КТ головного мозга в СПБ
- Введение контраста Нет
- Длительность выполнения 10 минут
- Ограничения по весу 120 кг
- Ограничения по возрасту От 15 лет
- Срок получения результата В течение дня
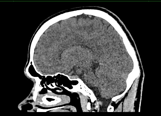
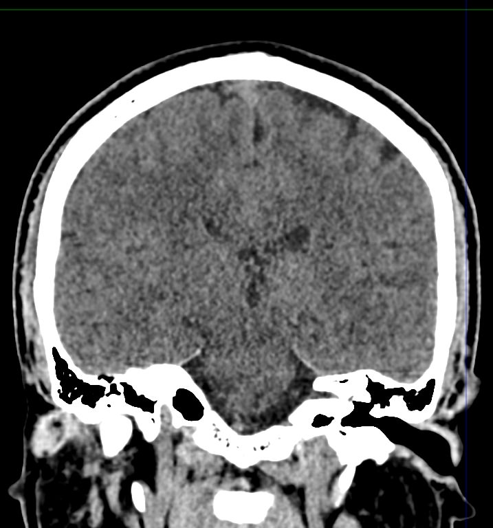
Мультиспиральная компьютерная томография головного мозга относится к лучевым методам диагностики заболеваний центральной нервной системы.
Методика построена на использовании проникающей способности рентгеновских лучей, которые в различной степени поглощаются органами и тканями (степень поглощения зависит от их плотности), благодаря чему можно получить подробные изображения внутренних органов. Во время исследования трубка томографа вращается вокруг пациента и производит снимки поперечного сечения, что позволяет детально визуализировать кости черепа и все структуры головного мозга.
Наши медицинские центры оснащены новейшими мультиспиральными компьютерными томографами экспертного уровня TOSHIBA AQUILION в различных модификациях. Аппараты снабжены увеличенным количеством сверхчувствительных детекторов, что позволяет при сканировании выполнять от 64 до 128 срезов поперечного сечения с минимальной толщиной среза от 0,5 мм. В результате получаются изображения исследуемой зоны в мельчайших подробностях, которые затем с помощью инновационных цифровых приложений преобразуются в трехмерные пространственные модели головного мозга для более точной диагностики.
Кроме того, увеличенное количество детекторов обеспечивает высокую скорость сканирования, что значительно снижает уровень рентгеновского облучения, которое получает пациент во время обследования.
Нативное сканирование подходит для диагностики дистрофических изменений головного мозга, определение острого нарушения мозгового кровообращения, как ишемического, так и геморрагического характера, а также отслеживание последствий подобных состояний при прохождении реабилитации.
Для улучшения видимости внутричерепных структур применяется методика внутривенного болюсного контрастирования. Во время проведения КТ пациенту в вену вводится йодсодержащее контрастное вещество. Контраст с током крови попадает в патологически измененные участки ткани и очаги, что на снимках придает им яркие отличительные признаки по сравнению с окружающими здоровыми тканями. Контрастирование, в первую очередь, помогает в диагностике опухолевых процессов на ранних стадиях, когда лечение может дать наилучший эффект.
Наряду с МРТ головного мозга, которую также возможно пройти в нашем центре, мультиспиральная компьютерная томография является высокоинформативной быстрой безболезненной процедурой обследования, позволяющей выявлять практически все заболевания костей черепа и головного мозга.
- Симптомы, при которых может понадобиться КТ головного мозга
- Подготовка к КТ головного мозга
- Противопоказания для проведения КТ головного мозга
- Что можно выявить на КТ головного мозга?
Симптомы, при которых может понадобиться КТ головного мозга
- головокружение и головные боли
- судороги, потеря сознания
- прогрессирующие проблемы с памятью, зрением, нарушения речи или слуха
- двоение в глазах и возникновение косоглазия, появление трудностей со смыканием век
- параличи лица или конечностей, появление асимметрии лица.
Подготовка к КТ головного мозга
Методика может проводиться как планово, так и по экстренным показаниям, соответственно не требует предварительной подготовки.
Желательно иметь при себе все документы, касающиеся зоны исследования:
- Направление от лечащего врача;
- CD/DVD диски предыдущих КТ или МРТ головного мозга;
- Выписки из амбулаторных карт и стационаров;
- Заключения профильных специалистов.
При необходимости введения контрастирующего вещества требуется оценка выделительной функции почек, так как контраст выводится из организма преимущественно почками. За две недели до сканирования необходимо сдать анализ крови на креатинин, который отражает функциональное состояние почек. В случае наличия резко выраженных признаков почечной недостаточности контрастирование не проводится.
В случае необходимости введения контраста женщине с грудным ребенком, необходимо учесть, что контрастное вещество проникает в грудное молоко. Поэтому мы рекомендуем в течение 24-48 часов после процедуры с введением контраста не прикладывать малыша к груди, предварительно сделав для него запас грудного молока.
Пациентам, принимающим по поводу сахарного диабета Метформин или Глюкофаж, а также другие метформин содержащие препараты, требуется отмена данных препаратов за 48 часов до процедуры с контрастированием и на 48 часов после введения контрастного вещества. Отмену приема данных препаратов нужно согласовать с эндокринологом.
