Рентген грудной клетки с определением кардио-торакального индекса в СПб
- Длительность выполнения 15 минут
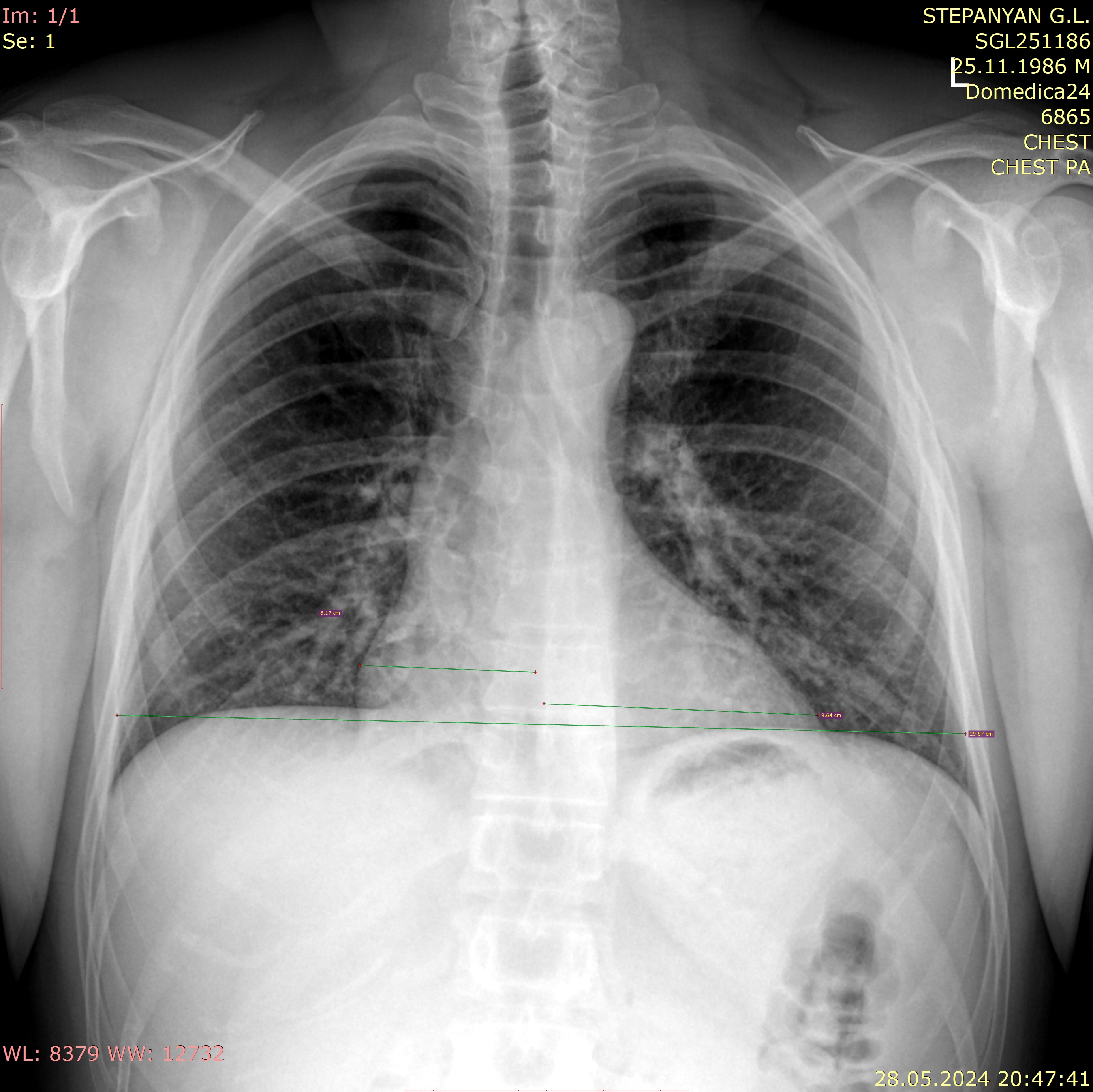
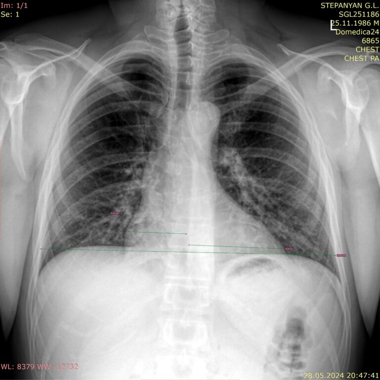
При различных сердечно-легочных заболеваниях сердцу приходится больше и чаще сокращаться, из-за чего его размеры увеличиваются. Эти изменения определяются по рентгеновскому снимку с помощью кардиоторакального индекса (КТИ) и представляют собой отношение поперечника сердца к поперечнику грудной клетки. У здоровых людей данный индекс не превышает 50%, значение от 55% и выше говорят о хронической сердечной патологии.
