КТ лопатки в СПБ
- Введение контраста Нет
- Длительность выполнения 10 минут
- Ограничения по весу 120 кг
- Ограничения по возрасту От 15 лет
- Срок получения результата В течение дня
Лопатка – парная плоская треугольная кость, по форме напоминающая лопату (отсюда и название) и располагающаяся на задней поверхности грудной клетки.
Основные функции лопаточной кости – защита органов грудной клетки и обеспечение подвижности верхней конечности. Лопатка вместе с грудиной и ключицей образует единый плечевой пояс. К лопатке прикрепляются мышцы и связки, обеспечивающие различные движения руки (поднимание, вращение, отведение).
Травмы, переломы, вывихи и различные заболевания плече-лопаточной области ведут к нарушениям работы верхних конечностей. Воспалительные процессы, дегенеративно-дистрофические заболевания, опухолевые образования вызывают боли и нарушения функций плечевого пояса и верхних конечностей, что требует своевременного обследования и назначения лечения.
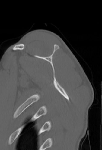
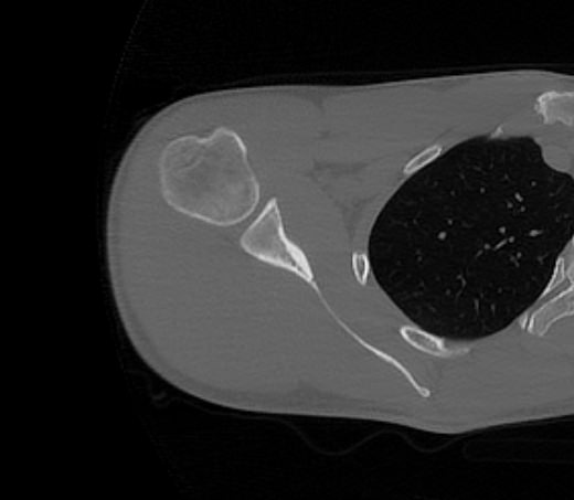
Наиболее информативным методом диагностики патологии плече-лопаточной области является мультиспиральная компьютерная томография. КТ относится к лучевым методам исследования, то есть для получения изображения внутренних органов применяется рентгеновское излучение, которое лучше всего подходит для изучения плотных структур, в частности, костных тканей. В процессе исследования томограф послойно сканирует область лопатки при помощи проникающей способности рентгеновских лучей, затем с помощью компьютерных приложений данные преобразуются в наглядные трехмерные изображения исследуемых органов.
В нашей клинике КТ лопатки выполняется на современных мультиспиральных компьютерных томографах экспертного уровня TOSHIBA AQUILION.
Аппараты сканируют область исследования в течение нескольких секунд, производя одномоментно от 64 до 128 тончайших срезов толщиной от 0,5 мм. Высокая скорость сканирования обеспечивает минимальную дозу облучения для пациента. При этом получаются четкие изображения с высоким контрастным разрешением, что дает возможность рассмотреть исследуемую зону в мельчайших подробностях. Кроме того, томографы создают объемные 3D-изображения области лопатки и прилегающих органов и тканей, что помогает в оценке пространственного соотношения анатомических структур, выявленной патологии и способствует проведению точной диагностики.
В некоторых случаях, в частности, для улучшения визуализации опухолевых образований, кроме нативной КТ применяется также методика контрастного усиления. В таких ситуациях пациенту внутривенно вводится йодсодержащий контрастный препарат, который накапливается в патологически измененных участках и опухолевых образованиях. Это ярко выделяет их на снимках на фоне здоровых окружающих тканей. Метод внутривенного болюсного контрастирования помогает обнаружить опухолевые очаги минимальных размеров, когда их лечение наиболее эффективно, а также дифференцировать трудноразличимые образования при их прорастании в окружающие структуры.
- Показания к проведению КТ лопаток
- Подготовка к проведению КТ лопатки
- Какие есть ограничения для проведения КТ лопатки?
Показания к проведению КТ лопаток
- травмы верхнего отдела позвоночника;
- при физических нагрузках, резких движениях или покашливании ощущается резкая боль в области лопаток;
- при пальпации обнаружена локальная болезненность;
- подозрение на новообразование
- сильное искривление верхнего отдела позвоночника;
- болевые ощущения в груди и спине при глубоком вдохе.
- при показаниях к проведению хирургического вмешательства, а также с целью мониторинга эффективности проводимого лечения;
- при наличии хронического воспалительного процесса в области лопаток;
- при подозрениях на межпозвонковые грыжи и протрузии.
Подготовка к проведению КТ лопатки
Данное исследование не требует специальной подготовки, поэтому мультиспиральная КТ может выполняться в экстренной ситуации, например, при травмах грудной клетки и плече-лопаточных областей.
Для более точной диагностики, желательно сравнить снимки с предыдущими результатами исследований, поэтому мы рекомендуем принести с собой все документы, которые относятся к зоне сканирования:
- Направление от лечащего врача;
- CD/DVD диски предыдущих КТ или МРТ грудной клетки и области лопатки;
- Выписки из амбулаторных карт и стационаров;
- Заключения профильных специалистов.
