Назад МРТ шейного отдела и головного мозга в СПБ

7 600
/
По акции в Рыбацком
6 200
руб
Записаться на прием
7 600 руб
По акции в Рыбацком
6 200 руб
Записаться
  • Длительность выполнения 30-40 минут
  • Срок получения результата В течение дня
  • Введение контраста Нет
  • Ограничения по возрасту От 15 лет
  • Ограничения по весу 120 кг
Описание

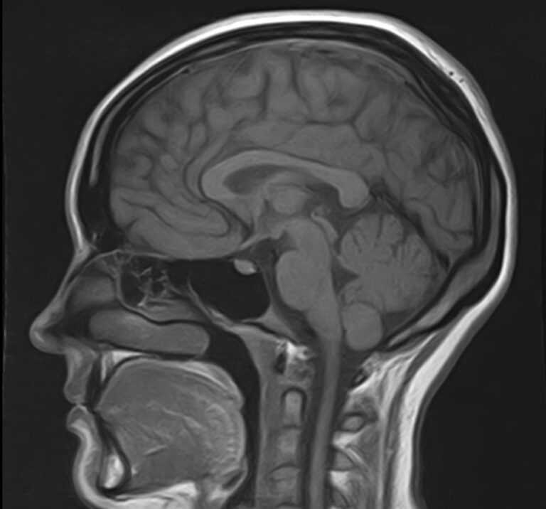
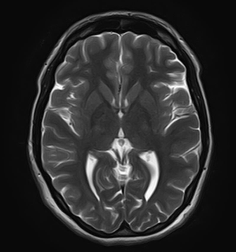
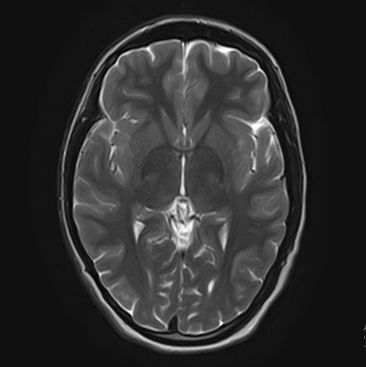
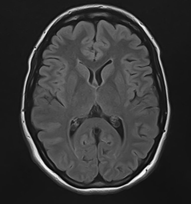
В клинике «Доступная медицина» можно пройти комплексное обследование, включающее в себя два протокола сканирования близко расположенных друг от друга анатомических областей – шейного отдела позвоночника и головного мозга. 

Сканирование проводится на современном высокопольном магнитно-резонансном томографе закрытого типа TOSHIBA VANTAGE TITAN 1,5 Тесла, который делает послойные срезы в разных плоскостях с шагом от 1 мм и на основе полученных данных создает трехмерные изображения превосходного качества. Метод исследования позволяет в мельчайших подробностях визуализировать состояние всех структур головного мозга и шейного отдела позвоночника, что дает возможность выявлять патологические изменения на ранних стадиях и назначать своевременное лечение. 

В большинстве случаев сканирование проводится в стандартном режиме без использования контраста. При необходимости визуализации некоторых патологических очагов может потребоваться введение контраста. Для этого применяется безопасное контрастное вещество на основе гадолиния, которое полностью выводится из организма через сутки после введения.

Сделать МРТ головного мозга и шейного отдела врачи порекомендуют при:

Свернуть/развернуть
  • Травмах головы и позвоночника.
  • Инфекциях и воспалениях позвоночника, мозга.
  • Частых головных болях, головокружениях, обмороках.
  • Шуме в ушах, зрительных расстройствах.
  • Болях, онемении в груди, шее, руках.
  • Болезни Бехтерева.
  • Подозрениях на опухоли.
  • Сосудистых патологиях, инсульте.
  • Нарушениях сна, резком ухудшении памяти.

Симптомов и жалоб, причины которых поможет обнаружить МРТ шейного отдела и головного мозга довольно много. На томографическое обследование направляют невропатолог, онколог, травматолог, терапевт и врачи других специализаций.

Показания к МРТ шейного отдела позвоночника

Свернуть/развернуть

МРТ шейного отдела позвоночного столба может выполняться как по назначению врача, так и по личному желанию пациента. Поводом для обращения могут служить следующие симптомы:

  • постоянные головные боли;
  • головокружение;
  • дискомфорт и боли в области затылка и шеи, иррадиирущие в верхние конечности;
  • частые обмороки и обморочные состояния;
  • частичная (парезы) или полная (параличи) потеря чувствительности верхних конечностей;
  • чувство онемения, жжения или покалывания в руках;
  • шум в ушах;
  • необъяснимое снижение зрения, «мурашки» перед глазами»;
  • снижение слуха и слуховые галлюцинации;
  • нарушения походки любого рода;
  • наличие хруста, неприятных «щелчков» при поворотах или наклонах головы.