Пациент укладывается на спину на выдвижную кушетку томографа. Во время сканирования важно лежать неподвижно, иначе снимки не получатся четкими.
Для введения контраста в локтевую вену устанавливается венозный катетер с подключенным к нему автоматическим устройством (инжектором), с помощью которого вводится контраст. Поступление контраста в кровь сопровождается чувством жара во всем теле, появляется неприятный привкус во рту, но этот дискомфорт кратковременный и через пару минут быстро исчезает. Контрастное вещество полностью выводится из организма преимущественно почками в течение суток после исследования.
Медицинский персонал во время процедуры находится в соседнем помещении за стеклянной перегородкой. В аппарат вмонтировано переговорное устройство, с помощью которого можно разговаривать с врачом и при необходимости вызвать медицинский персонал.
Противопоказания для проведения КТ головного мозга
Рентгеновское излучение даже в малых дозах оказывает вредное воздействие на плод, поэтому компьютерная томография противопоказана в течение всего срока беременности.
Кроме того, в нашей клинике невозможно выполнить КТ пациентам с весом более 120 кг (ограничения по весу имеет выдвижной стол томографа).
Также имеются противопоказания для введения йодсодержащего контрастного вещества, к которым относятся:
- аллергия на йодсодержащие контрастные вещества;
- заболевания почек с резкими проявлениями почечной недостаточности;
- сердечная недостаточность;
- заболевания щитовидной железы с явлениями гипертиреоза и тиреотоксикоза;
- при тяжелом течении бронхиальной астмы;
- в случае декомпенсированного сахарного диабета.
Что можно выявить на КТ головного мозга?
- нарушения мозгового кровообращения (имеются в виду как геморрагические, так и ишемические инсульты);
- другие сосудистые патологии в области головного мозга (аневризмы, артерио-венозные мальформации и пр);
- абсцессы (гнойники) в тканях мозга;
- опухоли как доброкачественные так и злокачественные
- отек мозга;
- кисты, кистозно-атрофические изменения
- инфекционно-воспалительные заболевания;
- наличие раневого канала или инородных тел при травмах;
- нарушения целостности костей черепа;
- гной в области мозговых оболочек;
- арахноидит (воспаление оболочки мозга);
- мелкоочаговые кровоизлияния, гематомы;
- энцефалит;
- энцефалопатию
- смещение внутренних структур головного мозга.
Запишитесь на КТ головного мозга по удобному адресу
ЗаписатьсяСтанция метро
Площадь Восстания Проспект Просвещения Нарвская Рыбацкое Девяткино Гражданский проспект Академическая Политехническая Площадь Мужества Лесная Выборгская Площадь Ленина Чернышевская Владимирская Пушкинская Технологический институт Балтийская Кировский завод Автово Ленинский проспект Проспект Ветеранов Парнас Озерки Удельная Пионерская Чёрная речка Петроградская Горьковская Невский проспект Сенная площадь Фрунзенская Московские ворота Электросила Парк Победы Московская Звёздная Купчино Беговая Зенит Приморская Василеостровская Гостиный двор Маяковская Площадь Александра Невского Елизаровская Ломоносовская Пролетарская Обухово Спасская Достоевская Лиговский проспект Площадь Александра Невского Новочеркасская Ладожская Проспект Большевиков Улица Дыбенко Комендантский проспект Старая Деревня Крестовский остров Чкаловская Спортивная Адмиралтейская Садовая Звенигородская Обводный канал Волковская Бухарестская Международная Проспект Славы Дунайская Шушары Богатырская Каменка Театральная Горный институт Путиловская Юго-Западная Кудрово Шуваловский проспект Каретная Боровая Заставская БроневаяРайон
Центральный Выборгский Кировский Адмиралтейски Василеостровский Калининский Колпинский Красногвардейский Красносельски Кронштадтский Курортный Московский Невский Петроградский Петродворцовый Приморский Пушкинский ФрунзенскийГород
Санкт-Петербург Бокситогорск Бугры Волосово Волхов Всеволожск Выборг Высоцк Гатчина Ивангород Каменногорск Кингисепп Кириши Кировск Колтуши Коммунар Кудрово Лодейное Поле Луга Любань Мурино Никольское Новая Ладога Отрадное Пикалёво Подпорожье Приморск Приозерск Светогорск Сертолово Сланцы Сосновый Бор Сясьстрой Тельмана Тихвин Тосно ШлиссельбургЦены
Услуги, соответствующие запросу, не найдены.
Адреса диагностических центров "Доступная Медицина"
Преимущества наших диагностических центров
Доступные цены
Приемлемые цены
на все услуги
Качественный сервис
Контроль качества
оказываемых услуг
Лучшие специалисты
Высококвалифицированные врачи
Новейшее оборудование
Современные томографы с высочайшим качеством визуализации
Близость к метро
Мы находимся в непосредственной близости от метро и остановок общественного транспорта
Наше оборудование
КТ-СПЕЦИАЛИСТЫ
Лицензии
Современные томографы с высочайшим качеством визуализации
Статьи наших врачей