ветеранов Парнас Озерки Удельная Пионерская Чёрная речка Петроградская Горьковская Невский проспект Сенная площадь Фрунзенская Московские ворота Электросила Парк Победы Московская Звёздная Купчино Беговая Зенит Приморская Василеостровская Гостиный двор Маяковская Площадь Александра Невского Елизаровская Ломоносовская Пролетарская Обухово Спасская Достоевская Лиговский проспект Площадь Александра Невского Новочеркасская Ладожская Проспект Большевиков Улица Дыбенко Комендантский проспект Старая Деревня Крестовский остров Чкаловская Спортивная Адмиралтейская Садовая Звенигородская Обводный канал Волковская Бухарестская Международная Проспект Славы Дунайская Шушары Богатырская Каменка Театральная Горный институт Путиловская Юго-Западная Кудрово Шуваловский проспект Каретная Боровая Заставская Броневая

Возраст пациента

Взрослому Ребенку от 15 лет

Пол пациента

Мужчине Женщине

Тип аппарата

Открытый Закрытый

Мощность МРТ

1.5 Тл 3 Тесла

Программы страхования

ДМС Платно ОМС

Цены

Услуги, соответствующие запросу, не найдены.

МРТ головного мозга с контрастом
руб
От 7 600 / 6 200 руб
Подробнее
МРТ пазух носа с контрастом
руб
От 7 600 / 6 200 руб
Подробнее
МРТ гипофиза с контрастом
руб
От 7 600 / 6 200 руб
Подробнее
МРТ позвоночника с контрастом
руб
От 7 600 / 6 200 руб
Подробнее
МРТ брюшной полости с контрастом
руб
От 8 900 руб
МРТ печени с контрастом
руб
От 8 900 руб
МРТ почек с контрастом
руб
От 8 900 руб
МРТ малого таза с контрастом
руб
От 10 800 / 9 400 руб
Подробнее
МРТ мочевого пузыря с контрастом
руб
От 10 800 / 9 400 руб
Подробнее
МРТ простаты с контрастом (предстательной железы)
руб
От 10 800 / 9 400 руб
Подробнее
МРТ с контрастом при массе тела до 69 кг
руб
3 000 руб
МРТ с контрастом при массе тела от 70 до 99 кг
руб
3 700 руб
МРТ с контрастом при массе тела от 100 до 120 кг
руб
4 800 руб
МРТ молочных желез (МР – маммография), в том числе оценка целостности имплантов при их наличии (выполняется с внутривенным контрастированием):
руб
- при весе до 89 кг
руб
11 200 руб
- при весе от 90 кг
руб
12 300 руб

Адреса диагностических центров "Доступная Медицина"

Преимущества наших диагностических центров

Доступные цены

Приемлемые цены
на все услуги

Качественный сервис

Контроль качества
оказываемых услуг

Лучшие специалисты

Высококвалифицированные врачи

Новейшее оборудование

Современные томографы с высочайшим качеством визуализации

Близость к метро

Мы находимся в непосредственной близости от метро и остановок общественного транспорта

Лицензии

Современные томографы с высочайшим качеством визуализации

Назад
Вперед
Ключникова Екатерина Игоревна
Информация проверена главным врачом клиники Domedica24
Ключникова Екатерина Игоревна
Стаж более 8 лет, главный врач, врач-рентгенолог 1 категории
Площадь Стачек, 9">
ул. 1-я Советская, 8">