Также магнитно-резонансная томография шейного отдела проводится при травмах и падениях, при подозрении на наличие заболеваний позвоночника, а также для подготовки к операции и для контроля эффективности медикаментозного или хирургического лечения.

Подготовка к МРТ шейного отдела и головного мозга

Свернуть/развернуть

Данное комплексное обследование не требует специальной подготовки. 

Необходимо принести с собой медицинскую документацию, относящуюся к зоне исследования:

  • направление от лечащего врача;
  • выписки из амбулаторных карт и стационаров;
  • результаты предыдущих исследований (МР-снимки, CD/DVD диски, снимки КТ).

При наличии вживленных медицинских изделий из материалов, совместимых с МРТ, нужно предоставить справку из учреждения, в которых они были установлены. На основании данной информации и учитывая локализацию изделия по отношению к исследуемой области врачом-рентгенологом принимается решение о возможности выполнения МРТ. 

В случае необходимости введения контраста у пациента с подозрением на почечную недостаточность необходимо провести контроль уровня креатинина крови не более чем за 14 дней до исследования. 

Для введения контраста в кубитальную вену предварительно устанавливается венозный катетер с подключенным инжектором (дозирующий аппарат), с помощью которого во время исследования в вену поступает контраст. Введение контрастного препарата иногда сопровождается небольшим дискомфортом в виде неприятного привкуса во рту, ощущения теплоты или холода в теле. Эти ощущения через 2-3 минуты полностью исчезают. Весь введенный контраст удаляется из организма преимущественно почками в течение последующих суток. Это надо иметь в виду кормящим женщинам, так как требуется прервать грудное вскармливание на 24-48 часов после исследования, молоко сцеживать и выливать. 

Перед процедурой нужно выложить из карманов все металлические предметы, электронные гаджеты, пластиковые карты, мобильные телефоны. Необходимо снять все украшения, пирсинг, часы, браслеты из металла, одежду с металлическими элементами. Женщинам может быть предложено удалить макияж, если он содержит металлические частички.

В течение всего периода процедуры требуется сохранять неподвижность, чтобы исключить размытость изображений и получить качественный результат исследования. Для этого голова дополнительно фиксируется специальным креплением. 

Во время исследования врач и рентгенолаборант находятся в смежном помещении со стеклянной перегородкой. Связь с ними осуществляется посредством переговорного устройства, вмонтированного в аппарат. Если возникнет необходимость, то можно нажать на сигнальное устройство в виде груши для вызова медперсонала. 

Если пациент испытывает сильное волнение или страх перед процедурой, то разрешается присутствие сопровождающего в диагностическом кабинете во время проведения исследования.

В каких случаях нельзя провести МРТ шейного отдела и головного мозга

Свернуть/развернуть
  • При наличии в теле пациента ферромагнитных (то есть содержащих железо и способных намагничиваться) имплантатов, например, винтов, штифтов, протезов, спиц, металлоконструкций, сосудистых клемм, стентов, скоб. Но некоторые медицинские изделия могут быть изготовлены из пара- и диамагнетиков, совместимых с МРТ.  В таком случае, если их расположение не создает помех при визуализации исследуемой области, МР томография может быть выполнена.
  • Невозможно провести МРТ, если в теле пациента имеются инородные металлические предметы, которые в зоне действия магнитного поля томографа могут нагреваться, вибрировать, перемещаться, при этом травмируя окружающие ткани. Это могут быть элементы металлической стружки, пули, осколки, дробь, неснимаемый пирсинг.
  • При наличии вживленных электронных приборов, в работе которых может случиться сбой в зоне действия магнитного поля томографа (кардиостимуляторы, дефибрилляторы, вживленные слуховые аппараты, инсулиновые помпы).
  • Беременность до 13 недель (для исключения неблагоприятного воздействия на формирующиеся органы плода).
  • Клаустрофобия (риск развития панической атаки в закрытом пространстве).
  • Избыточная масса тела более 120 кг (ограничение по весу выдвижного стола томографа).

Противопоказания для введения контраста:

  • Беременность на любом сроке.
  • Аллергические реакции на контрастное вещество.
  • Заболевания почек, сопровождающиеся снижением функции почек.

