КТ ребер в СПБ
- Введение контраста Нет
- Длительность выполнения 10 минут
- Ограничения по весу 120 кг
- Ограничения по возрасту От 15 лет
- Срок получения результата В течение дня
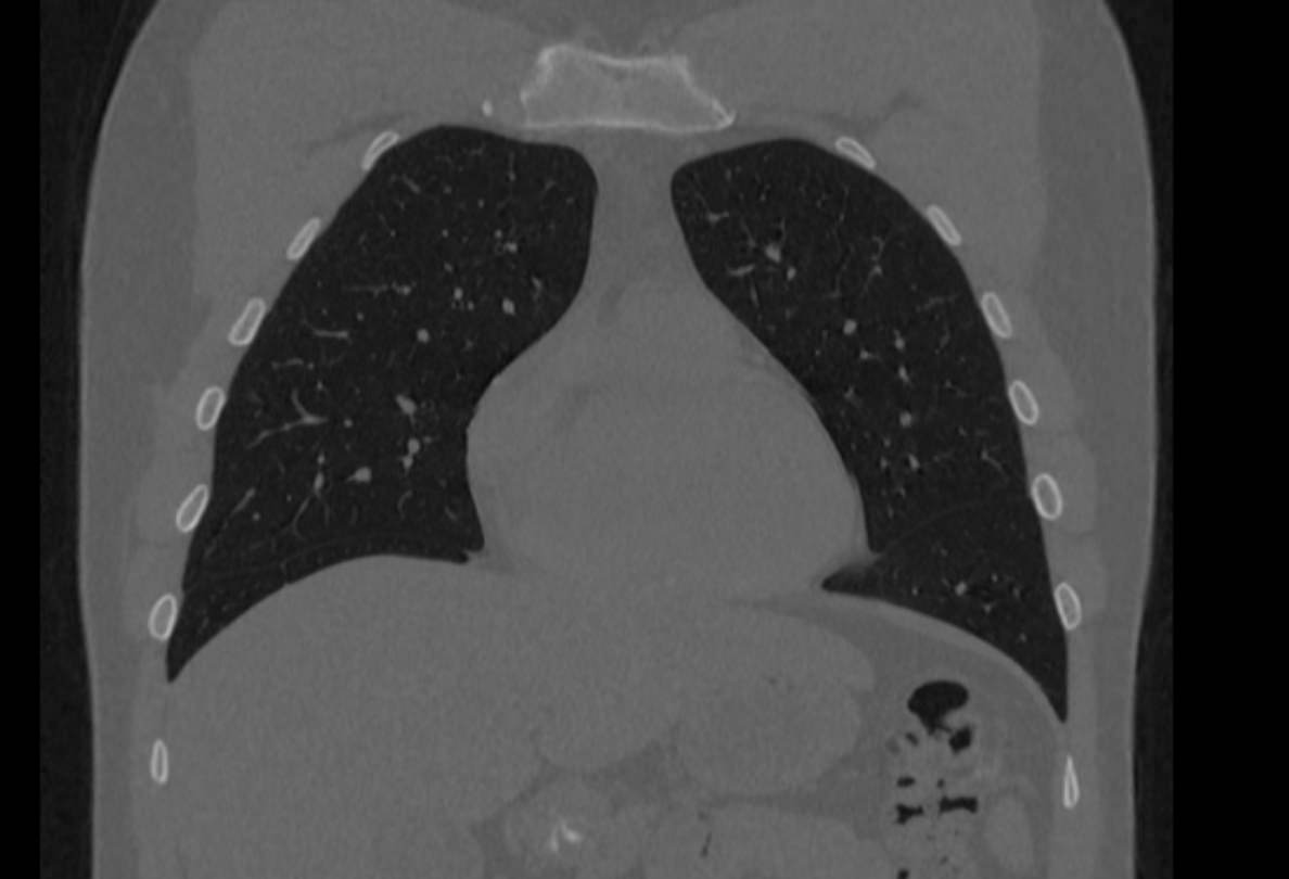
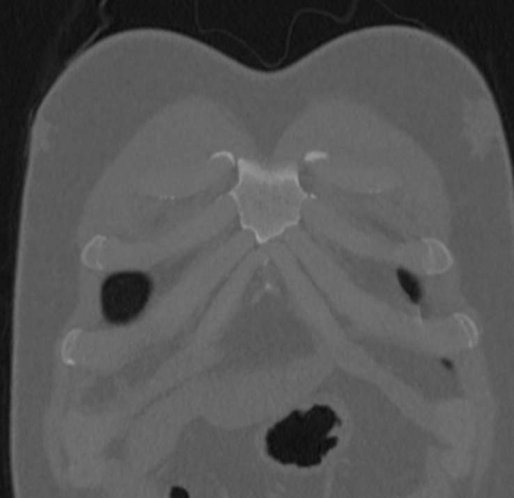
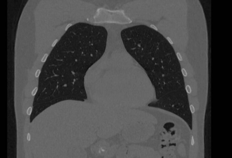
Мультиспиральная компьютерная томография ребер проводится в рамках протокола КТ органов грудной клетки. Грудина, ребра, грудной отдел позвоночника составляют костный каркас грудной клетки и при проведении КТ оценивается наличие деструктивных изменений в этих костных структурах.