Если пациенту требуется использование контраста, то в этом случае необходимо в течение 2 недель до даты исследования сдать анализ крови для оценки уровня креатинина. Этот показатель отражает функциональную способность почек и имеет важное значение, так как контраст выводится из организма преимущественно почками.
При необходимости введения контрастного вещества пациентам, принимающим по поводу сахарного диабета Метформин или Глюкофаж (а также другие препараты, содержащие Метформин), требуется посоветоветоваться с эндокринологом о временной отмене данных препаратов за 48 часов до КТ с контрастированием и на 48 часов после исследования.
Женщинам в период лактации нужно иметь в виду, что контраст также выводится и с грудным молоком. Поэтому мы рекомендуем кормящим мамам в течение 24-48 часов после процедуры с введением контраста не прикладывать малыша к груди (предварительно сделайте ребенку запас грудного молока).
Если запланировано применение контрастного усиления, то пациенту в периферическую вену предварительно ставится венозный катетер. Во время сканирования контраст вводится с помощью автоматического шприца (инжектора), подключенного к катетеру. В момент поступления контраста в кровь может появиться ощущение жара, прилива к телу, неприятный привкус во рту, но этот дискомфорт быстро проходит.
Пациент во время исследования лежит на выдвижной части томографа лицом вверх. Стол вместе с пациентом двигается в кольце аппарата, при этом отверстие кольца широкое, вокруг пространство свободное.
Чтобы получились качественные снимки, мы просим пациента не двигаться во время сканирования.
Медицинский персонал в течение процедуры находится в соседнем кабинете за стеклянным окном. При необходимости пациент может разговаривать с врачом при помощи голосовой связи, которой оснащен томограф.
Какие есть ограничения для проведения КТ лопатки?
Нативная КТ имеет мало противопоказаний. В частности, КТ не проводится в течение всего срока беременности из-за того, что рентгеновские лучи, на использовании которых основана методика компьютерной томографии, могут вызвать пороки развития или гибель плода во время внутриутробного развития.
Кроме того, в связи с техническими характеристиками томографов в наших медицинских центрах нельзя выполнить КТ пациентам с массой тела более 120 кг (ограничения касаются выдвижного стола томографа).
В ряде случаев противопоказания относятся к применению контрастных препаратов. КТ с контрастированием противопоказано в следующих случаях:
- Если у пациента ранее были аллергические реакции на йодсодержащий контрастный препарат;
- В случае резко выраженной почечной недостаточности;
- При заболеваниях щитовидной железы с явлениями гипертиреоза и тиреотоксикоза;
- При застойной сердечной недостаточности;
- В случае тяжелого течения бронхиальной астмы;
- При декомпенсированном сахарном диабете.
Запишитесь на КТ лопатки по удобному адресу
ЗаписатьсяСтанция метро
Площадь Восстания Проспект Просвещения Нарвская Рыбацкое Девяткино Гражданский проспект Академическая Политехническая Площадь Мужества Лесная Выборгская Площадь Ленина Чернышевская Владимирская Пушкинская Технологический институт Балтийская Кировский завод Автово Ленинский проспект Проспект Ветеранов Парнас Озерки Удельная Пионерская Чёрная речка Петроградская Горьковская Невский проспект Сенная площадь Фрунзенская Московские ворота Электросила Парк Победы Московская Звёздная Купчино Беговая Зенит Приморская Василеостровская Гостиный двор Маяковская Площадь Александра Невского Елизаровская Ломоносовская Пролетарская Обухово Спасская Достоевская Лиговский проспект Площадь Александра Невского Новочеркасская Ладожская Проспект Большевиков Улица Дыбенко Комендантский проспект Старая Деревня Крестовский остров Чкаловская Спортивная Адмиралтейская Садовая Звенигородская Обводный канал Волковская Бухарестская Международная Проспект Славы Дунайская Шушары Богатырская Каменка Театральная Горный институт Путиловская Юго-Западная Кудрово Шуваловский проспект Каретная Боровая Заставская БроневаяРайон
Центральный Выборгский Кировский Адмиралтейски Василеостровский Калининский Колпинский Красногвардейский Красносельски Кронштадтский Курортный Московский Невский Петроградский Петродворцовый Приморский Пушкинский ФрунзенскийГород
Санкт-Петербург Бокситогорск Бугры Волосово Волхов Всеволожск Выборг Высоцк Гатчина Ивангород Каменногорск Кингисепп Кириши Кировск Колтуши Коммунар Кудрово Лодейное Поле Луга Любань Мурино Никольское Новая Ладога Отрадное Пикалёво Подпорожье Приморск Приозерск Светогорск Сертолово Сланцы Сосновый Бор Сясьстрой Тельмана Тихвин Тосно ШлиссельбургЦены
Услуги, соответствующие запросу, не найдены.
Адреса диагностических центров "Доступная Медицина"
Преимущества наших диагностических центров
Доступные цены
Приемлемые цены
на все услуги
Качественный сервис
Контроль качества
оказываемых услуг
Лучшие специалисты
Высококвалифицированные врачи
Новейшее оборудование
Современные томографы с высочайшим качеством визуализации
Близость к метро
Мы находимся в непосредственной близости от метро и остановок общественного транспорта
Наше оборудование
КТ-СПЕЦИАЛИСТЫ
Лицензии
Современные томографы с высочайшим качеством визуализации
Статьи наших врачей