КТ плечевого сустава в СПБ
- Введение контраста Нет
- Длительность выполнения 10 минут
- Ограничения по весу 120 кг
- Ограничения по возрасту От 15 лет
- Срок получения результата В течение дня
Плечевой сустав образован суставной впадиной лопатки и головкой плечевой кости и соединяет верхнюю конечность с плечевым поясом. Шаровидная форма сустава и отсутствие крепких связок обеспечивает большой объем движений верхней конечности. Но это же является и причиной травматизации, в частности, частых вывихов плечевого сустава.
Помимо травм плечевой сустав нередко подвержен развитию воспалительных заболеваний и дегенеративно-дистрофических процессов, а также опухолевых образований. Для диагностики патологических процессов в области плечевого сустава применяется мультиспиральная компьютерная томография.
КТ относится к лучевым методам исследования, то есть основан на применении рентгеновского излучения. Компьютерная томография назначается в тех случаях, когда обычные рутинные методы обследования (УЗИ и классический рентген) не позволяют провести точную диагностику. При этом КТ дает возможность получить снимки и цифровые трехмерные изображения плечевого сустава в мельчайших подробностях.
Так как рентгеновские лучи хорошо поглощается костной тканью, метод КТ наиболее информативен именно для обследования костных структур. Кроме того, компьютерная томография отличается быстротой, безболезненностью и неинвазивностью (то есть не требует вмешательства в организм человека). Поэтому методика, в первую очередь, применяется для диагностики травматических повреждений – различных переломов, вывихов и подвывихов плечевого сустава.
В случае необходимости проведения оперативного вмешательства КТ дает исчерпывающую информацию о расположении костных отломков, а после операции позволяет оценить правильность репозиции фрагментов кости и состояние эндопротеза.
В наших медицинских центрах обследование плечевого сустава выполняется на новейших мультиспиральных компьютерных томографах последнего поколения TOSHIBA AQUILION. Помимо высокой информативности и точности диагностики современные аппараты обеспечивают минимум дозы рентгеновского облучения для пациента во время исследования.
Поскольку КТ наиболее чувствительна при обследовании костных структур, то для улучшения визуализации мягких тканей плечевого сустава дополнительно применяется контрастное усиление. Для этого пациенту внутривенно вводится йодсодержащий контрастный препарат, который активно поглощает рентгеновские лучи. Контрастное вещество усиливает контрастность мягкотканных структур и особенно патологических образований, которые становятся хорошо видны на снимках. Поэтому методика контрастирования используется для выявления опухолевых новообразований как доброкачественного, так и злокачественного характера, и позволяет определить точные размеры и границы опухоли, степень ее воздействия на окружающие ткани.
Мультиспиральная КТ с контрастированием является хорошей альтернативой для МРТ плечевого сустава в случае наличия у пациента противопоказаний для проведения магнитно-резонансной томографии. МРТ наиболее чувствительна именно при обследовании мягкотканных структур, поэтому дает исчерпывающую информацию о состоянии капсульно-связочного аппарата сустава и прилегающих мягких тканей. При необходимости в нашей клинике можно пройти МРТ плечевого сустава на современном высокопольном магнитно-резонансном томографе экспертного уровня.
- Показания к КТ плечевого сустава
- Как подготовиться к КТ плечевого сустава?
- Противопоказания для КТ плечевого сустава
- Что показывает КТ плечевого сустава
Показания к КТ плечевого сустава
- внутрисуставный перелом;
- повреждение ключицы;
- артрит и артроз;
- вывих и подвывих;
- врожденная аномалия развития плечевого сочленения;
- скопление жидкости в полости сустава;
- асептический некроз губчатой кости (остеохондропатия);
- суставное кровоизлияние;
- острый болевой синдром, сопровождающийся хрустом и скованностью движений;
- наличие выпота;
- патологические или возрастные изменения.
- скованность и уменьшение амплитуды движений;
- периодический хруст в области плеча.
- гипермобильность (повышенная подвижность сустава с нетипичными движениями);
- отек тканей;
- гиперемия в области сустава.
- воспаление мышц и мягких тканей;
- подозрение на перелом или трещину;
- ограничение подвижности руки;
- доброкачественные и злокачественные опухоли;
- пред- и послеоперационная оценка;
- оценка посттравматических изменений;
Как подготовиться к КТ плечевого сустава?
Компьютерная томография не требует специальной подготовки и может проводиться как в плановом порядке, так и по экстренным показаниям, например, при травмах плечевого сустава.
Перед исследованием желательно предоставить врачу-рентгенологу все документы, касающиеся зоны исследования. Перечень необходимых документов:
- Направление лечащего врача;
- Выписка из истории болезни или амбулаторной карты;
- Рентгеновские снимки, CD/DVD диски предыдущих КТ или МРТ исследований плечевого сустава;
- Заключения профильных специалистов.
В случае необходимости введения контрастного вещества, пациенту требуется сдать анализ крови на уровень креатинина (показатель, отражающий функцию почек) в течение 14 дней до даты исследования.
Пациентам, принимающим по поводу сахарного диабета Метформин (Глюкофаж) или другие метформинсодержащие препараты, необходимо, по согласованию с эндокринологом, прекратить прием данного препарата за 48 часов до исследования с контрастированием и на 48 часов после введения контраста.
Для введения контрастного препарата пациенту предварительно устанавливается в локтевую вену венозный катетер. В момент введения контраста может быть ощущение тепла или жара во всем теле и неприятный привкус во рту, но этот дискомфорт полностью исчезает через 1-2 минуты.
Если планируется проведение внутривенного болюсного контрастирования женщине в период лактации, то мы рекомендуем предварительно сделать запас грудного молока, а после процедуры с введением контраста не прикладывать ребенка к груди в течение 24-48 часов, при этом молоко нужно сцеживать и выливать.