Ребра являются парными дугообразными плоскими костями, которые защищают органы грудной клетки от внешних воздействий и обеспечивают их фиксацию в нужном положении. Как все плоские кости ребра заполнены костным мозгом, тем самым, участвуя в процессе кроветворения.
Все ребра задними концами соединяются с телами грудных позвонков. В норме у человека 12 пар ребер, из которых верхние 7 – это истинные ребра, спереди они имеют сочленения с грудиной. Следующие три пары соединяются хрящами с предыдущими ребрами и называются ложными. 11 и 12 пары ребер своими передними концами ни с чем не соединены и лежат свободно. Это свободные или колеблющиеся ребра.
Довольно часто встречаются различные вариации развития ребер. У некоторых людей могут отсутствовать нижние свободные ребра, либо наоборот быть лишняя 13 пара ребер. Также распространенным пороком развития является появление добавочных шейных ребер. Часто такие аномалии требуют хирургического удаления дополнительных ребер.
Травмы грудной клетки с переломами и ушибами ребер – также часто встречающаяся патология. Переломы могут возникать в здоровых костях и на фоне различных заболеваний, таких как миеломная болезнь, остеопороз, метастазы в ребрах (патологические переломы).
КТ ребер является быстрым безболезненным высокоточным методом обследования костных структур грудной клетки. Метод позволяет получить детальные снимки и трехмерные цифровые изображения костно-мышечного каркаса грудной клетки. КТ широко используется в хирургии и травматологии при планировании оперативного вмешательства и в дальнейшем помогает оценить результаты проведенной операции.
Помимо этого, мультиспиральная КТ позволяет оценить состояние легких, трахеи, бронхов, изучить строение сердца и крупных сосудов, выявить патологию пищевода и лимфатических узлов средостения.
В диагностических центрах «Доступная медицина» сканирование ребер проводится на современных мультиспиральных компьютерных томографах экспертного класса TOSHIBA AQUILION. Во время исследования трубка аппарата испускает рентгеновские лучи и вращается в кольцевой раме томографа вокруг помещенного в нее пациента. За секунды томограф производит большое количество послойных снимков с минимальной дозой облучения для пациента. Эти данные в дальнейшем трансформируются в трехмерные пространственные модели грудной клетки. Такие возможности аппаратов обеспечивают проведение точной и достоверной диагностики.
При подозрении на опухолевые образования в обязательном порядке требуется введение контрастного вещества. Специальный контрастный препарат на основе йода обеспечивает яркую визуализацию патологических изменений на фоне окружающих здоровых тканей. Методика контрастирования помогает обнаружить опухолевые образования минимальных размеров, кроме того, определить четкие границы опухоли, степень прорастания в соседние органы и ткани. Это необходимо для установления стадии процесса и выбора тактики лечения.
- Показания для КТ ребер
- Подготовка к КТ ребер
- Какие есть противопоказания для проведения КТ ребер?
- Компьютерная томография ребер позволяет обнаружить:
Показания для КТ ребер
- подозрения на патологии грудной клетки (воспалительные, опухолевые, дегенеративно-дистрофические)
- диагностика после травм;
- обследование до и после операции;
Подготовка к КТ ребер
Компьютерная томография является быстрой безболезненной процедурой. Специальная подготовка к исследованию не нужна. От пациента потребуется только сохранять неподвижность в течение всего времени проведения процедуры.
Мы рекомендуем принести с собой все документы, которые касаются области исследования:
- Направление лечащего врача;
- Выписка из истории болезни или амбулаторной карты;
- Рентгеновские снимки, CD/DVD диски предыдущих КТ или МРТ исследований органов грудной клетки;
- Заключения специалистов.
Если планируется введение контрастного вещества, то необходимо предоставить результат анализа крови на уровень креатинина (показатель, отражающий функцию почек). Анализ нужно сдать в течение 2-х недель до даты исследования.
Пациентам, принимающим по поводу сахарного диабета Метформин (Глюкофаж) или другие метформинсодержащие препараты, необходимо, по согласованию с эндокринологом, прекратить прием данного препарата за 48 часов до исследования с контрастированием и на 48 часов после введения контраста.
