КТ носа в СПБ
- Введение контраста Нет
- Длительность выполнения 10 минут
- Ограничения по весу 120 кг
- Ограничения по возрасту От 15 лет
- Срок получения результата В течение дня
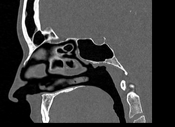
В современной отоларингологии широко применяется мультиспиральная компьютерная томография для диагностики различных заболеваний ЛОР-органов. КТ относится к лучевым методам исследования, который с помощью рентгеновских лучей позволяет получить детальное изображение костных структур, хрящей носа, околоносовых воздухоносных пазух и прилегающих областей.
Воспалительные заболевания, такие как гайморит или синусит верхнечелюстных пазух, этмоидит, сфеноидит и фронтит достоверно визуализируются при помощи компьютерной томографии. Полученные данные помогают врачу специалисту в верификации диагноза и утверждении эффективного плана лечения. На фоне воспалительных изменений нередко встречаются полипозные образования, а при запущенных случаях синуситов очень важно подтвердить или исключить наличие участков деструкции костных перегородок.
Преимуществом КТ является ее способность отлично визуализировать кости лицевого черепа, что делает методику незаменимой для оценки любых травматических повреждений носа, выявления аномалий развития носовой перегородки и, деформации хрящей.
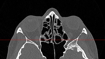
В наших медицинских центрах установлены новейшие мультиспиральные компьютерные томографы последнего поколения TOSHIBA AQUILION в различных модификациях, на которых проводится исследование носа и околоносовых пазух.
Аппараты сканируют область исследования в течение нескольких секунд, производя одномоментно от 64 до 128 тончайших срезов толщиной от 0,5 мм. Высокая скорость сканирования обеспечивает минимальную дозу облучения для пациента. При этом получаются четкие изображения с высоким контрастным разрешением, что дает возможность рассмотреть исследуемую зону в мельчайших подробностях. Кроме того, томографы создают объемные 3D-изображения области носа и прилегающих пазух, что помогает в оценке пространственного соотношения анатомических структур, выявленной патологии и способствует проведению точной диагностики.
В некоторых случаях, в частности, для улучшения визуализации опухолевых образований, кроме нативной КТ применяется также методика контрастного усиления. В таких ситуациях пациенту внутривенно вводится йодсодержащий контрастный препарат, который накапливается в патологически измененных участках и опухолевых образованиях. Это ярко выделяет их на снимках на фоне здоровых окружающих тканей. Метод внутривенного болюсного контрастирования помогает обнаружить опухолевые очаги минимальных размеров, когда их лечение наиболее эффективно, а также дифференцировать трудноразличимые образования на фоне инвазии в окружающие структуры.
Для более точной визуализации мягкотканных структур, в частности, для оценки слизистой носовых ходов и пазух носа, прилегающих мышц и мягких тканей, применяется МРТ придаточных пазух носа. Это исследование можно пройти в нашей клинике на современном магнитно-резонансном томографе экспертного уровня.
- Показания к КТ носа
- Какая нужна подготовка к проведению КТ носа?
- В каких случаях нельзя провести КТ носа?
- Что показывает КТ носа
Показания к КТ носа
- возможное наличие инородного тела в носовой пазухе;
- нетипичные выделения из носа;
- подозрение на наличие новообразований;
- анатомические аномалии лицевых костей, костей носа;
- детализация анатомических особенностей пациента при подготовке и планировании хирургических операций на лицевом скелете, других лечебных манипуляций.
- врожденные дефекты в пазухах
- инфекция в костях пазух (остеомиелит)
- повреждение лица и пазух носа в результате травмы
- объемные образования как доброкачественные так и злокачественные
- полипы носа
- синусная инфекция (синусит)
- флегмона лица и периорбитальной области;
- абсцессы лобной доли;
- хроническая заложенность;
- затрудненное дыхание;
- регулярные кровотечения из носа при нормальном давлении;
- проникновение посторонних предметов в ППН (ОНП);
- кисты и гранулемы корней зубов верхней челюсти.
Какая нужна подготовка к проведению КТ носа?
Само исследование не требует специальной подготовки, поэтому мультиспиральная КТ может выполняться в экстренной ситуации, например, при травмах носа.
Для более точной диагностики, желательно сравнить снимки с предыдущими результатами исследований, поэтому мы рекомендуем принести с собой все документы, которые относятся к зоне сканирования:
- Направление от лечащего врача;
- CD/DVD диски предыдущих КТ или МРТ носа, придаточных пазух носа;
- Выписки из амбулаторных карт и стационаров;
- Заключения профильных специалистов.
Если пациенту требуется использование контраста, то в этом случае необходимо в течение 2 недель до даты исследования сдать анализ крови для оценки уровня креатинина. Этот показатель отражает функциональную способность почек и имеет важное значение, так как контраст выводится из организма преимущественно почками. При резко выраженном снижении функции почек пациенту нельзя вводить контраст, тогда проводится только нативная КТ, кроме того, врач-рентгенолог может посоветовать другой способ визуализации области носа.
При необходимости введения контрастного вещества пациентам, принимающим по поводу сахарного диабета Метформин или Глюкофаж (а также другие препараты, содержащие Метформин), требуется посоветоветоваться с эндокринологом о временной отмене данных препаратов за 48 часов до КТ носа с контрастированием и на 48 часов после исследования.