Во время исследования пациент ложится спиной на выдвижной стол томографа. Врач во время исследования находится в соседнем помещении. Наблюдение за пациентом происходит через стеклянную перегородку, связь осуществляется при помощи вмонтированного в аппарат переговорного устройства.
Противопоказания для КТ плечевого сустава
Компьютерная томография является лучевым методом исследования и предполагает использование рентгеновского излучения. Поэтому во время беременности данное исследование не проводится из-за риска вредного воздействия на плод.
Кроме того, в нашей клинике невозможно выполнить КТ пациентам с массой тела более 120 кг. Данное ограничение обусловлено техническими характеристиками томографа.
Кроме ограничений для выполнения компьютерной томографии у пациента также могут быть противопоказания для введения контрастного препарата.
Контрастирование противопоказано в следующих случаях:
- если у пациента ранее отмечались аллергические реакции на йодсодержащие контрастные препараты;
- если у пациента имеются заболевания почек с развитием выраженной почечной недостаточности;
- при наличии застойной сердечной недостаточности;
- если имеются заболевания щитовидной железы с явлениями гипертиреоза, тиреотоксикоза;
- в случае тяжелого течения бронхиальной астмы;
- при декомпенсированном сахарном диабете.
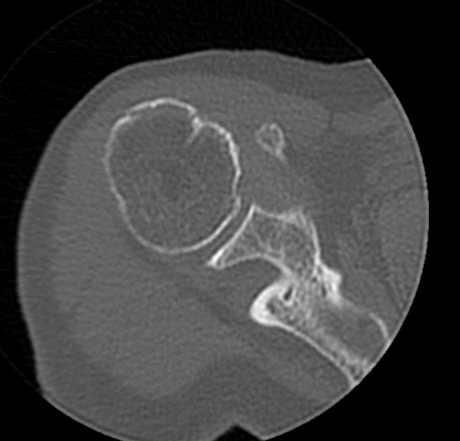
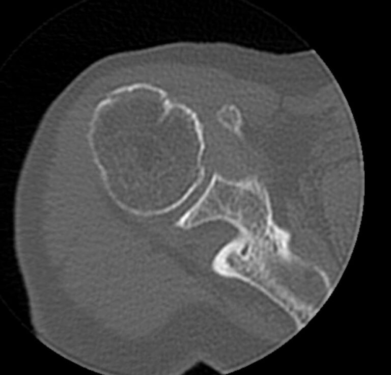
Что показывает КТ плечевого сустава
- трещины, переломы (в т. ч. скрытые),образовавшиеся в полости сустава или в прилегающих тканях гематомы;
- воспалительные процессы: бурситы, артриты.
- остиомиелит, некроз головки плечевой кости;
- злокачественные и доброкачественные новообразования, метастазы;
- врожденные аномалии развития;
- дегенеративные изменения: остеохондропатии, остеоартрозы, артрозы;
- костно-суставный туберкулез.
Запишитесь на КТ плечевого сустава по удобному адресу
ЗаписатьсяСтанция метро
Площадь Восстания Проспект Просвещения Нарвская Рыбацкое Девяткино Гражданский проспект Академическая Политехническая Площадь Мужества Лесная Выборгская Площадь Ленина Чернышевская Владимирская Пушкинская Технологический институт Балтийская Кировский завод Автово Ленинский проспект Проспект Ветеранов Парнас Озерки Удельная Пионерская Чёрная речка Петроградская Горьковская Невский проспект Сенная площадь Фрунзенская Московские ворота Электросила Парк Победы Московская Звёздная Купчино Беговая Зенит Приморская Василеостровская Гостиный двор Маяковская Площадь Александра Невского Елизаровская Ломоносовская Пролетарская Обухово Спасская Достоевская Лиговский проспект Площадь Александра Невского Новочеркасская Ладожская Проспект Большевиков Улица Дыбенко Комендантский проспект Старая Деревня Крестовский остров Чкаловская Спортивная Адмиралтейская Садовая Звенигородская Обводный канал Волковская Бухарестская Международная Проспект Славы Дунайская Шушары Богатырская Каменка Театральная Горный институт Путиловская Юго-Западная Кудрово Шуваловский проспект Каретная Боровая Заставская БроневаяРайон
Центральный Выборгский Кировский Адмиралтейски Василеостровский Калининский Колпинский Красногвардейский Красносельски Кронштадтский Курортный Московский Невский Петроградский Петродворцовый Приморский Пушкинский ФрунзенскийГород
Санкт-Петербург Бокситогорск Бугры Волосово Волхов Всеволожск Выборг Высоцк Гатчина Ивангород Каменногорск Кингисепп Кириши Кировск Колтуши Коммунар Кудрово Лодейное Поле Луга Любань Мурино Никольское Новая Ладога Отрадное Пикалёво Подпорожье Приморск Приозерск Светогорск Сертолово Сланцы Сосновый Бор Сясьстрой Тельмана Тихвин Тосно ШлиссельбургЦены
Услуги, соответствующие запросу, не найдены.
Адреса диагностических центров "Доступная Медицина"
Преимущества наших диагностических центров
Доступные цены
Приемлемые цены
на все услуги
Качественный сервис
Контроль качества
оказываемых услуг
Лучшие специалисты
Высококвалифицированные врачи
Новейшее оборудование
Современные томографы с высочайшим качеством визуализации
Близость к метро
Мы находимся в непосредственной близости от метро и остановок общественного транспорта
Наше оборудование
КТ-СПЕЦИАЛИСТЫ
Лицензии
Современные томографы с высочайшим качеством визуализации
Статьи наших врачей