Рентген грудной клетки с определением кардиоторакального индекса технически для пациента ничем не отличается от обычного рентгена груди.
- Кому назначают рентген грудной клетки с определением кардиоторакального индекса
- Что показывает снимок грудной клетки с определением кардиоторакального индекса
- Подготовка к процедуре
- Противопоказания к процедуре
Кому назначают рентген грудной клетки с определением кардиоторакального индекса
Пациенты с развивающейся патологией сердца обычно предъявляют следующие жалобы:
- Повышенная утомляемость, слабость;
- Постоянные отеки на ногах;
- Одышка и сердцебиение сначала во время движения, затем и в покое;
- Головокружение и обмороки;
- Влажный кашель без отхождения мокроты;
- Боль в сердце;
- Плохой сон;
- Набор веса.
Врач ― терапевт или кардиолог ― выпишет направление с обязательным определением индекса при обнаружении признаков поражения сердца, которые наблюдаются при различных видах ИБС.
Что показывает снимок грудной клетки с определением кардиоторакального индекса
В описание снимка включаются все те же органы и образования, что и при обычном рентгене груди. Описывается состояние, нормальное или с отклонениями:
- Мягких тканей;
- Костей;
- Легочных полей;
- Тени сердца;
- Купола и синусов диафрагмы;
- Новообразования и инородные тела ― при наличии.
Кардиоторакальный индекс пишется в процентах.
Подготовка к процедуре
Этот вид диагностики не требует подготовки и может быть проведен в любое время. Для определения поперечной ширины сердца требуется только прямая проекция.
Рентгенограмма выполняется в определенной последовательности, пациенту необходимо:
- Снять одежду с верхней половины туловища;
- Снять все металлические украшения, оставить телефон;
- При необходимости поднять и зацепить длинные волосы;
- Надеть защитный фартук;
- Встать около детектора, прижаться к нему грудью и плечами, руки упереть в бедра;
- По команде врача задержать дыхание на 4-5 секунд до разрешения.
Затем пациент одевается и ждет, а врач пишет заключение. В целом процедура съемки занимает не более 15 минут.
Противопоказания к процедуре
Рентген не проводится при беременности. Для этих случаев, при выявлении сердечной патологии, пациенток направляют на другие исследования ― ЭКГ или УЗИ.
Запишитесь на Рентген грудной клетки с определением кардио-торакального индекса по удобному адресу
ЗаписатьсяСтанция метро
Площадь Восстания Проспект Просвещения Нарвская Рыбацкое Девяткино Гражданский проспект Академическая Политехническая Площадь Мужества Лесная Выборгская Площадь Ленина Чернышевская Владимирская Пушкинская Технологический институт Балтийская Кировский завод Автово Ленинский проспект Проспект Ветеранов Парнас Озерки Удельная Пионерская Чёрная речка Петроградская Горьковская Невский проспект Сенная площадь Фрунзенская Московские ворота Электросила Парк Победы Московская Звёздная Купчино Беговая Зенит Приморская Василеостровская Гостиный двор Маяковская Площадь Александра Невского Елизаровская Ломоносовская Пролетарская Обухово Спасская Достоевская Лиговский проспект Площадь Александра Невского Новочеркасская Ладожская Проспект Большевиков Улица Дыбенко Комендантский проспект Старая Деревня Крестовский остров Чкаловская Спортивная Адмиралтейская Садовая Звенигородская Обводный канал Волковская Бухарестская Международная Проспект Славы Дунайская Шушары Богатырская Каменка Театральная Горный институт Путиловская Юго-Западная Кудрово Шуваловский проспект Каретная Боровая Заставская БроневаяРайон
Центральный Выборгский Кировский Невский Адмиралтейский Василеостровский Калининский Колпинский Красногвардейский Красносельский Кронштадтский Курортный Московский Петроградский Петродворцовый Приморский Пушкинский ФрунзенскийГород
Санкт-Петербург Бокситогорск Бугры Волосово Волхов Всеволожск Выборг Высоцк Гатчина Ивангород Каменногорск Кингисепп Кириши Кировск Колтуши Коммунар Кудрово Лодейное Поле Луга Любань Мурино Никольское Новая Ладога Отрадное Пикалёво Подпорожье Приморск Приозерск Светогорск Сертолово Сланцы Сосновый Бор Сясьстрой Тельмана Тихвин Тосно ШлиссельбургЦены
Услуги, соответствующие запросу, не найдены.
Адреса диагностических центров "Доступная Медицина"
Преимущества наших диагностических центров
Доступные цены
Приемлемые цены
на все услуги
Качественный сервис
Контроль качества
оказываемых услуг
Лучшие специалисты
Высококвалифицированные врачи
Новейшее оборудование
Современные томографы с высочайшим качеством визуализации
Близость к метро
Мы находимся в непосредственной близости от метро и остановок общественного транспорта
Наше оборудование
Лицензии
Современные томографы с высочайшим качеством визуализации
Статьи наших врачей