Назад МР-венография в СПБ

4 600
/
По акции в Рыбацком
3 200
руб
Записаться на прием
4 600 руб
По акции в Рыбацком
3 200 руб
Записаться
  • Длительность выполнения 10 минут
  • Ограничения по возрасту От 15 лет
  • Срок получения результата В течение дня
  • Ограничения по весу 120 кг
  • Введение контраста Нет
Описание

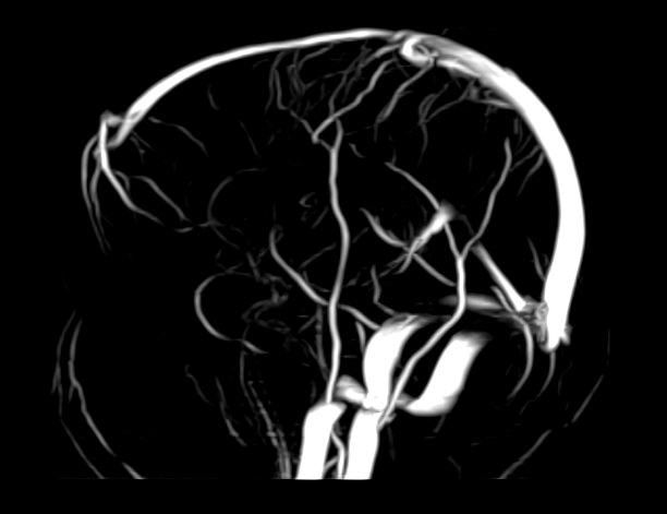
Магнитно-резонансная венография головного мозга позволяет детально изучить особенности анатомического и функциональной состояния венозного русла головного мозга. С помощью данного исследования можно исключить многие серьезные заболевания сосудов головного мозга и начать своевременное лечение.

Показания к проведению МР-венографии

Свернуть/развернуть

Показаниями к проведению магнитно-резонансной томографии вен головного мозга могут служить следующие симптомы и состояния:

  • частые головные боли;
  • внезапно возникшая тупая головная боль;
  • черепно-мозговые травмы;
  • шум в ушах, головокружения, обмороки;
  • чувство давления и распирания в определенном участке головы;
  • ощущение давления на глазные яблоки;
  • нарушения координации;
  • проблемы с памятью, речью;
  • резкое снижение когнитивных способностей и возможности сконцентрироваться у молодых пациентов;
  • нарушение когнитивных функций у пожилых людей;
  • однократные или повторяющиеся эпилептические припадки.

Что видно на МР-венографии?

Свернуть/развернуть

Магнитно-резонансная томография вен применяется для диагностики широкого ряда заболеваний. В основе метода лежит воздействие магнитного излучения на ткани человека, что абсолютно безопасно и дает возможность с точностью визуализировать строение сосудов головного мозга.

Вены — это кровеносные сосуды, которые предназначены для оттока крови от мозга. Насыщенная кислородом кровь поступает в нервный центр по артериям, а отдав питательные вещества и кислород клеткам, кровь возвращается к сердцу по венам.

Нарушения в работе вен мозга могут способствовать плохому самочувствию, усталости и постепенному развитию отека мозга. Вот почему своевременная и точная диагностика так важна.

Обследование состояния венозного русла на магнитно-резонансном томографе называется МР-венографией.

По информативности МРТ артерий и вен головного мозга на шаг опережает традиционные способы диагностики с применением рентгеновских лучей или ультразвука. На МР-изображениях врачи-диагносты получают наглядную информацию о функционировании вен головного мозга.

МР-венография позволяет с высокой точностью определить:

  • анатомический рисунок венозной системы;
  • врожденные и приобретенные отклонения в строении и функционировании сосудов;
  • нарушения трофики и оттока крови от отделов мозга;
  • возможные повреждения сосудов и их последствия;
  • наличие опухолевых образований, перекрывающих сосудистое русло.

Обследование на томографе является полностью безопасной процедурой, позволяющей не только подробно и качественно визуализировать особенности строения венозной сети мозга, но и проводить сканирование в профилактических и диагностических целях с любой частотой без негативного влияния на здоровье.