Женщинам в период лактации нужно иметь в виду, что контраст также выводится и с грудным молоком. Поэтому мы рекомендуем кормящим мамам в течение 24-48 часов после процедуры с введением контраста не прикладывать малыша к груди (предварительно сделайте ребенку запас грудного молока).
КТ носа – быстрая и безболезненная процедура. Нативная компьютерная томография займет не более 2-3 минут, при введении контраста – около 10 минут.
Если запланировано применение контрастного усиления, то пациенту в периферическую вену предварительно ставится венозный катетер. Во время сканирования контраст вводится с помощью автоматического шприца (инжектора), подключенного к катетеру. В момент поступления контраста в кровь может появиться ощущение жара, прилива к телу, неприятный привкус во рту, но этот дискомфорт быстро проходит.
Пациент во время исследования лежит на выдвижной части томографа лицом вверх. Стол вместе с пациентом двигается в кольце аппарата, при этом отверстие кольца широкое, вокруг пространство свободное.
Чтобы получились качественные снимки, мы просим пациента не двигаться во время сканирования.
Медицинский персонал в течение процедуры находится в соседнем кабинете за стеклянным окном. При необходимости пациент может разговаривать с врачом при помощи голосовой связи, которой оснащен томограф.
В каких случаях нельзя провести КТ носа?
Нативная КТ имеет мало противопоказаний. В частности, КТ не проводится в течение всего срока беременности из-за того, что рентгеновские лучи, на использовании которых основана методика компьютерной томографии, могут вызвать пороки развития или гибель плода во время внутриутробного развития.
Кроме того, в связи с техническими характеристиками томографов в наших медицинских центрах нельзя выполнить КТ пациентам с массой тела более 120 кг (ограничения касаются выдвижного стола томографа).
В ряде случаев противопоказания касаются применения контрастных препаратов. КТ с контрастированием противопоказано в следующих случаях:
- Если у пациента ранее были аллергические реакции на йодсодержащий контрастный препарат;
- В случае резко выраженной почечной недостаточности;
- При заболеваниях щитовидной железы с явлениями гипертиреоза и тиреотоксикоза;
- При застойной сердечной недостаточности;
- В случае тяжелого течения бронхиальной астмы;
- При декомпенсированном сахарном диабете.
Что показывает КТ носа
- полипы;
- опухоль (злокачественная и доброкачественная);
- инородные тела в указанной области;
- воспалительный процесс (утолщение слизистой оболочки, жидкость, признаки гноя);
- повреждение костей.
Запишитесь на КТ носа по удобному адресу
ЗаписатьсяСтанция метро
Площадь Восстания Проспект Просвещения Нарвская Рыбацкое Девяткино Гражданский проспект Академическая Политехническая Площадь Мужества Лесная Выборгская Площадь Ленина Чернышевская Владимирская Пушкинская Технологический институт Балтийская Кировский завод Автово Ленинский проспект Проспект Ветеранов Парнас Озерки Удельная Пионерская Чёрная речка Петроградская Горьковская Невский проспект Сенная площадь Фрунзенская Московские ворота Электросила Парк Победы Московская Звёздная Купчино Беговая Зенит Приморская Василеостровская Гостиный двор Маяковская Площадь Александра Невского Елизаровская Ломоносовская Пролетарская Обухово Спасская Достоевская Лиговский проспект Площадь Александра Невского Новочеркасская Ладожская Проспект Большевиков Улица Дыбенко Комендантский проспект Старая Деревня Крестовский остров Чкаловская Спортивная Адмиралтейская Садовая Звенигородская Обводный канал Волковская Бухарестская Международная Проспект Славы Дунайская Шушары Богатырская Каменка Театральная Горный институт Путиловская Юго-Западная Кудрово Шуваловский проспект Каретная Боровая Заставская БроневаяРайон
Центральный Выборгский Кировский Адмиралтейски Василеостровский Калининский Колпинский Красногвардейский Красносельски Кронштадтский Курортный Московский Невский Петроградский Петродворцовый Приморский Пушкинский ФрунзенскийГород
Санкт-Петербург Бокситогорск Бугры Волосово Волхов Всеволожск Выборг Высоцк Гатчина Ивангород Каменногорск Кингисепп Кириши Кировск Колтуши Коммунар Кудрово Лодейное Поле Луга Любань Мурино Никольское Новая Ладога Отрадное Пикалёво Подпорожье Приморск Приозерск Светогорск Сертолово Сланцы Сосновый Бор Сясьстрой Тельмана Тихвин Тосно ШлиссельбургЦены
Услуги, соответствующие запросу, не найдены.
Адреса диагностических центров "Доступная Медицина"
Преимущества наших диагностических центров
Доступные цены
Приемлемые цены
на все услуги
Качественный сервис
Контроль качества
оказываемых услуг
Лучшие специалисты
Высококвалифицированные врачи
Новейшее оборудование
Современные томографы с высочайшим качеством визуализации
Близость к метро
Мы находимся в непосредственной близости от метро и остановок общественного транспорта
Наше оборудование
КТ-СПЕЦИАЛИСТЫ
Лицензии
Современные томографы с высочайшим качеством визуализации
Статьи наших врачей