Запишитесь на МРТ шейного отдела и головного мозга по удобному адресу

Записаться
Фильтр по услугам МРТ позвоночника

Введение контраста

С контрастом Без контраста

Станция метро

Площадь Восстания Нарвская Проспект Просвещения Рыбацкое Девяткино Гражданский проспект Академическая Политехническая Площадь Мужества Лесная Выборгская Площадь Ленина Чернышевская Владимирская Пушкинская Технологический институт Балтийская Кировский завод Автово Ленинский проспект Проспект Ветеранов Парнас Озерки Удельная Пионерская Чёрная речка Петроградская Горьковская Невский проспект Сенная площадь Фрунзенская Московские ворота Электросила Парк Победы Московская Звёздная Купчино Беговая Зенит Приморская Василеостровская Гостиный двор Маяковская Площадь Александра Невского Елизаровская Ломоносовская Пролетарская Обухово Спасская Достоевская Лиговский проспект Площадь Александра Невского Новочеркасская Ладожская Проспект Большевиков Улица Дыбенко Комендантский проспект Старая Деревня Крестовский остров Чкаловская Спортивная Адмиралтейская Садовая Звенигородская Обводный канал Волковская Бухарестская Международная Проспект Славы Дунайская Шушары Богатырская Каменка Театральная Горный институт Путиловская Юго-Западная Кудрово Шуваловский проспект Каретная Боровая Заставская Броневая

Возраст пациента

Взрослому Ребенку от 15 лет

Пол пациента

Мужчине Женщине

Тип аппарата

Открытый Закрытый

Мощность МРТ

1.5 Тл 3 Тесла

Программы страхования

ДМС Платно ОМС

Цены

Услуги, соответствующие запросу, не найдены.

Комплексная МРТ позвоночника – 3 отдела
руб
10 600 / 9 200 руб
Подробнее
МРТ центральной нервной системы (ЦНС) (головной мозг + 3 отдела позвоночника)
руб
13 400 / 12 200 руб
Подробнее
МРТ шейного отдела и головного мозга
руб
7 600 / 6 200 руб
Подробнее
МРТ крестцово-подвздошных сочленений
руб
4 600 / 3 200 руб
Подробнее
МРТ грудного отдела позвоночника
руб
4 600 / 3 200 руб
Подробнее
МРТ пояснично-крестцового отдела позвоночника
руб
4 600 / 3 200 руб
Подробнее
МРТ шейного отдела позвоночника
руб
4 600 / 3 200 руб
Подробнее
МРТ копчика
руб
4 600 / 3 200 руб
Подробнее
МРТ краниовертебрального перехода
руб
4 600 / 3 200 руб
Подробнее
МРТ одного отдела позвоночника
руб
4 600 / 3 200 руб
Подробнее
МРТ двух отделов позвоночника
руб
7 600 / 6 200 руб
Подробнее
МРТ пояснично-крестцового отдела + копчик
руб
7 600 / 6 200 руб
Подробнее
МРТ грудного и поясничного отдела
руб
7 600 / 6 200 руб
Подробнее
МРТ грудного отдела позвоночника (в режиме металлоподавления в зоне сканирования)
руб
9 000 руб
МРТ шейного отдела позвоночника (в режиме металлоподавления в зоне сканирования)
руб
9 000 руб
МРТ пояснично-крестцового отдела (в режиме металлоподавления в зоне сканирования)
руб
9 000 руб
МРТ двух отделов позвоночника (в режиме металлоподавления в зоне сканирования)
руб
15 000 руб
МРТ всего позвоночника - 3 отдела (в режиме металлоподавления в зоне сканирования)
руб
21 000 руб

Адреса диагностических центров "Доступная Медицина"

Преимущества наших диагностических центров

Доступные цены

Приемлемые цены
на все услуги

Качественный сервис

Контроль качества
оказываемых услуг

Лучшие специалисты

Высококвалифицированные врачи

Новейшее оборудование

Современные томографы с высочайшим качеством визуализации

Близость к метро

Мы находимся в непосредственной близости от метро и остановок общественного транспорта

Лицензии

Современные томографы с высочайшим качеством визуализации

Назад
Вперед
Ключникова Екатерина Игоревна
Информация проверена главным врачом клиники Domedica24
Ключникова Екатерина Игоревна
Стаж более 8 лет, главный врач, врач-рентгенолог 1 категории
Площадь Стачек, 9">
ул. 1-я Советская, 8">