МРТ мягких тканей конечностей в СПБ
- Срок получения результата В течение дня
- Ограничения по весу 120 кг
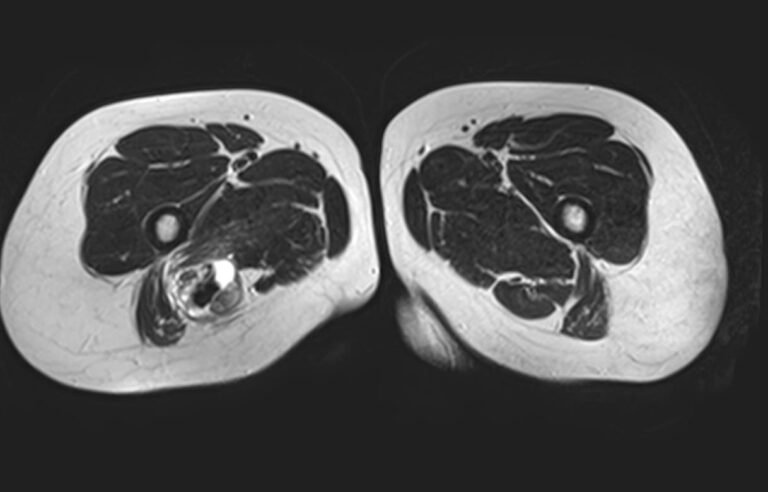
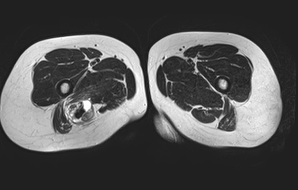
Магнитно-резонансная томография применяется для обследования мягких тканей верхних и нижних конечностей, включая кожу, подкожно-жировую клетчатку, мышцы, фасции, межфасциальные пространства, сухожилия, связки, сосудистую систему, лимфоузлы и лимфатические протоки, нервные волокна, надкостницу и костный мозг.
При проведении МРТ используется действие внешнего магнитного поля без применения вредного рентгеновского излучения, что делает процедуру безопасной для организма человека. Помимо безопасности, достаточной быстроты и неинвазивности метод обеспечивает высокую степень визуализации мягкотканных структур по сравнению с другими исследованиями, например, обычным рентгеном, КТ или УЗИ.
Кроме того, имеет значение показатель индукции магнитного поля томографа. Наша клиника оснащена современным высокопольным томографом последнего поколения TOSHIBA VANTAGE TITAN 1,5 Тесла. Высокая индукция магнитного поля обеспечивает повышенную четкость изображений при обследовании мягких тканей конечностей. За счет послойного сканирования в различных плоскостях с шагом от 1 мм и последующего преобразования данных в объемные изображения томограф обеспечивает выявление мельчайших изменений в тканях. Это позволяет проводить диагностику различных заболеваний на самых ранних стадиях.
В случае подозрения на опухолевый процесс в обязательном порядке показано внутривенное введение контраста, который содержит металл гадолиний. Благодаря способности контрастного вещества фиксироваться патологически измененными участками ткани, возможно выявление опухолей размером от 1 мм, что значительно улучшает прогноз в плане лечения и выздоровления.
- При каких симптомах необходимо выполнить МРТ мягких тканей конечностей
- Какие заболевания можно выявить на МРТ мягких тканей конечностей
- Как нужно подготовиться к МРТ мягких тканей конечностей
- Какие причины могут препятствовать проведению МРТ мягких тканей конечностей
При каких симптомах необходимо выполнить МРТ мягких тканей конечностей
- Если беспокоят боли в конечностях (в конкретной анатомической области или без определенной локализации).
- Онемение, парестезии (например, «ползание мурашек»), нарушения чувствительности в конечностях.
- Появление отека конечности, изменение цвета кожи, локальное повышение температуры кожи над измененным участком.
- Наличие долго заживающих ран, эрозий или появление язв на коже.
- Пальпируемые опухоли, видимые деформации мягких тканей конечности.
- Обнаружение увеличенных лимфоузлов.
- При травматических повреждения конечностей.
Какие заболевания можно выявить на МРТ мягких тканей конечностей
- Доброкачественные опухоли конечностей.
- Злокачественные новообразования (как первичные опухоли конечности, так и метастатические поражения из других очагов).
- Аномалии развития конечностей.
- Воспалительные заболевания (миозиты, артриты, тендиниты, тендовагиниты и др).
- Гнойные процессы (инфильтрация, флегмона, абсцесс).
- Постинъекционные инфильтраты и атрофии тканей.
- Травматические повреждения (растяжения, разрывы мышц, связок, сухожилий)
- Заболевания сосудов, нервов, нервных сплетений, в том числе, туннельный синдром (сдавление нервного ствола прилегающими мягкотканными структурами), нейропатии различного генеза.
- Лимфадениты, лимфаденопатии (изменения лимфоузлов на фоне воспалительных заболеваний, поражение лимфоузлов при злокачественных процессах).
Как нужно подготовиться к МРТ мягких тканей конечностей
Исследование проводится без предварительной подготовки.
Необходимо принести с собой медицинскую документацию, относящуюся к зоне исследования:
- направление от лечащего врача;
- выписки из амбулаторных карт и стационаров;
- результаты предыдущих исследований (МР-снимки, СD/DVD диски, снимки КТ).
В случае наличия в теле медицинских изделий, протезов, имплантатов, изготовленных из материалов, которые не препятствуют проведению МРТ, нужно предоставить справку об этом из учреждения, где оно было установлено. При этом, если расположение протеза не будет мешать визуализации исследуемой области, врач-рентгенолог примет решение о возможности проведения МРТ.