Контрастный препарат вводится внутривенно через предварительно установленный в локтевую вену венозный катетер. Введение контраста осуществляется с помощью автоматического шприца (инжектора). При поступлении контраста в кровь можно почувствовать теплоту и неприятный привкус во рту, но эти ощущения кратковременны и проходят через 1-2 минуты.
При проведении мультиспиральной КТ с внутривенным болюсным контрастированием кормящим женщинам, необходимо на 24-48 часов после процедуры с введением контраста прервать грудное вскармливание, предварительно сделав запас грудного молока, при этом молоко сцеживать и выливать.
Пациент располагается лежа на специальном столе, который двигается в раме томографа. По сравнению с МРТ отверстие томографа широкое, вокруг пространство полностью открытое и свободное.
Врач находится в соседнем помещении, наблюдает за пациентом через окно. Общение с врачом происходит через переговорное устройство, вмонтированное в аппарат.
Какие есть противопоказания для проведения КТ ребер?
Компьютерную томографию не рекомендуется выполнять беременным женщинам в течение всего срока беременности из-за вредного воздействия на плод рентгеновского излучения.
Также технически невозможно выполнить КТ ребер при массе тела пациента, превышающей 120 кг, так как подвижная часть томографов, установленных в наших центрах, имеет ограничения по весу.
При необходимости проведения КТ с внутривенным болюсным контрастированием пациент может иметь противопоказания для введения контрастного препарата. К ним относятся:
- аллергическая реакция на йодсодержащий контрастный препарат в анамнезе;
- заболевания почек с резким снижением их функции;
- застойная сердечная недостаточность;
- заболевания щитовидной железы с признаками гипертиреоза и тиреотоксикоза;
- тяжелое течение бронхиальной астмы;
- декомпенсированный сахарный диабет.
Компьютерная томография ребер позволяет обнаружить:
- дегенеративно-дистрофические изменения ребер, суставов
- воспалительные процессы как в ребрах, суставах, так и в прилегающих тканях и органах.
- травмы ребер, суставов
- осложнения после операции.
- новообразования
- метастазы
- планирование операций.
Запишитесь на КТ ребер по удобному адресу
ЗаписатьсяСтанция метро
Площадь Восстания Проспект Просвещения Нарвская Рыбацкое Девяткино Гражданский проспект Академическая Политехническая Площадь Мужества Лесная Выборгская Площадь Ленина Чернышевская Владимирская Пушкинская Технологический институт Балтийская Кировский завод Автово Ленинский проспект Проспект Ветеранов Парнас Озерки Удельная Пионерская Чёрная речка Петроградская Горьковская Невский проспект Сенная площадь Фрунзенская Московские ворота Электросила Парк Победы Московская Звёздная Купчино Беговая Зенит Приморская Василеостровская Гостиный двор Маяковская Площадь Александра Невского Елизаровская Ломоносовская Пролетарская Обухово Спасская Достоевская Лиговский проспект Площадь Александра Невского Новочеркасская Ладожская Проспект Большевиков Улица Дыбенко Комендантский проспект Старая Деревня Крестовский остров Чкаловская Спортивная Адмиралтейская Садовая Звенигородская Обводный канал Волковская Бухарестская Международная Проспект Славы Дунайская Шушары Богатырская Каменка Театральная Горный институт Путиловская Юго-Западная Кудрово Шуваловский проспект Каретная Боровая Заставская БроневаяРайон
Центральный Выборгский Кировский Адмиралтейски Василеостровский Калининский Колпинский Красногвардейский Красносельски Кронштадтский Курортный Московский Невский Петроградский Петродворцовый Приморский Пушкинский ФрунзенскийГород
Санкт-Петербург Бокситогорск Бугры Волосово Волхов Всеволожск Выборг Высоцк Гатчина Ивангород Каменногорск Кингисепп Кириши Кировск Колтуши Коммунар Кудрово Лодейное Поле Луга Любань Мурино Никольское Новая Ладога Отрадное Пикалёво Подпорожье Приморск Приозерск Светогорск Сертолово Сланцы Сосновый Бор Сясьстрой Тельмана Тихвин Тосно ШлиссельбургЦены
Услуги, соответствующие запросу, не найдены.
Адреса диагностических центров "Доступная Медицина"
Преимущества наших диагностических центров
Доступные цены
Приемлемые цены
на все услуги
Качественный сервис
Контроль качества
оказываемых услуг
Лучшие специалисты
Высококвалифицированные врачи
Новейшее оборудование
Современные томографы с высочайшим качеством визуализации
Близость к метро
Мы находимся в непосредственной близости от метро и остановок общественного транспорта
Наше оборудование
КТ-СПЕЦИАЛИСТЫ
Лицензии
Современные томографы с высочайшим качеством визуализации
Статьи наших врачей