Когда нельзя провести МР-венографию

Свернуть/развернуть
  • если у пациента имеются вживленные электронные устройства (кардиостимуляторы, водители ритма, инсулиновая помпа, кохлеарные имплантаты);
  • при наличии в теле ферромагнитных элементов (имплантатов, сосудистых скоб, протезов, пластин, штифтов, а также осколков, дроби, неснимаемого пирсинга и др.);
  • женщинам в первом триместре беременности, когда плод наиболее чувствителен к различным неблагоприятным воздействиям;
  • если у пациента наблюдается клаустрофобия, это может оказаться препятствием для проведения МР-венографии головного мозга;
  • вес пациента более 120 кг (ограничение по весу выдвижного стола томографа).

Как нужно подготовиться к МР-венографии

Свернуть/развернуть

К процедуре МР-венографии не требуется специальной подготовки. Предварительно необходимо сообщить врачу о наличии вживленных электронных устройств и металлических протезов. Женщинам следует сообщить о возможной беременности. 

Необходимо принести с собой медицинскую документацию, относящуюся к зоне исследования:

  • направление от лечащего врача;
  • выписки из амбулаторных карт и стационаров;
  • результаты предыдущих исследований (МР-снимки, СD/DVD диски).

Перед тем как проводить исследование, нужно снять с себя все гаджеты, украшения, одежду с металлическими застежками и пуговицами.

Необходимо быть готовым к тому, что придется в течение 20-30 минут сохранять неподвижность, находясь при этом внутри тоннеля томографа. Аппарат производит достаточно сильный шум, но это особенность данной технологии. Для уменьшения звукового эффекта пациенту надеваются наушники. 

 

Медперсонал находится в соседнем помещении, при необходимости вызова нужно нажать на сигнальное устройство.

Запишитесь на МР-венография по удобному адресу

Записаться
Фильтр по услугам МРТ сосудов (МР-ангиография)

Введение контраста

С контрастом Без контраста

Станция метро

Площадь Восстания Нарвская Проспект Просвещения Рыбацкое Девяткино Гражданский проспект Академическая Политехническая Площадь Мужества Лесная Выборгская Площадь Ленина Чернышевская Владимирская Пушкинская Технологический институт Балтийская Кировский завод Автово Ленинский проспект Проспект Ветеранов Парнас Озерки Удельная Пионерская Чёрная речка Петроградская Горьковская Невский проспект Сенная площадь Фрунзенская Московские ворота Электросила Парк Победы Московская Звёздная Купчино Беговая Зенит Приморская Василеостровская Гостиный двор Маяковская Площадь Александра Невского Елизаровская Ломоносовская Пролетарская Обухово Спасская Достоевская Лиговский проспект Площадь Александра Невского Новочеркасская Ладожская Проспект Большевиков Улица Дыбенко Комендантский проспект Старая Деревня Крестовский остров Чкаловская Спортивная Адмиралтейская Садовая Звенигородская Обводный канал Волковская Бухарестская Международная Проспект Славы Дунайская Шушары Богатырская Каменка Театральная Горный институт Путиловская Юго-Западная Кудрово Шуваловский проспект Каретная Боровая Заставская Броневая

Возраст пациента

Взрослому Ребенку от 15 лет

Пол пациента

Мужчине Женщине

Тип аппарата

Открытый Закрытый

Мощность МРТ

1.5 Тл 3 Тесла

Программы страхования

ДМС Платно ОМС

Цены

Услуги, соответствующие запросу, не найдены.

Адреса диагностических центров "Доступная Медицина"

Преимущества наших диагностических центров

Доступные цены

Приемлемые цены
на все услуги

Качественный сервис

Контроль качества
оказываемых услуг

Лучшие специалисты

Высококвалифицированные врачи

Новейшее оборудование

Современные томографы с высочайшим качеством визуализации

Близость к метро

Мы находимся в непосредственной близости от метро и остановок общественного транспорта

Лицензии

Современные томографы с высочайшим качеством визуализации

Назад
Вперед
Ключникова Екатерина Игоревна
Информация проверена главным врачом клиники Domedica24
Ключникова Екатерина Игоревна
Стаж более 8 лет, главный врач, врач-рентгенолог 1 категории
Площадь Стачек, 9">
ул. 1-я Советская, 8">