Если исследование будет проводиться с контрастным усилением, тогда при подозрении на почечную недостаточность необходимо предоставить биохимический анализ крови с уровнем креатинина (давностью не более 14 дней).
Контраст вводится внутривенно через предварительно установленный катетер с помощью специального устройства (инжектора), которое регулирует скорость введения и объем раствора. Контраст поступает в вену в определенный момент во время исследования и может сопровождаться появлением кратковременного чувства тепла или холода в теле, металлического привкуса во рту, но эти ощущения быстро исчезают.
Контраст выводится из организма преимущественно почками в течение суток после введения. Кормящим женщинам нужно прервать грудное вскармливание на 24-48 часов после процедуры с контрастированием, в это время проводить сцеживание молока.
Непосредственно перед процедурой нужно снять все электронные устройства и металлические предметы, в том числе украшения, пирсинг, одежду с металлическими элементами.
Во время исследования необходимо лежать неподвижно, чтобы получить качественные изображения зоны обследования. В случае волнения и тревожности можно принять успокоительное средство, также допускается присутствие сопровождающего. Громкий шум, который издает томограф во время своей работы, может доставлять дискомфорт, поэтому рекомендуется надевать наушники или использовать беруши.
Медицинские работники находятся в смежном помещении за стеклянной перегородкой. В руке пациента в течение всего времени исследования будет находиться сигнальное устройство в виде груши для вызова медперсонала.
Какие причины могут препятствовать проведению МРТ мягких тканей конечностей
Метод МРТ отличается своей безопасностью, однако, как и любой другой, имеет свои противопоказания:
- Наличие у пациента имплантированных электронных аппаратов, способных выйти из строя при взаимодействии с магнитным полем томографа. Сюда относятся кардиостимуляторы, нейростимуляторы, дефибрилляторы, слуховые имплантаты, инсулиновые помпы.
- В теле пациента имеются ферромагнитные (то есть содержащие железо и способные намагничиваться) металлические протезы, скобы, спицы, штифты. Также это касается неизвлеченных ранее осколков, пуль, дроби, металлической стружки, татуировок с использованием металлосодержащих красок.
- Беременным женщинам в I триместре не рекомендуется проводить МРТ из-за риска воздействия индукции магнитного поля на формирующийся плод.
- Наличие у пациента клаустрофобии является препятствием для выполнения МРТ, так как имеется риск развития панической атаки во время пребывания его внутри томографа.
- Если вес пациента превышает 120 кг, что обусловлено техническими характеристиками аппарата.
Противопоказания для введения контраста:
- наличие у пациента хронической почечной недостаточности;
- беременность на любом сроке;
- если у пациента ранее наблюдались аллергические реакции на контрастное вещество.
Запишитесь на МРТ мягких тканей конечностей по удобному адресу
ЗаписатьсяСтанция метро
Площадь Восстания Нарвская Проспект Просвещения Рыбацкое Девяткино Гражданский проспект Академическая Политехническая Площадь Мужества Лесная Выборгская Площадь Ленина Чернышевская Владимирская Пушкинская Технологический институт Балтийская Кировский завод Автово Ленинский проспект Проспект Ветеранов Парнас Озерки Удельная Пионерская Чёрная речка Петроградская Горьковская Невский проспект Сенная площадь Фрунзенская Московские ворота Электросила Парк Победы Московская Звёздная Купчино Беговая Зенит Приморская Василеостровская Гостиный двор Маяковская Площадь Александра Невского Елизаровская Ломоносовская Пролетарская Обухово Спасская Достоевская Лиговский проспект Площадь Александра Невского Новочеркасская Ладожская Проспект Большевиков Улица Дыбенко Комендантский проспект Старая Деревня Крестовский остров Чкаловская Спортивная Адмиралтейская Садовая Звенигородская Обводный канал Волковская Бухарестская Международная Проспект Славы Дунайская Шушары Богатырская Каменка Театральная Горный институт Путиловская Юго-Западная Кудрово Шуваловский проспект Каретная Боровая Заставская БроневаяРайон
Центральный Кировский Выборгский Невский Адмиралтейский Василеостровский Калининский Колпинский Красногвардейский Красносельский Кронштадтский Курортный Московский Петроградский Петродворцовый Приморский Пушкинский ФрунзенскийГород
Санкт-Петербург Бокситогорск Бугры Волосово Волхов Всеволожск Выборг Высоцк Гатчина Ивангород Каменногорск Кингисепп Кириши Кировск Колтуши Коммунар Кудрово Лодейное Поле Луга Любань Мурино Никольское Новая Ладога Отрадное Пикалёво Подпорожье Приморск Приозерск Светогорск Сертолово Сланцы Сосновый Бор Сясьстрой Тельмана Тихвин Тосно ШлиссельбургЦены
Услуги, соответствующие запросу, не найдены.
Адреса диагностических центров "Доступная Медицина"
Преимущества наших диагностических центров
Доступные цены
Приемлемые цены
на все услуги
Качественный сервис
Контроль качества
оказываемых услуг
Лучшие специалисты
Высококвалифицированные врачи
Новейшее оборудование
Современные томографы с высочайшим качеством визуализации
Близость к метро
Мы находимся в непосредственной близости от метро и остановок общественного транспорта
Наше оборудование
МРТ-специалисты
Лицензии
Современные томографы с высочайшим качеством визуализации
Статьи наших врачей